Resident level quizzes are in crimson, student level quizzes are in blue.

 

Quiz Set: N-025

Kar-Ming Fung, M.D., Ph.D.


1.    A 65 year-old man was admitted to the emergency room because of left side weakness. On neurologic examination, there was also paralysis of the left face. Ocular movement of both eyes, however, were normal. These symptoms were most likely resulted from blockage of which of the following arteries?  Answer

A.  Anterior communicating artery

B.  Left anterior cerebral artery

C.  Right anterior cerebral artery

D.  Left middle cerebral artery

E.  Right middle cerebral artery


2.    A 45 year-old man with history of poorly controlled hypertension was admitted to the emergency by his friends. According to his friends, the patient has just collapsed in a banquet. On neurologic examination, the patient has unclear mental status but he was able to follow simple commands. There was significant weakness of his left upper and lower extremities. What is the most likely finding on CT scan?  Answer

A.  Hemorrhage in his right side  basal ganglia with extension to the internal capsule

B.  Hemorrhage in his right side  basal ganglia with extension to the internal capsule

C.  Hemorrhage in his hypothalamus with extension to the anterior commissure

D.  Subdural hematoma in the frontal tip

E.  Hemorrhage in the cerebellum


3.    Bilateral infarction of the primary visual cortex will lead to which of the following syndrome?  Answer

A.  Sjögren syndrome

B.  Anton syndrome

C.  Parinaud syndrome

D.  Susac syndrome

E.  Wallenberg syndrome


4.    Which of the following is not true about venous infarction due to thrombosis in the vein?  Answer

A.  Thrombosis of the of the cavernous sinus, sphenoid sinus, and lateral sinus is a common mechanism

B.  It affects only elderly patients

C.  It is common in cerebral amyloid angiopathy

D.  Thrombolytic therapy will not lead to expansion of the hemorrhage

E.  Pregnancy and use of oral conctraceptives are known risk factors


5.    Foamy macrophages cannot be highlighted by which of the following techniques?  Answer

A.  Immunohistochemistry for CD68

B.  Immunohistochemistry for CD163

C.  Periodic acid Schiff (PAS) stain

D.  Luxol fast blue-cresyl violet


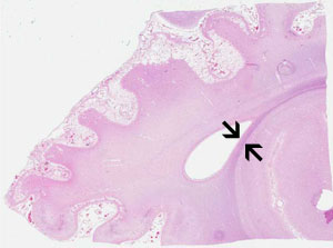
6.    This image is taken from the occipital lobe. What is the structure in between the two arrows?  Answer

Link to Online Slide

A.  Fimbria

B.  Anterior commissure

C.  Posterior commissure

D.  Indusium griseum

E Tapetum


Last updated: November, 20, 2011. Contributed by Kar-Ming Fung, M.D., Ph.D.

Dept. of Pathology, University of Oklahoma Health Sciences Center, Oklahoma City, OK, U.S.A.