Case No.: N-026

Diagnosis: Meningitis in systemic coccidiodomycosis

Organ: Brain, cerebral hemispheres

Last Updated: 11/21/2011

Online Slide/Full Screen/Open with ImageScope


Online Slide/Full Screen/Open with ImageScope

Hematoxylin & eosin

Area 1: You should be able to recognize that this is the cerebellum as the signature molecular layer (m), Purkinje cells (arrow), internal granular layer (i), and white matter (w) are present in the typical anatomical relationship.

Hematoxylin & eosin

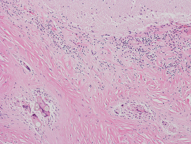
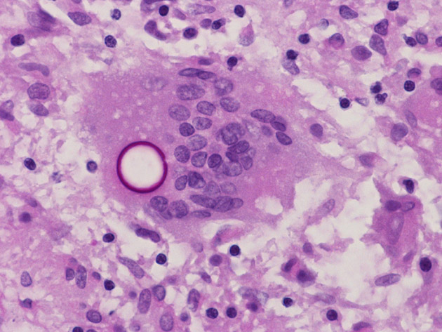
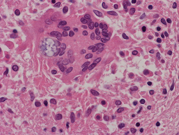
Area 2: The granulomas are composed of histiocytes in concentric arrangements forming nodules. At the center of the granulomas are mulitnucleated ginat cells containing the fungus.

Hematoxylin & eosin

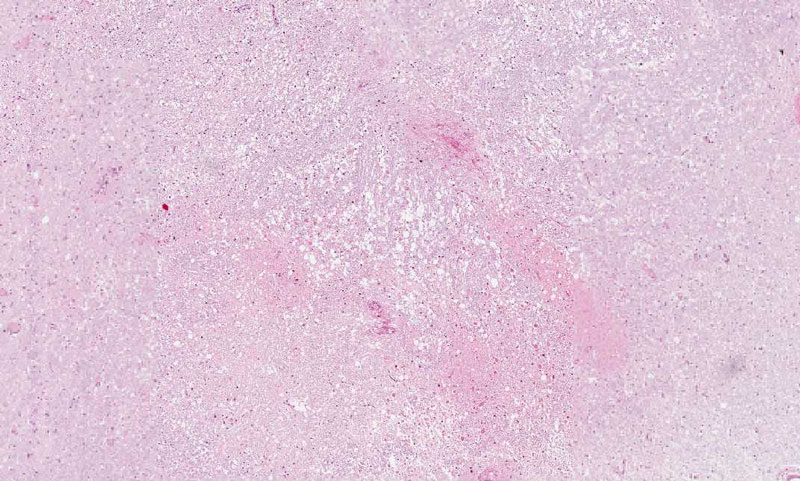
Area 3: In this area, the brain is necrotic but is not involved by the microorganism or inflammation. The reason for the necrosis is compromised circulation probably secondary to the systemic problem and the meningitis.

Hematoxylin & eosin

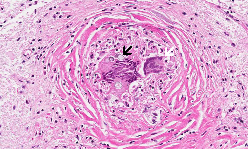
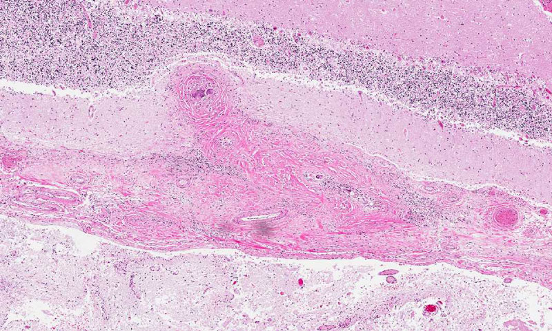
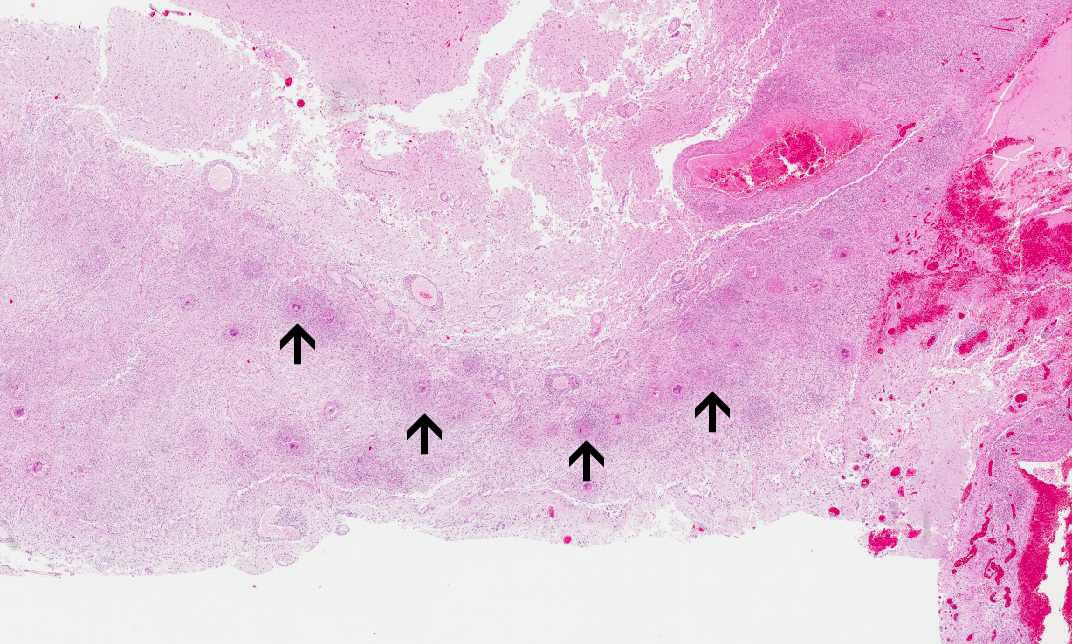
Area 4: In this image, you can see numerous granulomas (arrow) lining along the dura.

History: The patient was a 20 year-old man with a history of meningitis and ventricular-peritoneal shunt placement about two years before his death. His general condition deteriorated and has multiple seizure. Despite aggressive treatment including shunt replacement, the patient expired. Autopsy was limited to the lung and the brain.

 

Additional History: The patient was proved to have coccidioidomycosis at the initial diagnosis of meningitis two years before his death.

 

Gross Pathology of the Brain: The brain weighted 1,500 grams at autopsy. It was extremely soft and fell apart on handling. The leptomeninges in the brain stem had fibrotic thickening to about 2 mm and is also firmly attached to the brain parenchyma. The dura is also significantly thickened.

 

Pathology of the lung: Similar pathologic changes were seen in both the lung and the brain.

 

Histologic Highlights of this Case:

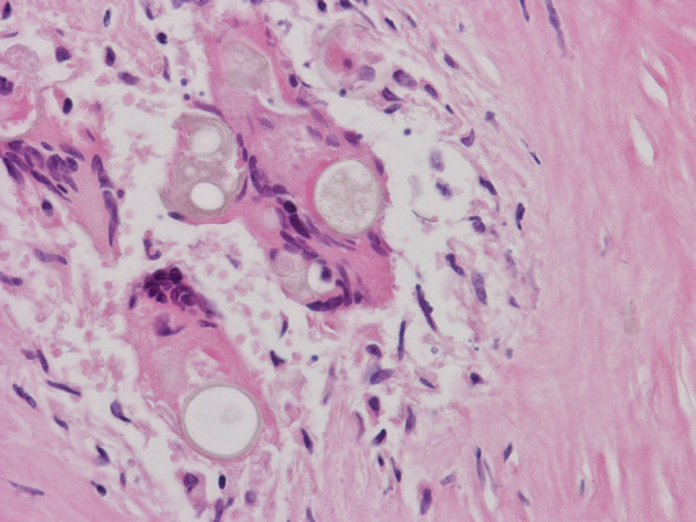
  • In Slide #1, the salient pathologic change here is a necrotizing granulomatous inflammation of the leptomeninges associated with foreign body type giant cells and round inclusions that are morphologically consistent with Coccidiodes species. These organisms can be well demonstrated by PAS stain (see below). Note that there is fibrotic thickening of the leptomeninges (outlined by the arrows). The granulomas are only accompanied by a small amount of lymphocyrtes. Note that the granulomas are limited to the meninges.

  • Slide #2 is a cross section of the sagittal sinus and there is wide spread involvment by the fungus accompanied by numerous granulomas and fibrotic thickening.

  • The spheres of Coccidioides are among the largest that are seen in histologic sections and range from 30 to 60 μm. Most of the fungal organisms are likely to be non-viable in this case because of aggressive fungal therapy. The impressive foreign body type giant cell reaction is likely a reaction to the non-viable spores.

Comment:

  • Coccidioidomycosis (also know as Valley fever or San Joaquin Valley fever) is caused by Coccidioides immitis and C. posadasii species. It can affect both immune competent and immune comprimised patients as well as many types of animals. These organisms perform the saprophytic cycle in soil and the parasitic cycle in vertebrates. Infection is acquired by inspiring the arthroconidia (arthrospores) of the fungus and is most commonly seen in the desert regions of the southwestern United States (Arizona, California, Nevada, New Mexico, Texas, Utah and northwestern Mexico), and in Central and South America. The arthroconidia is under 10 μm in diameter and can get through the upper respiratory airway to get to the lung. The arthroconidia will transform into spheres that contain numerous uninucleated endospheres in the lung. The spheres are typically associated with foreign body type giant cell reaction and granulomatous inflammation.

  • The three main types of coccidioidomycosis are primary pulmonary coccidioidomycosis, disseminated coccidioidomycosis, and primary cutaneous coccidioidomycosis. Patient with lung disease or compromised immunity such as HIV positive patients are more susceptible for severe or life threatening infections.

  • In immune competent subjects, the infection is often asymptomatic. The rest of the subjects will experience a flu like syndrome for about 1-3 weeks. The most common manifestations are that of a lung infection including cough, shortness of breath, chest pain and fever. It can progress to a chronic form and disseminate but these cases are rare. When it affects the central nervous system, it causes meningitis.

Bonus Images:

Hematoxylin & eosin

High magnification HE stain image: Note that the fungal organisms do not take up the stain and remains either as a pale, round clear structure or with some bluish content.

PAS stain

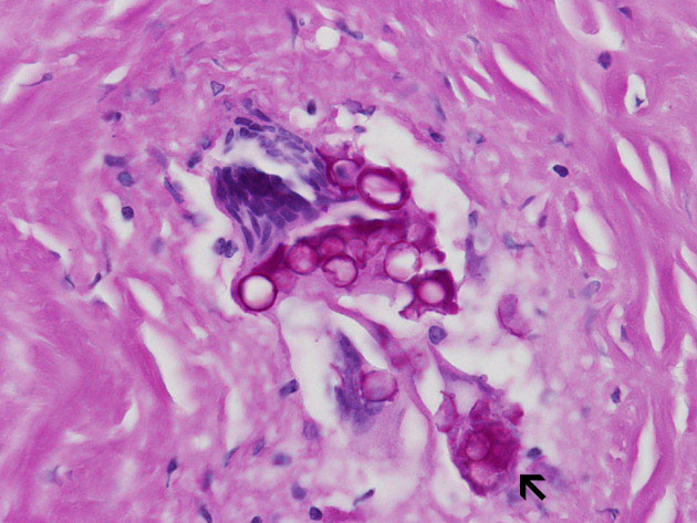
High magnification PAS stain image: In contrast, the outline of cell wall can be well highlighted by periodic acid Schiff (PAS) stain as illustrated in these images. In this case, most of the fungal organisms do not contain viable endospores which may be resulted from prolonged antifungal therapy. However, one of the funcal organisms containing spores may be present in the PAS stain (arrow).

Hematoxylin & eosin

Gomori's methanamine silver (GMS)

Image from another case: In this case of infection of the brain parenchyma, the small spores within a spheres can be well see on hematoxylin and eosin stain (arrow) and are well demonstrated by GMS stain. Note that there is also no giant cell reaction in this case.

Original slide is contributed by Dr. Kar-Ming Fung, University of Oklahoma Health Sciences Center, Oklahoma, U.S.A.

 Home Page