Case No.: N-028

Diagnosis: Sepsis associated with Candida albicans, post mortem growth of Candida albicans, neuronal necrosis in pons, blood in ventricle secondary to germinal matrix hemorrhage

Organ: Pons, Brain

Last Updated: 12/21/2011

  

Online Slide/Full Screen/Open with ImageScope

 
Online Slide/Full Screen/Open with ImageScope

Hematoxylin & eosin

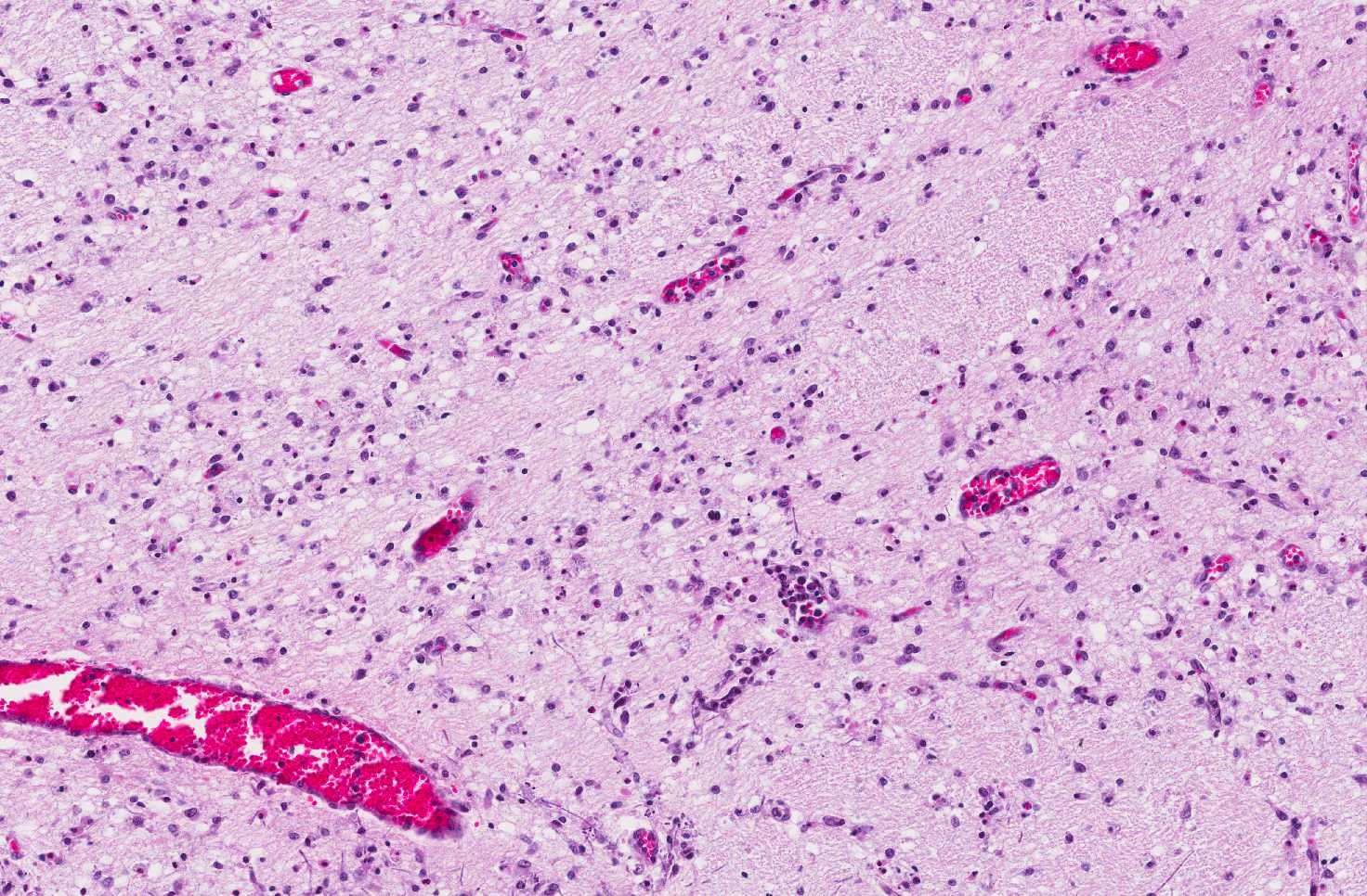
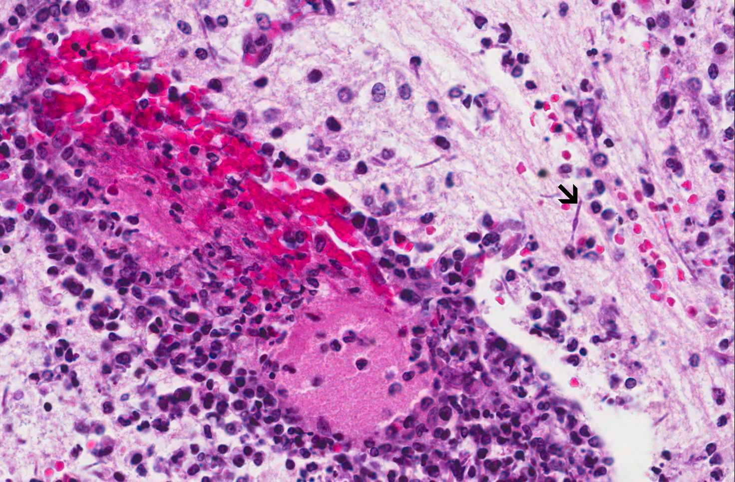
Area 1: Necrotic neurons in premature infants typical present as apoptotic cells (black arrow). Note that scant candida fungal hyphae are present (white arrow)

Hematoxylin & eosin

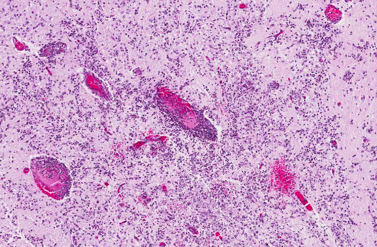
Area 2: In other areas, there is intense perivascular inflammatory cell infiltration. A few fungal hyphae are noted on hematoxylin and eosin stain (arrow).

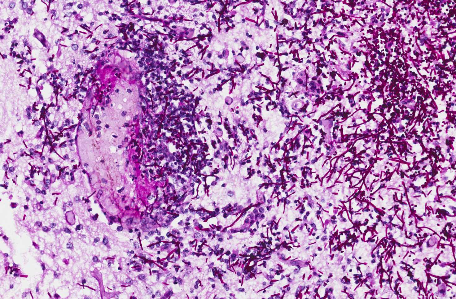
PAS Stain

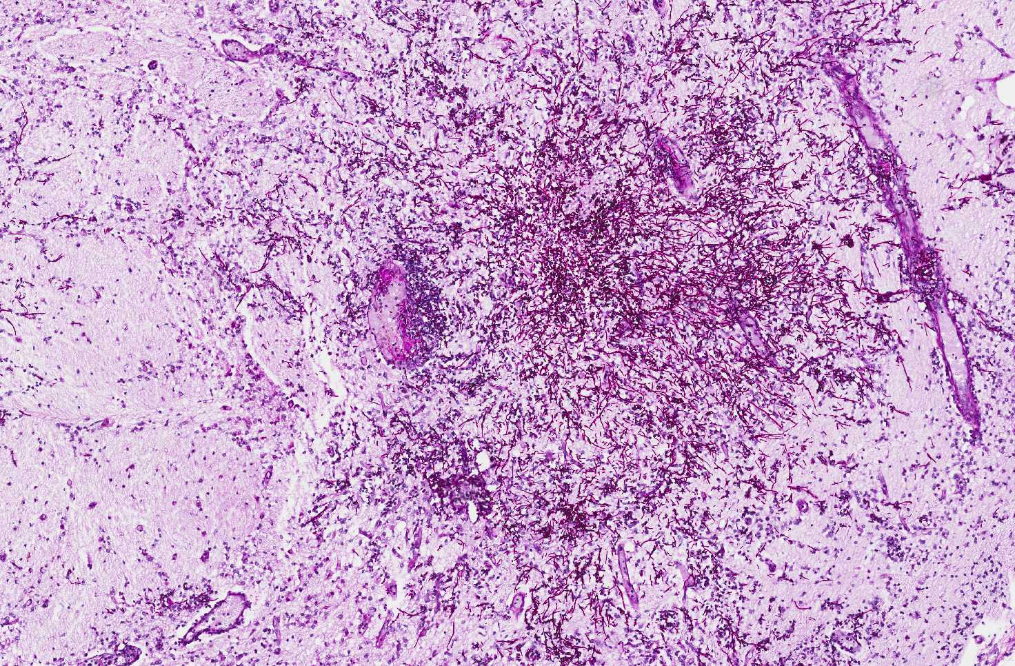
Area 3: Numerous hyphae are demonstrated by PAS stain.

History: The deceased baby was born at 29 weeks of gestation and survived for 14 days before death. The mother had premature rupture of membrane and was treated with antibiotic. The baby suffered respiratory distress immediately after birth and was admitted to the intensive care unit. The baby subsequently developed sepsis associated with positive culture for E. coli and expired.

 

General Autopsy: There were multifocal necrosis involving the heart, lungs, liver, kidneys, spleen, pancreas, thymus, and transmural necrosis of small and large intestines diagnostic of necrotizing enterocolitis. There was also severe hemorrhagic necrotizing pneumonia. Post mortem culture demonstrated Candida albicans.

 

Gross Neuropathologic Findings: The brain weight was within normal limits for the claimed gestational age and there was no evidence of malformation. There is hemorrhage near the ventricular surface of the basal ganglia and the hemorrhage extends into bilateral ventricles with formation of a blodd cast.

 

Histologic Highlights of this Case: HE stain     PAS stain

  • This slide is a cross section of the pons. The IV ventricle (IV) is dilated by the hemorrhage (h) which is an extension of the ventricular hemorrhage. On low mangification, there are many clusters of inflammatory cell infiltration (arrow).

  • In the basis pontis where only small amount of inflammatory cells are present (Area 1), there are many apoptotic cells and scant fungal hyphae. The apoptoic cells are most likely the result of hypoxic/ischemic changes.

  • In areas with more intense inflammatory cell infiltration (Area 2 and 3), numerous fungal hyphae are present.

  • The germinal matrix hemorrhage is not shown here.

Comment:

  • The apoptotic neurons are indicative of hypoxic/ischemic insult. Neuronal necrosis in premature infants typically takes this form and is different from that in the adult where necrotic neurons are elongated, eosinophilic, and loss nuclear details. In this particular case, there are also apoptotic neurons in the subiculum and hippocampus. Together, this form the diagnosis of pontine subiculum necrosis as these apoptotic neurons are far more common to be seen in the pons and the subiculum (adjacent to the hippocampus).

  • The patient has a history of candida fungal infection and therefore it is not surprise to see candida in the brain. However, a substantial amount of the hyphae are found in areas with little or no inflammatory cell infiltration. This feature, however, suggest post-mortem growth in these areas. The final picture is that of a mixture of pre-mortem and post-mortem growth of candida.

 

Bonus Images:

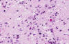
Hematoxylin & eosin

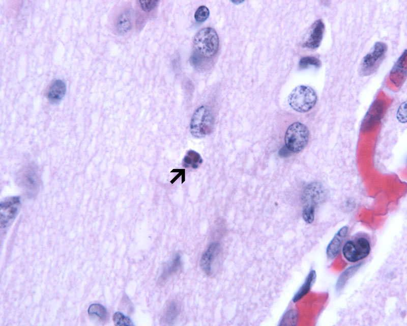
High magnification of apoptotic cells: This image is taken from another case that is taken at high magnification to reveal the details of apoptotic cells (arrow). This image is also taken from the pons.

Original slide is contributed by Dr. Kar-Ming Fung, University of Oklahoma Health Science Center, Oklahoma, U.S.A.

 Home Page