Resident level quizzes are in crimson, student level quizzes are in blue.

 

Quiz Set: N-032

Kar-Ming Fung, M.D., Ph.D.


1.    The patient was a 3 year-old girl with the chief complain of left lower extremity that extended to the right side. Imaging demonstrated a large sacral mass that mainly affects her left side. These features are not sufficient for a definitive diagnosis but which of the following be the most likely diagnosis?  Answer

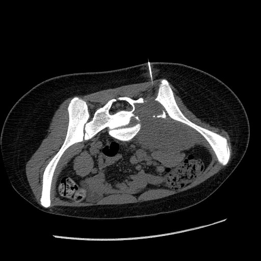
CT taken at the time
of the needle biopsy
(needle is shown here)
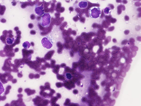
MRI FNA
Diff Quick Stain
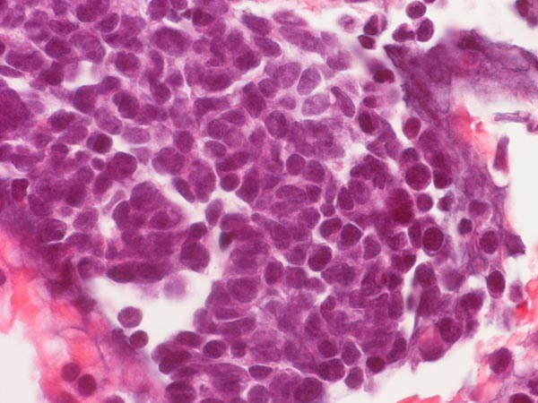
Permanent section
Hematoxylin & Eosin Stain

A.  Osteosarcoma

B.  Ependymoma, WHO grade II

C.  Atypical teratoid/rhabdoid tumor (AT/RT)

D.  Ewing's sarcoma

E.  Metastatic Merkel cell carcinoma


2.    Deletion or mutation of hSNF5/SMARCB1/INI1 has not been described in which of the following tumors?  Answer

A.  Medulloblastoma

B.  Renal medullary carcinoma

C.  Epithelioid sarcoma

D.  Cribiform neuroepithelial tumor of the ventricle

E.  Malignant rhabdoid tumor


Last updated: December, 20, 2014. Contributed by Kar-Ming Fung, M.D., Ph.D.

Dept. of Pathology, University of Oklahoma Health Sciences Center, Oklahoma City, OK, U.S.A.