Case No.: S-002

Diagnosis: Plexiform neurofibroma

Organ: Spinal nerve root

Last Updated: 11/21/2011

 

Online Slide/Full Screen/Open with ImageScope

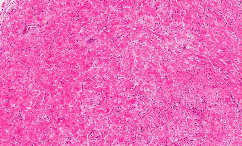
Hematoxylin & eosin

Area 1: The more eosinophilic areas are composed predominantly of collagen fibers with a low density of spindle cells with small, slightly elongated nuclei without nuclear atypia. In contrast to schwannoma, the blood vessels are thin wall instead of thick and sclerotic vessel wall.

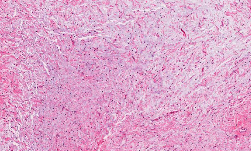
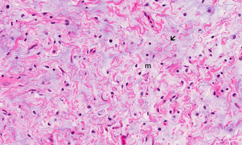
Hematoxylin & eosin

Area 2: The pale area is composed predominantly of a myxomatous background (m) and embedded within which are fine curvy collagen fibers (arrow). Note that the density of cells is almost identical in the eosinophilic areas and the pale areas.

History: The patient was a 25 year-old woman with a 6 cm mass in her T8 spinal nerve root. The mass was excised and yielded the specimen being shown here.

 

Histologic Highlights of this Case:

  • The salient feature of this slide is that of a spindle cell proliferation with nodule formation (arrows). The histopathologic picture is reminiscent of the cross section of a bunch of spaghetti. Some of the area looks more eosinophilic on scanning magnification (Area 1) and they corresponds to the area with minimal or no myxomatous changes. These areas contain substantial amount of collagen and a low density of tumor cells. The pale areas (Area 2) is characterized by more impressive myxomatous changes. Note that the two areas intermingle with other imperceptibly.

  • Note that tumor has pushing margin and there is no invasion into the surrounding adipose tissue (a)

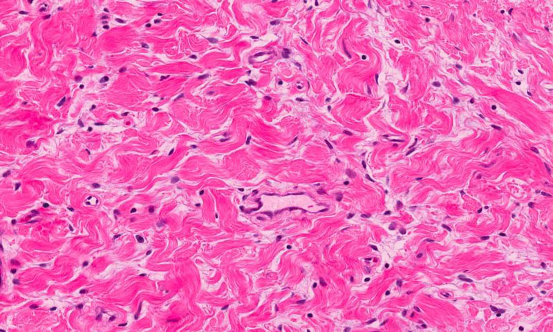
  • On higher magnification, the tumor is composed of spindle cells with low small and bland nuclei. There is no areas with high grade nuclei or active mitosis.

Comment:

  • Neurofibroma tends to occur in the peripheral part of the peripheral nervous system. A neurofibroma occurring in the spinal nerve root raises a strong concern for neurofibromatosis 1 (NF1). Plexiform neurofibroma is seen almost exclusively in patient with NF1. This patient has a proved history of NF1 at the time of surgery.

  • Neurofibroma arising in NF1 patient tends to arise in early age, in usual locations, and has a high frequency of malignant transformation. A thorough examination of the specimen and careful search for high grade area is important to rule the possibility of malignant peripheral nerve sheath tumor.

  • It is important to distinguish schwannoma from neurofibroma. Neurofibroma characteristically has myxomatous stroma with spindle cells. While schwannoma tends to push the nerve to the side, neurofibroma diffusely infiltrates the affected nerve and therefore entrapped axons can be seen. While they can be picked up on hematoxylin and eosin stained sections, they are efficiently detected by using immunohistochemistry that detects the neurofilament phosphoisoforms that are seen in axons. Silver stains for axons can also be used. Schwannom tends to be extensively positive for S100 but neurofibroma are usually only focally positive. Unlike schwannoma, neurofibroma usually involve many or all fascicles of a nerve and make resection impossible. Plexiform neurofibromas can be found anywhere along the length of the peripheral nerve. Although the plexiform neurofibroma tends to confine the bulk of their involvement in large nerves to the nerve trunks, it also shows diffuse involvement along the length of the nerve which makes complete excision rather difficult. In contrast, sporadic neurofibromas are sharply circumscribed.

Bonus Images:

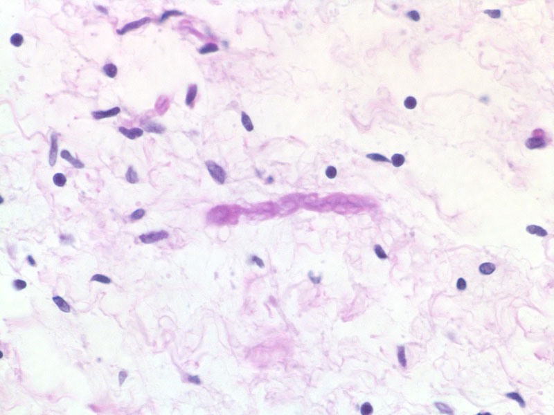
Hematoxylin & eosin

Entrapped axon:  This image is obtained from a different specimen and what is being shown here is most consistent with a segment of entrapped and myelinated axons. But finding an entrapped axon like the one in this image is uncommon. The more efficient way is to do immunohistochemistry on neurofilament protein in order to highlight these axons.

 

Original slide is contributed by _.

 Home Page