Case No.: S-003

Diagnosis: Alveolar soft part sarcoma

Anatomical Region: Soft tissue, leg

Last Updated: 11/21/2011

Online Slide/Full Screen/Open with ImageScope

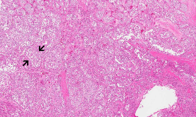
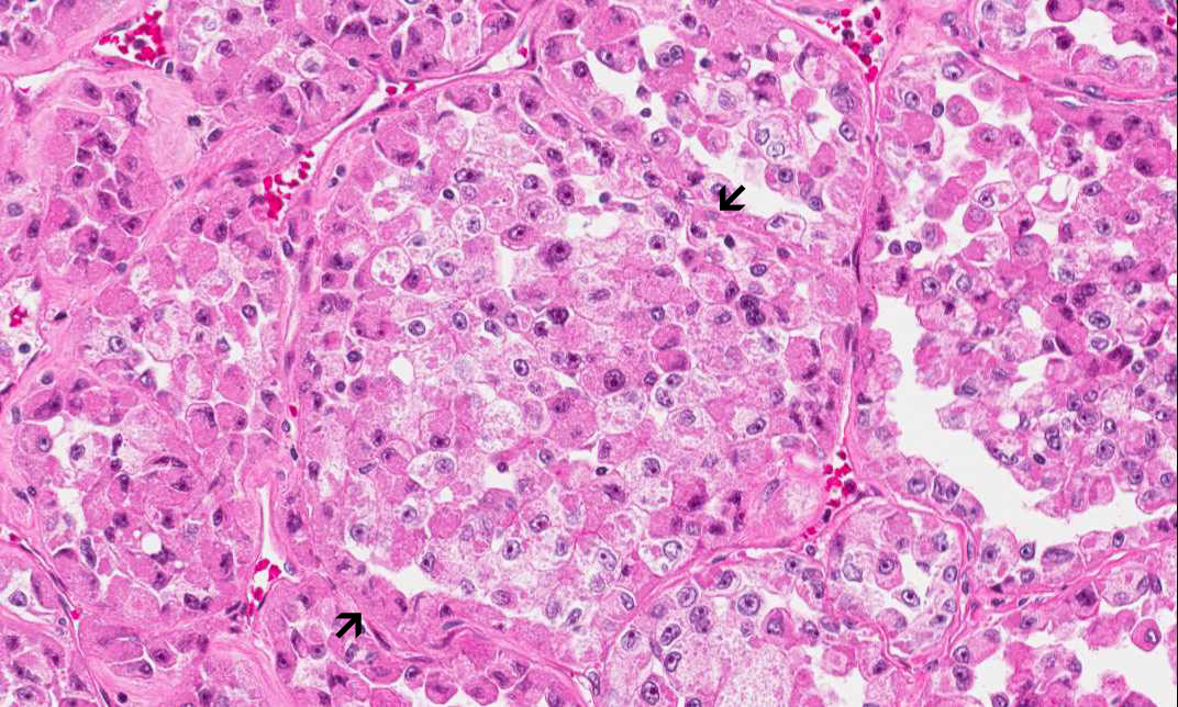
Hematoxylin & eosin

Area 1: The tumor cells are rather monotomous, with distinct cytoplasmic membrane. The tumor cell nests are separated by delicate fibrous septa.

History: This specimen is a representative section from a 9 cm intramuscular mass excised from the inner thigh of a 25 year-old man.

 

Histologic Highlights of this Case:

  • The histopathology of alveolar soft tissue (Area 1) tumor is rather characteristics and stay more or less the same among different tumors. The tumor is composed of nest of large polygonal, and rather monotonous cells with a moderate to large, round nuclei with prominent nuceoli. Intercellular cytoplasmic membrane is usually distinct. The tumor cells are separated by thin fibrous septa into small and large nests. Thin walled sinusoidal channels are present within these fibrous septa.

  • PAS stain with diastases digestion demonstrated diastase resistant PAS positive material in some but not all tumor cells. The amount of PAS positive diastase resistant substance can vary from substantial to absent.

  • Immunohistochemistry for cytokeratin AE1/AE3, S100 protein, and synaptophysin are negative. Cytokeratin is useful to screen for metastatic clear cell carcinoma particularly renal cell carcinoma. S100 and synaptophysin can help to screen for granular cell tumor and paraganglioma.

Comment:

  • Alveolar soft part sarcoma has been described in many different locations. The lower eyxtremities are the most common location in adults and the head and neck region is the most common in children.

  • Alveolar soft part sarcoma can metastasize many years after excision and treatment with bone, lung, liver and central nervous system as the most common sites. In contrast to other sarcoma, it has a high tendency to metastasize to the brain. One of the speculation is that alveolar soft part sarcoma has a strong tendency for vascular invasion.

  • Intracellular rhomboid or rod-shaped crystalline bodies is an ultrastructural diagnostic feature of alveolar soft part sarcoma. They can be demonstrated as PAS positive, diastase resistant rod-shaped substances.

  • Alveolar soft part sarcoma is associated with der(17)t(X;17)(p11.2q25). This unbalanced translocation forms a fusion of the TFE3 gene on Xp11.2 with the ASPL gene and generated a fusion protein that localizes to the nucleus and functions as an aberrant transcription factor.

Further Reading:

Bonus Images:

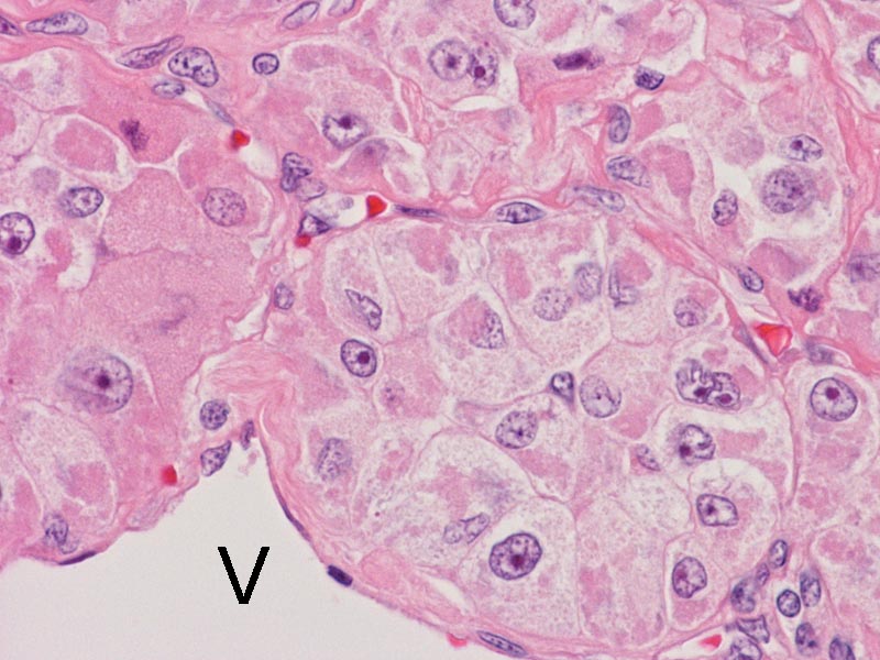
Hematoxylin & eosin

High magnification: The pleomorphic nuclei can be well appreciated. The tumor is present in a location just under the endothelial cells. Note the lumen of the vessel (V)

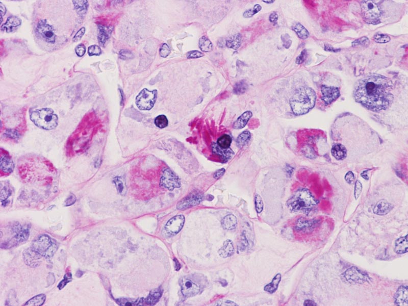
PAS with diastase

Area 2: Note the PAS positive, diastase resistant rods. It is a very characteristic finding for alveolar soft part sarcoma.

 

Original slide is contributed by Dr. Kar-Ming Fung, University of Oklahoma Health Science Center, Oklahoma, U.S.A.

 Home Page