Case No.: T-001

Diagnosis: Papillary carcinoma.    

Organ: Thyroid

Last Updated: 12/21/2009

 

Online Slide/Full Screen/Open with ImageScope

Hematoxylin & eosin

Area 1: Note the irregular margin of the tumor.

Hematoxylin & eosin

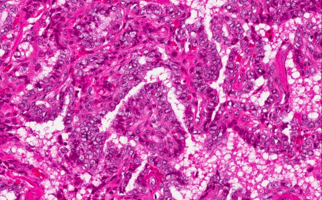
Area 2: Note the papillary growth pattern. It is featured by fine villous or finger like fibrovascular stroma lined by neoplastic epithelial cells. The nuclei are enlarged, often have nuclear grooves and pseudonuclear inclusion. Overlapping of nuclei is also common.

Hematoxylin & eosin

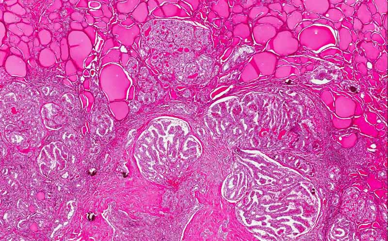
Area 3: This is a normal thyroid area for comparison.

Hematoxylin & eosin

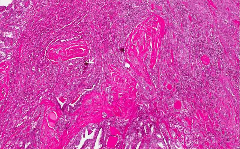
Area 4: Fibrosis (F) and calcifications (C) are characteristic features of thyroid papillary carcinoma. These calcifications can exists as amorphous depositioins or round, concentric psammoma bodies.

History: The patient was a 35 year-old woman who has a firm nodule palpable on her thyroid. A fine need aspiration was performed and reviewed papillary carcinoma of the thyroid. The current slides was obtained from the thyroidectomy specimen.

 

Histologic Highlights of this Case:

  • The tumor is an roughly nodular blue lesion (outlined by the arrows) and with irregular margin (Area 1).

  • On mediummagnification, the tumor has papillary growth pattern. (Area 2)

  • Compare to the normal thryoid in the same slide (Area 3), the normal structure is disrupted. In addition, the nuclei of the tumor are larger than that of the normal thyroid.

  • Fibrosis and calcifications are common in papillary thyroid carcinoma (Area 4).

Bonus images:

Hematoxylin & eosin  

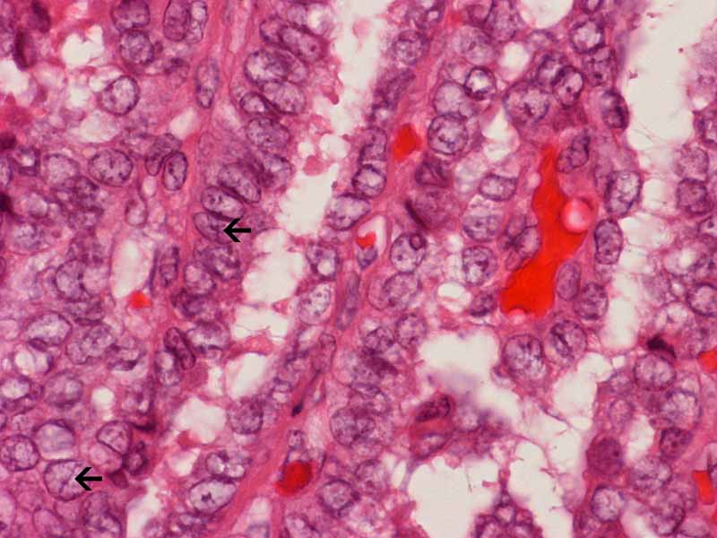
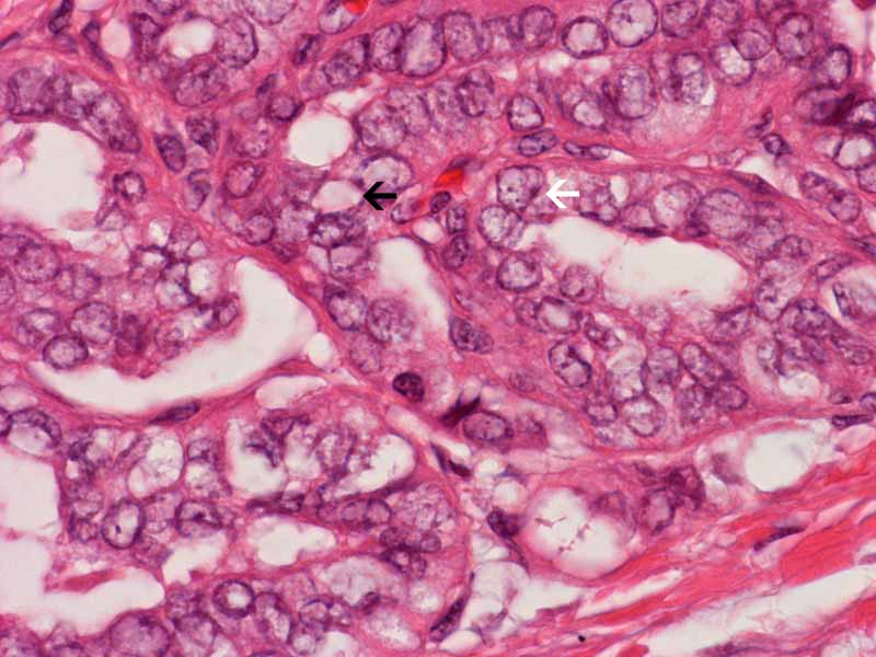
Nuclear features: These high-magnification photos illustrate the characteristic nuclear features of papillary carcinoma of thyroid which include enlarged nuclei with pale "watery" nucleoplasm, pseudonuclear inclusion (arrow in the left panel) and nuclear grooves arrow in the right panel). Overlapping of the nuclei is also a characteristic feature.

Original slide is contributed by Dr. Kar-Ming Fung, University of Oklahoma Health Sciences Center, Oklahoma, U.S.A.

 Home Page