Case No.: Z-002

Diagnosis: Merkel Cell Carcinoma

Organ: Skin (Face)

Last Updated: 08/28/2010

Online Slide/Full Screen/Open with ImageScope

Hematoxylin & eosin

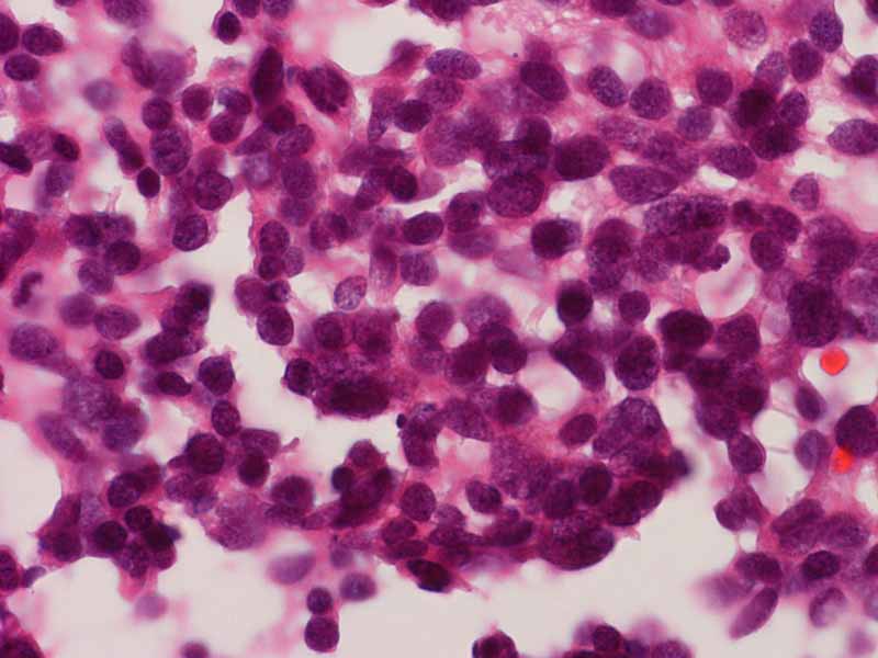
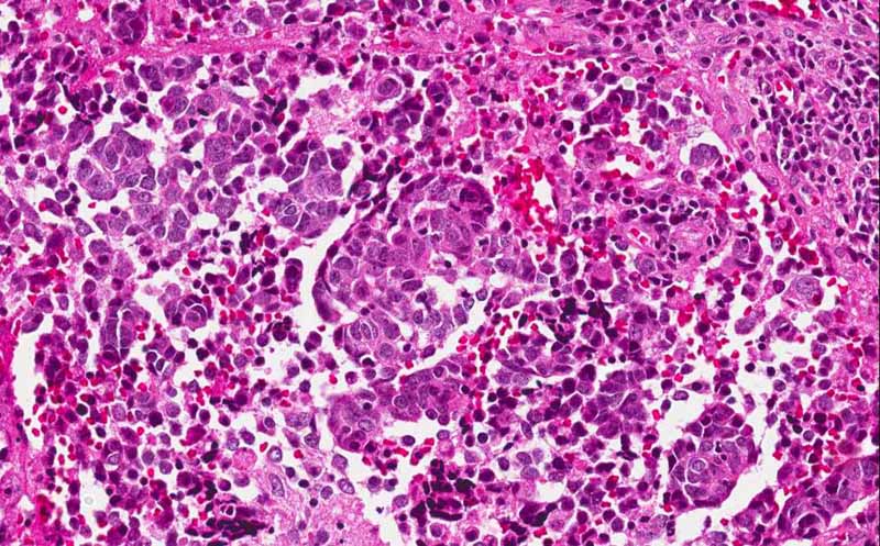
Area 1: Tumor involvement is limited to the dermis without infiltration into the epidermis. In fact, the tumor is separated from the dermis by a thin layer of fibrous tissue. On high magnification, the cells have hyperchromic nuclei, no prominent nucleoli, and only a small amount of cytoplasm. All of these are features of a so-called small blue cell tumor.

Hematoxylin & eosin

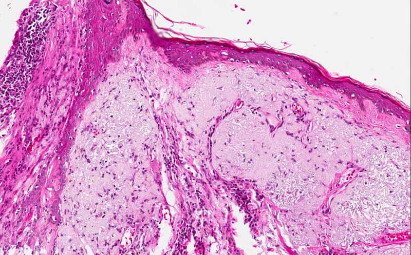
Area 2: This is taken at the junction between the tumor and the adjacent skin uninvolved by the carcinoma. There is a thick layer of bluish mucoid appearing material in the dermis of the uninvolved skin. These changes are what is termed solar elastosis and is indicative of sun damage. It is typically seen in sun exposed skin.

History:  The patient is a 49 year old man who had a roughly 1 cm nodule on his left face. The epidermis covering the nodule appeared to be intact. The lesion was excised along with radical neck dissection of his left neck. The slide illustrated here was obtained from the lesion on his face. No lesion is noted in his lung or other part of the body.

 

Histopathology:

  • The lesion is that composed of neoplastic cells that occupy dermis and form a nodule. The cells have very high nuclear to cytoplasmic ratio with only very small amount of cytoplasm. The nuclear are very hyperchromatic but no prominent nucleoli are noted. There is no specific pattern formation. These type of tumor are often called small blue cell tumor.

  • Small blue cell tumor is a jargon which refers to neoplasms with small cells with high nuclear to cytoplasmic ratio and often without prominent pattern formation. It includes Merkel cell carcinoma, small cell carcinoma, medulloblastoma, peripheral primitive neuroectodermal tumor, neuroblastomas and other tumors.

  • The epidermis covering the lesion is intact.

  • There is extensive solar elastosis which indicates sun damage and go along with a sun exposed location (face in this case).

  • On immunohistochemistry, the tumor cells are positive for cytokeratin, synaptophysin, and epithelial membrane antigen.

  • The overall features are most consistent with Merkel cell carcinoma.

Comment:

  • A dermal subcutaneous small blue cell tumor should seriously raise the possibility of a Merkel cell carcinoma. This is a rare but highly aggressively tumor. Several microscopic metastasis were identified in the lymph node of the neck dissection of this patient.

  • Although quite uncommon, the possibility of metastatic small carcinoma of the lung should be entertained. One of the helpful immunohistochemistry in this case is thyroid transcription factor 1 (TTF-1) which is often positive in small cell carcinoma and adenocarcinoma of lung origin. The possibility of primary malignant melanoma should also be entertained. Malignant melanoma typically have large and prominent nucleoli and dermal involvement. Melanin pigment, which is often present in primary melanoma, is also a helpful hint.

  • It has recently been proved that over 90% of Merkel cell carcinoma are related to a polyoma virus (see references).

Reference:

Bonus Images:

Hematoxylin & eosin

This image was taken at 60x original magnification. The features of a small blue cell tumor is well illustrated here.

Synaptophysin

Merkel cell carcinoma is a neuroendocrine neoplasm and is positive for synaptophysin and chromogranin (not shown here).

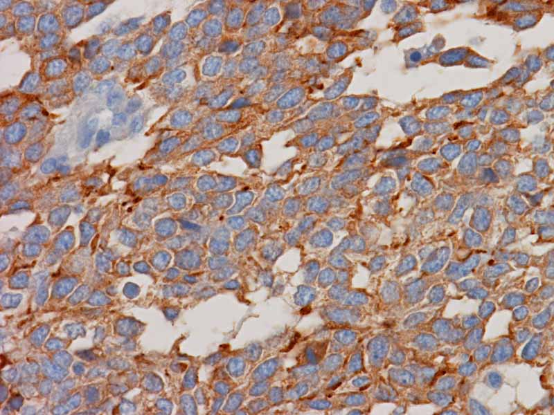
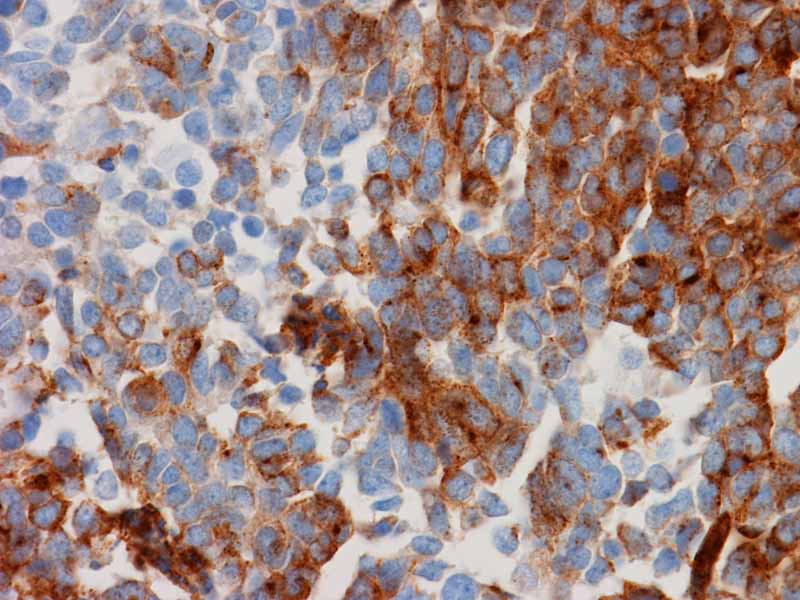
Epithelial Membrane Antigen (EMA)

Merkel cell carcinoma is also positive for epithelial markers including cytokeratin and EMA.

Original slide is contributed by Dr. Kar-Ming Fung, University of Oklahoma Health Sciences Center, Oklahoma, U.S.A.

 Home Page