Case No.: Z-004

Diagnosis: Pilonidal cyst

Organ: Skin, buttock

Last Updated: 12/21/2011

Online Slide/Full Screen/Open with ImageScope

Hematoxylin & eosin

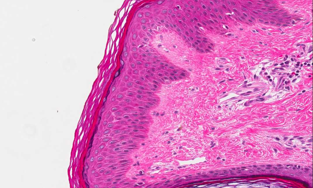
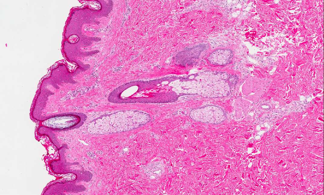
Area 1: This image is taken from the epidermis. You can see keratinizing squamous epithelium with skin appendages. These features identify this specimen as skin.

Hematoxylin & eosin

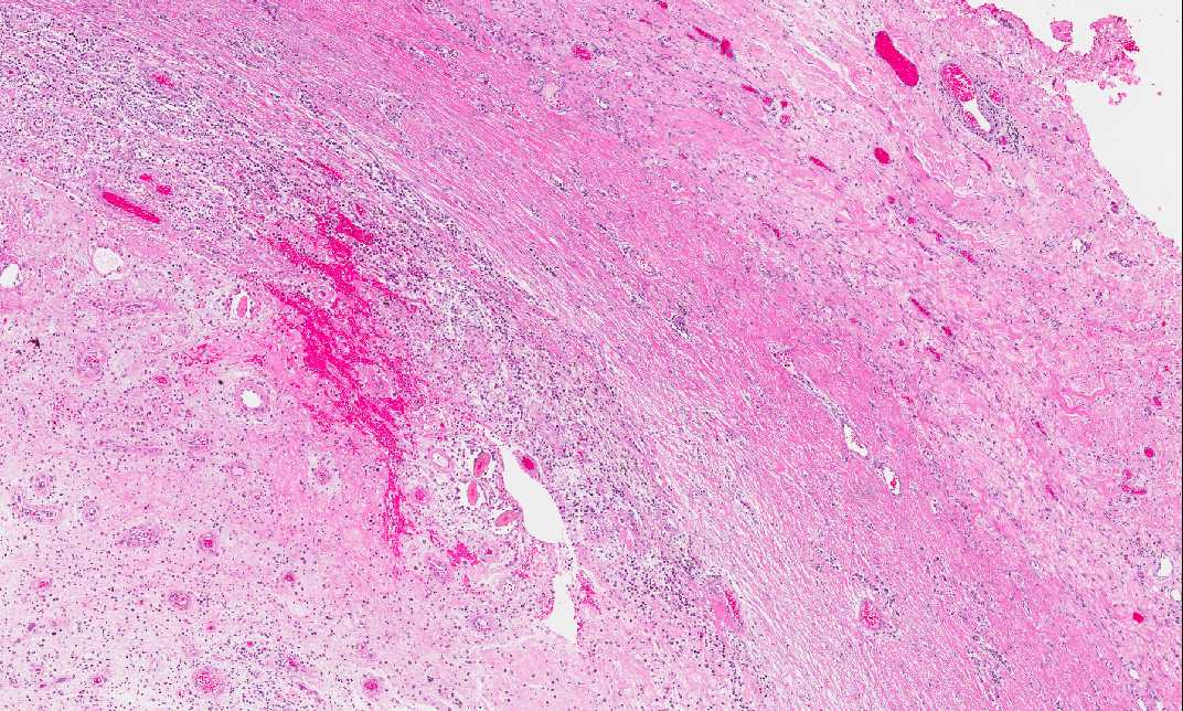
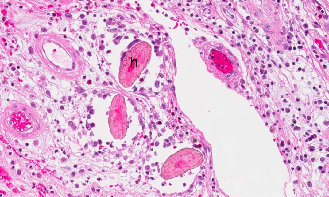
Area 2: The periphery of the lesion is lined by granulation tissue, chronic inflammatory cells and many oval structures. These structures are oblique cuts of hair shafts (h). The granulation tissue and chronic inflammation are reactive changes.

Hematoxylin & eosin

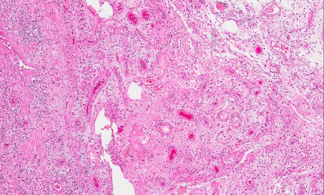
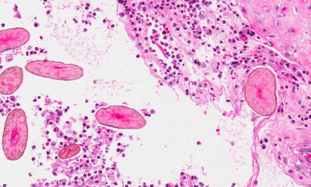
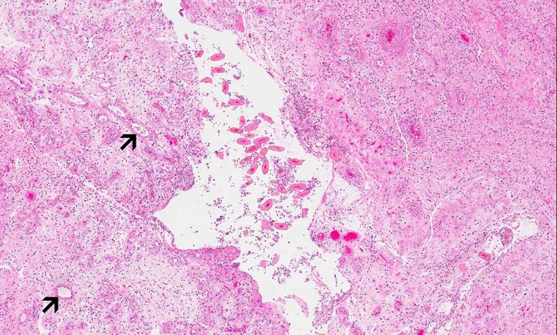
Area 3: Note that the center of the cystic lesion is also filled by a few hair shafts. The granulation tissue and inflammatory cells are reactive changes. Note that numerous blood vessels (arrows) are present in the granulation tissue.

Hematoxylin & eosin

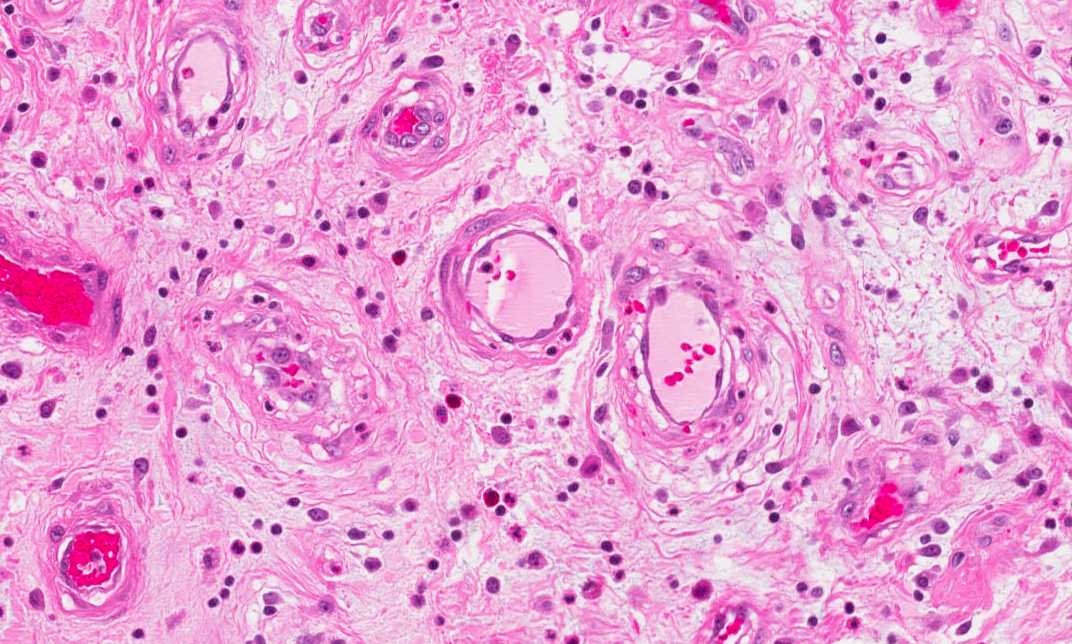
Area 4: The pathologic changes are very similar in different parts of the cystic lining.

History: This slide was obtained from a nodule, 1.8 cm across, of a 34 year-old woman. The nodule is located at the cleft of the buttock a few centimeters from the anus.

 

Histologic Highlights of this Case:

  • The highlight is a cystic lesion with a fibrous wall. The cystic lesion is lined by granulation tissue with chronic inflammation and hair hair shafts. Note the zonal distribution of different components of this lesion.

Comment:

  • This entity can exist as an isolated cyst or in the form of a sinus (pilonidal sinu). The most common location, as in this case, is in the sacrococcygeal region of hirsute males but it can also be found in many other areas. It can be seen in finger webs of barbers' hand but suprisingly uncommon in female hairdressers, shearers, and dog groomers.

  • Malignancy is uncommon and if it happens, it is usually a squamous cell carcinoma arising in a long standing lesion. There is no evidence to suggest malignancy in this case.

  • Abscess formation featured by substantial acute inflammation and degenerative polymorphonuclear leukocytes (pus formation) can occur but it is absent in this case. The cystic changes in this case, however, suggest prior abscess formation that has subsided or been treated.

  • The number of hair shafts can be quite variable. It can be substantial like this case or scant in other cases. In cases with scant hair shafts, identification of them is important in order to arrive at a correct diagnosis.

Original slide is contributed by Dr. Kar-Ming Fung, University of Oklahoma Health Science Center, Oklahoma, U.S.A.

 Home Page