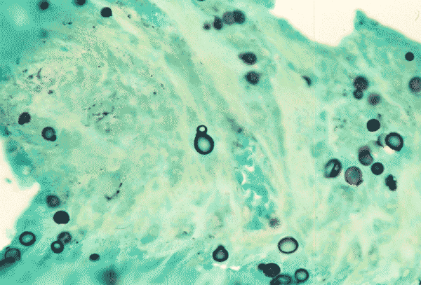
April 2003, Case 304-2.

In this Gomori’s methenamine silver (GMS) stained section, yeasts with single broad based bud are present.