A 39 year-old Man with Primary Infertility.
May, 2003, Case 305-3. Home Page

Grant Davis, M.D. and Barbara L. Bane M.D. Last update: May 30, 2003.

Department of Pathology, University of Oklahoma Health Sciences Center, Oklahoma City, Oklahoma

Clinical information: A 39 year-old man presented with a 12-year history of infertility. His previous spermiograms which demonstrated azoospermia.  He had normal secondary male characteristics.  His testosterone level was 386 ng/dL (reference range 270 - 1730 ng/dL), and his follicle stimulating hormone (FSH) level was elevated at 17.9 mIU/mL (reference range 1.0 - 7.9 mIU/mL).  Past medical history was negative for mumps, testicular trauma, erectile dysfunction, chemotherapy, or hormone therapy.  He had no known systemic illness.  Physical examination revealed bilaterally descended testes that were slightly smaller than normal.  No testicular masses were palpated.  A testicular biopsy was performed and yielded two cores of soft cream-colored tissue of 0.4 cm in length. The specimen was fixed in Bouin's solution.  Representative photomicrographs are shown below.

Pathology of the case: 

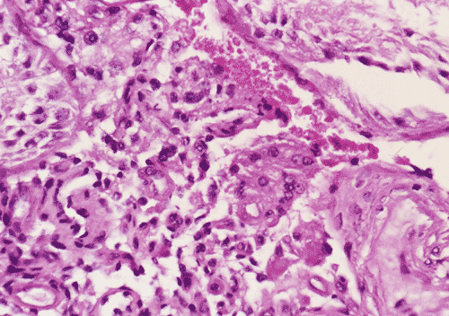
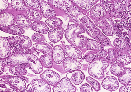
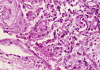
Com305-3-HE-MM1.gif (104657 bytes) Com305-3-HE-MM2.gif (55891 bytes) Com305-3-HE-HM2.gif (104576 bytes) Com305-3-HE-HM1.gif (80648 bytes)
A. B. C. D.

    On low-magnification (Panel A), the diameter of the seminiferous tubules appeared to be slightly decreased. There is, however, no thickening of the basement membranes, interstitial fibrosis, or inflammation. On medium and high- magnification (Panel B and C),the seminiferous tubules are lined by columnar Sertoli cells which have triangular to ovoid nuclei, pale-staining chromatin, and prominent central nucleoli. The salient feature is the total lack of spermatogenesis (Panel C). The interstitium contains a few scattered clusters of Leydig cells without definitive evidence of hyperplasia (Panel D).  

DIAGNOSIS: Sertoli cell-only syndrome (germinal cell aplasia), mature (adult) variant.

Discussion: General Information    Embryology    Pathology

General Information    

    Primary testicular failure occurs in approximately 1% of all men, and is present in 10% of those obtaining medical consultation for infertility.1 Sertoli cell-only syndrome (SCOS) 1,2,3, also known as germinal cell aplasia, is not an uncommon finding in testicular biopsies that are performed in these patients. The salient histopathologic feature of SCOS is the absence of germ cells. The seminiferous tubules are lined by Sertoli cells which may resemble immature (prepubertal) or mature Sertoli cells, or have other changes which may correlate with specific etiologies and clinical findings. Many of these patients are karyotypically normal and have normal secondary male sexual characteristics, yet are infertile and azoospermic (having no detectable sperm counts), or at most have very low sperm counts.

    During the 1990s intracytoplasmic sperm injection (ICSI) was introduced, which brought new relevance to the testicular biopsy, transforming it into a therapeutic as well as a diagnostic procedure. With ICSI, doctors can retrieve sperm from some men with SCOS, allowing them to have their own biological children.4,5 Certain histopathologic features in testicular biopsies in patients with SCOS have been found to correlate with successful sperm retrieval procedures, principally the finding of focal clustered tubules containing maturing germ cells (so-called mixed testicular atrophy).  

Embryology

    To facilitate understanding of the classification of SCOS, a few words concerning normal embryology, physiology, and histology of the testes are included here. Germ cells originate in the yolk sac and migrate to the gonadal ridge, and are later incorporated into the testes. Germ cell elements at various stages of maturation comprise the majority of cells within normal adult seminiferous tubules, outnumbering Sertoli cells approximately 13:1. Germ cells undergo proliferation and renewal, with some maturing into spermatogonia. Sertoli cells are essential in this process, both by forming the blood-testis barrier and by producing a variety of substances essential for germ cell maturation. Adult Sertoli cells have irregularly shaped (sometimes triangular) nuclei, pale chromatin, and prominent nucleoli, unlike their immature counterparts which have ovoid nuclei with a regular outline and inconspicuous nucleoli. In normal adult tubules, Sertoli cells may be inconspicuous, obscured by germ cells, but they are readily identified by their basal location and prominent nucleolus. Adult seminiferous tubules average 180 mm in diameter and have open tubular lumens.6  

Pathology  

    According to Nistal et al.,1,7,8 five morphologic variants of SCOC are recognized, which include immature, dysgenetic, mature (adult-type), involuting, and dedifferentiated. Recognition of these variants is important to assess the etiology of germinal cell aplasia in a given patient. In addition, in a small number of the patients with the mature and dysgenetic variants, focal spermatogenesis may be observed. The dysgenetic, mature, and involuting variants of SCOS are more commonly encountered than the immature and dedifferentiated variants. The three former variants are associated with elevated follicle stimulating hormone, normal or elevated luteinizing hormone, and normal testosterone levels. This constellation of findings, taken together with Sertoli cell-only histology, infertility, and azoospermia, was formerly known as the del Castillo syndrome.

    The immature variant is caused by a primary deficiency of FSH and LH production that begins in childhood and, as a result, maturation and renewal of germ cells does not occur. Diameters of the seminiferous tubule are generally decreased in all forms of SCOS, but this is most prominent in the immature variant, where tubular diameter may be less than 80. Sertoli cells exhibit pseudostratification and are rounded or oval and have dark chromatin. Tubular lumens are small or absent.

    In the mature variant, the seminiferous tubules are lined by mature-appearing columnar Sertoli cells, some which have roughly triangular (so-called tripartite) nuclei and/or vacuolated cytoplasm. Seminiferous tubular diameters are smaller than in normal adult testes, but larger than in immature SCOS; tubular lumens are open. The putative pathogenesis is failure of migration of germ cells from the primitive yolk sac to the gonadal ridge. In spite of this, the Sertoli cells, under normal hormonal regulation, develop relatively normally. Some patients with mature SCOS have a history of viral orchitis; many cases are idiopathic.

    The dysgenetic variant is characterized by Sertoli cells with some degree of maturation, primarily of the cytoplasm. The pseudostratified nuclei do not assume the tripartite configuration of mature Sertoli cells, but have irregular outlines and sometimes have coarse chromatin granules. Sometimes an admixture of mature and immature-appearing Sertoli cells is observed, with variation between seminiferous tubules and even within tubules. Tubular lumens are generally inconspicuous. Dysgenetic morphology has been associated with abnormalities of the Y chromosome and cryptorchid testes.

    The involuting variant of SCOS is characterized by atrophic changes of the Sertoli cells; the nuclei are lobulated and have irregular outlines. Tubular lumens are open and basement membranes are generally thickened. The interstitium may be fibrotic. Presumably the cause of the atrophy in Sertoli cells is also the cause of the loss of germinal cells; Leydig cells are variably involved. Etiologies include irradiation, cancer chemotherapy, and cyclophosphamide. Similar findings are observed in the normal aging process, and therefore some cases may represent premature or accelerated aging.

    In the dedifferentiated variant of SCOS, immature-appearing Sertoli cells are present in otherwise normal seminiferous tubules. Similar to the immature variant, the Sertoli cells have rounded nuclei and exhibit pseudostratification. In contrast, however, the tubules are larger and have open lumens. Etiologies of dedifferentiated SCOS include hormonal therapy for prostate cancer, cisplatin, and estrogen given to transsexual patients. Fibrosis and thickening of the basement membrane are not features of this variant.

    Other authors have used different classifications that are not entirely possible to be compared with that by Nistal et al., described above. Anniballo et al.1 divided SCOS into two categories: pure (congenital) and mixed (secondary). The pure form in their conceptualization is caused by failure of migration of germ cells. The mixed form is related to postnatal damage to previously healthly testicular tissue. These authors state that retrieving germ cells in cases of pure SCOS is impossible. Therefore, these cases should be identified in order to spare unnecessary medical expenses and inconvenience to patients. Positive immunostaining of seminiferous tubules for vimentin and negative staining for cytokeratin was associated with pure SCOS. In mixed SCOS, there are features that correlate with the focal presence of germ cells that may be translated into increased likelihood of successful sperm retrieval are present. These features include positive staining for lipids in Sertoli cell cytoplasm that indicates of reabsorption of germ cells and presence of telomerase activity. The combination of increased inhibin and normal serum FSH levels is also an indication of the presence of spermatids.

Reference: 

  1. Anniballo R, Ubaldi F, Cobellis L, Sorrentino M, Rienzi L, Greco E, Tesarik J. Criteria predicting the absence of spermatozoa in the Sertoli cell only syndrome can be used to improve success rates of sperm retrieval. Human Reproduction 2000;15:2269-2277.

  2. Nistal M and Paniagua R. Non-neoplastic diseases of the testis. In: Bostwick DG and Eble JN.  Urologic Surgical Pathology. St. Louis: Mosby, 1997:498-501.

  3. Levin HS. Nonneoplastic diseases of the testis. In: Sternberg SS, Antonioli DA, Carter D, Mills SE, Oberman HA, eds. Diagnostic Surgical Pathology. 3rd Ed. Philadelphia: Lippincott Williams & Wilkins, 1999:1952-3.

  4. Schwarzer JU, Fiedler K, v Hertwig I, Krusmann G, Wurfel W, Schleyer M, Muhlen B, Pickl U, Lochner-Ernst D. Sperm retrieval procedures and intracytoplasmic spermatozoa injection with epididymal and testicular sperms. Urol Int. 2003;70:119-23.

  5. Seo JT, Ko WJ.. Predictive factors of successful testicular sperm recovery in non-obstructive azoospermia patients. Int J Androl. 2001;24:306-10.

  6. Trainer TD. Testis and Excretory Duct System. In: Sternberg SS, ed. Histology for Pathologists. 2nd Ed. Philadelphia: Lippincott-Raven Publishers,1997:1019-1028.

  7. Nistal M, Jimenez F, Paniagua R. Sertoli cell types in the Sertoli cell-only syndrome: relationships between Sertoli cell morphology and aetiology. Histopathology. 1990;16:173-80.

  8. Nistal M, Paniagua R. Testicular biopsy: contemporary interpretation. Urologic Clinics of North America. 1999;26:555-93.