A 45 year-old Woman with an Enhancing Brain Mass.
June, 2003, Case 306-1. Home Page

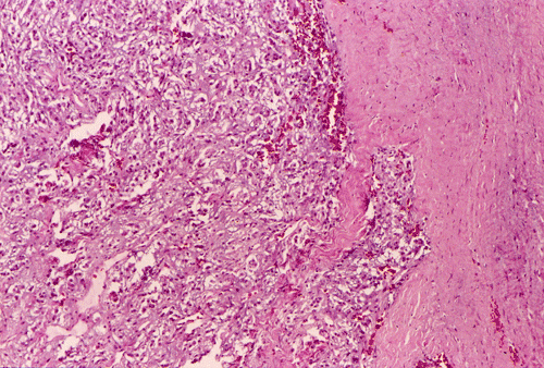
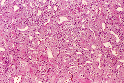
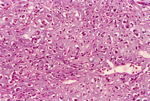
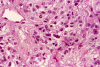
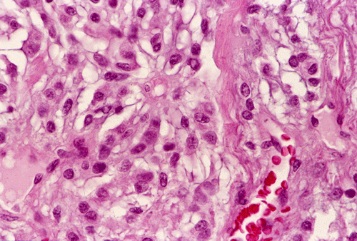
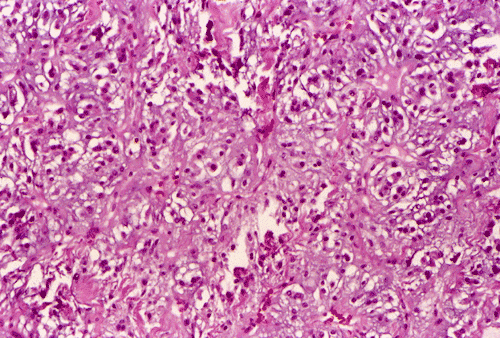
Clinical information: The patient was a 45 year old woman with a headache. MRI revealed a strongly enhancing dural based tumor of the falx cerebri. Edema was noted in the surrounding brain tissue but no mass effect was noted. Surgery yielded the following specimen.

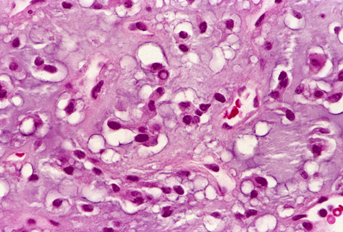
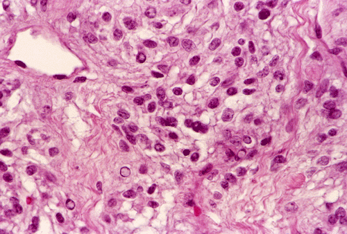
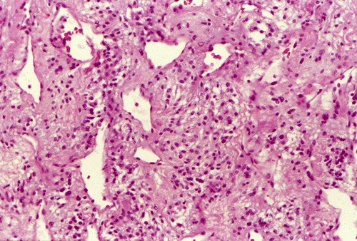
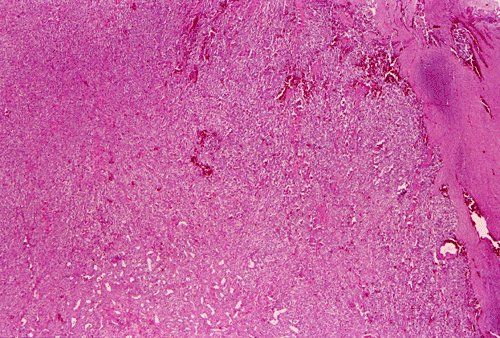
Com306-1-SM1.gif (135577 bytes) Com306-1-LM1.gif (132417 bytes) Com306-1-MM1.gif (130086 bytes) Com306-1-MM3.gif (120784 bytes) Com306-1-HM1.gif (138921 bytes) Com306-1-LM2.gif (130851 bytes)
A. B. C. D. E. F.
Com306-1-MM2.gif (119753 bytes) Com306-1-hm3.gif (141362 bytes) Com306-1-HM2.gif (137867 bytes)      
G. H. I.      
Panel A and B are low magnification photographs taken at an area adjacent to the dura. Panel C to E are taken from similar areas. Panel F to I are taken from similar areas.

What is your diagnosis? Discussion