A 45 year-old Woman with an Enhancing Brain Mass.
June, 2003, Case 306-1. Home Page

Glen D. Houston, D.D.S. and Kar-Ming Fung, M.D., Ph.D. Last update: November 15, 2006.

Department of Pathology, University of Oklahoma Health Science Center, Oklahoma City, Oklahoma.

Clinical information: The patient was a 21 year-old white male who presented with a painless, expansile, and radiolucent mass in the left, posterior mandible for an unknown period of time. A biopsy was performed and yielded the following material.

Com306-2-X-ray.gif (96102 bytes) Com306-2-LM2.gif (96066 bytes) Com306-2-HM1.gif (86203 bytes) Com306-2-HM2.gif (80374 bytes)
A. B. C. D.
Com306-2-LM1.gif (80137 bytes) Com306-2-MM1.gif (104665 bytes) Com306-2-HM3.gif (107604 bytes) Com306-2-HM4.gif (103992 bytes)
E. F. G. H.

Radiology of the case: 

      Panoramic radiography shows a radiolucent, multilocular mass that expanded the left ramus (A). It involves the ramus tooth #17 to #21 and also extends into the left condyle. The margin of the lesion is scalloped and non-sclerotic. No periosteal reaction is present. Some fine trabeculae are present but no radiodensity suggestive of mineralized content are present.

Pathology of the case: 

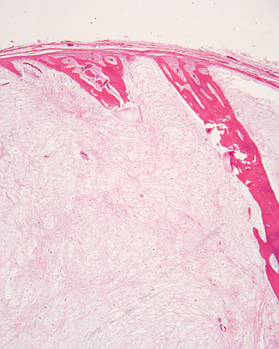
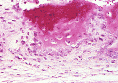
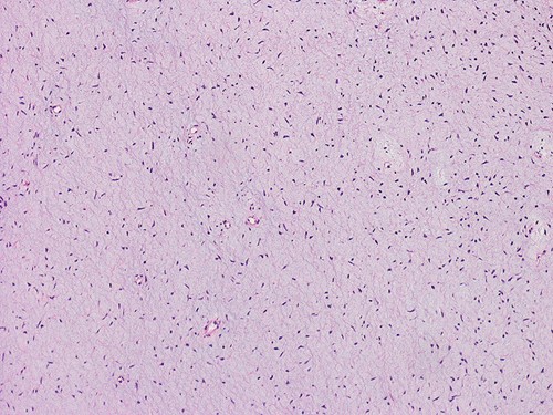
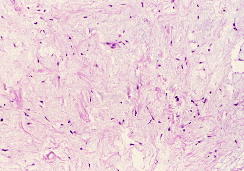
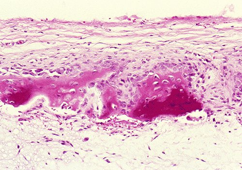
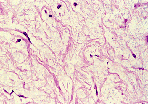
      The biopsy material contained several small cores of tissue. Panel B is a low-magnification photo that showed a myxomatous lesion on one side with some linear mature bone trabeculae on the other side. This area probably represented the thinned out residual cortical bone. Panels C and D are higher magnification photos of the bone trabeculae in Panel B. No osteoclastic activity is evident. Panel E shows small, mature bone spicules that are surrounded by myxomatous tissue. The hypocellular and myxomatous nature of the lesion is well demonstrated in Panel F. Panel G and H are high magnification photos from different areas and show a modest number of collagen fibers within a myxomatous background. The bland features of the tumor cells are also well illustrated.

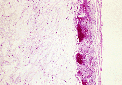
    An en bloc resection was performed. The thin cortex that is demonstrated in the panoramic view is confirmed on histologic examination and illustrated in Panel I.

DIAGNOSIS: Myxoma of the mandible.

Discussion: General Information    Radiographic features    Pathology    Differential diagnosis

General Information    

Myxomas of the jaw (MOJs) are benign, slow growing, locally invasive, myxomatous neoplasms 1. Local recurrence is common. MOJs are rare tumors and comprise about 8% of all odontogenic tumors 2.  Although they are seen in a wide age group, they are most often found in the second and third decades. About 12.5% of them occur in children according to one study 3. The earliest stage is typically asymptomatic and detection at this stage is by on routine radiographic examination. The earliest manifestation of myxoma of the jaw is typically a painless, asymptomatic expansile mass. Teeth in the affected may spread, migrate, and exhibit root resorption. MOJs are more common in the mandible than maxilla 4,5. Maxillary MOJs can spread rapidly through the cancellous bone and behave clinically more aggressive than mandibular myxomas; some of these tumors may involve the maxillary sinus with extension into the soft tissue of the cheek producing a subcutaneous mass. On physical examination, they can also be mistaken as tumors arising from the major salivary glands. Due to their notorious risk of recurrence, en bloc or marginal resection is the treatment of choice over curettage but this goal may be difficult to achieve in large maxillary MOJs.

Myxomas are not seen in the extragnathic skeleton and MOJs are currently considered of odontogenic origin 6. Although uncommon, myxomas of the soft tissue are well-recognized entity in the head and neck region and in other parts of the body. They occur most commonly in the fourth to seventh decades and most of them arise as intramuscular tumors [Click here to see a case of intramuscular myxoma]. They may also occur in the subcutaneous tissues, fascial planes and in association with neurovascular bundles. The palate and parotid gland are the most common sites 7.

Radiographic features

The radiographic features of MOJs are not unique. Typically, they occur as expansile radiolucent unilocular or multilocular lesions with irregular or scalloped margin. They are often but not always found in tooth bearing regions 5. The larger ones tend to be multilocular 4. A sclerotic margin is not a typical feature. There may be thin trabeculae of residual bone that are often arranged at right angles to one another within the radiolucent defect but mineralized tissue is not present. This feature distinguishes it from many odontogenic lesions such as calcifying odontogenic tumors and osteoblastomas that contain mineralized tissue. The radiographic features also overlap with many other agnathic lesions. Large MOJs of the mandible may have a “soap bubble” appearance that mimic ameloblastomas. Giant-cell granulomas also have radiological and clinical features similar to MOJs.  

Pathology    

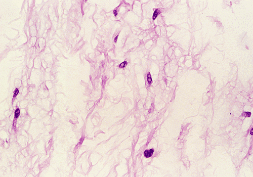
Macroscopically, MOJs have a gelatinous, loose texture and may be covered by a thin shell of cortical bone that has been eroded by the tumor. Histologically, they are typically hypovascular and hypocellular. The lesional tissue is composed of small, stellate or spindle-shaped cells in a myxomatous background. Nuclei are usually small and hyperchromatic; mitotic figures are lacking. Scattered small islands of odontogenic epithelial cells that usually appear inactive  are present 6. Histochemically, the myxomatous ground substance contains acid mucoploysaccharide, chiefly hyaluronic acid and chondroitin sulfate. This be well demonstrated by alcian blue stain. A few delicate collagen fibrils are typically present. Some cases may have an increased amount of collagen and they are sometimes termed fibromyxoma. There is no evidence, however, that these tumors behave differently.

Differential diagnosis

Histologically, several mesenchymal tumors may be confused with MOJs. Mesenchymal tumors with myxoid changes should be distinguished from MOJs. Similar to other osseous lesions, radiographic-pathologic correlation is critical in the diagnosis of particularly when only small biopsy specimen is available as in our case.

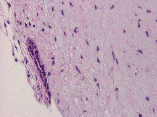
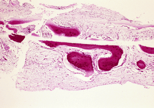
Myxoid tissue are present in the dental papilla of a developing tooth. Enlarged dental follicle and residual dental pulp of a tooth that has been extracted may all have histologic features similar to MOJs. These lesions may be mistaken as MOJs 8. Dental follicles usually contain odontogenic epithelial cell rests and are often wholly or partially lined by epithelium; the background is usually fibrous and has variable degree of myxomatous change. Typically, the amount of myxoid tissue is minute. Dental pulp tissues are usually circumscribed nodules with eosinophilic condensation with increased cellularity at the tissue margin; they also contain islands of odontogenic epithelium. Representative images are shown here:

In many cases, the tissue is obtained from the vicinity of a developing tooth as illustrated by the arrow here. Histologically, the bulk of the tissue appears myxoid, hypocellular, and contains bland, spindle cells. On careful search, odontogenic epithelium can be found.

Chondromyxoid fibromas are rare tumors  9,10. They are most commonly seen in patients under 25 years of age. They expand the involved areas and are usually painful. Most of them are found in the mandible. Similar to MOJs, they are circumscribed and radiolucent but it may have mineralized content and a sclerotic margin. Histologically, the myxoid or chondroid components are separated by a more cellular tissue composed of spindle-shaped cells or round cells with varying numbers of multinucleated giant cells. The cells in the chondroid areas usually maintain a spindle-shaped morphology instead of lacunar cells of chondrocytes. 

Odontogenic fibroma can occur in any age. Radiographically, it may have a “soap bubble” appearance. Histologically, it is an intraosseous tumor with immature fibrous component with a variable amount of non-neoplastic odontogenic epithelial cell nests. The fibrous component has a homogenous distribution of fibroblasts within a collagenized background. Variable amounts of cementum-like calcifications may be present. 

Fibrous dysplasia has demographic features similar to MOJs. Radiographically, it has a “ground-glass” appearance with an ill-defined, hazy margin. Histologically, there are C-shaped trabeculae of woven or immature bone within a proliferating fibroblastic stroma of variable cellularity; myxomatous changes may be present. Osteoblastic rimming of these trabeculae is usually absent. Bone production can be seen at the periphery of the lesion. Many osteoclastic giant cells are present and they have a tendency to form a cuff around capillaries. Extravasated blood and hemosiderin depositionare characteristic features. 

Chondrosarcoma of the jaw is rare. Radiographically, it often contains radiolucent areas and hazy radiodensity. Although the well-differentiated chondrosarcoma may have bland histology and mimic normal cartilage, it has chondroid rather than myxoid background. Mesenchymal chondrosarcoma exhibits increased incidence in the head and neck area; the presence of highly pleomorphic areas and hemangiopericytoma-like cells should allow easy separation from MOJs.  

Reference: 

  1. Barker BF. Odontogenic myxoma. Semin Diagn Pathol. 1999 16:297-301.

  2. Auriol M, Chomette G, Martino R, Bertrand JC, Guilbert F. Odontogenic myxoma. A histoenzymologic and ultrastructural study. Apropos of 5 cases. J Biol Buccale. 1986 14:215-22.

  3. Keszler A, Dominguez FV, Giannunzio G. Myxoma in childhood: an analysis of 10 cases. J Oral Maxillofac Surg 1995 53:518-21.

  4. Kaffe I, Naor H, Buchner A. Clinical and radiological features of odontogenic myxoma of the jaws. Dentomaxillofac Radiol. 1997 26:299-303.

  5. Slootweg PJ, Wittkampf AR. Myxoma of the jaws. An analysis of 15 cases. J Maxillofac Surg. 1986 14:46-52.

  6. Lombardi T, Lock C, Samson J, Odell EW.  S100, alpha-smooth muscle actin and cytokeratin 19 immunohistochemistry in odontogenic and soft tissue myxomas. J Clin Pathol. 1995 48:759-62.

  7. Tse JJ, Vander S. The soft tissue myxoma of the head and neck region--report of a case and literature review. Head Neck Surg. 1985 7:479-83.

  8. Kim J, Ellis GL. Dental follicular tissue: misinterpretation as odontogenic tumors. J Oral Maxillofac Surg. 1993 5:762-7.

  9. Damm DD, White DK, Geissler RH Jr, Drummond JF, Gonty AA. Chondromyxoid fibroma of the maxilla. Electron microscopic findings and review of the literature. Oral Surg Oral Med Oral Pathol 1985 59:176-83.
  10. Davis GB, Tideman H. Chondromyxoid fibroma of the mandible. Case report. Int J Oral Surg. 1978 7:23-6.