A 29 year-old Woman with a Mass in the Thigh.
June, 2003, Case 306-3. Home Page

Adeboye O. Osunkoya, M.D. and Ravindranauth N. Sawh, M.B., B.S., D.M. (Path) First Published: June 30, 2003.

Department of Pathology, University of Oklahoma Health Science Center, Oklahoma City, Oklahoma

Kar-Ming Fung, M.D., Ph.D. Last update: April 20, 2020.

Department of Pathology, University of Oklahoma Health Science Center, Oklahoma City, Oklahoma

Clinical information: A 29 year-old woman presented with a 9 cm mass in the thigh without bone involvement. An excision yielded the following specimen.

Gross pathology of the case: 

    The tumor was lobulated and circumscribed. It had a fleshy gray-white, soft cut surface with scattered small foci that were more translucent than the surrounding tumor tissue.

Histopathology of the case: 

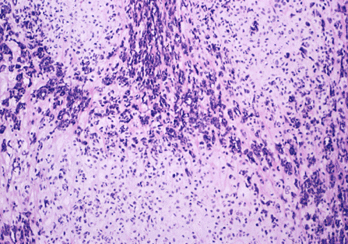
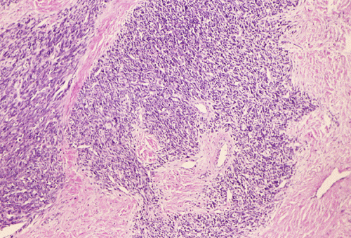
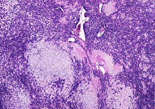
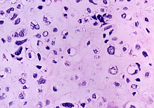
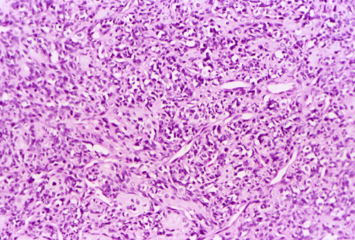
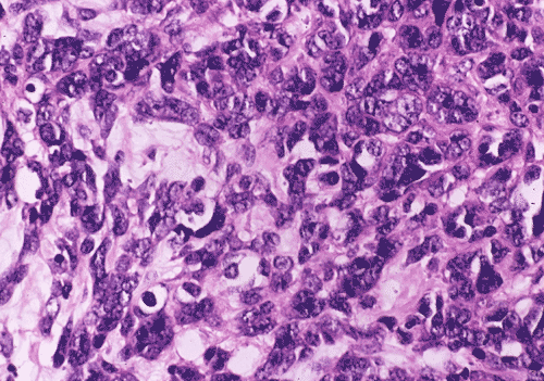
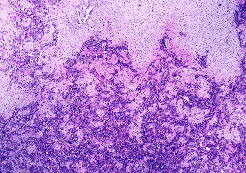
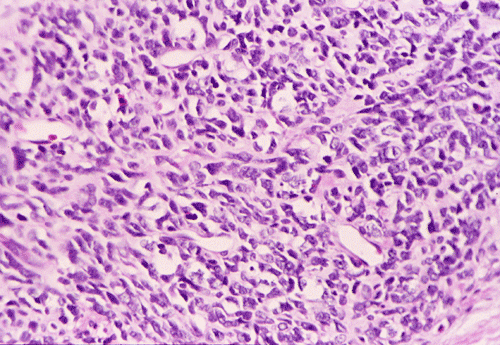
Com306-3-LM1.gif (95498 bytes) Com306-3-LM2.gif (97133 bytes) Com306-3-MM1.gif (93272 bytes) Com306-3-HM3.gif (132072 bytes)  
A. B. C. D.  
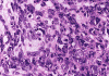
Com306-3-HM2.gif (98941 bytes) Com306-3-LM3.gif (134903 bytes) Com306-3-MM2.gif (131647 bytes)    
E. F. G.    

    At low power magnification (Panel A and B), the tumor seems to have two distinct components. The first is a highly cellular, basophilic, background stroma. The second is islands of well-demarcated, pale bluish chondroid, hypocellular areas reminiscent of hyaline cartilage. Together, these two components impart a so-called "white clouds in blue sky" histologic appearance. At medium- and high power magnification (Panel C and D), the lacuna in the chondroid areas are well appreciated which helps to confirm the cartilaginous nature of these pale islands. Please note the impressive nuclear pleomorphism in the neoplastic chondrocytes (Panel D).

    The basophilic background is composed of tightly packed, undifferentiated spindle cells without significant deposition of collagen fibers in between (Panel E). Panels  F, G, and H are taken from a different area of the tumor and were not posted on the question web-page. The pathologic change in these areas are very common among mesenchymal chondrosarcoma and should be looked. These include lobules of highly cellular tumor separated by fibrous connective tissue septa (Panel F) and Prominent tumor vascularity with highly branching vessels which (with a bit of imagination!) resemble deer "antlers" or "staghorns"(Panel G and H). This pattern of vessel distribution is similar to that seen in hemangiopericytoma (an uncommon soft tissue tumor) and is therefore often described as a “hemangiopericytoma-like” vascular pattern. The overall gross and light microscopic features in this case are consistent with a diagnosis of primary extraskeletal mesenchymal chondrosarcoma.

DIAGNOSIS: Extraskeletal mesenchymal chondrosarcoma. 

Discussion: General Information    Pathology    Molecular Pathology    Differential diagnosis

General Information   

   Mesenchymal chondrosarcoma is a rare malignant neoplasm that was first described as a distinct pathologic entity in 1959 by Lichtenstein and Bernstein 1. Perhaps, it is the most common extraskeletal tumor of osseous origin and it has a reputation of occurring in odd locations.

    Histologically, the tumor is characterized by a bimorphic growth pattern in which islands of usually well-differentiated hyaline cartilage embedded in a background of basophilic primitive mesenchymal cells. This created the well-known “white clouds in blue sky” pictures of these tumors. In addition, hemangiopericytoma-like components are typically present [Dabska M & Huvos AG, 1983]. Mesenchymal chondrosarcoma differs from conventional chondrosarcomas in three different aspects. First, it tends to occur in young patients. Second, it has a predilection for the for the head and neck areas. Third, about one third of these cases occur in soft tissue. The articles by Arora & Riddle (2018) and Shakked RJ et al. (2012) are recommended.

    Epidemiologically, mesenchymal chondrosarcoma represents less than 2% of all cartilaginous malignancies [Nakashima Y et al., 1986] and typically affects patients in the second and third decades of life, i.e. adolescents and young adults. However, the tumor has also been reported to occur in infants and young children particularly in the head an neck region [Dabska M & Huvos AG, 1983; Crawford JG et., 1995; La Spina M et a., 2003; Crosswell H et al., 2000]. Males and females are involved in equal proportion. Mesenchymal chondrosarcoma may arise in both skeletal and extraskeletal locations, with the former about two times more common than the latter. In contrast to conventional chondrosarcoma which typically involve the long bones and pelvic bones, skeletal mesenchymal chondrosarcomas typically involve the jaws and ribs [Nakashima Y et al., 1986; Vencio EF at al., 1998; Takahashi K et al 1993] whereas extraskeletal tumors most often occur in the head and neck region, including the orbit and lacrimal gland [Kashyap S et al., 2001; Khouja N et al., 1999; Kiratli H et al., 2018] and the central nervous system [La Spina M et a., 2003; Demirtas E et a;., 2000; Salvati M et al., 2005], and in the lower extremities, with the thigh being the most common site. However, this tumor has also been reported in a variety of unusual sites, including the heart [Nesi G et al., 2000], femoral vein [Kim et al., 2003], thyroid [Sadashiva N et al., 2016] lung 2, and kidney 3.

    Clinical symptoms vary, depending on the site of involvement and whether the lesion is skeletal or extraskeletal. However, pain and swelling lasting more than one year is typical. Radiologically, skeletal lesions are primarily lytic and destructive with poor peripheral margins. Cortical destruction with breakthrough, and extraosseous extension into soft tissue, are common. Chondroid type calcifications and foci of low signal intensity with enhancing lobules are also seen. Most extraskeletal mesenchymal chondrosarcomas are deep seated tumors with more than two third of them occur in the thigh, particularly the popliteal fossa 17. Radiographically, they do not have distinctive features that allows differentiation from other sarcomas.

    Mesenchymal chondrosarcoma is a highly aggressive tumor. In general, they have a metastatic rate higher than other cartilaginous malignancies and has an increased tendency to metastasize to the brain, lung, and liver. Metastasis to the lung is most common. Surgical treatment involves wide or radical resection of the lesion. Adjuvant radiation therapy has been employed for some high grade lesions, but systemic chemotherapy has had little or no success. The long-term prognosis is generally poor with 5- and 10-year survival rates of about 50% and 25%, respectively 2, 3

Pathology    

    Grossly, mesenchymal chondrosarcoma typically appears as a circumscribed, lobulated, solid mass with a soft, fleshy, grey-white to gray-pink cut surface. Scattered deposits of cartilage and/or bone of varying size may be grossly recognized, and areas of hemorrhage and necrosis may be present. Tumor size is variable with reported tumor diameters ranging from 3 - 37 cm. Microscopically, mesenchymal chondrosarcomas are biphasic tumors composed of sheets of round to spindle-shaped primitive mesenchymal cells surrounding discrete islands of hyaline cartilage. The proportions of primitive and cartilaginous elements vary widely among tumors and even within different areas of the same tumor. Cartilaginous differentiation ranges in degree and extent from small foci with high-grade nuclear features to large areas of well-differentiated cartilage. The primitive mesenchymal component is highly vascular, typically containing large numbers of highly branched vascular channels (the so-called “hemangiopericytoma-like pattern”).

    This high variation in the proportion of cartilaginous component and mesenchymal component must be taken into consideration when core biopsy is employed as a diagnostic procedure. For a larger tumor, the sample can be dominated by either component which suggest chondrosarcoma or fibrosarcoma and Ewing sarcoma. With the high incidence in soft tissue particularly in the head and neck region, a high index of suspicion is need to avoid misinterpretation of small core biopsies. On the other hand, this typical white clouds in blue sky pattern makes diagnosis quite straight forward in resection specimens.

    Immunohistochemically, the cartilaginous areas are indistinguishable from other forms of chondrosarcoma. A wide range of low- to high-level of differentiation can be seen. Biologically, different stages of cartilaginous differentiation have been demonstrated in mesenchymal chondrosarocoma by phenotypic studies [Aigner T et al., 2000]. The cartilaginous component typically staining strongly for S-100 protein.  However, only isolated cells in the primitive appearing areas stain for this antigen. NKX3.1 has been shown to be 100% positive in a small study [Yoshida KI et al., 2020]. Sox9, a transcription factor considered to be a “master regulator” of chondrogenesis, was reported to be positive in both the primitive mesenchymal and the cartilaginous components of 21/22 mesenchymal chondrosarcomas tested, while being negative in a total of 68 other “small round blue cell tumors" [Wehrli BM et al., 2003; Fanburgh-Smith JC et al., 2010].

    The primitive component but not the chondroid component of mesenchymal chondrosarcoma is immunoreactive for vimentin and CD99 (membranous pattern) [Granter SR et al., 1996]. In the mesenchymal component, epithelial markers such as cytokeratin and epithelial membrane antigen are usually negative. Other than some rare cases [Fanburgh-Smith JC et al., 2010; Salvati M et al., 2005], epithelial markers such as cytokeratin, epithelial membrane antigen and markers for rhabdomyosarcomatous differentiation such as desmin, myogenin and myoD are negative, In over 50% of cases, all components of the tumor i.e. small cells, lacunar chondroblasts, and chondroid matrix, stain for Leu-7 [Swanson PE et al., 1990]. INI1 is preserved and this can be used to distinguish the primitive mesenchymal component from other primitive appearing tumor with INI1 loss such as atypical teratoid/rhabdoid tumor of the central nervous system and epithelioid sarcomas [Hollmann TJ and Hornick JL, 2011]. The small cell component can mimic Ewing sarcoma and both tumor shows positive membranous staining pattern. FLI-1 is negative in mesenchymal chondrosarcoma, small cell osteosarcoma, small cell carcinoma, and rhabdomyosarcoma but positive in 75% of Ewing sarcoma [Lee AF et al., 2011].

Molecular Pathology & Cytogenetics:

    A recurrent HEY1-NCOA2 fusion has been demonstrated in 7 out of 11 cases of mesenchymal chondrosarcoma by FISH [Wang et al., 2012]. IRF2BP2-CDX1 fusion was demonstrated in 10 of 15 cases of mesenchymal chondrosarcomas [Nyquist KB et al., 2012]. These are potential diagnostic markers. A case without classic histopathological featrues of mesenchymal chondrosarcoma was diagnosed using FISH for HEY1-NCOA2 fusion [Uneda A et al, 2020]. Interestingly, there is another case with classic histopathology but lacks both fusions [Yamagishi A et al., 2020].

    While at least half of chondrosarcoma and chondromas harbors a mutation in IDH1 and IDH2, mesenchymal chondrosarcomas do not harbor these mutations [Amary MF et al., 2011]. On the other hand, mesenchymal chondrosarcoma is positive for NKX3.1 and AGGRECAN [Yoshida KI et al., 2020; Perret R et al., 2020]. This suggest that it is very likely a NFATc2-sarcomas. This family is characterized by EWSR1-NFATc2 and fusions and FUS-NFATc2 fusions [Watson S et al., 2018; Wang GY et al., 2019; Bode-Lesniewska B et al., 2019; Diaz-Perez JA et al., 2019].

    A short list of cytogenetic changes have been summarized [Shakked RJ et al., 2012]. Translocations involving chromosomes 13 and 21 [der(13;21)(q10;q10)] have been demonstrated in three tumors (two skeletal, one extraskeletal), possibly representing a chromosomal rearrangement characteristic of this neoplasm [Naumann S et al., 2002]. However, a single case of mesenchymal chondrosarcoma has also been reported to show the reciprocal translocation t(11;22)(q24;q12) typical of Ewing sarcoma [Sainati L et al., 1993], suggesting a possible relationship with this entity.

Differential diagnosis

    The histologic differential diagnosis of mesenchymal chondrosarcoma is broad, and includes dedifferentiated chondrosarcoma, Ewing's sarcoma, embryonal rhabdomyosarcoma, hemangiopericytoma, synovial sarcoma, small cell osteosarcoma, and non-Hodgkin lymphoma.

   Conventional chondrosarcoma lacks the primitive mesenchymal component. Dedifferentiated chondrosarcoma [Click here to see a case], however, can mimic mesenchymal chondrosarcoma. These tumors typically occur in an older age group and is more likely to affect the appendicular skeleton. These tumors show an abrupt transition between the low-grade chondroid component and the high grade dedifferentiated component. This abrupt transition can suggest mesenchymal chondrosarcoma particularly in small core biopsies. The dedifferentiated component appears high-grade but not as primitive mesenchymal component. A hemangiopericytoma-like vascular pattern is not a feature. Mutations of IDH1 and IDH2 are present in about 50% of chondrosarcomas, they are not present in mesenchymal chondrosarcomas [Amary MF et al., 2011].

    Ewing's sarcoma lacks a chondroid component, and tumor cells are typically S-100 protein-negative, unlike mesenchymal chondrosarcoma. Reciprocal translocation between chromosomes 11 and 22 involving bands q24 and q12, t(11;22)(q24;q12) leading to EWSR1-FLI1 fusion occurs in approximately 85% of Ewing’s sarcomas. Other uncommon fusions include EWSR1-ERG and EWSR1-ETV1 [Source].

    Embryonal rhabdomyosarcoma lacks a chondroid component and consistently expresses muscle differentiation markers such as desmin, muscle specific actin, and myoglobin. It lacks a diagnostic gene fusion. Although hemangiopericytoma and synovial sarcoma may contain areas with vascular architecture similar to that of mesenchymal chondrosarcoma, they lack the chondroid component.  Small cell osteosarcoma is typically negative for S-100 protein and have bone formation. Non-Hodgkin lymphomas are positive for leucocyte common antigen (LCA) and they also lack the chondroid component.

Reference: 

  1. Lichtenstein L, Bernstein D. Unusual benign and malignant chondroid tumors of bone: a survey of some mesenchymal cartilage tumors and malignant chondroblastic tumors including a few multricentric ones and chondromyxoid fibromas. Cancer 1959 12:1142-57.
  2. Dorfman HD, Czerniak B. Malignant cartilage tumors. In Bone Tumors, St. Louis, 1998, Mosby;353-440.
  3. Weiss SW, Goldblum JR. Cartilaginous soft tissue tumors. In Enzinger and Weiss’s Soft Tissue Tumors, 4th edt. Mosby, St. Louis, 2001, pp. 1361-88.