A 32 year-old Woman with a Ventricular Tumor.
June, 2003, Case 307-1. Home Page

Chimène Kesserwan, M.D. and Richard W. Leech, M.D. Last update: July 30, 2003.

Department of Pathology, University of Oklahoma Health Science Center, Oklahoma City, Oklahoma

Clinical information: The patient was a 32 year-old woman who presented with recent change in mental status. Imaging studies revealed an exophytic tumor in the third ventricle that expanded the third ventricle and caused hydrocephalus.

Pathology of the case:

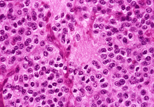
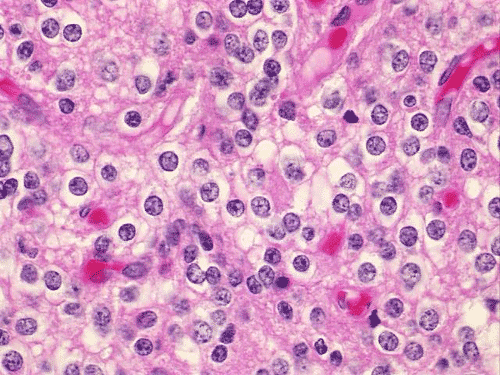
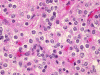
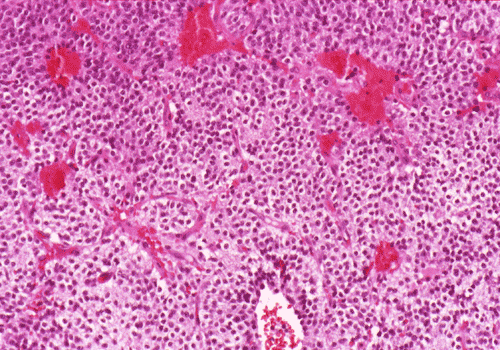
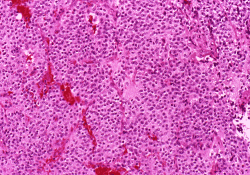
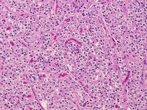
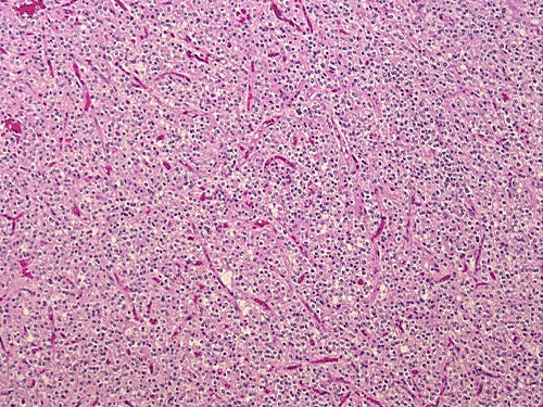
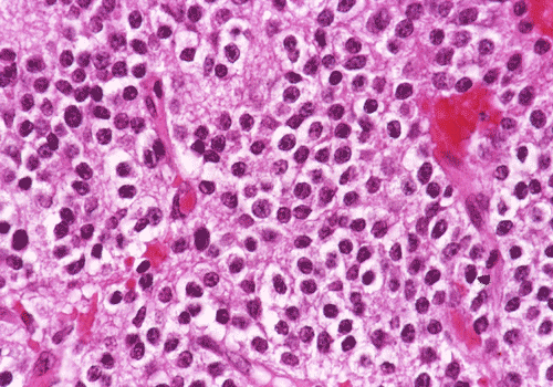
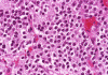
Com307-1-MM3.gif (137752 bytes) Com307-1-MM2.gif (130175 bytes) Com307-1-HM1.gif (116871 bytes) Com307-1-HM3.gif (122817 bytes)
A. B. C. D.
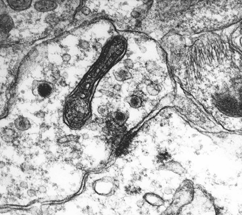
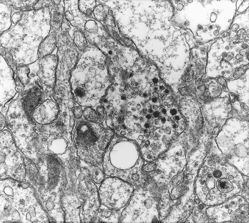
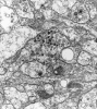
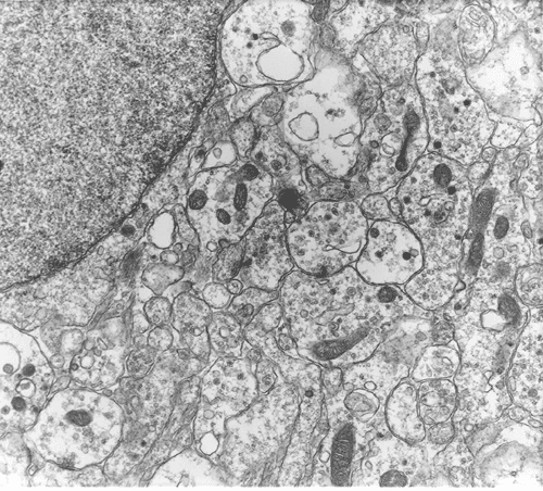
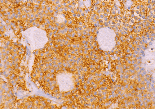
Com307-1-Synaptophysin.gif (123483 bytes) Com307-1-EM1.gif (147229 bytes) Com307-1-EM2.gif (141968 bytes) Com307-1-EM3.gif (127452 bytes)
E.
Synaptophysin
F. G. H.

Panel A and B are low-magnification photomicrographs featuring solid sheets of isomorphous, small round to ovoid neoplastic cells with a delicate but rich vascular network. There are also intervening irregular patches of fibrillary neuropils. At high-magnification, the tumor cells appear as fairly uniform round to polygonal cells with perinuclear halo (Panel C). An island of neuropil is present in Panel D. The tumor cells are immunoreactive for synaptophysin (Panel E). The tumor cells were not immunoreactive for neurofilament proteins. At the ultrastructural level, the neoplastic cells contain numerous cell processes filled with vessicles and dense core granules (Panel F and G). Dense core granules and vescicles in high-mangification are shown in Panel H. The vesicles have structures similar to that of the synaptic vesicles, a feature of neuronal differentiation.

DIAGNOSIS: Central neurocytoma

Discussion: General information    Imaging features    Pathology    Atypical behavior    Differential diagnosis

General information

    Central neurocytoma was first described by Hassoun et al., in 1982 1. It is a rare tumor of the central nervous system with neurocytic differentiation and favorable prognoris. In the four-tier World Health Organization (WHO) Classification of Tumors of the Nervous System, it corresponds to a grade II/IV tumor. Although neurocytoma comprises only 0.25-0.5% of all intracranial tumors, they are the most frequent intraventricular tumor in adults. They occur predominantly in the third and fourth decades but can be seen in other age group 2. About three-quarter of the cases occur in the lateral ventricles with the foramina of Monro as the most common sites, the remaining one-quarter of the cases occur in the third ventricles. Rarely, they can occur in the cerebral hemispheres.

    Their ventricular location makes symptoms and signs of hydrocephalus the most common manifestations. The acuteness of clinical manifestations is variable. Uncommonly intraventricular hemorrhage can be the initial cause for medical attention. The 5-year survival rate of patients with classic neurocytoma is 81% as per one large study 3.

Imaging features

    The MRI images of central neurocytoma are usually characteristic. Most of them occur as an exophytic, well circumscribed, globular mass that protrudes into the ventricles. Large tumors are not uncommon. Calcifications are common and easily identified by CT scans. Central neurocytomas that arise in the lateral ventricles typically adhere to the septum pellucidum. Hydrocephalus is common. On T2-weighted image, they are isointense to gray matter. Contrast enhancement is common but variable and it can be intense. From the imaging point of view, the differential diagnoses include heterotopia, oligodendroglioma, ependymoma, subependymoma, subependymal giant cell astrocytoma, choroids plexus papilloma, and intraventricular meningioma 4.

Pathology

    Macrosopically, the lesional tissue is soft, tan and well demarcated from the adjacent brain parenchyma tissue. Some of the tumors are partly cystic.  The consistency varies from soft to gritty, depending on the amount of calcification. Since they do not regularly permeate into the surrounding brain parenchyma, the amount of surrounding brain parenchyma attached to the tumor is often minimal in biopsy tissue. However, secondary attachment of the tumor to the surrounding ventricular surfaces made gross total excision not always possible.

    Histological, the tumor is composed of solid sheets of small, round to polygonal, isomorphic tumor cells with distinct cell membrane. Within the neoplastic cells is a delicate vascular network. Microcalcifications, when present, are distributed throughout the tumor. The cytoplasm is fine and amphophilic. Perinuclear halo is usually present and prominent, leading to an impression of a clear cell tumor. The summation of these features generates a “honey-comb” pattern similar to that of oligodendroglioma and clear cell ependymoma. The nuclei of neurocytoma are round, small, and contain fine and speckled chromatin. Nucleoli are indistinct. Mitotic figures are not readily seen or infrequent. Irregular and small islands of neuropils are present. Perivascular arrangement of neuropils in some areas may closely mimic the coronary perivascular fibrillary hypocellular mantles (perivascular pseudorosettes) that are considered evidence of ependymoma. The real ependymal pseudorosettes are more orderly and fibrillary. A high index of suspicion is important to avoid this trap.

    In intraoperative consultations, cytologic preparations and frozen sections often show features suggestive of a low-grade glial neoplasm. The variation of nuclear size in the cytologic preparation may exceed that in the frozen section and paraffin sections. Nuclei also tend to be more angulated in frozen sections.  The monotonous, small, and bland nuclei may raise the suspicion of an oligodendroglioma. The location of the tumor is very helpful to prevent calling these tumors glial tumors.

    Ultrastructually, central neurocytomas have features of neuronal differentiation that include delicate cytoplasmic processes, microtubules, dense core granules and synaptic bouton-like structures. Intermediate filaments are exceptional. Dense-core granules of 60-160 nm are abundant. Clear vesicles of 40-60 nm of the pre-synaptic type and specialized syanptic junctions can also be seen 1. Neurocytomas also bear immunoactivity for synaptophysin. Immunoreactivity for chromogranin and neurofilament proteins is usually lacking. Slightly more than half of the cases in one study express a photoreceptor antigen 5. Reactive astrocytes, often in the form of stellate shaped cells with long cytoplasmic process, are well demonstrated by immunohistochemistry for glial fibrillary acidic protein (GFAP).

    Interestingly, a small subset of neurocytoma cells coexpress synaptophysin and GFAP and suggest an origin from a pluripotential neuroglial precursor. Neurocytoma cells in culture form a cellular mosaic similar to subependymal layer that contains mitotically active cells, neurons and glial cells 6. This notion is supported by in vitro studies 7. These studies suggest that neurocytoma cells exhibit both neural and glial phenotypes and have the properties reminiscent of precursor cells derived from subventricular matrix. Perhaps it is best to view neurocytoma as a glial neuronal tumor with predominantly neurocytic differentiation.

    Tong et al, through LOH, FISH and differential PCR studies suggest that central neurocytomas are genetically distinct from oligodendrogliomas and neuroblastomas 8. This finding probably shed more light on the pathogenesis of neurocytoma and oligodendroglioma than on the differentiation of the two tumors.

Atypical behavior:

    This tumor is classically considered as benign tumor. However aggressive behavior has been described in some cases that atypical histological featuers and elevated proliferation index 9.  Features associated with aggressive behavior include microvascular proliferation, mitosis and necrosis 10. In one series, the histological and immunohistochemical criteria of biological aggressiveness appeared to be high mitotic activity, tumor necrosis, loss of neuronal differentiation. The proliferation index as evaluated by immunostaining for MIB-1 staining is under 2.3% in classic neurocytomas but over 5.2% in atypical neurocytomas  in one study 11. In another study, 22% of the neurocytomas with a MIB-1 labeling index below 2% relapse. In contrast, 63% of neurocytomas with MIB-1 labeling index over 2% relapse 12. These case are best termed atypical neurocytoma.

Differential diagnosis:

    Central neurocytomas can be confused with oligodendroglioma, clear cell ependymoma, astrocytoma with prominent protoplasmic component, and, less likely, dysembryoplastic neuroepithelial tumor (DNET) arising in the third ventricle..

    Oligodendrogliomas rarely present as intraventricular mass. Although both neurocytomas and oligodendrogliomas share the “honey-comb” architecture, the cytoplasm in neurocytomas tend to be richer and less clear. Genuine neuropil islands are not readily seen in oligodendrogliomas. Immunohistochemically, neurocytomas are positive for synaptophysin but oligodendrogliomas are not. In contrast, negative tumor cells embedded with entrapped brain parenchymal tissue that is immunoreactive for both synaptophysin and neurofilaments are seen in oligodendroglioma.  

Com307-1-DD-Oligo2.gif (165921 bytes) Com307-1-DD-Oligo1.gif (162460 bytes) Com307-1-DD-Oligo3.gif (135247 bytes)
Click thumbnail to see a low-magnification picture of an oligodendroglioma. Note the "randomly regular" distribution of the tumor cells and the delicate but rich vascular network. Peirnuclear clearing can also be well appreciated at this magnification. Click thumbnail to see a medium-magnification picture of an oligodendroglioma. Peirnuclear clearing and the "honey-comb" pattern are well appreciated at this magnification. Click thumbnail to see a high-magnification picture of an oligodendroglioma. Note the isomorphous, small, round nuclei with perinuclear halo.

    Clear cell ependymoma closely mimic oligodendrogliomas and neurocytomas. They tend to occur as well-demarcated, deeply located, contrast-enhancing masses in young patients, usually under 30 years of age.  Classic areas of ependymal differentiation are usually seen 13. Ependymomas are reactive for GFAP and epithelial membrane antigen (EMA). Electron microscopy will also recognize features of ependymal differentiation that include complex intercellular junctions, surface microvilli and cilia, and microrosette formation. In contrast, dense core granules are present in ependymomas.

    The so-called “ependymomas of the foramen of Monro”  typically are composed of clear cells and lack classic morphologic features of ependymomas 14. These tumors being described before the era of synaptophysin are, in fact, central neurocytomas.

    Astrocytomas with substantial protoplasmic component usually contain areas with fibrillary and/or gemistocytic differentiation. Although immunoreactivity for GFAP in the protoplasmic areas may be weak, strong immunoreactivity are seen in other areas. They also lack immunoreactivity for syanptophysin.

    DNETs that occur in the third ventricles may suggest oligodendroglioma and neurocytomas. Their mucoid changes, however, are not characteristic of neurocytomas. The small oligodendrocyte-like cells in DNET also lack immunoreactivity for synaptophysin.

References

  1. Hassoun J, Gambarelli D, Grisoli F, Pellet W, Salamon G, Pellissier JF, Toga M. Central neurocytoma. An electron microscopic study of 2 cases. Acta Neuropathol 1982;56:151-6.

  2. Figarella-Banger D, Söylemezpg, Kleihues P, Hassoun J. Central Neurocytoma. In World Health Organization Tumor of the Nervous System: Pathology and Genetics. Eds. Kleihues P and Cavenee WK. IARC Press, Lyon, 2000.

  3. Schild SE, Scheithauer BW, Haddock MG, Schiff D, Burger PC, Wong WW, Lyons MK. Central neurocytomas. Cancer. 1997 79:790-5.

  4. Atlas SW, Lavi E, Fisher PG. Intraaxial brain tumors. In Magnetic Resonance Imaging of the Brain and Spine. Ed. Atlas SW. 3rd edt. pp 627-632. Lippincott Williams and Wilkins. Philadelphia, 2002.

  5. Mena H, Morrison AL, Jones RV, Gyure KA.  Central neurocytomas express photoreceptor differentiation. Cancer. 2001 91:136-43.

  6. Ishiuchi S, Tamura M. Central neurocytoma: an immunohistochemical, ultrastructutral and cell culture study. Acta Neuropathol 1997 94: 425-35.

  7. Ishiuchi S, Nakazato Y, Iino M, Ozawa S, Tamura M, Ohye C. In vitro neuronal and glial production and differentiation of human central neurocytoma cells. J Neurosci Res 1998 51: 526-35.

  8. Tong CY, Ng HK, Pang JC, Hu J, Hui AB, Poon WS. Central neurocytomas are genetically distinct from oligodendrogliomas and neuroblastomas. Histopathology 2000 37: 160-5.

  9. Ashkan K, Casey AT, D'Arrigo C, Harkness WF, Thomas DG. Benign central neurocytoma. Cancer 2000 89: 1111-20.

  10. Kuchiki H, Kayama T, Sakurada K, Saino M, Kawakami K, Sato S. Two cases of atypical central neurocytomas. Brain tumor pathology 2002 19: 105-10.

  11. Favereaux A, Vital A, Loiseau H, Dousset V, Caille J, Petry K. Histopathological variants of central neurocytoma: Report or 10 cases. Ananles de pathologie 2000 20: 558-63.

  12. Soylemezoglu F, Scheithauer BW, Esteve J, Kleihues P. Atypical central neurocytoma. J Neuropathol Exp Neurol. 1997 56:551-6.

  13. Min KW, Scheithauer BW. Clear cell ependymoma: a mimic of oligodendroglioma: clinicopathologic and ultrastructural considerations. Am J Surg Pathol. 1997 21:820-6.

  14. Zülch KJ. Brain Tumors: their Biology and Pathology. 3rd edt., pp 266 Springer-Verlag, Berlin, 1986.