A 48 year-old Woman with a Mass in Her Thigh.
June, 2003, Case 307-2. Home Page

Mirela Stancu, M.D.1 and Kar-Ming Fung, M.D., Ph.D.2 Last update on July 30, 2003.

1 Department of Pathology, Roger William Medical Center-University Medical Group, Providence, Rode Island and 2 Department of Pathology, University of Oklahoma Health Science Center, Oklahoma City, Oklahoma.

Clinical information:

    The patient was a 48 year-old woman who presented with a 10 cm intramuscular mass in her thigh. Magnetic resonance imaging (MRI) studies suggested a "fatty tumor".  A resection yielded the following specimen.

Com307-2-LM1.gif (148802 bytes) Com307-2-HM3.gif (131353 bytes) Com307-2-HM2.gif (119797 bytes) Com307-2-LM2.gif (158474 bytes) Com307-2-MM3.gif (143538 bytes)
A. B. C. D. E.
Com307-2-MM2.gif (133778 bytes) Com307-2-HM1.gif (125715 bytes) Com307-2-MM1.gif (132759 bytes) Com307-2-MM4.gif (123202 bytes)  
F. G. H. I.  

Gross pathology of the case:

    The tumor was a soft mass and the surface was covered by some tan tissue fragments that were grossly consistent with skeletal muscle. The cut surface was translucent and gelatinous. Neither necrosis nor hemorrhage was present.

Histopathology of the case: 

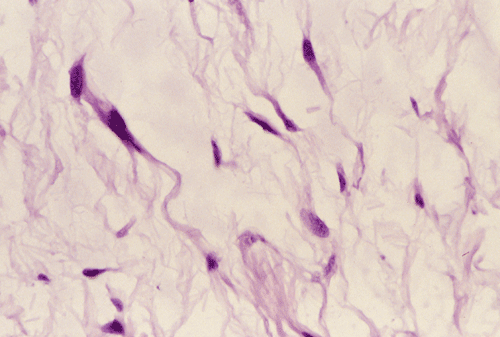
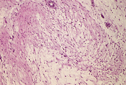
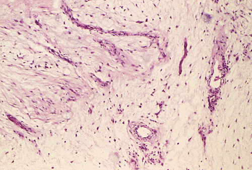
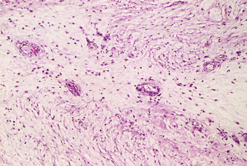
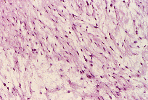
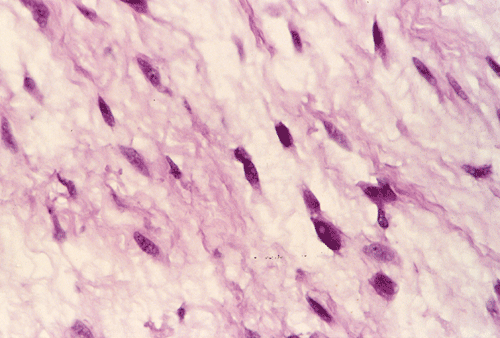
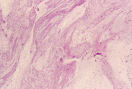
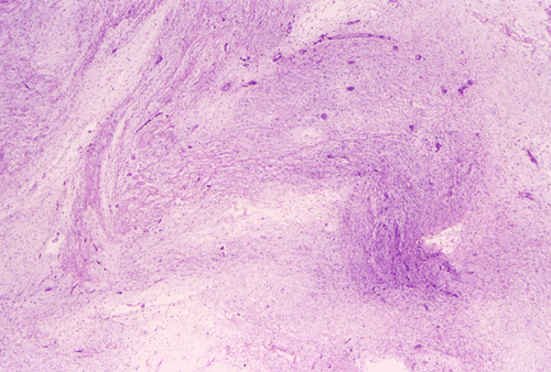
    Panel A, B, and C are taken from the one area. Panel D, E, F, and G are taken from another area. Panel H and I are taken from areas with similar histologic features but distinctly separately on the same slide.

    On low-magnifaction (Panel A and D), the lesional tissue appears to have generalized myomatous changes. No entrapped skeletal muscle fibers are found. The tumor cells tended to group into areas with variable cellularity that range from low- to, at most, moderate-cellularity. The hypocellular areas (Panel  B and C) contain sparsely spaced bland spindle cells in a bluish myxomatous background. The nuclei are elongated and mostly normochromatic. A few hyperchromatic nuclei are present and they are compatible with degenerative atypia (ancient change).

    Islands with increased cellularity are present in some areas (Panel D, E, F, and G). These islands comprise about 30-40% of the lesional tissue. The cytologic features of the tumor cells in these areas are almost identical to that of the hypocellular areas except that the cellularity was increased. No mitotic figures are found in these areas. Focal hypervascularity are often found in areas with hypercellularity. No cellular condensation around blood vessels are noted (Panel  H and I).

    No surrounding muscle is submitted for evaluation of infiltration.

DIAGNOSIS: Cellular Myxoma (Low-grade myxoid neoplasm with recurrent potential).

Discussion: General Information    Pathology    Differential diagnosis

General Information    

    Intramuscular myxoma 1, 2 was brought to attention after a series of 34 cases published by Enzinger in 1965 1. It is now established that intramuscular myxoma has no tendency toward recurrence and is cured by local excision. Cellular myxoma, also known as low-grade myxoid neoplasm with recurrent potential, is a term that has been used recently to describe a family of myxomatous neoplasm with features in between intramuscular myxoma and low-grade myxofibrosarcoma 3, 4, 5, 6. Although these tumors may recur, they do not metastasize. During the short available period of follow up in two of the recent studies, the rate of recurrence of these tumors is low 3, 4. It is important, therefore, to distinguish intramuscular myxoma and its cellular variant from sarcomas with myxomatous features. Myxoid tumors of soft tissue, in fact, comprise of a heterogeneous family of neoplasm with significant different biological potential, ranging from benign to malignant 7.

    Intramuscular myxoma occurs primarily in adults between 40-70 years of age. It is extremely rare in young adults and almost unknown in children and adolesence. Female are slightly more affected than male although a female predilection has been documented in one study 8. Almost half of the cases occur in the large muscles of thigh, most of the remaining cases occur in the buttock and a small number of them occur in the head and neck region, lower leg, and the chest wall 9. Cellular myxomas do not seem to have different demographic characteristics and location of occurrence from that of intramuscular myxoma 3, 4.

    The most common clinical manifestation is a slow growing asymptomatic mass in the thigh. There is no close relationship between the size and clinical duration. Dull pain is noted in a small proportion of patients. Although most intramuscular myxomas are solitary, multiple tumors, often arising from the same region, have been well described. Mazabraud's syndrome refers to an association between fibrous dysplasia and multiple intramuscular myxoma 10, 11. The fibrous dysplasia occurs during the growth period of the bone and the intramuscular myxoma tend to occur in adult life and could occur 20 to 30 years after the fibrous dysplasia.

    Although myxomas of the jaws are well-documented entities, these tumors are regarded as odotogenic origin because no similar tumors occur in other parts of the skeleton. In contrast to intramuscular myxoma, myxomas of the jaws tend to occur in young patients and, less commonly, children. They are also locally invasive 12. Ganglion cysts are myxomatous lesions that have been described in bone 13, 14[Click here to see a case of myxoma of the jaws]

Pathology    

Intramuscular myxoma

    The macroscopic pathology is fairly typical and with little variation from case to case. Some of the tumors are entirely surrounded by skeletal muscle while others are attached to the fascia. Most tumors are well-circumscribed, oval or globular, and have a gray-white translucent to gelatinous cut surface. Small fluid-filled cyst may be seen. Most tumors are 5 to10 cm in diameter 2. Cellular myxoma do not seem to deviate from this theme. However, not all deep-seated tumors appear to be entirely intramuscular 3.

    Similar to the macroscopic pathology, histopathologic features between different intramuscular myxomas are very similar. The tumor proper is composed of myxomatous, hypocellular proliferations with sparse collagen fibers and vascularity. Fluid-filled cystic spaces may be encountered but is neither a fixed nor prominent feature. The tumor cells are elongate, spindle, with delicate and scanty amphophilic cytoplasm. The nuclei are bland, small and hyperchromatic, elongated, and without prominent nucleoli. Occasional enlarged and slightly hyperchromatic nuclei consistent with degenerative atypia (ancient changes) may be seen. Otherwise, there is little pleomorphim and no multinucleated giant cells are present. Mitotic figures are typically absent. Foamy macrophages may be scattered within the tumors and should not be mistaken as lipoblasts. All the cellular elements collagen fibers appear to be suspended within a large amount of mucoid substance that can be stained positive for alcian blue, mucicarmine, and colloidal iron stain. Some macrophage-like cells mimicking lipoblasts are present.. A true capsule is usually lacking but delicate fibrous membranes are frequently found at the interface. Entrapped and atrophic skeletal fibers at the interface may be misinterpreted as features of rhabdomyosarcoma. Entrapped adipose cells may also be misinterpreted as atypical lipoblasts.

    Immunohistochemistry, the cells are immunoreactive for vimentin and rare cells may be positive for actin. In contrast to lipoblasts, they are not immunoreactive for S-100 protein. The macrophage-like cells may contain droplets that are stained by oil red O.

Cellular myxoma

    The great majority of cellular myxomas have good circumscription macroscopically. However, focal infiltration in noted in 37 out of 38 cases in one study 3. The majority of cellular myxomas contain areas of classic intramuscular myxoma. In contrast to classic intramuscular myxomas, areas with hypercellularity and hypervascularity are present and these areas would comprise 20-90% of the lesion; these areas can be diffuse or focal in distribution. The cytologic features in hypercellular areas, however, are similar if not identical to the cells in classic intrmuscular myxoma. Characteristically, there is no increase in pleomorphism or mitotic activities. The increased vascularity is composed of capillary sized blood vessels and has no cellular condensation around blood vessels 3, 4.

Differential diagnosis

    Myxomatous changes are common among mesenchymal tumors. The list of differential diagnosis is long. However, the differentiation is usually not difficult if one is familiar with the clinical and histopathologic features.

    Juxta-articular myxoma is a myxomatous tumor that arises in the joint capsule or in close proximity of a joint. Histologically, they are not distinguishable from intramuscular myxoma or cellular myxoma. The distinction is purely based on clinical grounds. Juxta-articular myxomas, however, are more prone to recur 15.

    Low-grade myxofibrosarcoma is an indolent mesenchymal tumor with potential for local recurrence, progression to high-grade tumor with an associated risk of distant metastasis in 30-50% of cases, and has histologic features similar to cellular myxoma. However, low-grade myxofibrosarcoma occurs more commonly in older patients, contains the classical curvilinear vascular architecture that is often, but not always, associated with perivascular cellular condensation. They also have increased cytologic atypia and hyperchromatic nuclei 16.

    Myxoid liposarcoma is the most common liposarcoma and accounts roughly for all liposarcomas. Their clinical features overlap with that of cellular myxomas. Myxoid liposarcomas are multinodular, hypocellular tumors that characteristically harbor a lattice of delicate, branching, narrow, thin-walled capillary like vascular network with little variation in the diameter of the vessels. Myxoid liposarcoma contains cells consistent with varying degrees of adipocytic differentiations. Characteristic lipoblasts, featured by cytoplasmic lipid droplets that indent the nuclei, are often encountered adjacent to these vessels and in more cellular areas 17, 18. In most cases, the t(12:16)(q13:p11) chromosomal translocation is present 17. In contrast to myxomas, liposarcomas are immunoreactive for S-100 proteins 8, 19.

    Neurofibroma tends to occur in a location that is far from the central nervous system and they are seen more often in the extremities. Other than those associated with neurofibromatosis 1, many of them are solitary dermal or subcutaneous tumors that occur in adults. Characteristically, thin threads of collagens suspending within a myxoid background are present. Demonstration of entrapped axons by immunohistochemistry for neurofilament proteins as well as patchy but unambiguous immunoreactivity for S-100 protein are helpful features to distinguish them from intramuscular myxomas and cellular myxomas. Malignant peripheral nerve sheath tumors (MPNST) typically contain areas with hypercellularity and pleomorphism that would not allow them to be confused with cellular myxoma.

    Myxoid malignant fibrous histiocytoma (MFH) is essentially MFH with myxomatous change. Areas with typical features of MFH are almost always present and, in many cases, abundant. In addition, the transition between the myxoid areas and areas of classic MFH is abrupt.

    Aggressive angiomyxoma is locally aggressive tumors with recurrence in about half of the cases and the age of occurrence overlap with that of cellular myxoma. In contrast to the predominantly intramuscular origin of myxomas, aggressive angiomyxomas occurs almost exclusively in female and are limited to the perineal and pelvic regions. Histologically, aggressive angiomyxomas have infiltrative margins. They have loose and hypocellular myxoid stroma that is positive for alcian blue stain. The tumor cells are evenly distributed monotonous small round, spindle or stellate cells. They have non-arborizing, thin-walled walled ectactic blood vessels and small thick walled blood vessels with characteristic symmetrical and circumferential condensation of stromal cells around them. Mast cells & extravasated red cells in stroma are common.

    Angiomyofibroblastoma shares with aggressive angiomyxomas a similar age of occurrence, almost exclusive occurrence in female, and occurring predominantly in the vulva, and rarely the scrotum. Unlike aggressive angiomyxomas, angiomyofibroblastomas are superficial and non-infiltrating tumors that do not recur. They have collagenous to strikingly edematous stroma with alternating hyper- and hypocellular regions containing spindle to round to plasmacytoid cells. There is a rich vascularization with thin-walled blood vessels and the vascularity somewhat correlates with cellularity. There are cellular aggregates or masses around blood vessels.  Cells around blood vessels may have an myoepithelial appearance. The background is edematous in nature and is negative for alcian blue stain.

Reference: 

  1. Enzinger FM. Intramuscular myxoma. A review and follow-up of 34 cases. Am J Clin Pathol 1965 43:104-113.

  2. Weiss SW, Goldblum JR. Benign soft tissue tumors and pseudotumors of miscellaneous type. In Enzinger and Weiss’s Soft Tissue Tumors. 4th edt.,Mosby, St. Louis 2001.

  3. van Roggen JF, McMenamin ME, Fletcher CD  Cellular myxoma of soft tissue: a clinicopathological study of 38 cases confirming indolent clinical behaviour.  Histopathology. 2001 39:287-97.

  4. Nielsen GP, O'Connell JX, Rosenberg AE.  Intramuscular myxoma: a clinicopathologic study of 51 cases with emphasis on hypercellular and hypervascular variants. Am J Surg Pathol. 1998 22(:1222-7.

  5. Fletcher CDM. Soft tissue tumors. In Diagnostic Histopathology of Tumors. Eds. Fletcher CDM. 2nd edt. Churchill Livingstone, London 2000.

  6. Catroppo JF, Olesnicky L, Ringer P, Goldenkranz R, Casas V, Wright T.  Intramuscular low-grade myxoid neoplasm with recurrent potential (cellular myxoma) of the lower extremity: case report with cytohistologic correlation and review of the literature. Diagn Cytopathol. 2002 26:301-5.

  7. Allen PW.  Myxoma is not a single entity: a review of the concept of myxoma. Ann Diagn Pathol. 2000 4:99-123.

  8. Hashimoto H, Tsuneyoshi M, Daimaru Y, Enjoji M, Shinohara N.  Intramuscular myxoma. A clinicopathologic, immunohistochemical, and electron microscopic study. Cancer. 1986 58:740-7.

  9. Lattes R, Enzinger FM: Soft Tissue Tumors. Proceedings of the thirty-ninth Anatomic Pathology Slide Seminar. American Society of Clinical Pathology. 1973

  10. Wirth WA, Leavitt D, Enzinger FM. Multiple intramuscular myxomas. Another extraskeletal manifestation of fibrous dysplasia. Cancer. 1971 27:1167-73.

  11. Court-Payen M, Ingemann Jensen L, Bjerregaard B, Schwarz Lausten G, Skjoldbye B.  Intramuscular myxoma and fibrous dysplasia of bone--Mazabraud's syndrome. A case report. Acta Radiol. 1997 38:368-71.

  12. Barker BF. Odontogenic myxoma. Semin Diagn Pathol. 1999 16:297-301.

  13. Bauer TW, Dorfman HD. Intraosseous ganglion. A clinicopathologic study of 11 cases. Am J Surg Pathol 1982 6:207-13.

  14. Sim FH, Dahlin DC. Ganglion cysts of bone. Mayo Clin Proc 1971 46:484-8.

  15. Meis JM, Enzinger FM. Juxta-articular myxoma: a clinical and pathologic study of 65 cases.
    Hum Pathol. 1992 23:639-46.

  16. Mentzel T, Calonje E, Wadden C, Camplejohn RS, Beham A, Smith MA, Fletcher CD. Myxofibrosarcoma. Clinicopathologic analysis of 75 cases with emphasis on the low-grade variant. Am J Surg Pathol. 1996 20:391-405.

  17. Kilpatrick SE, Doyon J, Choong PF, Sim FH, Nascimento AG. Kilpatrick SE, Doyon J, Choong PFM The clinicopathologic spectrum of myxoid and round cell liposarcoma. A study of 95 cases. Cancer. 1996 77:1450-8.

  18. Tallini G, Akerman M, Dal Cin P, et al. Combined morphologic and karyotypic study of 28 myxoid liposarcomas. Implications for a revised morphologic typing, (a report from the CHAMP Group). Am J Surg Pathol. 1996 20:1047-55.
  19. Lombardi T, Lock C, Samson J, Odell EW.  S100, alpha-smooth muscle actin and cytokeratin 19 immunohistochemistry in odontogenic and soft tissue myxomas. J Clin Pathol. 1995 48:759-62.