A 54 year-old Man with Acute Onset Pain, Delusion, and Rapid Deterioration.
August, 2003, Case 308-1. Home Page

Adeboye O. Osunkoya, M.D. 1, Jiaoti Huang, M.D., Ph.D. 2 Last update: August 31, 2003.

1 Department of Pathology, University of Oklahoma, Oklahoma City, Oklahoma and 2 Department of Pathology, University of Rochester, Rochester, New York

Clinical information: The patient was a 49 year-old man who presented with a 9 cm scrotal mass of unknown duration..

Pathology of the case: 

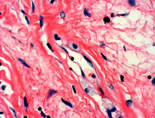
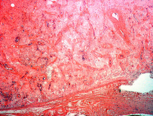
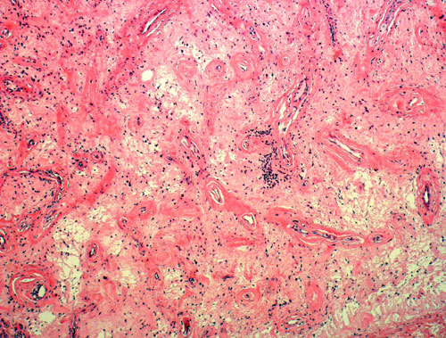
Com308-2-Gross.jpg (83789 bytes) Com308-2-SM1.jpg (98970 bytes) Com308-2-LM1.jpg (106955 bytes) Com308-2-HM1.jpg (76257 bytes) Com308-2-HM2.jpg (97031 bytes) Com308-2-HM3.jpg (102977 bytes)
A. B. C. D. E. F.

Gross pathology: Panel A shows a 9 cm in diameter round, fleshy to rubbery mass in the scrotal wall. The mass is well circumscribed and does not invade into the surrounding tissue.

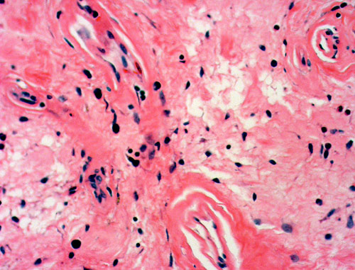
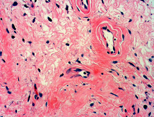
Histopathology: Panel B is taken at the periphery of the tumor where a well circumscribed margin is demonstrated. The tumor has rich vascularity and a hypocellular stroma. However, increased stromal cellularity is present in some areas.  Hyalinized blood vessels and a sclerotic to edematous stroma are well demonstrated in Panel C. Also present are a few lymphocytes clustering around blood vessels. The sclerotic stroma with edema and sparse lymphocytic infiltration is demonstrated in Panels D and E. The bland cytologic features are shown in Panel F.

DIAGNOSIS: Angiomyofibroblastoma of the scrotum.

Discussion: General Information    Pathology    Differential diagnosis

General Information    

    Mesenchymal neoplasms of the modified genital skin and mucosa are uncommon. Most of these lesions are seen in females and, collectively, they comprise a family of vulvovaginal soft tissue tumorsThis family includes the fibroepithelial stromal polyps, angiomyofibroblastoma, cellular angiofibroma, aggressive angiomyxoma, vaginocervical myofibroblastoma, vulvar leiomyomatosis, and other smooth muscle tumors. Uncommon examples of these entities occur in the male external genitalia.

    Angiomyofibroblastoma (AMFB) is a tumor described by Fletcher et al in 1992 1. The designation “angiomyofibroblastoma” is based on the two integral components of the tumor: blood vessels and stromal cells. The vascular component is always prominent and often intimately associated with stromal cells. Fibroblastic differentiation of the stromal cells is evidenced by the well-developed Golgi apparatus and prominent rough endoplasmic reticulum by electron microscopy and by the collagenous background. Histogenetically it is believed that male AMFB, similar to its female counterparts 3, is derived from a perivascular stem cell with a capacity for adipose and myofibroblastic differentiation probably governed by hormonal, local microenvironmental, and growth factor/cytokine-related influences 3.

    Clinically, AMFB typically involves the vulvar soft tissue of young to middle aged females,that ranges from 25 to 54 years (mean 36.3 years) 1. Uncommon male cases of AMFB 2, 3, 4, 5, 6, 7 and AMFB-like tumor 8 have been well documented. The tumor typically presents as a vulvar mass that usually has its epicenter in the labia majora. The clinical features may lead to a clinical diagnosis of Bartholin gland cyst or inguinal hernia. IUncommon sites of these tumors include the female urethra 9 and fallopian tube 10.  In males, the tumor could present as either a painful or painless scrotal mass, a hernia or a hydrocele with the typical age ranging from 39 to 88 years (mean 56.6 years) 3.

Pathology    

Macroscopically, AMFBs range from 0.5 cm to 14 cm in greatest dimension with the majority of them between 2-8 cm. The lesions are well-circumscribed, round, ovoid, or lobulated masses with a soft to rubbery consistency. The cut surface varies from gray-pink to yellowish brown to tan and is of homogeneous texture with focal myxoid areas. Microscopically, the margin is well delineated and non-infiltrative. A complete or partial fibrous pseudocapsule of varying thickness may be present. Some tumors are bordered in part by mature adipose tissue or smooth muscle. The tumor is characterized by rich vascularization in a background of collagenous to edematous stroma with alternating hyper- and hypocellular regions 3. The stromal background is edematous rather than myxoid. The nature of the background is supported by negative staining for Alcian blue stain.

The stromal cells possess a bland, oval or elongated nuclei and either scanty, amphophilic cytoplasm with ill-defined margins or eosinophilic, tapered cytoplasm with better delineated cell borders. Intranuclear inclusions and longitudinal nuclear grooves are common in the spindle cells. Epithelioid mesenchymal cells with globoid eosinophilic cytoplasm and a single nucleus or occasional multiple, round nuclei may be present. Mitotic figures are characteristically rare or absent. The cellularity is quite variable and is somewhat related to the vascularity. In most cases, the spindled and epitheloid cells proliferate in a haphazard arrangement. In the more cellular cases, spindled cells form loosely organizing fascicles. Tumor cells may aggregate or form masses around blood vessels and those that are close to blood vessels may have a myoepithelial appearance. The vascular component of the tumor consists of small to medium-sized, rounded, curvilinear, non-branching, and thin-walled vessels. Perivascular fibrosis or sclerosis is a feature detected to some degree in all cases 11.  Mature adipocytes can be sparsely scattered within the neoplasm and, in rare cases, adipose cells predominate; such tumors have been classified as the “lipomatous” variant of angiomyofibroblastoma 8 by some investigators. Strong and diffuse immunoreactivity for both desmin and vimentin is demonstrated in practically all cases. Only a minority of cells in some cases show positive immunoreactivity for either smooth muscle actin or pan-muscle actin 1, 12, 13, 14 , 15. Tumor cells are negative for S-100 protein, cytokeratin, collagen type IV, CD 68 and myoglobin 16. The few cases examined ultrastructurally have shown fibroblastic features in most cells, with a minority showing myofibroblastic differentiation 1, 12, 14.

Differential diagnosis

The most important differential diagnosis is aggressive angiomyxoma, first described by Steeper and Rosai 17 in 1983. Although rare examples have been subsequently reported in males 18, 19, 20, the vast majority of these tumors occur in women of reproductive age. Interestingly, rare tumors with a composite morphology of both AMFB and aggressive angiomyxoma have beem descrobed 21.  The demographic and histopathologic features of aggressive angiomyxoma and AMFB are compared in the following table:

  Aggressive angiomyxoma Angiomyofibroblastoma
General:    
   Behavior Locally aggressive, 50% recurrence, does not metastasize. Superficial, non-infiltrating tumor.  No recurrence.
   Age 20-50 year-old. 20-50 year-old.
   Sex Women are usually affected although cases in man has also been reported Mostly seen in women and rarely in man.
   Location Pelvic and other perineal locations. (vulva and vagina in women) Vulva and scrotum.
   Size 3-60 cm 2-8 cm
Histology:    
   Margin Iinfiltrative Well circumscribed, non-infiltrative
   Architecture

Loose and hypocellular myxoid stroma with evenly distributed monotonous small round, spindle or stellate cells. Mast cells & extravasated red cells in stroma.

Collagenous to edematous stroma with alternating hyper- and hypocellular regions with spindle to round to plasmacytoid cells.
   Vessels Non-arborizing, thin-walled ectactic blood vessels and small thick-walled blood vessels. The blood vessels tend to be larger than those in angiomyofibroblastoma. Rich vascularity with thin-walled blood vessels that tend to be of venular or capillary sized. Perivascular fibrosis is common. Vascularity somewhat correlated with stromal cellularity.
   Cellular condensation Symmetrical and circumferential condensation of stromal cells around blood vessels. Cells may aggregate or form masses around blood vessels. Cells around blood vessels may have an myoepithelial appearance.
   Alcian blue Alcian blue positive stroma Alcian blue negative stroma

    In addition to aggressive angiomyxoma, there are a few other entities should also be distinguished from AMFB. An excellent review of the subject is available 22. Some of the major differential diagnoses are discussed here. Cellular angiofibroma shares similarities with AMFB in terms of age, sex, and location 23. This lesion typically presents as a  small, well circumscribed mass. In contrast to AMFB, focal extension into surrounding tissue can be seen. The cellular component is composed of spindle cells arranged in short intersecting fascicles that are admixed with thick walled hyalinized blood vessels and collagen bundles. Although there is brisk mitosis, pleomorphism and necrosis are absent. These tumors are reported to be benign, with no local recurrences or metastasis being described.

    Superficial angiomyxoma occurs most commonly in the fourth decade of life. Over half of the cases occur in the trunk and lower extremities. The rest occurs in the upper extremities, head and neck region and most of the lesions are under 5 cm 24.  In the genital region, about three quarters of the cases occur in females 25. Grossly, superficial angiomyxoma can be polypoid. Histologically, it is a myxoid neoplasm with moderately to sparsely cellular myxoid nodules with delicate, thin walled capillary sized blood vessels. The stromal cells are spindle to stellate in shape and bland. Mitoses are uncommon. Scattered inflammatory cells, particularly neutrophils, are always present. About a third of cases may have an epithelial component such as a keratin filled cyst and epithelial strands. Although benign, about a third of the tumors may be locally destructive.

    Myxoid liposarcoma has been described in the scrotum 26, spermatic cord 27, and the vulva 28. Identification of the lipoblasts allow separation of myxoid liposarcoma from AMFB. Finally, a series of myxoid sarcoms including the myxoid malignant fibrosarcoma, myxoid malignant fibrous histiocytoma, and myxoid melanoma  may resemble AMFB. The presence of high grade nuclear features in these tumors would argue against a diagnosis of AMFB.

Reference: 

  1. Fletcher CD, Tsang WY, Fisher C, Lee KC, Chan JK. Angiomyofibroblastoma of the vulva: a benign neoplasm distinct from aggressive angiomyxoma. Am J Surg Pathol. 1992; 6:378-382.

  2. Siddiqui MT, Kovarik P, Chejfec G. Angiomyofibroblastoma of the spermatic cord. Br J Urol . 1997; 79:475-6.

  3. Laskin WB, Fetsch JF, Mostofi FK. Angiomyofibroblastoma-like tumor of the male genital tract: analysis of 11 cases with comparison of female angiomyofibroblastoma and spindle cell lipoma. Am J Surg Pathol. 1998; 22:6-16

  4. Hlaing T, Tse G. Angiomyofibroblastoma of the male perineum: An unusual location for a rare lesion. Int J Surg Pathol. 2000; 8:79-82.

  5. Ito M, Yamaoka H, Sano K, Hotchi M. Angiomyofibroblastoma of the male inguinal region. Arch Pathol Lab Med. 2000;124:1697-81.

  6. Garcia Mediero JM, Alonso Dorrego JM, Nunez Mora C, et al. Scrotal invasive angiomyofibroblastoma. First reported case. Arch Esp Urol. 2000; 53:827-9.

  7. Modica G, Cajozzo M, Sciume C, Lupo F, Pisello F, Li Volsi F, Geraci G. Scrotal angiomyofibroblastoma. Report of a case. Ann Ital Chir. 2001; 72:361-3.

  8. Shintaku M, Naitou M, Nakashima Y. Angiomyofibroblastoma-like tumor (lipomatous variant) of the inguinal region of a male patient. Pathol Int. 2002; 52:619-22.

  9. Kitamura H, Miyao N, Sato Y, Matsukawa M, Tsukamoto T, Sato T. Angiomyofibroblastoma of the female urethra. Int J Urol. 1999; 6:268-70.

  10. Kobayashi T, Suzuki K, Arai T, Sugimura H. Angiomyofibroblastoma arising from the fallopian tube. Obstet Gynecol. 1999; 94:833-4.

  11. Nielsen GP, Young RH. Mesenchymal tumors and tumor-like lesions of the female genital tract: a selective review with emphasis on recently described entities. Int J Gynecol Pathol. 2001; 20:105-27.

  12. Nielsen GP, Rosenberg AE, Young RH, Dickersin GR, Clement PB, Scully RE. Angiomyofibroblastoma of the vulva and vagina. Mod Pathol. 1996; 9:284-91.

  13. Ockner DM, Sayadi H, Swanson PE, Ritter JH, Wick MR. Genital angiomyofibroblastoma. Comparison with aggressive angiomyxoma and other myxoid neoplasms of skin and soft tissue. Am J Clin Pathol. 1997;107:36-44.

  14. Hisaoka M, Kouho H, Aoki T, Daimaru Y, Hashimoto H. Angiomyofibroblastoma of the vulva: a clinicopathologic study of seven cases. Pathol Int. 1995; 45:487-92.

  15. Horiguchi H, Matsui-Horiguchi M, Fujiwara M, Kaketa M, Kawano M, Ohtsubo-Shimoyamada R, Ohse H.  Angiomyofibroblastoma of the vulva:report of a case with immunohistochemical and molecular analysis. Int J Gynecol Pathol. 2003; 22:277-84.

  16. Bigotti G, Coli A, Gasbarri A, Castagnola D, Madonna V, Bartolazzi A. Angiomyofibroblastoma and aggressive angiomyxoma: two benign mesenchymal neoplasms of the female genital tract. An immunohistochemical study. Pathol Res Pract. 1999;195:39-44.

  17. Steeper TA, Rosai J. Aggressive angiomyxoma of the female pelvis and perineum. Report of nine cases of a distinctive type of gynecologic soft-tissue neoplasm. Am J Surg Pathol 1983; 7:463-75.

  18. Tsang WY, Chan JK, Lee KC, Fisher C, Fletcher CD. A report of four cases occurring in men. Am J Surg Pathol 1992; 16: 1059-65.

  19. Iezzoni JC, Fechner RE, Wong LS, Rosai J. Aggressive angiomyxoma in males. A report of four cases. Am J Clin Pathol 1995;104:391-6.

  20. Clatch RJ, Drake WK, Gonzalez JG. Aggressive angiomyxoma in men. A report of two cases associated with inguinal hernias. Arch Pathol Lab Med 1993;117:911-3.

  21. Granter SR, Nucci MR, Fletcher CD. Aggressive angiomyxoma: a reappraisal of its relationship to angiomyofibroblastoma in a series of 16 cases. Histopathology 1997;30:3-10.

  22. Nucci MR, Fletcher CD. Vulvovaginal soft tissue tumors: update and review. Histopathology 2000;36(2):97-108.

  23. Nucci MR, Granter SR, Fletcher CD. Cellular angiofibroma: a benign neoplasm distinct from angiomyofibroblastoma and spindle cell lipoma. Am J Surg Pathol. 1997; 21:636-44.

  24. Allen PW, Dymock RB, MacCormac LB. Superficial angiomyxomas with and without epithelial components. Report of 30 tumors in 28 patients. Am J Surg Pathol. 1988; 12:519-30.

  25. Fetsch JF, Laskin WB, Tavassoli FA. Superficial angiomyxoma (cutaneous myxoma): a clinicopathologic study of 17 cases arising in the genital region. Int J Gynecol Pathol. 1997; 16:325-34.

  26. Bauer JJ, Sesterhenn IA, Costabile RA. Myxoid liposarcoma of the scrotal wall. J Urol. 1995; 153:1938-9.

  27. McFadden DW. Myxoid liposarcoma of the spermatic cord. J Surg Oncol. 1989; 40:132-4.

  28. Brooks JJ, LiVolsi VA. Liposarcoma presenting on the vulva. Am J Obstet Gynecol. 1987; 156:73-5.