A 55 year-old Woman with a Well-defined Round Lesion in the Lung.
September, 2003, Case 309-1. Home Page

Charuhas G. Deshpande , M.B., B.S. and Kar-Ming Fung, M.D., Ph.D. Last update: September 30, 2003.

Department of Pathology, University of Oklahoma Health Science Center, Oklahoma City, OK

Clinical information: 

    The patient was a 55 year-old woman. A well-defined round lesion in the lung that was discovered on routine chest X-ray. The resection yielded the following specimen.

Pathology of the case: 

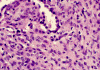
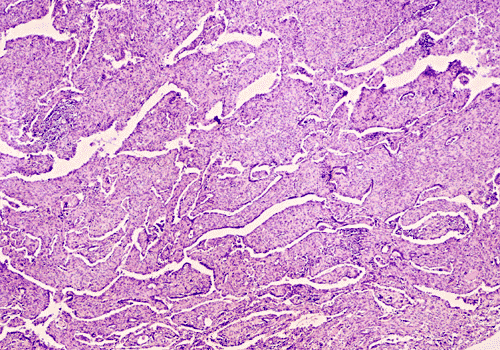
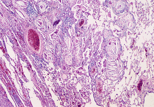
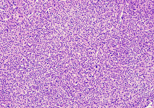
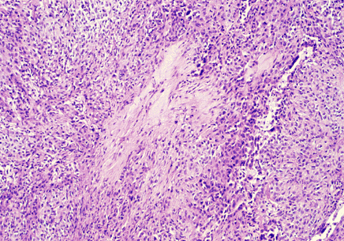
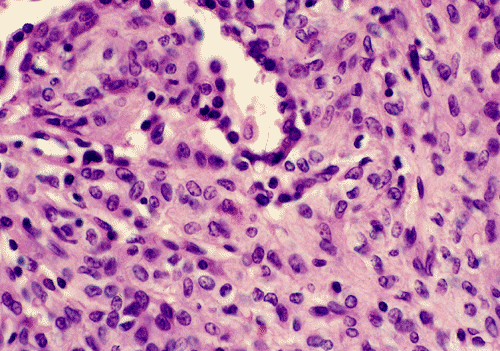
Com309-1-SM1.gif (110814 bytes) Com309-1-SM2.gif (112030 bytes) Com309-1-HM1.gif (121458 bytes) Com309-1-LM1.gif (115948 bytes) Com309-1-MM1.gif (112723 bytes)
A. B. C. D. E.

    Panel A shows features of the periphery of the tumor that interfaces with the non-neoplastic lung parenchyma. Many choloesterol clefts are present and probably due to resolved hemorrhage. Panel B shows the periphery of the tumor which gives a papillary type of architecture although a real fibrovascular core is absent. Panel C shows the details of these areas. The lesional tissue appear to be composed of solid sheets of mononuclear cells with amphophilic cytoplasm. The cell border is quite clear in some areas but no intercellular bridges or keratinization is present. The surface of the solidly packed cells are lined by a single layer of cuboidal mononuclear cells. The papillary-like structures that are typically seen in the periphery transform into solidly packed tumor cells at the center of the lesion as illustrated in Panel D. Sclerotic changes is also present at the center of the lesion as illustrated in Panel E.

DIAGNOSIS: Sclerosing hemangioma.

Discussion: General Information    Pathology    Differential diagnosis    Pathogenesis

General Information    

    Sclerosing hemangioma was first described by Liebow and Hubell 1. They represent about 22.2% - 32.8% of all benign pulmonary tumors 2. There is a definitive female preponderance with a male to female ratio in the range of 1:4 to 1:15. The age range is also wide and spans from 13-78 years 3, 4, 5. The majority of sclerosing hemangiomas are incidental findings on routine chest x-ray examination. When sclerosing hemangioma manifests, the symptoms include recurrent chest pain, cough, hemoptysis and rarely as exertional dyspnea 3, 6, 7.  Although sclerosing hemangioma often occurs as a solitary mass, there are cases with multiple nodules, mediastinal mass and lymph node metastases with no effect on prognosis  8, 9, 10, 11, 12. Extracapsular enucleation is the treatment of choice for sclerosing hemangiomas 13.

    On plain film, sclerosing hemangioma occurs as solitary central, intraparenchymal or peripherally located, pleural-based lesion with as well-defined homogeneous, round to oval shadow on chest roentgenograms 3. Sclerosing hemangioma appears as homogeneous mass on CT scan. A hypodense portion would be seen if cystic changes are present. On MRI scan, they appear as lesions with mixed areas of high- and low-signal intensity on both T1- and T2-weighted images that demonstrate postcontrast 2, 14.

Pathology

    Macroscopically, sclerosing hemangiomas are usually small, solitary nodules with a mean diameter of about 2.5 cm and the range is 0.3 to 7.0 cm 3, 5, 6, 15. The margin is well defined and the cut surface is variegated gray to tan-yellow. Cystic changes, focal hemorrhage, and calcifications may be present.

    Microscopically, sclerosing hemangiomas have two salient histologic features: marked proliferation of sclerotic, small blood vessels and dual population of mononuclear cells with pale or eosinophilic cytoplasm and pnemocyte-like cuboidal cells. The interplay of these two components generates four recognizable patterns, namely, papillary, solid, hemorrhagic, and sclerotic.  The sclerotic pattern does not usually occur as a pure pattern but accompanies the three patterns. The center of the tumors tends to be more sclerotic. In the sclerotic areas, the collagen is dense and the tumor cells are sparse. In the papillary tumor, the periphery of the tumor has papillary structures lined by eosinophilic cuboidal cells that resemble the alveolar pneumocytes. These cells may continue with the surrounding non-neoplastic alveolar lining cells. There is often a transition of papillary pattern to broad areas of medium-sized, round or polygonal cells with pale eosinophilic or clear cytoplasm. The nuclei are usually oval, with fine chromatin and occasional nucleoli. The solid pattern is composed predominantly of solidly packed tumor cells without significant papillary component. The hemorrhagic pattern appears hemangioma-like and is associated with hemorrhage. A mixed pattern is seen in most sclerosing hemangiomas. Histologic changes secondary to the hemorrhage including hemosiderin-laden histiocytes, cholesterol clefts, and calcifications are common. Presence of tumorlets, areas with neuroendocrine features and foci of mucin production have been described as accompanying findings. The histological features are usually specific enough to allow rapid diagnosis. 

    Cytologic diagnosis of sclerosing hemangioma on fine needle aspiration requires the identification of the dual cell population, specifically the cuboidal pneumocyte-like cells and the solid sheets of cells 16. A diagnosis of pulmonary sclerosing hemangioma can be made at intra-operative frozen sections in most cases. When only a single histological pattern is identified or when there is significant cytological atypia, distinction from other tumors can be problematic, and the diagnosis is best deferred 17.

     The immunohistochemical profile of sclerosing hemangioma has been extensively studied.  The consistent positive immunoreactivity for epithelial membrane antigen (EMA) in both the epithelial cells and solid sheets of cells,  favors the notion that the tumor cells of sclerosing hemangioma are epithelial, and the strong thyroid transcription factor-1 (TTF-1) immunoreactivity suggests differentiation toward pulmonary epithelium 3, 4, 15, 18, 19, 20, 21, 22, 23, 24. The papillary lining cells expressing EMA as well as PE10 or CAM 5.2 likely represent entrapped metaplastic alveolar epithelium, whereas the papillary lining cells expressing only EMA more likely constitute true neoplastic cells similar to those in the solid areas 24.  Neuroendocrine differentiation of sclerosing hemangioma has been suggested recently by Xu et al 5.

Differential diagnosis

    Inspite of the disagreement about its histogenesis, the histological appearance is sufficiently specific to make the diagnosis apparent.  In the past it was confused with the inflammatory pseudotumor, a lesion comprised of plasma cells, histiocytes and fibroblasts, with an inconspicuous vascularity and no papillary proliferation.  The focal areas of sclerosis may produce a disturbing appearance, but the mixture of elements present is not seen in metastatic papillary carcinomas or in other pulmonary tumors.

Pathogenesis

    Sclerosing hemangioma has been called historically as histiocytoma, xanthoma, pneumocytoma, benign sclerosing pneumocytoma or papillary pneumocytoma 1, 25, 26. Although it has morphological features of a sclerosing tumor of vascular origin, hence the name sclerosing hemangioma, the histogenic origin remains uncertain.  Epithelial, neuroendocrine, endothelial, mesothelial, histiocytic, bronchioloalveolar, and nonendothelial mesenchymal origins have been implicated by various studies to date. In fact, current evidence heavily favors an epithelial origin over an endothelial or mesothelial origin 1, 2, 3, 4, 5, 10, 27, 28.  Confusion arises as of whether the surface epithelial cells lining the papillary cores or the cells within the core, so-called stromal or lesional cells, are the neoplastic cells.  Presence of entrapped normal alveolar lining cells and presence of tumorlets or carcinoid-like features adds up to the pre-existing debate.  Using the human androgen receptor (HUMARA) gene or the phosphoglycerate kinase (PGK) gene as X-chromosome-linked polymorphic markers, Niho et al. (1998) have shown monoclonal origin of both the pale cells as well as the cuboidal cells after micro-dissecting them, proving that both cellular components are neoplastic 29.

    Ultrastructural studies revealed unequivocal epithelial cells in both the irregular spaces and the solid areas of the tumor; some of these cells were identical to granular pneumonocytes. The true vascular component was sparsely distributed, suggesting that the term, "sclerosing hemangioma" was a misnomer, rather being an essentially epithelial lesion  26, 30.  Satoh et al. using immunohistochemistry and immunoelectron microscopy techniques demonstrated that the cytoplasm of some of the sclerosing hemangioma tumor cells was positive for the anti-lung surfactant apoprotein monoclonal antibody (PE-10). These cells were the pale cells of the solid areas, the cells covering the papillary projections, and the cells lining the cleft-like spaces. These cells also were positive for conventional epithelial cell markers. Some cells also were positive for vimentin. Electron microscopic study showed that the predominant cell was a poorly differentiated pneumocyte. Immunoelectron microscopic study also demonstrated that PE-10 existed in the rough endoplasmic reticulum of some of the cells in the solid areas, in the same way as normal type II pneumocytes. These authors concluded that the sclerosing hemangioma is an epithelial tumor with differentiation towards type II pneumocytes 18.

Reference: 

  1. Liebow A, Hubbell B.  Sclerosing hemangioma (histiocytoma, xanthoma) of the lung. Cancer 1956;9:53-75

  2. Sugio K, Yokoyama H, Kaneko S, Ishida T, Sugimachi K. Sclerosing hemangioma of the lung: radiographic and pathological study.  Ann Thorac Surg. 1992; 53:295-300.

  3. Devouassoux-Shisheboran M, Hayashi T, Linnoila RI, Koss MN, Travis WD. A clinicopathologic study of 100 cases of Pulmonary Sclerosing Hemangioma with immunohistochemical studies: TTF-1 is expressed in both round and surface cells, suggesting an origin from primitive respiratory epithelium.   Am J Surg Pathol 2000; 24:906-916.

  4. Chan AC, Chan JK. Pulmonary sclerosing hemangioma consistently expresses thyroid transcription factor-1 (TTF-1): a new clue to its histogenesis.  Am J Surg Pathol 2000; 24:1531-1536.

  5. Xu HM, Li WH, Hou N, Zhang SG, Li HF, Wang SQ, Yu ZY, Li ZJ, Zeng MY, Zhu GM.. Neuroendocrine differentiation in 32 cases of so-called Sclerosing Hemangioma of the lung: Identified by immunohistochemical and ultrastructural study.  Am J Surg Pathol 1997; 21:1013-1022.

  6. Katzenstein AL, Gmelich JT, Carrington CB. Sclerosing hemangioma of the lung: a clinicopathologic study of 51 cases.  Am J Surg Pathol. 1980; 4:343-56.

  7. Shibata R, Mukai M, Okada Y, Sakamoto M, Yamauchi T, Kobayashi K.  A case of sclerosing hemangioma of the lung presenting as a gigantic tumor occupying the left thoracic cavity.  Virchows Arch. 2003; 442:409-11.

  8. Noguchi M, Kodama T, Morinaga S, Shimosato Y, Saito T, Tsuboi E. Multiple sclerosing hemangiomas of the lung.  Am J Surg Pathol. 1986; 10:429-35.

  9. Miyagawa-Hayashino A, Tazelaar HD, Langel DJ, Colby TV.  Pulmonary sclerosing hemangioma with lymph node metastases: report of 4 cases.  Arch Pathol Lab Med. 2003; 127:321-5.

  10. Spencer H, Nambu S.  Sclerosing haemangiomas of the lung.  Histopathology. 1986; 10:477-87.

  11. Lee ST, Lee YC, Hsu CY, Lin CC.  Bilateral multiple sclerosing hemangiomas of the lung.  Chest. 1992; 101:572-3.

  12. Yano M, Yamakawa Y, Kiriyama M, Hara M, Murase T.  Sclerosing hemangioma with metastases to multiple nodal stations.  Ann Thorac Surg. 2002; 73:981-3.

  13. Mahesh B, Sheffield E, Forrester-Wood C, Amer K.  Pulmonary sclerosing hemangiomas: new approach in patients with low cancer risk.  Asian Cardiovasc Thorac Ann. 2003; 11:113-5.

  14. Fujiyoshi F, Ichinari N, Fukukura Y, Sasaki M, Hiraki Y, Nakajo M.  Sclerosing hemangioma of the lung: MR findings and correlation with pathological features.  J Comput Assist Tomogr. 1998; 22:1006-8.

  15. Hattori H.  Sclerosing haemangioma of the lung is positive for MIB-1 in cell membrane and cytoplasmic staining pattern.  Histopathology. 2002; 40:291-3.

  16. Gal AA, Nassar VH, Miller JI.  Cytopathologic diagnosis of pulmonary sclerosing hemangioma.  Diagn Cytopathol. 2002; 26:163-6.

  17. Chan AC, Chan JK.  Can pulmonary sclerosing haemangioma be accurately diagnosed by intra-operative frozen section?  Histopathology. 2002; 41:392-403.

  18. Satoh Y, Tsuchiya E, Weng SY, Kitagawa T, Matsubara T, Nakagawa K, Kinoshita I, Sugano H. Pulmonary sclerosing hemangioma of the lung. A type II pneumocytoma by immunohistochemical and immunoelectron microscopic studies.  Cancer. 1989; 64:1310-7.

  19. Yousem SA, Wick MR, Singh G, Katyal SL, Manivel JC, Mills SE, Legier J.  So-called sclerosing hemangiomas of lung. An immunohistochemical study supporting a respiratory epithelial origin.  Am J Surg Pathol. 1988; 12:582-90.

  20. Leong AS, Chan KW, Seneviratne HS.  A morphological and immunohistochemical study of 25 cases of so-called sclerosing haemangioma of the lung.  Histopathology. 1995; 27:121-8.

  21. Alvarez-Fernandez E, Carretero-Albinana L, Menarguez-Palanca J.  Sclerosing hemangioma of the lung. An immunohistochemical study of intermediate filaments and endothelial markers.  Arch Pathol Lab Med. 1989; 113:121-4.

  22. Nicholson AG, Magkou C, Snead D, Vohra HA, Sheppard MN, Goldstraw P, Beddow E, Hansell DM, Travis WD, Corrin B.  Unusual sclerosing haemangiomas and sclerosing haemangioma-like lesions, and the value of TTF-1 in making the diagnosis.  Histopathology. 2002; 41:404-13.

  23. Rodriguez-Soto J, Colby TV, Rouse RV.  A critical examination of the immunophenotype of pulmonary sclerosing hemangioma.  Am J Surg Pathol. 2000; 24:442-50

  24. Illei PB, Rosai J, Klimstra DS..  Expression of thyroid transcription factor-1 and other markers in sclerosing hemangioma of the lung.  Arch Pathol Lab Med. 2001; 125:1335-9.

  25. Chan KW, Gibbs AR, Lo WS, Newman GR.  Benign sclerosing pneumocytoma of lung (sclerosing haemangioma).  Thorax. 1982; 37:404-12

  26. Heikkila P, Salminen US.  Papillary pneumocytoma of the lung. An immunohistochemical and electron microscopic study.  Pathol Res Pract. 1994; 190:194-200.

  27. Kay S, Still WJ, Borochovitz D. Sclerosing hemangioma of the lung: an endothelial or epithelial neoplasm? Hum Pathol. 1977; 8:468-74

  28. Katzenstein AL, Weise DL, Fulling K, Battifora H..  So-called sclerosing hemangioma of the lung. Evidence for mesothelial origin.  Am J Surg Pathol. 1983; 7:3-14.

  29. Niho S, Suzuki K, Yokose T, Kodama T, Nishiwaki Y, Esumi H.  Monoclonality of both pale cells and cuboidal cells of sclerosing hemangioma of the lung.  Am J Pathol. 1998; 152:1065-9.

  30. Mikuz G, Szinicz G, Fischer H.  Sclerosing angioma of the lung. Case report and electron microscope investigation.  Virchows Arch A Pathol Anat Histol. 1979; 385:93-101.