A 50 year-old Man with a Rapidly Enlarging Parotid Mass.
September, 2003, Case 309-3. Home Page

Cheng Z. Liu, M.D., Ph.D. and Kar-Ming Fung, M.D., Ph.D. Last update: September 30, 2003.

Department of Pathology, University of Oklahoma Health Sciences Center, Oklahoma City, Oklahoma

Clinical information

    The patient was a 50 year old man who had a 5 cm parotid mass for a long but uncertain length of time. He complained of recent enlargement of the mass and tenderness. The following photomicrographs were taken from the surgically excised specimen.

Pathology of the case: Click thumbnails to see pictures.

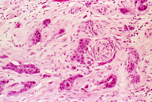
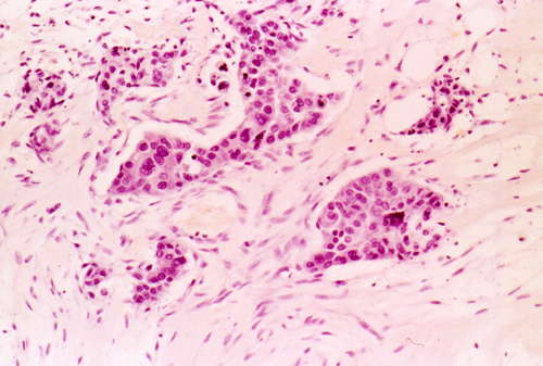
Com309-3-2-HE-LM2.jpg (85948 bytes) Com309-3-HE-MM4.jpg (90902 bytes) Com309-3-HE-MM5.jpg (145559 bytes) Com309-3-HE-MM6.jpg (178941 bytes) Com309-3-2-HE-HM2.jpg (137866 bytes) Com309-3-2-HE-LM1.jpg (127852 bytes)
A. B. C. D. E. F.
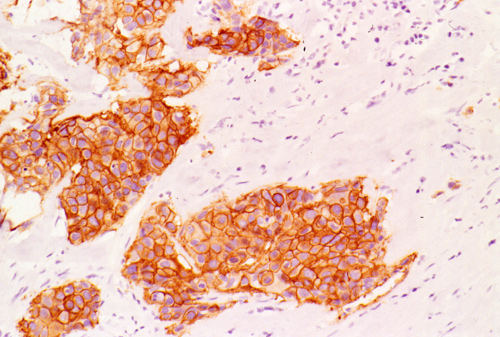
Com309-3-HE-HM1.jpg (104929 bytes) Com309-3-HE-MM1.jpg (112474 bytes) Com309-3-HE-MM2.jpg (96008 bytes) Com309-3-CK7.jpg (97915 bytes) Com309-3-HE-EMA.jpg (104232 bytes) Com309-3-HE-Her2.jpg (124829 bytes)
G. H. I. J.
CK7
K.
EMA
L.
Her2-Neu

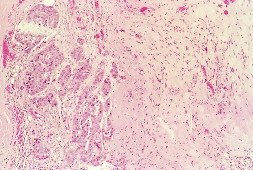
Gross pathology: The tumor mass is 5.5 x 4.5 x 2 cm and appear as a well defined mass but no true capsule. The cut surface is fibrous and with pin-head to small necrotic foci.

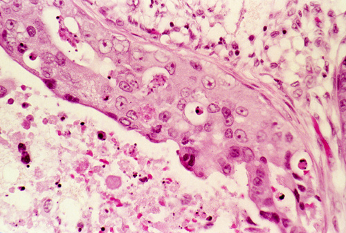
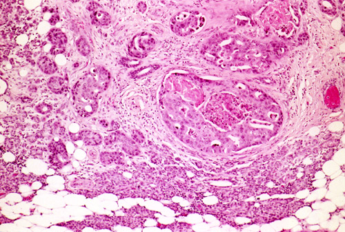
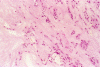
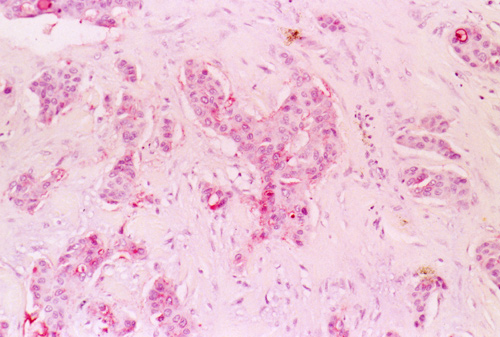
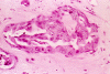
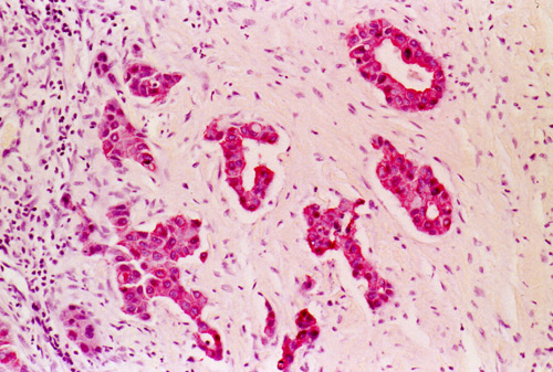
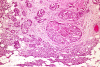
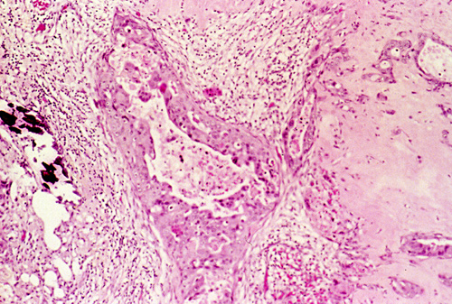
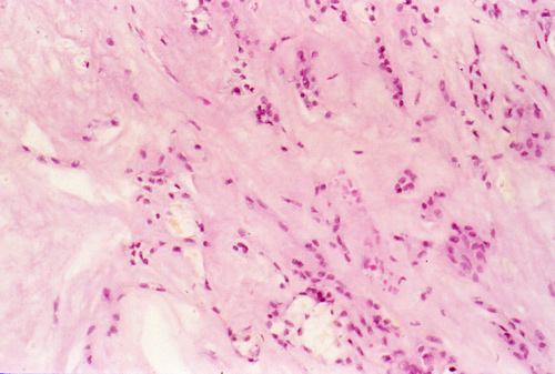
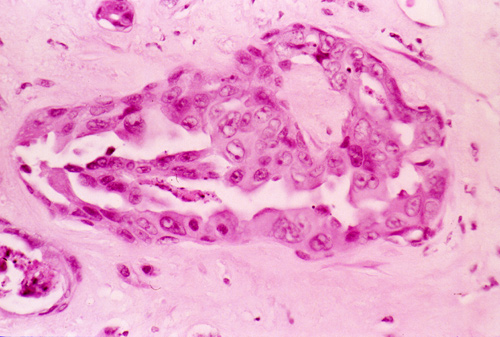
Histopathology: A small portion of the mass has features as illustrated in Panel A, B, and C. These areas have a myxomatous background with strands of bland epithelioid cells (Panel A and B). The large part of the mass is involved by an infiltrative carcinoma. The interface between the myxomatous areas and regions with large and pleomorphic carcinomatous cells is illustrated in Panel C. The carcinomatous cells often form large ductular structures with comedo type necrosis (Panel  D and E, Panel E is the higher magnification of Panel D). Ducts with cribiform arrangement of the epithelial cells with and without comedo type necrosis are also common (Panel F and G).  In some areas, the invasive carcinoma is accompanied by strong desmoplastic reaction (Panel H). Perineural invasion is present (Panel I) but no definitive vascular tumor emboli are found. The tumor cells are strongly immunoreactive for cytokeratin 7 (Panel J), epithelial membrane antigen (EMA) (Panel K), and Her-2-Neu (Panel  L). The carcinomatous cells are not immunoreactive for cytokeratin 20.

DIAGNOSIS: Salivary duct carcinoma ex pleomorphic adenoma.

Discussion: General Information    Pathology    Differential diagnosis

General Information

    There are three types of malignant pleomorphic adenoma. The first type is a benign pleomorphic adenoma that metastasizes as benign pleomorphic adenoma. The second type is a carcinosarcoma. The third type, and perhaps the most common type, is carcinoma ex pleomorphic adenoma (CEPA). This condition is a carcinoma that develops in association with a benign primary or recurrent pleomorphic adenoma. Although CXPA are uncommon, these lesions account for most of the reported cases of malignant pleomorphic adenoma. The carcinomatous component is usually of high histologic grade. These clinically aggressive lesions often lead to metastasis and a tumor related death.

    CEPAs account for 3.6% of all salivary neoplasms and 11.7% of salivary malignancy 1. It is an aggressive tumor with high overall mortality. Most of these lesions are found in major salivary glands. An asymptomatic mass is the most common symptoms. The tumors range in size in 1 to 17 cm with a mean of 3.9 cm. Tenderness and involvement of the facial nerve are seen in some cases. Nearly half of the patients noticed a painless mass in less than a year 2. Some patients may experience rapid expansion of a pre-existing mass. When they occurs in the major salivary gland, CEPA are 6 times more frequently seen in the parotid gland than the submandibular gland 2. As per one large series by Oslen and Lewis, the age range from 34 to 95 years with a mean of 61 years. There is a male predilection and a male:female ratio of 1.8:1. The ratio of primary to recurrent tumor is about 9:1. Survival is largely related to clinical staging. While the 5-year survival for stage I disease is over 80%, the overall 5-year survival is only 37%2.

    Malignant transformation in pleomorphic adenoma occurs most commonly in long-standing lesions or lesions with multiple local recurrences. The risk increases with the duration of the tumor. While only 1.6% of malignant transformation occurs in tumors less than 5 years, the risk for tumors over 15 years is 9.5% 3. The most common carcinomatous components are adenocarcinoma not otherwise specified (NOS) (42.4%) and salivary duct carcinoma (32.8%). The less common entities include adenosquamous cell carcinoma, adenoid cystic carcinoma, undifferentiated carcinoma, myoepithelial carcinoma, epithelial-myoepithelial carcinoma, and sarcomatoid carcinoma 2. The volume of the pleomorphic adenoma is often small and makes the diagnosis of CEPA difficult.

    In the current case, the malignant component is a salivary duct carcinoma. This highly aggressive entity bears features that resemble invasive ductal carcinoma of the breast and was first described by Kleinsasser et al. 4 They occur most often in patients over 50 years of age and are four time more common in male than female. The typical symptoms include recent onset and rapid growth of a mass that may be painful and fluctuate in size.  The parotid gland, followed by the submandibular gland, is the most common site of origin 5. Salivary duct carcinoma have also been described in sublingual gland and minor salivary gland 6, 7. A small number of them may occur as hybrid carcinoma 8, 9 and, interestingly, salivary duct carcinoma is the most common histologic type in hybrid carcinoma as per the study by Nagao et al. 8  

Pathology    

    Salivary duct carcinoma ranges from less than 1 cm to over 6 cm in size 10. Some of them may be circumscribed but invasion into the adjacent tissue is common. The cut surface is white to tan, firm, solid, and with variable cystic component. When they arise as CEPA, myxoid and chondroid component of the pleomorphic adenoma may be present.

    Histologically, there is a high-grade variant and low-grade variant 11, 12 Some tumors are predominantly infiltrative but there are also predominantly intraductal (>90%) examples. All of these variants closely resemble the invasive ductal carcinoma of breast. In the high-grade variant, the cells are pleomorphic and have comedo type necrosis, intraductal cribiform arrangement of tumor cells, and “Roman bridge” formation. Papillary areas, solid areas, squamous differentiation, and psammoma bodies can all be seen. The tumor cells are large, with large nucleoli and prominent nucleoli. Perineural and intravascular tumor emboli are common. Mitotic figures are abundant. Globet cells are not present, a features that could help to differentiate them from high-grade mucoepidermoid carcinoma. Some may have an oncocytic appearance. The invasive component is typically composed of small clusters of tumor cell aggregates with small lumina or cribiform arrangement. Solid, irregular shaped tumor cell aggregates are also frequent. The stroma is usually dense, fibous, and may be hyalinized. The low-grade variant is less common and has smaller cells with apocrine-type cytoplasmic vacuoles. The nuclei are smaller and have finely dispersed chromatin and small nucleoli. There is only minimal necrosis and mitotic activity. Purely intraductal or minimally invasive salivary duct carcinoma may have an improved prognosis. Mucicarmine and Alcian blue stains are negative.

    The tumor cells are immunoreactive for cytokeratin, epithelial membrane antigen and carcinoembryonic antigen. No myoepithelial cells can be demonstrated by immunohistochemistry. The tumor cells express keratin, variably express epithelial membrane antigen, but do not express S-100 protein and myosin 13,14. Over expression of Her-2/neu in salivary gland has recently been documented 15, 16. Expression of androgen receptor has also been demonstrated 17, 18.

Differential diagnosis

    Metastatic ductal carcinoma from the breast must be ruled out. In situ salivary duct component is more compatible with a primary salivary duct carcinoma than metastatic ductal carcinoma of the breast. In addition, salivary duct carcinoma is rarely positive for estrogen receptor and when they are positive, the positive cells should comprise no more than a small portion of tumor cell population 14, 19, 20. Gross cystic disease fluid protein (GCDFP-15) is expressed in many ductal carcinoma of the breast. It is also detected by immunohistochemistry in over three-forth of the salivary duct carcinoma studied and is not helpful in separating the two entities.

    Acinic cell carcinoma may contain a papillary cystic (microcystic) pattern and other tumor growth configuration such as follicular and solid arrangement. In addition, acinic cell carcinoma contains a diversified cell type that include acinar, intercalated duct, vacuolated, clear and glandular cells Hyalinized fibrous stroma is typical for salivary duct carcinoma but not for acinic cell carcinoma 10. These lesions also contain periodic acid Schiff (PAS) positive, diastase-resistant cytoplasmic granules that are not found in salivary duct carcinoma. In addition, the tumor cells are much less pleomorphic and lack the high-grade pleomorphism that is present in high-grade salivary duct carcinoma.

    Papillary cystadenocarcinoma lacks the cribiform arrangement of tumor cells. The cystic and papillary growth pattern, however, may confuse these lesions with salivary duct carcinoma.

    Adenocarcinoma NOS have a wide range of low-, intermediate-, and high-grade differentiation and demonstrate a rich diversity in growth pattern. By definition, adenocarcinoma NOS is a diagnosis by exclusion of other characteristic types of salivary carcinomas. Cribiform arrangement of tumor cells with comedo necrosis should raise the possibility of salivary duct carcinoma.

Reference: 

  1. Gnepp DR, Wenig BM. Malignant mixed tumors. In: Ellis G, Anclair P, Gnepp D, editors. Surgical pathology of the salivary glands. Philadelphia: Saunders; 1991. p 350–368.

  2. Olsen KD, Lewis JE. Carcinoma ex pleomorphic adenoma: a clinicopathologic review. Head Neck. 2001; 23:705-12.  

  3. Eneroth CM and Zetterberg A, 1974

  4. Kleinsasser O, Klein HJ, Hubner G. Salivary duct carcinoma: a group of salivary gland tumors analogous to mammary duct carcinoma. Arch Klin Exp Ohren Nasen Kehlkopjheilkd. 1968; 192: 100–105.

  5. Barnes L, Rao U, Krause J, Contis L, Schwartz A, Scalamogna P. Salivary duct carcinoma. Part I. A clinicopathologic evaluation and DNA image analysis of 13 cases with review of the literature.  Oral Surg Oral Med Oral Pathol. 1994; 78:64-73.

  6. Huh KH, Heo MS, Lee SS, Choi SC. Three new cases of salivary duct carcinoma in the palate: a radiologic investigation and review of the literature. Oral Surg Oral Med Oral Pathol Oral Radiol Endod. 2003; 95:752-60.

  7. Urban SD, Hall JM, Bentkover SH, Kadish SP. Salivary duct carcinoma of minor salivary gland origin: report of a case involving the cavernous sinus. J Oral Maxillofac Surg. 2002; 60:958-62.

  8. Nagao T, Sugano I, Ishida Y, Asoh A, Munakata S, Yamazaki K, Konno A, Iwaya K, Shimizu T, Serizawa H, Ebihara Y. Hybrid carcinomas of the salivary glands: report of nine cases with a clinicopathologic, immunohistochemical, and p53 gene alteration analysis. Mod Pathol. 2002; 15:724-33. 

  9. Snyder ML, Paulino AF. Hybrid carcinoma of the salivary gland: salivary duct adenocarcinoma adenoid cystic carcinoma. Histopathology. 1999; 35:380-3.

  10. Ellis GL, Auclair PL, Gnepp DR, Goode RK. Other malignant epithelial neoplasms. In: Ellis G, Anclair P, Gnepp D, editors. Surgical pathology of the salivary glands. Philadelphia: Saunders; 1991. p 471-480.

  11. Delgado R, Klimstra D, Albores-Saavedra J. Low grade salivary duct carcinoma. A distinctive variant with a low grade histology and a predominant intraductal growth pattern. Cancer. 1996; 78:958-67.

  12. Tatemoto Y, Ohno A, Osaki T. Low malignant intraductal carcinoma on the hard palate: a variant of salivary duct carcinoma? Eur J Cancer B Oral Oncol. 1996; 32B:275-7.

  13. Brandwein MS, Jagirdar J, Patil J, Biller H, Kaneko M. Salivary duct carcinoma (cribriform salivary carcinoma of excretory ducts). A clinicopathologic and immunohistochemical study of 12 cases. Cancer. 1990; 65:2307-14..

  14. Barnes L, Rao U, Contis L, Krause J, Schwartz A, Scalamogna P. Salivary duct carcinoma. Part II. Immunohistochemical evaluation of 13 cases for estrogen and progesterone receptors, cathepsin D, and c-erbB-2 protein. Oral Surg Oral Med Oral Pathol. 1994; 78:74-80.

  15. Skalova A, Starek, Kucerova V, Szepe P, Plank L. Salivary duct carcinoma--a highly aggressive salivary gland tumor with HER-2/neu oncoprotein overexpression. Pathol Res Pract. 2001; 197:621-6.

  16. Skalova A, Starek I, Vanecek T, Kucerova V, Plank L, Szepe P, Di Palma S, Leivo I. Expression of HER-2/neu gene and protein in salivary duct carcinomas of parotid gland as revealed by fluorescence in-situ hybridization and immunohistochemistry. Histopathology. 2003; 42:348-56.

  17. Fan CY, Wang J, Barnes EL. Expression of androgen receptor and prostatic specific markers in salivary duct carcinoma: an immunohistochemical analysis of 13 cases and review of the literature. Am J Surg Pathol. 2000; 24:579-86.

  18. Fan CY, Melhem MF, Hosal AS, Grandis JR, Barnes EL. Expression of androgen receptor, epidermal growth factor receptor, and transforming growth factor alpha in salivary duct carcinoma. Arch Otolaryngol Head Neck Surg. 2001; 127:1075-9.

  19. Martinez-Barba E, Cortes-Guardiola JA, Minguela-Puras A, Torroba-Caron A, Mendez-Trujillo S, Bermejo-Lopez J. Salivary duct carcinoma: clinicopathological and immunohistochemical studies. J Craniomaxillofac Surg. 1997; 25:328-34.

  20. Lewis JE, McKinney BC, Weiland LH, Ferreiro JA, Olsen KD. Salivary duct carcinoma. Clinicopathologic and immunohistochemical review of 26 cases. Cancer. 1996 15; 77:223-30.