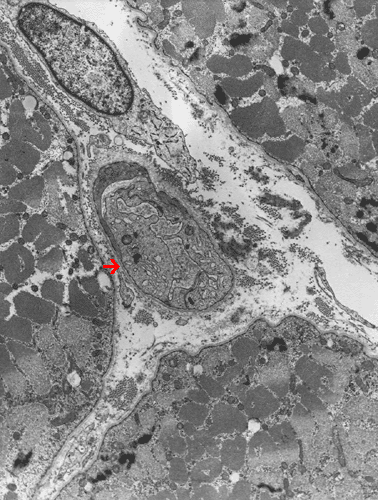
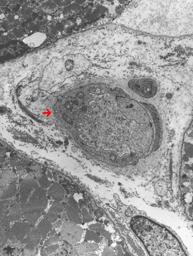
October, 2003, Case  310-1

Note the endothelial cells (Ú) have enlarged cytoplasm.