A 65 year-old Woman with a Red Nodules on Her Breast.
October, 2003, Case 310-2. Home Page

Robyn M. Potts, M.D.1, Mirela Stancu, M.D.2  Last update on October 30, 2003.

1 Department of Pathology, University of Oklahoma Health Sciences Center, Oklahoma City, Oklahoma.2 Department of Pathology, Roger William Medical Center-University Medical Group, Providence Rode Island 

Initially provided clinical information: The patient was a 65 year-old woman who presented with red nodules and yellow patches on her breast. 

Additional clinical information: The patient had a history of breast carcinoma 6 years ago. She was treated by surgery and radiation therapy.  This piece of information was withheld to increase the challenge level of this case.

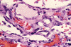
Com310-2-LM1.gif (113920 bytes) Com310-2-LM2.gif (129353 bytes) Com310-2-MM3.gif (150789 bytes) Com310-2-HM3.gif (136852 bytes) Com310-2-HM2.gif (131302 bytes)  
A. B. C. D. E.  
Com310-2-MM2.gif (128697 bytes) Com310-2-MM1.gif (137283 bytes) Com310-2-HM1.gif (114965 bytes) Com310-2-HM4.gif (111900 bytes)    
F. G. H. I.    

Pathology of the case:

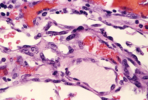
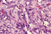
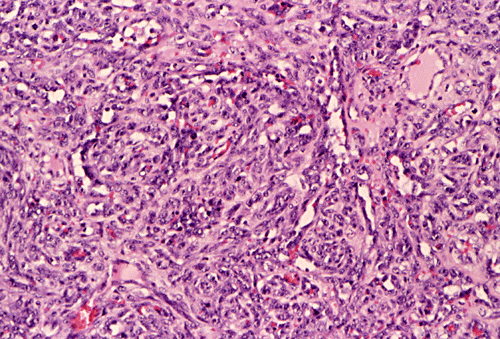
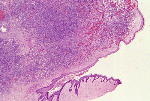
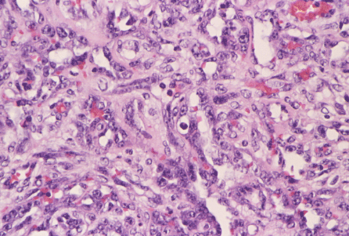
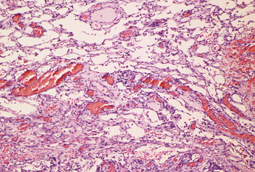
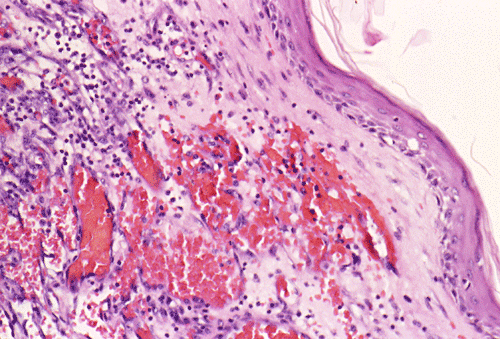
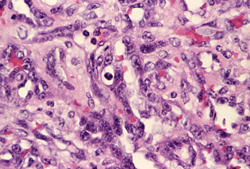
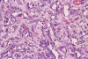
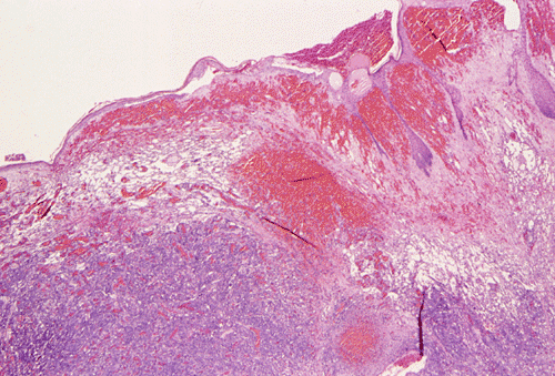
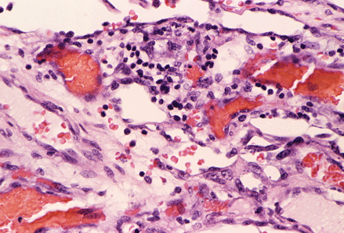
    Panel A, B and F are taken from the dermal-epidermal junction. Panel B, C, D, and E are taken from the same area. Panel F, G, H, and I are taken from the same area

    The tumor appears to be centered on the dermis and does not involve breast parenchyma in the sections examined A (not shown). On low-magnification (Panel A, B and F), the lesional tissue is a highly cellular and vascular tumor in the dermis. The large areas of hemorrhage ("blood-lake") and dilated vascular channels (Panel A, and F) probably correspond to the "red nodules and yellow patches" on physical examination. Although the tumor extends deeply into the subcutaneous tissue (not shown here), there is no evidence of invasion in to the epidermal layer (Panel A, B and F). The histology of this tumor varies in different areas. In some areas, it appears as a densely packed spindle cell tumor with exuberant and irregular and anastomosing vascular channels (Panel B, C, and D). The endothelial cells protrudes into the vascular channels and had enlarged, hyperchromatic nuclei with  prominent nucleli. In another area, the lesion contains numerous ectactic and anastomosing vascular channels (Panel F, G, H, and I). Pleomorphic changes are also prominent in the vascular cells in these areas. On immunohistochemistry, the tumor cells are immunoreactive for CD31, CD34 (not shown).

DIAGNOSIS: Angiosarcoma of the breast associated with radiation therapy.

Discussion: General Information    Pathology    Differential diagnosis

General Information    

    Angiosarcoma of the breast is a rare and highly lethal neoplasm accounting for less than 0.1% of malignant breast tumors 1. Although these tumors may arise de novo in the breast, there is increased incidence in patients who have had radiation therapy and in patients with chronic lymphedema 2. Stewart-Treves syndrome refers to the sequence of lymphangiosarcoma occurring as a late complication of severe lymphedema of the arm after excision of the lymph nodes, usually in radical mastectomy.  Thus, in patients treated for breast carcinoma with radiation therapy and mastectomy, which is often complicated by chronic lymphedema, the incidence of angiosarcoma is estimated to be as high as 0.3% to 0.4% 3, 4. Data from the National Cancer Institute show a relative risk of developing angiosarcoma after lumpectomy, axillary node dissection, and radiation to be 15.9 5. Clearly, the recognition of the development of angiosarcoma in this population of patients is important for both clinicians and pathologists 6, 7, 8, 9, 10.

    The clinical presentation is highly varied.  Angiosarcoma can involve the overlying skin and/or the breast parenchyma itself.  The initial finding is typically a painless erythematous, “bruise-like, or violaceous discoloration of the skin, which may be multifocal.  Often there is a delay in diagnosis, because the lesion is attributed to minor trauma.  Only after the lesion persists and/or grows is the lesion biopsied.  Palpable lesions are more often visible by mammography than nonpalpable lesions and usually reveal areas of high and low echogenicity on ultrasound 3, 11. MRI of the breast has been increasingly touted as the breast imaging modality of choice in cases of angiosarcoma 12, 13. The lesions are markedly enhancing with low T1-weighed signal and high T2-weighed signal.  Nevertheless, biopsy or fine needle aspiration of suspicious lesions is still necessary for confirming the diagnosis. 

    The prognosis for angiosarcoma of the breast, whether it develops as de novo tumor or arising in a background of lymphedema or radiation therapy, is generally poor.  The median survival period is 14.5 to 34 months with a 5-year survival rate of approximately 15% 5, 14, 15, 16.  A better survival rate has been correlated with lower grade lesions 1.  Death is usually due to metastases to lung, skin and bone, however some patients present with massive bleeding from metastatic lesions 17. 

Pathology    

    Angiosarcomas are tumors with features recapitulating the endothelial cells.  This term applies to all sarcomas with endothelial differentiation regardless of their relationship to blood vessels and lymphatics 1. The macroscopic appearance of angiosarcoma of the breast is typically that of an ill-defined spongy hemorrhagic tumor.  The tumors range in size from 1 cm to up to 20 cm and average about 5 cm.  A rim of hemorrhage often surrounds the tumor.  They are usually deep-seated masses but spread to involve the skin 1, 3.

    The microscopic picture of angiosarcoma of the breast is not unlike angiosarcoma found elsewhere in the body. However, it is extremely important to note that angisarcoma of the breast can have bland cytologic features. Any vascular lesion in the breast must, therefore, be handled with extreme care.

    The most distinctive histologic feature in angiosarcoma is the formation of irregular, anastomizing vascular channels lined by plump, hyperchromatic, and anaplastic endothelial cells. These vascular channels proliferate and infiltrate the glandular breast tissue, fat and subcutaneous tissue.  Low-grade lesions usually have only rare mitotic figures. Increased mitotic activity in an otherwise low-grade angiosarcoma may suggest the presence of a high-grade lesion in adjacent tissue.  Intermediate-grade lesions have an increased amount of endothelial tufting and papillary formations within the irregular vascular channels and these are associated with increased numbers of mitoses. While the anastomizing vascular channels are characteristic of areas with low- or intermediate- grade cytologic features, solid sheets of spindle cells with minute, slit-like channels not filled by red blood cells are common in high-grade areas. In addition, high-grade angiosarcoma are marked by numerous mitotic figures in all parts of the tumor, the presence of “blood lakes”, and necrosis.  In most tumors the high-grade portion comprises the core of the tumor and the better-differentiated portion forms the infiltrative border of the lesion 3.

    Immunohistochemical findings in angiosarcoma include reactivity for endothelial markers like CD31 and CD34 as well as staining for factor VIII related antigen.  Epitheliod variants of high-grade angiosarcoma can be differentiated from carcinoma with these immunohistochemical markers 17.  Ultrastructurally, Weibel-Palade bodies have been described, however they may not be found in the high-grade angiosarcomas 1.

Differential diagnosis

    While intermediate- and high-grade angiosarcoma are clearly malignant and do not usually pose any diagnostic problem, low grade angiosarcomas are readily mistaken for benign hemangioma.  Benign hemangiomas are typically less than 2 cm in size while most angiosarcomas are larger.  The border of a benign lesion is well circumscribed, while the malignant lesions tend to have infiltrating borders.  Infiltration into breast parenchyma and expansion of the lobules is the hallmark of angiosarcomas.  Benign hemangiomas do not invade breast parenchyma. 

    Angiolipoma features intermingling vessles and fat lobules.  Angiolipoma may be mistaken for invasion of fat by an angiosarcoma.  This is particularly problematic if the angiolipoma is particularly cellular 18.  They key to differentiating these two entities is the recognition of microthombi within the vessels of angiolipoma. 

    Pseudoangiomatous stromal hyperplasia (PASH) is best differentiated from angiosarcoma by the lack of malignant cytological features and by immunohistochemical staining.  The spindle cells in PASH stain positively with smooth muscle actin and desmin.  They may be reactive with CD34 but do not stain with factor VIII related antigen 19.

    Papillary endothelial hyperplasia as described by Branton et al. is the “great imposter for angiosarcoma” 20. In contrast to angiosarcoma, papillary endothelial hyperplasia are well circumscribed, they are found within a vessel or association with a thrombus, and lack cytological atypia or areas of solid growth.

    The term “atypcal vascular lesions" encompasses an array of benign lesions found in irradiated skin that have been mistaken for angiosarcoma.  They typically present as pink papules on the skin.  These lesions are differentiated from angiosarcoma by their failure to involve subcutaneous tissue and lack of cytological atypia.  There is also no endothelial tufting or papillary projection of endothelial cells in to the lumens of the vascular channels.  Fairly extensive follow-up, gives no evidence that these lesions are precursors for malignancy 21, 22, 23.

Reference: 

  1. Weiss, SW and Goldblum, JR.  Soft Tissue Tumors, 4th ed. Mosby, Inc, St. Louis Missouri. pp. 933

  2. Azurdia RM, Guerin DM, Verbov JL. Chronic lymphoedema and angiosarcoma. Clin Exp Dermatol. 1999;24(4):270-2.

  3. Rosen PP.  Breast Pathology.  2nd ed. Lippincott, Williams and Wilkins, New York, NY pp.830.

  4. Karlsson P, Holmberg E, Samuelsson A, Johansson KA, Wallgren A. Soft tissue sarcoma after treatment for breast cancer--a Swedish population-based study. Eur J Cancer. 1998;34:2068-75.

  5. Monroe AT, Feigenberg SJ, Mendenhall NP. Angiosarcoma after breast-conserving therapy. Cancer. 2003;97:1832-40.

  6. Cozen W, Bernstein L, Wang F, Press MF, Mack TM. The risk of angiosarcoma following primary breast cancer. Br J Cancer. 1999;81:532-6.

  7. Rao J, Dekoven JG, Beatty JD, Jones G. Cutaneous angiosarcoma as a delayed complication of radiation therapy for carcinoma of the breast. J Am Acad Dermatol. 2003;49:532-8.

  8. Mermershtain W, Cohen AD, Koretz M, Cohen Y. Cutaneous angiosarcoma of breast after lumpectomy, axillary lymph node dissection, and radiotherapy for primary breast carcinoma: case report and review of the literature. Am J Clin Oncol. 2002;25(6):597-8.

  9. Huang J, Mackillop WJ. Increased risk of soft tissue sarcoma after radiotherapy in women with breast carcinoma. Cancer. 2001;92:172-80.

  10. Chahin F, Paramesh A, Dwivedi A, Peralta R, O'Malley B, Washington T, Lakra Y. Angiosarcoma of the breast following breast preservation therapy and local radiation therapy for breast cancer. Breast J. 2001;7:120-3.

  11. Yang WT, Muttarak M, Ho LW. Nonmammary malignancies of the breast: ultrasound, CT, and MRI. Semin Ultrasound CT MR. 2000;21(5):375-94.

  12. Murakam S, Nagano H, Okubo K, Sakata H, Tsuji Y, Ishiguro T, Hirayama R, Amanuma M, Hirose T. Angiosarcoma of the breast: report of a case and its findings of MRI. Breast Cancer. 2001;8:254-8.

  13. Fant J, Grant M, May S, Talaasen L, Watkins D. Angiosarcoma of the breast: mammographic, clinical, and pathologic correlation. Breast J. 203 May-Jun;9(3):252-3.

  14. Blanchard DK, Reynolds CA, Grant CS, Donohue JH. Primary nonphylloides breast sarcomas. Am J Surg. 2003;186:359-61.

  15. Zelek L, Llombart-Cussac A, Terrier P, Pivot X, Guinebretiere JM, Le Pechoux C, Tursz T, Rochard F, Spielmann M, Le Cesne A. Prognostic factors in primary breast sarcomas: a series of patients with long-term follow-up. J Clin Oncol. 2003;21:2583-8.

  16. Georgiannos SN, Sheaff M. Angiosarcoma of the breast: a 30 year perspective with an optimistic outlook. Br J Plast Surg. 2003;56:129-34.

  17. Farina MC, Casado V, Renedo G, Estevez L, Martin L, Requena L. Epithelioid angiosarcoma of the breast involving the skin: a highly aggressive neoplasm readily mistaken for mammary carcinoma. J Cutan Pathol. 2003;30:152-6.

  18. Kahng HC, Chin NW, Opitz LM, Pahuja M, Goldberg SL. Cellular angiolipoma of the breast: immunohistochemical study and review of the literature. Breast J. 2002;8:47-9.

  19. Leon ME, Leon MA, Ahuja J, Garcia FU. Nodular myofibroblastic stromal hyperplasia of the mammary gland as an accurate name for pseudoangiomatous stromal hyperplasia of the mammary gland. Breast J. 2002;8:290-3.

  20. Branton PA, Lininger R, Tavassoli FA. Papillary endothelial hyperplasia of the breast: the great impostor for angiosarcoma: a clinicopathologic review of 17 cases. Int J Surg Pathol. 2003;11:83-7.

  21. Requena L, Kutzner H, Mentzel T, Duran R, Rodriguez-Peralto JL. Benign vascular proliferations in irradiated skin. Am J Surg Pathol. 2002;26:328-37.

  22. Guillou L, Fletcher CD. Benign lymphangioendothelioma (acquired progressive lymphangioma): a lesion not to be confused with well-differentiated angiosarcoma and patch stage Kaposi's sarcoma: clinicopathologic analysis of a series. Am J Surg Pathol. 2000;24:1047-57.

  23. Sener SF, Milos S, Feldman JL, Martz CH, Winchester DJ, Dieterich M, Locker GY, Khandekar JD, Brockstein B, Haid M, Michel A. The spectrum of vascular lesions in the mammary skin, including angiosarcoma, after breast conservation treatment for breast cancer. J Am Coll Surg. 2001;193:22-8.