An 18 year-old Woman with a Large Mediastinal Mass.
October, 2003, Case 310-3. Home Page

Koushan Siami-Namini, M.D., Jian T. Yang, M.D. Ph.D., Rosemary E. Zuna, M.D., Kar-Ming Fung, M.D., Ph.D. Last update: October 30, 2003.

Department of Pathology, University of Oklahoma Health Sciences Center, Oklahoma City, Oklahoma

Clinical information:

    The patient was an 18 year-old man who presented with chest pain and shortness of breath. The pain would last for seconds followed by spontaneous resolution. There was no history of cough, hemoptysis, fever, or chills. A chest x-ray revealed fullness of mediastinum. CT scan revealed a 7.5 x 6.2 x 9.1 cm mass that extended inferiorly along the left superior aspect of the heart. The mass encroached the main pulmonary trunk. Remnant of tissue consistent with residual thymus were noted. The lung was well areated and free of nodules or consolidation. A CT guided fine needle aspiration (FNA) was performed.

   A surgery was performed and yielded a 9.5 x 6.5 x 5.5 cm encapsulated mass with attached soft tissue that appeared to be thymic tissue on subsequent  microscopic examination. The mass had a gray-yellow, solid cut surface with multifocal hemorrhage and necrosis. The capsule was largely intact with no macroscopic evidence of penetration identified. 

Pathology of the case: 

Com310-3-DQ1.gif (155652 bytes) Com310-3-DQ2.gif (158979 bytes) Com310-3-DQ3.gif (171656 bytes) Com310-3-PAP1.gif (161903 bytes) Com310-3-PAP2.gif (152955 bytes)
A.
DiffQuick
B.
DiffQuick
C.
DiffQuick
D.
PAP stain
E.
PAP stain
Com310-3-LM1.gif (141583 bytes) Com310-3-MM3.gif (154208 bytes) Com310-3-MM2.gif (142042 bytes) Com310-3-MM1.gif (124564 bytes) Com310-3-HM3.gif (136137 bytes) Com310-3-HM1.gif (132966 bytes)
F. G. H. I. J. K.
Com310-3-HM4.gif (126606 bytes) Com310-3-PAS2.gif (130026 bytes) Com310-3-AFP.gif (146977 bytes) Com310-3-alpha-1-antitrypsi.gif (129172 bytes)    
L. M.
PAS
N.
a-fetal protein
O.
a1-antitrypsin
   

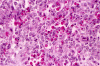
Cytopathology of CT guided FNA specimen:

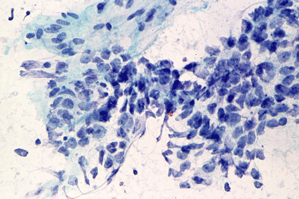
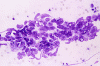
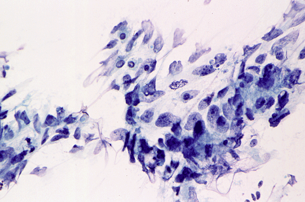
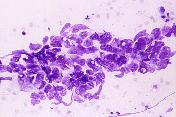
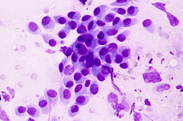
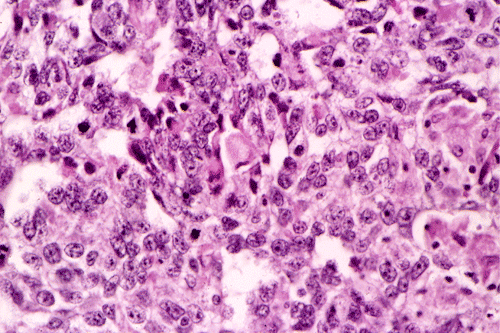
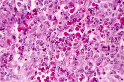
    The fine needle aspiration (FNA) specimen (Panel A, B, C, D, and E) contain clusters of loosely packed cohesive cells without associated lymphoid cells or tigroid background. Some of the cell clusters (Panel A) appear bland but other cells are highly pleomorphic (Panel B, D, and E). The bland appearing cells may represent reactive mesothelial cells and the highly pleomorphic cells are tumor cells. The tumor cells have an epithelioid appearance with large nuclei and moderate amount of cytoplasm. While nucleoli are not prominent in the sections stained by DiffQuick  (Panel A and B) , large nucleoli are noted in sections stained by Papanicolaou stain  (Panel C, D, and E).  Small clumps of acellular hyaline material are present and their metachromatic property is best demonstrate in the DiffQuick stained sections  (Panel C). These material appears as bluish green substance on sections stained by Papanicolaou stain. These hyaline material provides good clue for the cytologic diagnosis of a mediastinal yolk sac tumor and have been described by Yang et al. 19, 20. They correspond to the hyalinized eosinophilic globules in yolk sac tumors. Based on these cytologic features, a diagnosis of germ cell tumor with yolk sac tumor component was made.

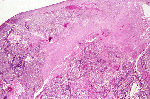
Gross pathology:

    The surgically excised specimen is an encapsulated mass (9.5 x 6.5 x 5.5 cm) attached to a portion of thymus (6.5 x 4.0 x 1.0 cm). The capsule of the mass is 0.1 to 0.3 cm in thickness, smooth and grossly intact. The mass has a gray-brown, and soft cut surface with multifocal hemorrhage. The mass is well contained and dose not invade into surrounding mediastinal structures.  The thymus has a tan-yellow, lobulated cut surface withougt any gross abnormality. 

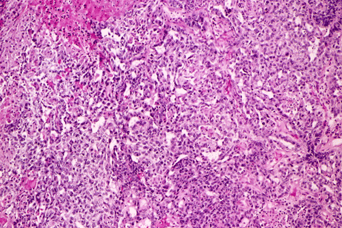
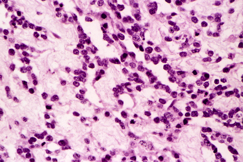
Histopathology of surgical specimen:

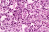
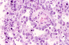
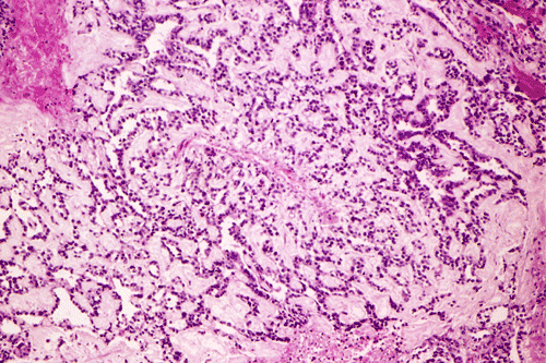
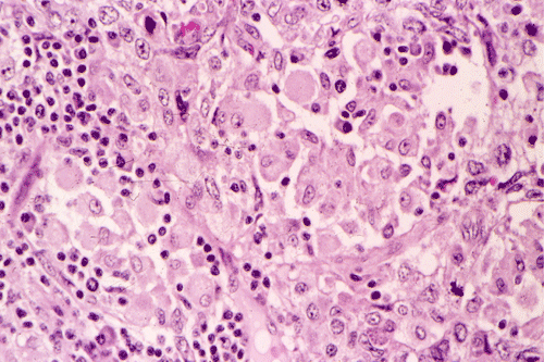
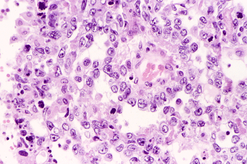
    A survey at low-magnification shows a necrotic neoplasm (Panel F). The tumor cells arrange in different patterns. The tumor cells are densely packed in some areas but loosely packed in other areas.  At medium-magnification, several different patterns of architecture are disclosed. The most commonly encountered pattern in this case is a reticular-microcystic arrangement of cells (Panel G). In a significant amount of other areas, there are hypocellular to myxoid non-neoplastic stroma lined by a single layer of neoplastic cells (Panel H, I). The tumor cells have moderate to large nuclei with substantial pleomorphism. The chromatin is clumpy and hyperchromatic (Panel J). In some areas the tumor cells has an hepatoid appearance featured by a smaller nuclei with substantial amount of amphophilic cytoplasm (Panel K). Schiller-Duval bodies are occasionally noted (Panel L). A variable number of eosinophilic globules are also present and they are strongly positive for periodic acid-schiff (PAS) reaction (Panel M). Results of immunohistochemistry are as follows:

Antigen Result
Cytokeratin AE1/AE3 Strongly positive in practically all tumor cells.
a-fetal protein (AFP) Strongly positive in practically all tumor cells, negative in hyaline globules.
a1-antitrypsin (A1-AT) Strongly positive in practically all tumor cells, positive in hyaline globules.
Human chorionic gonadotrophin (hCG) Rare positive tumor cells.
Placental alkaline antigen (PLAP) Negative in tumor cells.
CD30 (Ki-1) Negative in tumor cells.
Epithelial membrane antigen (EMA) Negative in tumor cells.

 

DIAGNOSIS: Yolk sac tumor (endodermal sinus tumor) of the mediastinum.

Comment:

    Yolk sac tumor arising in the thymus often have extensive invasion into the adjacent tissue. In this cases, the tumor is still confined. The histology is quite typical for a yolk-sac (endodermal sinus) tumor. The reticular-microcystic pattern being illustrated here is the most common pattern being encountered.  Only a small number of Schiller-Duval bodies are present. The large cells with hepatoid look correspond to the hepatoid pattern in yolk sac tumor. The solidly arranged sheets of tumor raise the possibility of an embryonal carcinoma. However, the nuclear pleomorphism, although significant, is still short of that from embryonal carcinoma. The extracellular, PAS(+), eosinophilic hyaline globules are also typical for yolk sac tumor. These globules are often immunoreactive for a-fetal protein and a-1-antitrypsin. In our case, they are only positive for a-1-antitrypsin. The lack of CD30 immunoreactivity, again, does not support a diagnosis of embryonal carcinoma.

Discussion: General Information  Embryonic Consideration  Pathology  Differential diagnosis  Cytogenetics

General Information   

    Yolk sac tumor, also known as endodermal sinus tumor, belongs to the family of germ cell tumor. Gonadal and extragonadal germ cell tumors derive from germ cells and they have very diversified phenotypic features. Differentiation of germ cell tumors can be separated into two major groups: tumor with teratomatous differentiation and non-teratomatous differentiation. Teratomatous differentiation can be composed of mature and/or immature tissue. Within the non-teratomatous differentiation, there are two major subtypes: tumor with seminomatous differentiation resembling primordial germ cells (seminoma and dysgerminoma) and non-seminomatous differentiation. The non-seminomatous differentiation occur in the form of undifferentiated component (embryonal carcinoma) or extraembryonic differentiation (yolk sac tumor and choriocarcinoma). All the aforementioned types of differentiations can occur as pure or combined form that lead to a rich diversity in histopathologic features. Gonadal and extragonadal germ cell tumors are essentially identical in phenotypic features. However, the relative incidence of different subtypes varies greatly in different anatomical locations and organs. Moran and Suster provided a useful classification of germ-cell tumor of the mediastinum 1. Interested readers should refer to the comprehensive articles by Moran et al. 1, 2, 3.

Classification of germ tumors of the mediastinum 1

Teratomatous tumors

Mature Teratomas (composed of well differentiated, mature elements)

Immature teratomas (with the presence of immature mesenchymal or neuroepithelial elements)

Teratomas with additional malignant components

  • Type I: with another germ cell tumor (seminoma, embryonal carcinoma, yolk sac tumor, etc.).

  • Type II: with a non-germ cell epithelial component (squamous cell carcinoma,adenocarcinoma etc.) .

  • Type III: with a malignant mesenchymal component (rhabdomyosarcoma, chondrosarcoma, etc.).

  • Type IV: with any combination of the above.

Non-teratomatous tumors

Seminomas

Yolk sac tumors

Embryonal carcinomas

Choriocarcinomas

Combined non-teratomatous tumors

 

    Primary germ cell tumor is an uncommon tumor of the mediastinum and account for 10-15% of all mediastinal tumors 4. Primary germ cell tumor of the mediastinum occurs most often in young adults in the 2nd to 4th decade 5, 6 but can also occur in the very young and elderly 1, 7. Although mediastinal teratomas are as common in males and females, non-teratomatous mediastinal germ cell tumors occur almost exclusively in male 5, 1. Rare cases have been described in female patients 8.

    Some of the mediastinal germ cell tumors remain asymptomatic and are found as incidental findings. Those tumors that manifest produce symptoms and signs resulted from compression or invasion of local structures such as compression of the vena cava. Symptoms are non-specific. The most common ones include chest pain, shortness of breath, weight loss, chills and fever, superior vena cava syndrome. Trichophysis (coughing up of hair), however, is a rare but diagnostic feature of teratomas. Association of Kleinfelter’s syndrome 9, sexual precocity 10 and hematologic malignancies 11 with mediastinal germ cell tumors have also been reported. An increased serum level of a-fetal protein and human chorionic gonadotrophin suggest the presence of non-seminomatous component.

    Among non-semionomatous-non-teratomatous germ cell tumors of the mediastinum, yolk sac tumor is the most common 3.  Mediastinal yolk sac tumor was first described by Teilman 12 and comprises more than half of all the cases in the series by Moran et al. The second most common entity is combined germ cell tumor that comprises about one-fifth of all cases. Choriocarcinoma and embryonal carcinoma are less common and each comprises about one-tenth of all cases with embryonal cell carcinoma as the least common one 3. The diagnosis of primary choriocarcinoma in the mediastinum can be contraversial due to the highly metastatic nature of choriocarcinoma.

    For treatment and prognostic purposes, mediastinal germ cell tumors are divided into seminomatous and non-semintomatous group. A tumor should be treated as non-seminomatous type if it contains both seminoatous and non-seminomatous components. The long-term survival with treatment in mediastinal seminomas can reach 85%-90% 13, 14 largely due to its radiosensitivity and also 75% of these tumors are stage I disease at presentation 1. The non-seminomatous mediastinal germ cell tumors carry worse prognosis than its gonadal counterparts 1, 3, 14 or retroperitoneal primary germ cell tumors 15. A 5-year survival of 45% in patients with mediastinal non-seminomatous-non-teratomatous mediastinal germ cell tumor has been achieved in one study 15. Yolk sac tumors appear to have worse prognosis 16 and choriocarcinoma is uniformly fatal 1.

Embryonic considerations

    With their embryonic origin, it would not be surprised to see that germ cell tumors occur most often in the gonads. However, they are also seen in other midline locations such as the pineal gland, sellar-suprasellar region, retroperitoneum, mediastinum and sacrococcygeal region 17. During the 4th to 6th week of embryonic development, the primordial germ cells migrate from their original midline location near the origin of the allantois to the gonadal ridge of the future gonads 18 along the dorsal mesentery of the hindgut. This process partly explained the occurrence of germ cell tumor along the midline. It is well known that the primordial germ cells disseminate widely throughout many tissues and organ during early embryonic development. The extragonadal primordial germ cells persist most frequently in the mediastinum and the diencephalopineal region. The reason for this distribution remains uncertain. This distribution, however, partly explains the relatively high frequency of extragonadal germ cell tumor in the mediastinum and pineal region relative to other midline locations.

Pathology    

    Mediastinal non-teratomatous germ cell tumor almost always presents as an anterior mediastinal mass 3. Macroscopically, mediastinal germ cell tumor is a large and soft mass with the size of ranging from 6 to 20 cm in greatest dimension. The cut surface is homogeneous, freshy, and decorated by areas of hemorrhage and necrosis. They are unencapsulated and have inconspicuous boundary. Invasion of the surrounding mediastinal structures is a frequent intraoperative finding. In uncommon cases, mediastinal seminoma may be accompanied by extensive fibrosis. Histologically, mediastinal germ cell tumors have features similar, if not identical, to their gonadal counterparts. Here, we will restrict our discussion to yolk sac tumors.

    Yolk sac tumors exhibit a wide range of histologic patterns that differ considerably from each other. In most cases, a mixed histologic pattern is present and, not infrequently, one or two patterns may predominate. The most common pattern is the microcystic-reticular pattern. The other histologic patterns included endodermal sinus, solid, alveolar-glandular, polyvesicular vitelline, myxomatous, macrocystic, papillary, intestinal, hepatoid, and spindle cell. Although there is a rich variation in architecture, the variations in cytologic features are less impressive. The tumor cells are medium to large and have clear to pale, granular cytoplasm. Hobnail cells are not uncommon and often seen with the papillary pattern. The nuclei are large, vesicular, and contain prominent nucleoli. Yolk sac tumors are mitotically active. Necrosis and hemorrhage are common.

    Yolk sac tumor often, but not always, contains bright, eosinophilic globules. These extracellular, small, round, brightly eosinophilic, hyaline, strongly PAS-positive, diastase-resistant globules or droplets are most often associated with the microcystic-reticular pattern and endodermal sinus pattern. These globules are considered to be secreted by the tumor cells and accumulate within the cytoplasm. As the amount of secretion increases, the cell become distended and ruptures, discharging its contents into the surrounding tissue. Although characteristic, these eosinophilc hyaline globules are not diagnostic of yolk sac tumor because they are also found in other malignant tumors particularly those with poor differentiation. When they are present in specimen from fine needle aspiration, as in our case, they are metachromatic and provide a good clue for diagnosis 19, 20.

    The microcystic-reticular pattern is characterized by a loose vacuolated network with small cystic spaces or microcysts that give rise to a meshwork of communicating space. The microcysts are lined by flat, pleomorphic, epithelium-like cells with large hyperchromatic or vesicular nuclei. The myxomatous pattern is similar to the microcystic pattern but is loosely packed and contains mucoid material.

    The papillary or "festoon" pattern is composed of papillary structures featured by fine fibrovascular cores lined by mitotically active epithelium-like cells with considerable degree of cellular and nuclear polymorphism. The connective tissue may show extensive hyalinization.

    The endodermal sinus pattern is composed of perivascular formations featured by a narrow band of connective tissue with a capillary blood vessel in the center and lined by a layer of cuboidal or low columnar embryonal epithelial-like cells. The cells have large, slightly vesicular nuclei, prominent nucleoli. A single layer of flat cells lines the surrounding sinusoidal space. These characteristic perivascular formations, the Schiller-Duval bodies, are considered diagnostic of yolk sac tumor but they are not always present. Embryologically, the downgrowth of yolk sac epithelium into the extraembryonic mesenchyme of the placenta in rodent is known as endodermal sinuses. The Schiller-Duval bodies are similar to the endodermal sinus of placenta in rodent that was first described by Duval in 1891 21. The loose myxomatous pattern was considered to be analogous to magma reticulare or the extraembryonic mesoderm of the exocelom. Teilum also demonstrated that the reticular and papillary patterns recapitulate the labyrinthine placenta of the rodents 22, 23. Recognition of Schiller-Duval bodies in fine needle aspiration, although not a common event, provide good clue for diagnosis 19, 20.

    The alveolar-glandular pattern is composed of alveolar, gland-like, or larger cystic spaces and cavities lined by flat or cuboidal epithelium-like cells with large, prominent nuclei and surrounded by myxomatous stroma or cellular aggregates. The solid pattern is composed of aggregates of small epithelium-like polygonal cells with clear cytoplasm and large vesicular nuclei with prominent nucleoli. The polyvesicular vitelline pattern is composed of numerous cysts or vesicles surrounded by compact connective tissue stroma. The vesicles are lined partly by columnar or cuboidal epithelial cells, frequently showing basal or paraluminal vacuolation, and partly by flat mesothelium-like cells. The hepatoid pattern is composed of polygonal, epithelioid cells with eosinophilic, uniform, or granular cytoplasm and display histologic resemblance to hepatocytes. This pattern is uncommon but is focally present in our case under discussion. The spindle cell pattern is also an uncommon pattern 24, 25. The granular or primitive endoderemal (intestinal) pattern is composed of nests or collections of primitive endodermal glands surrounded by connective tissue, which varies from loose and edematous to dense and hyalinized. The degree of differentiation varies from primitive to relatively well differentiated. The tumor may resemble a mucin-secreting adenocarcinoma. The intestinal pattern is associated with very high levels of a-fetal protein in serum.

    Immunohistochemically, yolk sac tumors are often, but not always, positive for a-fetal protein, placental alkaline phosphatase, and cytokeratin. A small number of yolk sac tumors may be immunoreactive for CD30 and raise the possibility of embryonal carcinoma. The eosinophilic globules are often immunoreactive for a-fetal protein or a-1-antytrypsin or both. Yolk sac tumors are not immunoreactive for human chorionic gonadotrophin 3. Demonstration of a-fetal protein and a-1-antitrypsin in yolk sac epithelium further support that these tumors phenotypically recapitulate the yolk sac 26.

Differential diagnosis

    Under most situations, the histopathologic features of yolk sac tumor of the mediastinum allow rapid recognition. The possibility of a metastatic yolk sac tumor must be ruled out before a diagnosis of primary tumor is made. The occasional predominance of large clear cells in solid or glandular arrangement would suggest a metastatic clear cell carcinoma. As yolk sac tumors tend to have mixed histology, a thorough search would often reveal evidence of yolk sac tumor. Immunohistochemical demonstration of a-fetal protein is a helpful tool. The age and clinical history are helpful. Local extension of a primary malignant tumor of the lung with extension into the mediastinum is also a possibility. In some clinical situations, it is not possible to distinguish a primary mediastinal tumor invading into the lung or the vice versa. Again, a thorough histologic search and immunohistochemistry are helpful.

    Embryonal carcinoma may pose diagnostic problems as it has one or more of the characteristics of yolk sac tumors. In general, embryonal carcinoma is solid or glandular in arrangement, has far more pleomorphism and necrosis than yolk sac tumors. In contrast, yolk sac tumor has clear cells, distinctive histologic arrangement, and hyaline bodies. Most embryonal cell carcinomas are positive for CD10. It should also be noted that a small number of yolk sac tumors are also positive for CD10.

    The rare hepatoid and intestinal pattern may suggest metastatic hepatocellular carcinoma or metastastatic adenocarcinoma. Again, careful search for the distinctive histologic features of yolk sac tumor as well as immunohistochemistry would be helpful in establishing the correct diagnosis. The spindle cell pattern may suggest sarcoma.

Cytogenetics and association with hematologic malignancies

    Isochromosome 12p has been demonstrated in gonadal and extragonadal germ cell tumors 27, 28 which often lead to a gain of sequences. The critical region involved in the pathogenesis of germ cell tumor appear to be located at chromosome 12p11.1-12p12.1 29 and the genes involved may be associated with suppression of apoptosis and Sertoli cell-independent of during progression from in situ to invasive testicular germ cell tumor 30.

    Mediastinal germ cell tumor is associated with an increased incidence of hematologic malignancy with acute megakaryoblastic leukemia and malignant histiocytosis as the most common associated hematologic malignancy. In the study performed by Nichols et al. 11, the median time between the diagnosis of mediastinal germ cell tumor and development of hemopoietic malignancies was approximately 5 months. It does not seem to be a result of cisplatin-based chemotherapy in patients with mediastinal germ cell tumor. This phenomenon is restricted in patients with non-seminomatous mediastinal germ cell tumors particularly those with histologic or serologic evidence of yolk sac tumors 11, 31, 32, 33.  Isochromsome 12p, a rare genetic change in hematopoietic malignancies, has bee identified in the leukemic component of these cases 33, 34. These findings suggest that the mediastinal germ cell tumor and simultaneously occurring hematopoietic malignancy may share the same precursor cells in the mediastinum. Interestingly, isochromosome 12p has also been identified in two cases of acute myeloid leukemia that does not have evidence of mediastinal germ cell tumor 35. This further raises the question on the role of isochromosome 12p in the pathogenesis of mediastinal germ cell tumorand hemoatologic malignancies.

Reference: 

  1. Moran CA, Suster S. Primary germ cell tumors of the mediastinum I. Cancer 1997;80:681-90.

  2. Moran CA, Suster S, Przygodzki RM, Koss MN. Primary germ cell tumors of the mediastinum II. Cancer 1997;80:691-8

  3. Moran CA, Suster S, Koss MN. Primary germ cell tumors of the mediastinum III. Cancer 1997;80:699-707.

  4. Davis RD Jr, Oldham HN Jr, Sabiston DC Jr. Primary cysts and neoplasms of the mediastinum: recent changes in clinical presentation, methods of diagnosis, management, and results. Ann Thorac Surg. 1987;44:229-37.

  5. Chen JKC. Tumors of the lymphoreticular system, including spleen and thymus. In: Fletcher CDM, editor. Diagnostic Histopathology of Tumors. 2nd edition. London: Churchill Livingstone; 2000, p. 1295-8.

  6. Knapp RH, Hurt RD, Payne WS, Farrow GM, Lewis BD, Hahn RG, Muhm JR, Earle JD. Malignant germ cell tumors of the mediastinum. J Thorac Cardiovasc Surg 1985;89:82-9.

  7. Mullen B, Richardson JD.  Primary anterior mediastinal tumors in children and adults. Ann Thorac Surg 1986;42:338-45.

  8. Gooneratne S, Keh P, Sreekanth S, Recant W, Talerman A. Anterior mediastinal endodermal sinus (yolk sac) tumor in a female infant. Cancer 1985;56:1430-3.

  9. Bebb GG, Grannis FW Jr, Paz IB, Slovak ML, Chilcote R. Mediastinal germ cell tumor in a child with precocious puberty and Klinefelter syndrome. Ann Thorac Surg. 1998;66:547-8.

  10. Schwabe J, Calaminus G, Vorhoff W, Engelbrecht V, Hauffa BP, Gobel U. Sexual precocity and recurrent beta-human chorionic gonadotropin upsurges preceding the diagnosis of a malignant mediastinal germ-cell tumor in a 9-year-old boy. Ann Oncol. 2002;13:975-7.

  11. Nichols CR, Hoffman R, Einhorn LH, Williams SD, Wheeler LA, Garnick MB.  Hematologic malignancies associated with primary mediastinal germ-cell tumors. Ann Intern Med. 1985;102:603-9.

  12. Teilmann I, Kassis H, Pietra G. Primary germ cell tumor of the anterior mediastinum with features of endodermal sinus tumor (measoblastoma vitellinum). Acta Pathol Microbiol Scand 1967;70:267-78.

  13. Hainsworth JD, Greco FA. Germ cell neoplasms and other malignancies of the mediastinum. Cancer Treat Res. 2001;105:303-25.

  14. Sham JS, Fu KH, Choi PH, Lau WH, Khin MA, Choy D. Primary mediastinal seminoma. Oncology. 1990;47(2):124-7.

  15. Bokemeyer C, Nichols CR, Droz JP, Schmoll HJ, Horwich A, Gerl A, Fossa SD, Beyer J, Pont J, Kanz L, Einhorn L, Hartmann JT. Extragonadal germ cell tumors of the mediastinum and retroperitoneum: results from an international analysis. J Clin Oncol. 2002 ;20:1864-73.

  16. Saxman S, Nichols CR, Williams SD, Loehrer PJ, Einhorn LH. Mediastinal yolk sac tumor. The Indiana University experience, 1976 to 1988. J Thorac Cardiovasc Surg. 1991;102:913-6.

  17. Johnson DE, Laneri JP, Mountain CF, Luna M. Extragonadal germ cell tumors. Surgery 1973;73:85-90.

  18. Moore KL. The developing human. 4th edt. Philadelphia: WB Saunders, 1988. p 262

  19. Yang GC, Hwang SJ, Yee HT. Fine needle aspiration cytology of unusual germ cell tumors of the mediastinum: atypical seminoma and parietal yolk sac tumor. Diagn  Cytopathol 2002;27:69-74.

  20. Yang GC. Fine needle aspiration cytology of Schiller-Duval bodies of yolk sac tumor. Diagn Cytopathol 2000;23:228-32.

  21. Duval M. Le placenta des rongeurs. J Anat Physiol (Paris) 1891;27: 24–73, 344–395, 513–612.

  22. Teilum G. Classification of endodermal sinus tumour (mesoblastoma vitellinum) and so-called “embryonal carcinoma” of the ovary. Acta Pathol Microbiol Scand 1965; 64:407-429.

  23. Teilum G. Special tumors of the ovary and testis, and related extragonadal lesions; comparative pathology and histological identification. Philadelphia: JB Lippincott., 1976. p.33-115.

  24. Moran CA, Suster S. Hepatoid yolk sac tumors of the mediastinum: a clinicopathologic and immunohistochemical study of four cases. Am J Surg Pathol. 1997;21:1210-4.

  25. Moran CA, Suster S. Yolk sac tumors of the mediastinum with prominent spindle cell features: a clinicopathologic study of three cases. Am J Surg Pathol. 1997;21:1173-7.

  26. Teilum G, Albrechtsen R, Norgaard-Pedersen B. The histogenetic-embryologic basis for reappearance of alpha-fetoprotein in endodermal sinus tumors (yolk sac tumors) and teratomas. Acta Pathol Microbiol Scand [A] 1975; 83:800-86.

  27. Suijkerbuijk RF, Looijenga L, de Jong B, Oosterhuis JW, Cassiman JJ, Geurts van Kessel A. Verification of isochromosome 12p and identification of other chromosome 12 aberrations in gonadal and extragonadal human germ cell tumors by bicolor double fluorescence in situ hybridization. Cancer Genet Cytogenet. 1992;63:8-16.

  28. Murty VV, Houldsworth J, Baldwin S, Reuter V, Hunziker W, Besmer P, Bosl G, Chaganti RS.Allelic deletions in the long arm of chromosome 12 identify sites of candidate tumor suppressor genes in male germ cell tumors. Proc Natl Acad Sci U S A. 1992;89:11006-10.

  29. Mostert MC, Verkerk AJ, van de Pol M, Heighway J, Marynen P, Rosenberg C, van Kessel AG, van Echten J, de Jong B, Oosterhuis JW, Looijenga LH. Identification of the critical region of 12p over-representation in testicular germ cell tumors of adolescents and adults. Oncogene. 1998;16:2617-27.

  30. Looijenga LH, Zafarana G, Grygalewicz B, Summersgill B, Debiec-Rychter M, Veltman J, Schoenmakers EF, Rodriguez S, Jafer O, Clark J, van Kessel AG, Shipley J, van Gurp RJ, Gillis AJ, Oosterhuis JW. Role of gain of 12p in germ cell tumour development. APMIS. 2003;111:161-71; discussion 172-3.

  31. DeMent SH, Eggleston JC, Spivak JL. Association between mediastinal germ cell tumors and hematologic malignancies. Report of two cases and review of the literature. Am J Surg Pathol. 1985;9:23-30.

  32. Chariot P, Monnet I, Gaulard P, Abd-Alsamad I, Ruffie P, De Cremoux H. Systemic mastocytosis following mediastinal germ cell tumor: an association confirmed. Hum Pathol. 1993;24(1):111-2.

  33. Orazi A, Neiman RS, Ulbright TM, Heerema NA, John K, Nichols CR. Hematopoietic precursor cells within the yolk sac tumor component are the source of secondary hematopoietic malignancies in patients with mediastinal germ cell tumors. Cancer. 1993;71:3873-81.

  34. Downie PA, Vogelzang NJ, Moldwin RL, Le Beau MM, Anastasi J, Allen RJ, Myers SE, Larson RA, Smith SD. Establishment of a leukemia cell line with i(12p) from a patient with a mediastinal germ cell tumor and acute lymphoblastic leukemia. Cancer Res. 1994;54:4999-5004.

  35. Heinonen K, Rao PN, Slack JL, Cruz J, Bloomfield CD, Mrozek K. Isochromosome 12p in two cases of acute myeloid leukaemia without evidence of germ cell tumour. Br J Haematol. 1996;93:677-80.