A 5 year-old Boy with Nausea and Vomiting for Three Months.
January, 2004, Case 401-2. Home Page

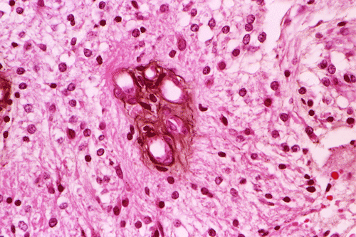
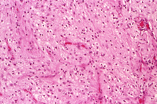
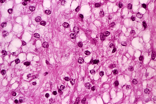
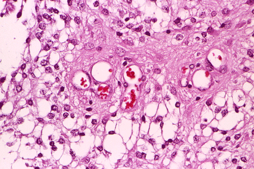
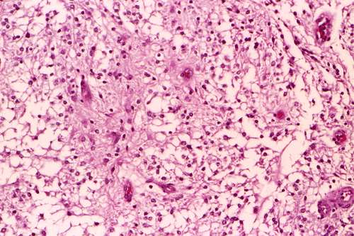
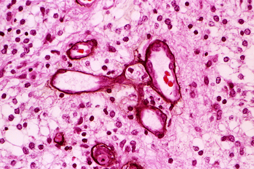
These photos were obtained from the formalin fixed paraffin embedded sections.  

Com401-2-Perm01.gif (145631 bytes) Com401-2-Perm02.gif (137202 bytes) Com401-2-Perm03.gif (136949 bytes) Com401-2-Perm05.gif (135940 bytes) Com401-2-Perm06.gif (133968 bytes) Com401-2-Perm07.gif (137355 bytes)
I. J K. L. M. N.
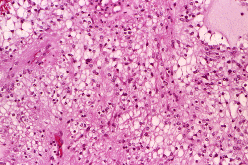
Com401-2-Perm08.gif (128521 bytes) Com401-2-Perm09.gif (146503 bytes) Com401-2-Perm10.gif (127501 bytes) Com401-2-Perm11.gif (144595 bytes) Com401-2-Perm12.gif (128470 bytes) Com401-2-Perm13.gif (130537 bytes)
O. P. Q. R. S.
Jones stain
T.
Jones stain
What is your final diagnosis? Discussion