A 45 year-old Man with a Sellar Mass.
March, 2004, Case 403-1. Home Page

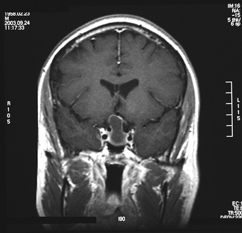
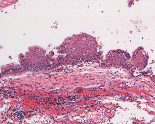
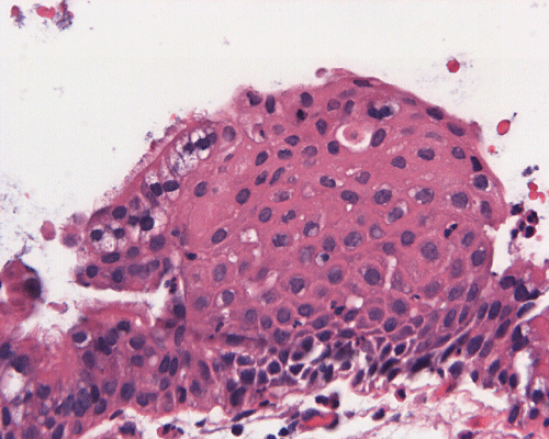
Clinical informationThe patient was a 45 year-old man who presented with staring episode that is reminiscent of a seizure. MRI examination disclosed a cystic sellar mass that deflected his optic nerve. There was no clear visual loss. 

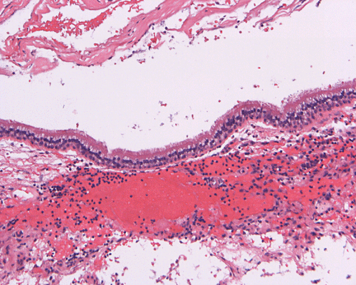
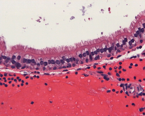
Com403-1-MRI1.gif (175407 bytes) Com403-1-2.gif (140093 bytes) Com403-1-4.gif (125178 bytes) Com403-1-1.gif (139689 bytes) Com403-1-3.gif (145349 bytes)  
A. B. C. D. E.  
What is your diagnosis? Discussion