An 18 year-old Man with Headache and Ataxia.
April, 2004, Case 404-2. Home Page

Kar-Ming Fung, M.D., Ph.D. 1, Arie Perry, M.D.2 Last update: April 30, 2004.

1 Department of Pathology, University of Oklahoma, Oklahoma City, Oklahoma, and 2 Department of Pathology, Washington University, St. Louis, Missouri

Initial information: The patient was an 18 -year old African American man who presented in September of 2001 with headache and ataxia.   His past medical history was significant for mental retardation and poorly controlled Type I diabetes mellitus. Workup revealed an enhancing cerebellar mass with associated hydrocephalus.  An infiltrate in the right upper lobe of lung was demonstrated by CT scan. The cerebellar mass was surgically removed. Representative photos are taken from the specimen and illustrated here.

Follow up information: Intraoperative frozen section of the cerebellar mass suggested "granulomatous inflammation". Additional tissue was sent to the microbiology laboratory. Blastomyces dermatitides was isolated from brain tissue and cerebral spinal fluid (CSF). Despite aggressive therapy with amphotericin B, the patient developed a progressive meningitis with secondary brainstem infarcts, as well as a pseudomonas pneumonia.  He died 3 months later. 

Pathology of the case:

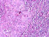
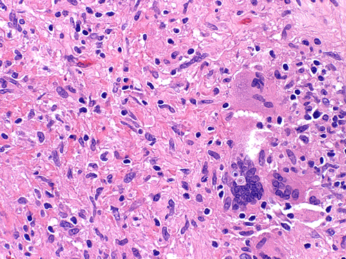
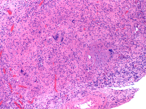
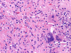
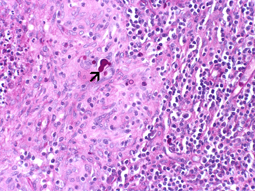
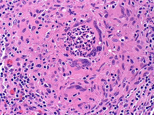
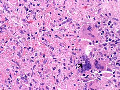
Com404-2-03.gif (155959 bytes) Com404-2-04.gif (161490 bytes) Com404-2-01.gif (162334 bytes) Com404-2-02.gif (154872 bytes) Com404-2-05.gif (89889 bytes)  
A. B. C. D. E.  

    There is widespread chronic inflammatory cell infiltration in the brain tissue (Panel A) with focal necrosis. Many small granulomas are present and some of them encase minute abscesses with fibrinopurulent exudates  (Panel B). Giant cell reaction and some yeast-like organisms are present (Þ in Panel C). These organisms are strongly positive for PAS and GMS stain. Broad based budding can be found in some of the organisms (Þ in Panel D and E).

DIAGNOSIS: Blastomycosis encephalitis.

Discussion: Please see another case for more detailed discussion

Blastomycosis, also known as North American blastomycosis or Gilchrist’s disease, is found predominantly in North America and is endemic in the south-eastern regions of the United States including the Mississipi and also in Africa; it can also be found in other parts of the world. The causative agent is Blastomyces dermatidis and is found in soil and decayed wood. It shares many clinical and pathological features of tuberculosis and, therefore, often mistaken clinically as tuberculosis. Blastomycosis occur in immune competent patient and also immune compromised patients such as AIDS patients and in patients with underlying abnormal T-cell function. The route of entry is through the respiratory tract to the lung. Systemic dissemination to other organs including the brain can follow.

The lung is affected in at least 95% of the case. The less commonly affected organs include bone and prostate. The brain is involved in about 5% of the cases. Evidence of pulmonary disease is usually found in patients with CNS blastomycosis.  In disseminated cases, the skin is involved in about 50% of cases and the brain is involved in 25% of cases. Infection of the central nervous system can occur as meningitis, meningoencephalitis, and brain abscess. Meningitis is the most common form and typically occurs late in the course of disseminated disease; it may also be resulted from local extension. Since it may be localized at the cranial base, they often share clinical features of tuberculous meningitis. Meningoencephalitis, single or multiple brain abscesses can also occur. There is no reliable serologic test and CSF culture is rarely positive even in cases of B. dermatidis meningitis. An open biopsy to obtain tissue for histologic diagnosis and culture is often necessary. The cardinal feature for histologic recognition is broad based budding as illustrated in this case.

[Click here to see a case with electron micrograph]