Department of Pathology, University of Oklahoma Health Sciences Center

A 2 month-old Infant with Malrotation.
March, 2004, Case 404-3. Home Page

Camtu Truong, M.D., Elizabeth M. Gillies, M.D. Last update: January 30, 2005.

Department of Pathology, University of Oklahoma Health Science Center, Oklahoma City, Oklahoma

Clinical informationThe patient was a 2 month 6 day-old female infant who presented to her primary care physician with bilious emesis. A upper GI series suggested a diagnosis of malrotation. She was admitted and an exploratory laporatomy with Ladd procedure was performed. The malrotation was confirmed. A prophylactic appendectomy was performed. The following photomicrographs were taken from the appendix.

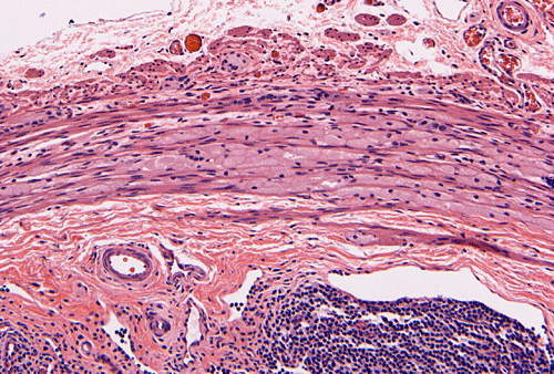
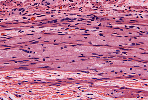
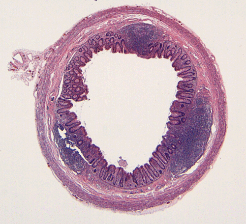
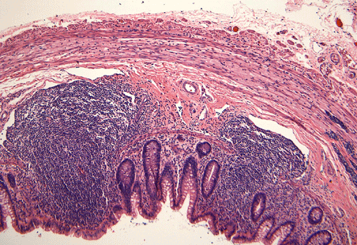
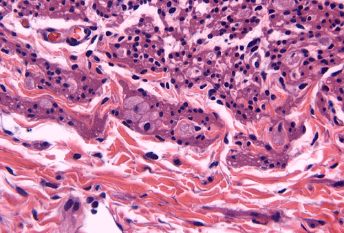
Com404-3-1.gif (139035 bytes) Com404-3-2.gif (150992 bytes) Com404-3-3.gif (143921 bytes) Com404-3-4.gif (132537 bytes) Com404-3-5.gif (136103 bytes)  
A. B. C. D. E.  
DIAGNOSIS: Granular degeneration of smooth muscle of vermiform appendix.

Pathology of the case:

    The vermiform appendix is 5.7 cm in length and 0.6 cm in diameter with tan-pink unremarkable serosa. The lumen is patent and has no remarkable content (Panel A).The inner muscular coat features single and groups of elongated, ribbon-liked granular cells (Panels B and C).  Note the fine eosinophilic cytoplasmic granularity of these cells and the small amount of stroma present between the smooth muscle and granular cells in longitudinal section (Panel D) and transverse section (Panel E) shows the transverse section of the smooth muscle and granular cells.

Discussion: General Information    Pathology    Pathogenesis

General Information  

    Granular degeneration of the appendiceal smooth muscle layer is occasionally observed (occuring in approximately 5% of appendices) as an incidental finding in routine sections.  Grossly, these lesions are not visible. 

Pathology

    Microscopically, cells with granular degeneration are seen as single and groups of elongated, ribbon-like, finely granular cells with occasional coarse granules.  These granular cells are often present in the inner muscular coat as small nests or clumps parallel to the muscle fibers.  Infrequently, these cells are seen in the outer muscular coat or in the submucosa. They should not be mistaken as granular cell tumor.

    Morphologically, these granular cells resemble the true cells of myoblastoma and have been shown to be altered smooth muscle cells.  Under electron microscopic examination, both smooth muscle cells and granular cells have prominent basement membranes, pinocytotic activity, few organelles, identical actinlike fine filaments.  However, myoblasts have larger, less active Golgi apparatus, fewer numbers of mitochondria and channels of endoplasmic reticulum compared to the appendiceal smooth muscle cells and the appendiceal granular cells.   Myoblastoma cells are found to have small granules containing densely packed vesicles while the appendiceal smooth muscle cells and granular cells derived from appendiceal smooth muscle cells do not contain such granules.

Pathogenesis

A reaction to luminal stasis, inflammation or other injuries is thought to be the underlying pathogenesis responsible for the granular degeneration of appendiceal smooth muscle which can explain the high frequency of inner muscular layer involvement.  

Further Readings: 

  1. Hausman R Granular cells in musculature of appendix. Arch Pathol 75:360-372, 1963.

  2. Sobel HJ, Marquet E, Schwarz R: Granular degeneration of appendiceal smooth muscle. Arch Pathol 92:427-432, 1971