A 55 year-old Man with Hematuria.
October, 2004, Case 410-2. Home Page

Ildiko Nagy, M.D., Barbara Bane, M.D. Last update: November 30, 2005.

Department of Pathology, University of Oklahoma Health Science Center, Oklahoma City, Oklahoma.

Clinical informationThe patient was a 55 year-old man who was referred to the urology clinic because of microscopic hematuria.  An endoscopic biopsy was performed. The followings are representative pictures taken from the biopsy sample.

           
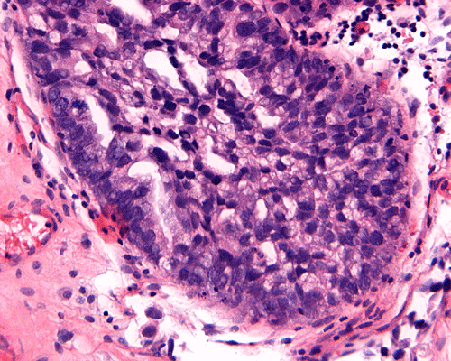
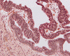
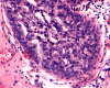
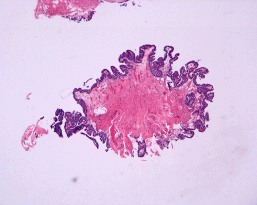
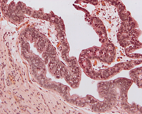
A. B. C. D. E.
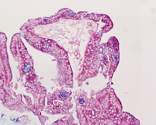
PAS-Alcian blue
F.
Mucicarmine

Pathology of the case:

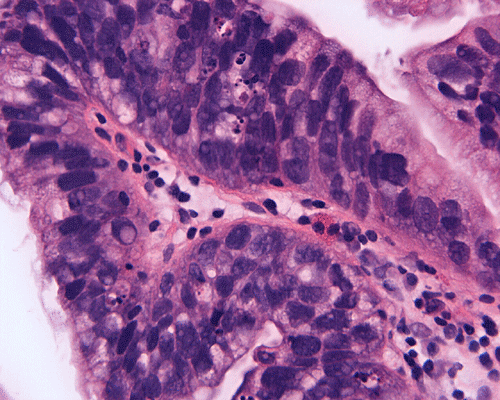
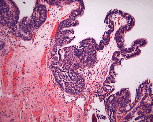
    On scanning-magnification, the biopsy material consists of small nodules of stromal tissue with epithelium lined papillae (Panel A). On low-magnification (Panel B), both multilayered epithelium  and cribiform pattern (Panel C)are demonstrated. On high-magnification  (Panel D), the epithelial cells are hyperchromatic and pleomorphic. Intracytoplasmic mucin is well demonstrated by periodic acid-Schiff (PAS)- Alcian blue stain (Panel E) and mucicarmine stain (Panel F). No invasion is demontsrated.

DIAGNOSIS:  Adenocarcinoma in situ of the urinary bladder.

Comment: As adenocarcinoma in situ is uncommon and is often associated with invasive carcinoma, the clinician must be informed that invasive carcinoma can be present but is not included in the diagnostic material.

Discussion: General Information    Pathology    Differential diagnosis   Pathogenesis

General Information    

    Adenocarcinoma in situ of the urinary bladder 1 is a rare lesion 2, 3, 4, 5, 6. In one institution it accounted for only 0.61% of all bladder biopsies from both consult and in-house cases 4. There appears to be a male predilection (79%) for this lesion with 74.4 years of age as the mean age at diagnosis (range 48-88 years) 4.  It is often associated with urothelial carcinoma in situ and/or invasive urothelial carcinoma. Chan and Epstein 4 found that 74% of the patients in their series of 19 patients had invasive carcinoma on either concurrent or subsequent specimens. Compared with urothelial carcinoma in situ it appears that adenocarcinoma in situ is associated with a much higher rate of invasive carcinoma 4, 5, 6. Additionally, more than 20% of the cases were associated with either small cell carcinoma or micropapillary urothelial carcinoma 4, both of which are otherwise rare tumor types, and are associated with poor prognosis 2, 3, 4.

    Clinical presentation of adenocarcinoma in situ is similar to urothelial carcinoma in situ, with painless intermittent gross or microscopic hematuria being the leading sign, occurring in over 75% of patients. About 30% of patients also have irritative symptoms such as dysuria or urinary frequency 4.

Pathology    

    Macroscopically, pure adenocarcinoma in situ does not present as a distinct mass lesion, rather as an erythematous, velvety area of the bladder mucosa 3.

    Histologically, in situ adenocarcinoma is defined as a noninvasive glandular lesion, where the mucosa of the urinary bladder is replaced by an atypical, often pseudostratified columnar epithelium, featuring atypical cytoplasm and definitive cytologic atypia with nuclear hyperchromasia, moderate to severe nuclear pleomorphism, frequent mitosis and apoptosis 4. Necrosis is infrequently seen.

    Three distinct architectural patterns have been described: papillary, cribriform and flat 2, 3, 4. Papillary architecture is the one most commonly seen, followed by cribriform pattern. Individual cases rarely show a pure pattern; rather, various combinations of the three patterns are more often seen.

Differential diagnosis

    The differential diagnosis of adenocarcinoma in situ of the urinary bladder is extensive.

    First, benign mimics, such as cystitis glandularis must be excluded. Cystitis glandularis may feature papillae lined by intestinal-type epithelium or show polypoid projections of intestinal type glands with complex arrangements 7. These architectural characteristics are similar to the papillary and cribriform patterns of adenocarcinoma in situ. The most important distinguishing feature is the overt cytologic atypia, nuclear pleomorphism, frequent mitosis and apoptosis that is present in adenocarcinoma in situ 7.

    It might pose difficulty to distinguish a papillary adenocarcinoma in situ from a villous adenoma of the urinary tract 8. Macroscopically villous adenoma is usually a large distinct mass, whereas in situ adenocarcinoma is often a small focal lesion.  On histology, although in situ adenocarcinoma may show papillary architecture, it does not form the characteristic villiform finger-like projections seen in the case of villous adenoma 8, 4.

    The papillary architectural pattern of in situ adenocarcinoma may resemble that of a papillary urothelial carcinoma in situ 1, however the latter does not have the columnar cells, characteristic of glandular differentiation and they do not produce mucin as illustrated in our case. Papillary urothelial carcinoma are characterized by delicate filiform processes, often with a fibrovascular core, that are not seen in adenocarcinoma in situ. Additionally, the cells of both in situ and invasive micropapillary carcinoma are cuboidal with high nuclear to cytoplasmic ratio in contrast to the columnar cells of in situ adenocarcinoma. In situ adenocarcinoma with the cribriform pattern may also be mistaken for an urothelial carcinoma in situ with so-called “gland-like lumina”. This latter is characterized by small cystic spaces containing mucin. True glandular differentiation with atypical columnar epithelium is not seen in such cases.

Pathogenesis

    One needs to keep in mind, that in organs lined by urothelium, only urothelial neoplasms can be considered well differentiated. Bladder carcinomas recapitulating the epithelium of the colon (adenocarcinoma) are considered poorly differentiated regardless of how much they resemble the normal epithelium of the colon 3.

    Recent studies 4, 8, 9 appear to dispel previous assumptions, that cystitis glandularis or intestinal metaplasia would be a strong risk factor for subsequent development of adenocarcinoma of the urinary bladder. Chan et al. noted 4 that none of their patients in a series of 19, diagnosed with adenocarcinoma in situ of the bladder developed a pure infiltrating adenocarcinoma. In addition, in situ adenocarcinoma was rarely seen by itself (only 2 in their series), but most often it was associated with urothelial carcinoma in situ and/or invasive urothelial carcinoma.

    It is not known why adenocarcinoma in situ do not develop into pure adenocarcinomas but are often associated with the various types of urothelial carcinomas. It has been postulated that adenocarcinoma in situ might arise from a neoplastic field effect in the bladder that allows for differentiation into various cell lines, so that it may be seen with any of the other histologic types of urothelial carcinoma. On the other hand, the adenocarcinoma, invasive or in situ, may be resulted from metaplastic changes of the urothelium with malignant transformation  10, 11.

Reference: 

  1. Epstein JI, Amin MB, Reuter VR, Mostofi FK. The World Health Organization/International Society of Urological Pathology consensus classification of urothelial (transitional cell) neoplasms of the urinary bladder : Bladder consensus Conference Committee. Am J Surg Pathol. 1998; 22:1435-1448.

  2. Ayala AG, Tamboli P, El-Bolkainy MN, Schoenberg MP. Adenocarcinoma. In: Pathology and Genetics of Tumours of the Urinary system and Male Genital Organs. Lyon: Eble JN, Sauter G, Epstein JI, Sesterhenn IA, editors. IARCPress; 2004. p 128-130.

  3. Murphy WM, Grignon DJ, Perlman EJ. Adenocarcinoma. In: Tumors of the kidney, bladder, and related urinary structures. Washington, DC: American Registry of Pathology; 2004. p 248; 304-309.

  4. Chan TY, Epstein JI. In situ adenocarcinoma of the bladder. Am J Surg Pathol. 2001; 25:892-899.

  5. Zincke H, Utz DC, Farrow GM. Review of Mayo Clinic experience with carcinoma in situ. Urology. 1985; 26(suppl 4):39-46.

  6. Melamed MR, Voutsa NG, Grabstald H. Natural history and clinical behavior of in situ carcinoma of the human urinary bladder. 1964. Cancer. 1964; 17:1533-1545.

  7. Jacobs LB, Brooks JD, Epstein JI. Differentiation of colonic metaplasia from adenocarcinoma of urinary bladder. Hum Pathol. 1997; 28:1152-1157.

  8. Cheng L, Montironi R, Bostwick DG. Villous adenoma of the urinary tract: A report of 23 cases, including 8 with coexistent adenocarcinoma. Am J Surg Pathol. 1999; 23:764-771.

  9. Corica FA, Husmann DA, Churchill BM, Young RH, Pacelli A, Lopez-Beltran A, Bostwick DG. Intestinal metaplasia is not a strong risk factor for bladder cancer: a study of 53 cases with long-term follow up. Urology. 1997; 50:427-431.

  10. Kunze E. Histogenesis of nonurothelial carcinomas in the human and rat urinary bladder. Exp Toxicol Pathol. 1998; 50:341-355.

  11. Kunze E, Francksen B, Schulz H. Expression of MUC5AC apomucin in transitional cell carcinomas of the urinary bladder and its possible role in the development of mucus-secreting adenocarcinomas. Virchows Arch. 2001; 439:609-615.