A 48 year-old Man with a Midline Cerebellar Mass.
November, 2004, Case 411-4. Home Page

Pablo C. Souza, M.D., Kar-Ming Fung, M.D., Ph.D. Last updated November 1, 2004.

Department of Pathology, University of Oklahoma Health Science Center, Oklahoma City, Oklahoma

Clinical information: The patient was a 48 year-old man who presented with unstable gait,  frequently tripping, and occipital headache. There was no hearing loss or visual disturbance. There was no history of excessive alcohol use, drug abuse, brain surgery or trauma. He worked as an office manger in a department store and had no history of exposure to chemicals. There was no sensory or motor deficits. An MRI examination disclosed a well demarcated, midline cerebellar mass that was 3.0 in greatest dimension. The mass obstructed the fourth ventricle and extended to the vermis. There was no cyst formation. The mass was isointense on T1-weighted images. Multiple small hyperintense foci consistent with "fat density" were present. There was also mild enhancement. The mass was isointense to focally hyperintense on T2-weighed images. Mild hydrocephalus was also present in the lateral and third ventricle. An open resection was performed. Representative histologic photomicrographs are illustrated here.

 
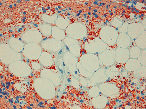
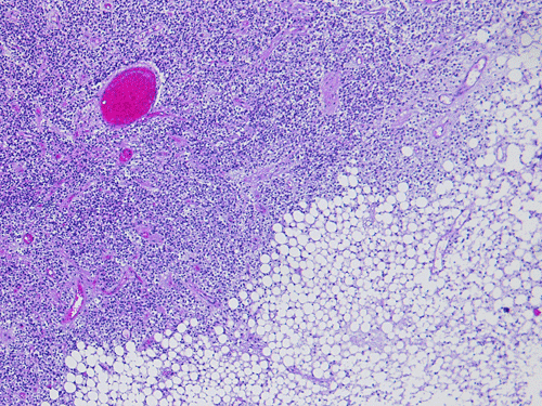
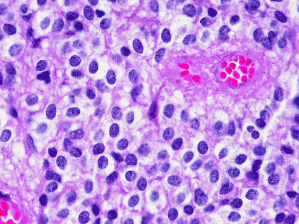
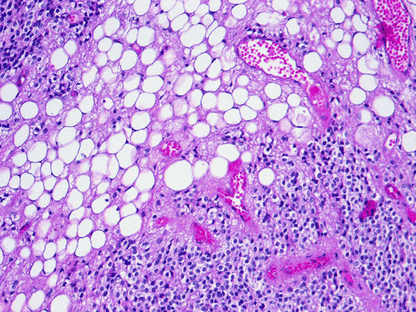
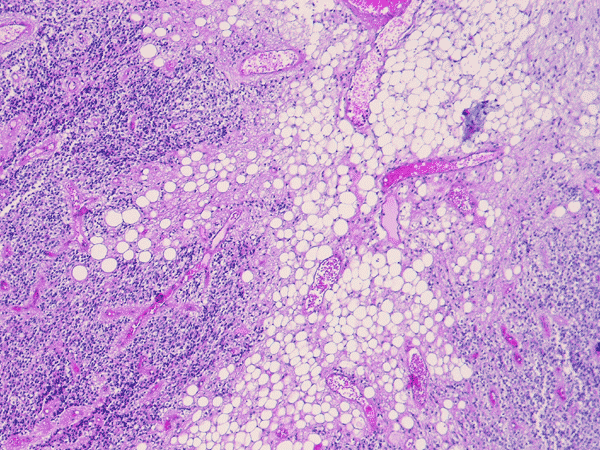
A. B. C. D. E.
Synaptophysin
 

Pathology of the case:  The specimen was fragments of soft tan tissue. The lesion is a cellular neoplasm with solid sheets of cellular component admixed with irregular islands of lipidized cells with morphology of mature adipocytes (Panel A). The two components are well demarcated from each other (Panel B). The cellular component contains predominantly of polygonal cells with round nuclei and minimal nuclear pleomorphism (Panel C and D). Although a perinuclear halo is present in most of the tumor cells, the cytoplasm is not optically clear in some tumor cells and contains a amphophilic, finely granular cytopalsm. Scant amount of neuropils are present. On immunohistochemistry, the cellular component is strongly immunoreactive for syanptophysin ((Panel E).  Immunoreactivity for NeuN is weak and heterogeneous. Some entrapped reactive astrocytes are demonstrated by immunohistochemistry for glial fibrillary acidic protein but both cellular and adipose cell-like components are negative. No immunoreactivity for neurofilament proteins is demonstrated in the tumor cells.

DIAGNOSIS: Cerebellar central liponeurocytoma, WHO grade I/IV.

Discussion: General Information    Pathology    Differential diagnosis

General Information    

    Cerebellar liponeurocytoma are extremely rare tumors. Most patients are in their 5th decade and present with features referring to a mass in the cerebellum. The salient histological feature is a combination of neuronal/neurocytic tumor with lipdized cells. This peculiar combination of neuronal/neurocytic elements with adipose tissue was first recognized by Bechtel et al. in 1978 1. Although accumulation of lipid droplets in pleomorphic xanthomatous astrocytoma is well documented and adipocytes have been described in a case of medulloblastoma with glioblastoma component 2, tumor cells that are lipidized to the extent that give morphology of mature adipose cells is rather unusual in primary neuroepithelial tumos. The interesting combination of clear cell (neurocytic) component and adipocyte-like cells has generate a long list of different names for this entity such as lipomatous glioneurocytoma of the posterior fossa and lipomatous medulloblastoma 1, 3, 4, 5, 6, 7, 8, 9, 10, 11, 12. The name cerebellar liponeurocytoma as adopted by The World Health Organization (WHO) is perhaps the best name for this type of tumor. Cerebellar liponeurocytoma is a WHO grade I tumor and is biologically benign. Late recurrence has be described in rare cases 13.  Interestingly, lipomatous differentiation has also been described in rare cases of suprtentoral central neurocytoma 14, 15. Demonstration of myoid differentiation in a case of cerebellar liponeurocytoma 9 further suggests that mesenchymal differentiation of neurocytomas might not be limited adipocyte-like changes. In addition rhabdomyomatous differentiation 16 and features of photoreceptor cells have been demonstrated in supratentorial neurocytoma 14. These observations raise the question whether cerebellar liponeurocytoma is a distinct entity or a variant within the neurocytoma family that displays mesenchymal differentiation.

Pathology    

    Cerebellar liponeurocytoma have been described in the cerebellar vermis, hemispheres and as tumor that grow into the cerebellar pontine angle. Histologically, the neuronal/neurocytic component is composed of sheets of uniform polygonal cells with round nuclei. Distinct perinuclear halo similar to those being seen in oligodendroglioma and central neurocytomas are present in the neuronal/neurocytic component. This would lead to a honey comb pattern under low- or medium-magnification.  Some of these cells may also have amphophilic granular cytoplasm. Neuropil formation can be focally seen. The lipidized component is morphologically indistinguishable from mature, adult type of adipose tissue  in other part of the body. Histologic variation between different tumors do not appear to be substantial.

    Immunohistochemistry, the neuronal/neurocytic component is strongly reactive for synaptophysin and S100. Some of them may also express glial fibrillary acidic protein (GFAP). The lipidized cells, however, has been characterized as having both neuronal and glial phenotype and are suggestive of lipidized cells of neuroepithelial origin 3, 5.

Differential diagnosis

    When both lipidized component and cellular component are present, the diagnosis should not be a difficult one. The major challenge is to distinguish this tumor from other tumor that have clear cytoplasm.

    Oligodendroglioma is perhaps most likely to be confused. The age of incidence as well as histopathologic features overlap between the two entities. On top of these, both are equally rare in the cerebellum. Strong immunoreactivity for synaptophysin can be demonstrated in liponeurocytoma. NeuN can also be positive in liponeuroneurocytoma. In addition, oligodendroglioma with lipomatous changes is extremely uncommon.

    Clear cell ependymoma should also be considered. Clear cell ependymoma are usually accompanied by substantial pleomorphism that would not be expected to appear in neurocytoma. It also lack the lipidized component. In addition, areas with classic ependymal perivascular arrangement of tumor cells, ependymal canal formation are helpful features. Ependymomas are usually strongly reactive for glial fibrillary acidic protien (GFAP).

    Metastatic clear cell carcinoma should be considered. Some of these tumors, particularly metastatic renal cell carcinoma, can have rather bland nuclear morphology. Metastatic carcinoma are positive for epithelial markers such as cytokeratin and epithelial membrane antigen.

    Clear cell meningioma should also be considered. In contrast to cerebellar liponeurocytoma, clear cell meningioma is usually dural based and are most common in the cerebellar pontine angle. In many clear cell meningiomas, obvious meningothelial features may be difficult to be fiybd, subtle whorl formation being the only diagnostic hint.  The clear cells are PAS(+). A characteristic pattern of hyalinization which probably reflecting degenerative changes of an aged tumor may be seen in older tumors. Separation of these two entities should not be difficult and immunohistochemistry is always helpful.

    Separation from medulloblastoma should not be difficult. First, most medulloblastomas occur in children. The high nuclear pleomorphism, small blue cell tumor type of histologic pattern, large number of mitoses and apoptotic cells, and necrosis distinct medulloblastoma from central liponeurocytoma.

Reference: 

  1. Bechtel JT, Patton JM, Takei Y. Mixed mesenchymal and neuroectodermal tumor of the cerebellum. Acta Neuropathol (Berl) 1978 41:261-3
  2. Ishizaw K, Kan-nuki S, Kumagai H, Komori T, Hirose T. Lipomatous primitive neuroectodermal tumor with a glioblastoma component: a case report. Acta Neuropathol 2002 103:193-198.
  3. Chimelli L, Hahn MD, Budka H. Lipomatous differentiation in a medulloblastoma. Acta Neuropathol (Berl) 1991; 81:471-473.
  4. Budka H, Chimelli L. Lipomatous medulloblastoma in adults: a new tumor type with possible favorable prognosis. Hum Pathol 1994; 25:730-731.
  5. Soylemezoglu F, Soffer D, Onol B, Schwechheimer K, Kleihues P. Lipomatous medulloblastoma in adults. A distinct clinicopathological entity. Am J Surg Pathol 1996 20:413-418.
  6. Orlandi A, Marino B, Brunori M, Greco R, Spagnoli LG. Lipomatous medulloblastoma. Clin Neuropathol 1997 16:175-179.
  7. Davis DG, Wilson D, Schmitz M, Markesbery WR. Lipidized medulloblastoma in adults. Hum Pathol 1993 24:990-995.

  8. Giangaspero F, Cenacchi G, Roncaroli F, Rigobello L, Manetto V, Gambacorta M, Allegranza A. Medullocytoma (lipidized medulloblastoma). A cerebellar neoplasm of adults with favorable prognosis. Am J Surg Pathol 1996 20:656-664.
  9. Gonzalez-Campora R, Weller RO. Lipidized mature neuroectodermal tumour of the cerebellum with myoid differentiation. Neuropathol Appl Neurobiol 1998 24:397-402.
  10. Alleyne CH Jr, Hunter S, Olson JJ, Barrow DL. Lipomatous glioneurocytoma of the posterior fossa with divergent differentiation: case report. Neurosurgery 1998 42:639-643.
  11. Walter A, Dingemans KP, Weinstein HC, Troost D. Cerebellar astrocytoma with extensive lipidization mimicking adipose tissue. Acta Neuropathol (Berl) 1994 88(5):485-9
  12. Ellison DW, Zygmunt SC, Weller RO. Neurocytoma/lipoma (neurolipocytoma) of the cerebellum. Neuropathol Appl Neurobiol 1993 19:95-98.
  13. Jackson TR, Regine WF, Wilson D, Davis DG. Cerebellar liponeurocytoma. Case report and review of the literature. J Neurosurg 2001 95:700-3
  14. Mena H, Morrison AL, Jones RV, Gyure KA. Central neurocytomas express photoreceptor differentiation. Cancer 2001 91:136-143.

  15. George DH, Scheithauer BW. Central liponeurocytoma. Am J Surg Pathol 2001 25:1551-5

  16. Pal L, Santosh V, Gayathri N, Das S, Das BS, Jayakumar PN, Shankar SK. Neurocytoma/rhabdomyoma (myoneurocytoma) of the cerebellum. Acta Neuropathol (Berl) 1998 95:318-323.