An 84 year-old Woman with Diarrhea, Abdominal Tenderness, and Dehydration.
August, 2005, Case 508-1. Home Page

Patrick Stangeby, M.D. 1, Yuan Shan, M.D., Ph.D.2 Last update: February 1, 2006.

1 Department of Pathology, University of Oklahoma Health Sciences Center, Oklahoma City, Oklahoma and 2 AmeriPath Indiana, Indianapolis, IN.

Clinical information The patient was an 84 year-old woman who developed an infection in the foot and was treated with local debridement and treatment with antibiotics. She developed abdominal cramps, tenderness, and diarrhea about a week after the antibiotic treatment was started. Her diarrhea turned severe, watery, voluminous and she also developed fever.  The patient became dehydrated and was admitted to the hospital. A colonoscopy with a biopsy was performed. A segmental resection was performed based on the result of the colonoscopic biopsy. Representative photomicrographs are obtained from the segmental resection:

 
A. B. C. D. E.  
 
F. G. H. I. J.  

Additional clinical information:  These clinical information was with hold to increase the level of challenge of this case. On colonscopy, a large segment of the transverse colon appear edematous. Patchy membranous exudates in the form of patches to irregular islands with some coalescence are identified. Friable changes are also extensive. A culture was obtained and Clostridium difficile was identified.

Pathology of the case:

    Gross pathology:  The segment of colon is dilated, hyperemic, and edematous but free of dusky discoloration. The mucosal surface is covered by islands of slightly elevated, mucoid to turbid exudates. Many of these exudates are rather well demarcated from the surrounding mucosa.

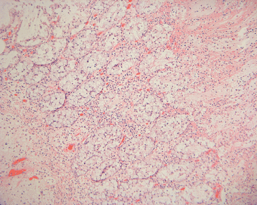
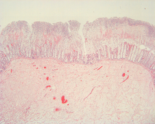
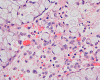
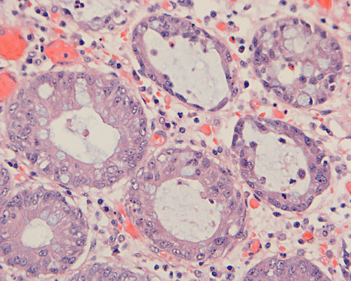
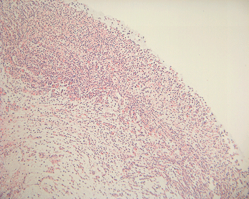
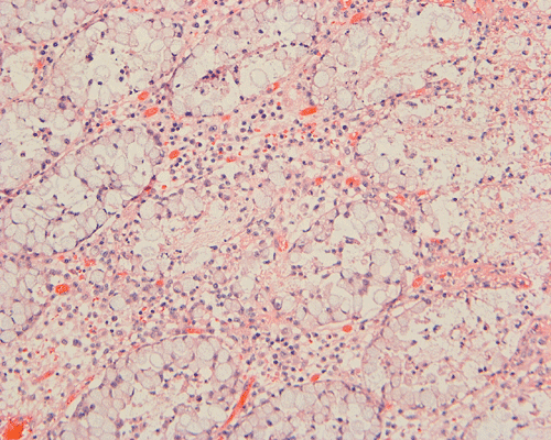
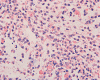
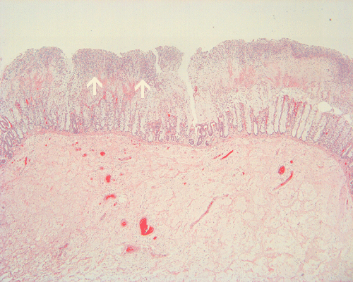
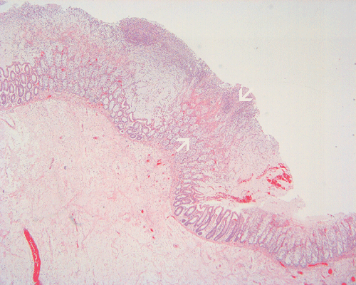
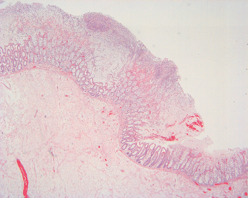
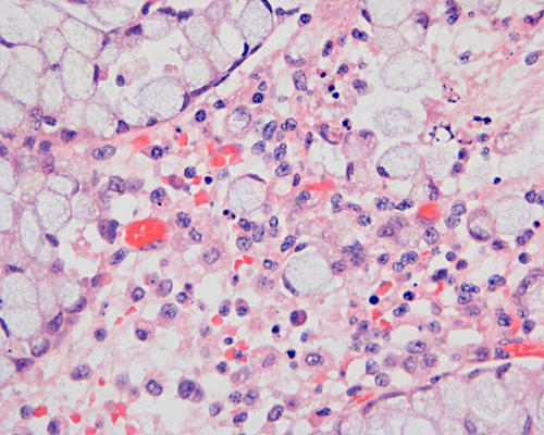
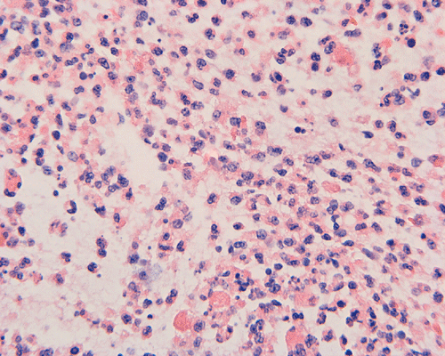
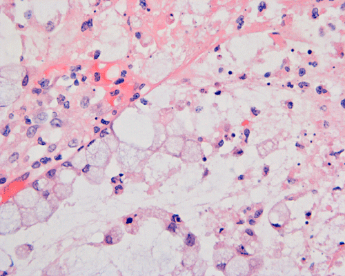
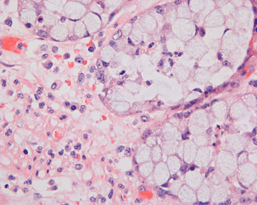
     Histopathology: On scanning magnification, the mucosa has a sandwich like structure (Panel A). At the bottom is a layer of partially destroyed glands with a middle layer of mucoid material and topped by a layer of inflammatory exudate (Ž in Panel A). In some areas, the inflammatory exudate takes the shape of a mushroom or volcano (Panel B). The submucosa is edematous but lacks significant inflammatory cell infiltration. The top layer of inflammatory exudate is composed exclusively of degenerated polymorphonuclear leukocytes (Panel C and D). At the base of the mucosa, the outline of the normal glandular architecture is maintained but there is intense infiltration by polymorphonuclear leukocytes in the lamina propria (Panel E and F). On high-magnification, the crypts are filled by signet ring cells. In severely inflammed areas, there are some single singnet ring cells in the lamina propria (Panel G). In the deeper part of the mucosa where inflammation is not as intense, the boundary between the crypts and the lamina is respected by the signet cells (Panel H). In the more superficial part of the mucosa, the glandular architecture is disrupted (Panel I). Sporadic signet ring cells are also found in mucosa that are relatively unaffected (Panel J).

DIAGNOSIS: Pseudomembranous colitis with signet ring cell changes.

Discussion:    General condiseration    Signet ring cell carcinoma    Pseudomembranous colitis    Differential Diagnosis

General Consideration:

    In this mucosal biopsy, there are features of pseudomembranous colitis. The signet ring cells inevitably raise the suspicion of signet ring cell carcinoma. It is obvious it is extremely important to distinguish these two entities. Pseudo-membranous colitis with signet ring cells is a recently described phenomenon and is a known trap for surgical pathologists as these cases may be mistaken as signet ring cell carcinoma especially in small biopsy specimens.'

    In this particular case, the most important clue is that the signet ring cells distribute within the crypt and respect the anatomic boundaries. Focally, this boundary is blurred by inflammatory cell infiltration in some areas and these areas should not be mistaken as evidence of invasion. Signet ring cells have a tendency to invade as single cells or small clusters of few cells in areas away from larger tumor cell clusters. This feature is also lacking in this case.

Signet Ring Cell Adenocarcinoma:

The current recommended grading system for adenocarcinoma of the colon is based upon a two-tiered system of low grade (well and moderately differentiated; 50% or more gland formation) or low grade (poorly differentiated; less than 50% gland formation). This system allows for better correlation between grade and prognosis but applies only to adenocarcinoma of the usual type 1. The presence of signet ring cells in less than 50% of the cells with greater than 50% of tumor consisting of mucin defines a mucinous adenocarcinoma of the colon. This tumor type is considered to be poorly differentiated by many with a poorer prognosis compared to usual type adenocarcinoma. The presence of less than 50% signet ring cells in a tumor of less than 50% mucin falls into the category of adenocarcinoma of the colon, usual type, with mucinous differentiation or mucinous features.

The presence of signet ring cells in greater than 50% of the cells in the tumor defines the tumor as signet ring cell adenocarcinoma of the colon and is by definition poorly differentiated. These cells show a characteristic mucin vacuole which pushes the nucleus to the periphery of the cell. They are also often associated with abundant extracellular mucin. Signet ring adenocarcinomas of the colon are more likely to present at advanced stage with invasion of the muscularis propria, peritoneal seeding and distant metastases than usual type adenocarcinoma and consequently have a poorer prognosis. Five year survival rates have been reported of less than 10% 2, 3.

Pseudomembranous colitis:

Antibiotic-associated colitis is a well-known complication following the use of broad spectrum antibiotics. Most commonly implicated antimicrobials are clindamycin, broad spectrum penicillins (ampicillin and amoxicillin), and cephalosporins, but antibiotics from all classes have been implicated. Oral antibiotics are more frequently causative than parenteral and are associated with unopposed growth of Clostridium difficile in many of the cases 4.

C. difficile is an anaerobic, Gram positive, spore forming rod that is spread by the fecal-oral route and is the culprit in the nosocomial etiology of antibiotic-associated colitis. The disruption to the normal flora of the bowel by antibiotics allows colonization by C. difficile spores and eventually growth of C. difficle without pressure of competition by normal flora. Toxins A and B are produced and these toxins act on GTP binding proteins in epithelial cell receptors. Toxin A and B would cause cellular injury, intestinal secretion and acute inflammation. Clinical manifestations consist of diarrhea ranging from mild to watery and occasionally bloody, accompanied by abdominal pain, distension and leukocytosis. Manifestations usually occur during antibiotic therapy or up to 10 days following therapy, but may happen as much as 5-6 weeks following therapy.  More severe cases may produce pseudomembranous colitis and even more extreme cases may result in toxic megacolon with abdominal distension and perforation, dehydration, and hypotension.

Macroscopically, membranous colitis is featured by erythematous, denuded mucosa with scattered patches of grayish-white to yellow plaques or pseudo-membranes and a thickened lamina propria. Microscopically, the mucosa shows a dense infiltrate of neutrophils within the superficial lamina propria, denudement of surface epithelium, and occasional capillary fibrin thrombi. Mucopurulent exudate fills distended crypts and erupts into the bowel lumen to form a pseudo-membrane adherent to the damaged epithelial surface 5. In the most typical case, the pseudomembrane and the damaged mucosa give resemblance to an erupting vocano.

Signet Ring Cell Changes in Pseudomembranous Colitis

    Signet-ring cell changes in the involved epithelium of pseudo-membranous colitis have been reported and in one study of 50 patients with pseudo-membranous colitis, 28% showed signet-ring cell changes 6. While signet–ring cell change has been suggested as an indicator of poor prognosis in pseudomembranous colitis 7,8, signet ring cells within the gastrointestinal tract immediately also could suggest signet-ring cell carcinoma for the differential diagnosis.

The elderly and immuno-compromised patients are at greater risk for pseudo-membranous colitis. Also, many patients requiring recurrent use of broad-spectrum antibiotics may have concurrently increased risk of carcinoma of the colon, such as those with ulcerative colitis or patients with previous resection for colon cancer 9,10. Additionally, the presenting symptoms of pseudomembranous colitis may be accompanied by a negative C. difficle toxin test in a complicated patient prompting the use of biopsy for diagnosis. This makes the differentiation of benign signet-ring cell changes from signet-ring cell carcinoma all the more crucial 11.

While there are general features which can be used to differentiate benign signet-ring cell changes from signet-ring cell carcinoma on hematoxylin and eosin stained sections, well-differentiated signet-ring cell carcinoma may be more difficult to exclude. General features which can be used to define benign signet-ring cell changes are the absence of infiltration of signet ring cells into the lamina propria and bland cytologic features. Extensive signet ring cells may be noted within the crypts and the inflammatory exudates. 6, 9. Infiltrating signet ring cells in a location remote from the main bulk of signet ring cells raises a strong suspicion of signet ring cell carcinoma. Immunohistochemistry for cytokeratin and, to a less extent, mucicarmine stain are helpful in demonstrating these clusters.

    Phenotypically, benign signet ring changes and signet ring carcinoma are differentiated more clearly with the use of E-cadherin, P53 and Ki-67 immunohistochemical stains.  One study comparing these two entities, showed that signet-ring cell change in pseudomembranous colitis stained with 100% positivity for E-cadherin, and was 100% negative for both p53 and Ki-67. In contrast, signet–ring cell carcinoma was weakly positive for E-cadherin in 70-75% with 25-30% of cells negative and strongly positive in greater than 50% of cells for p53 and also positive in 42-60% of cells for Ki-67 6. These features may play an important role in differentiating between benign colitis-associated changes from malignant signet ring cells in complicated cases involving high risk patients.

Reference: 

  1. Compton CC, Fielding LP, Burgart LJ, Conley B, Cooper HS, Hamilton SR, Hammond ME, Henson DE, Hutter RV, Nagle RB, Nielsen ML, Sargent DJ, Taylor CR, Welton M, Willett C.. Prognostic factors in colorectal cancer. College of American Pathologists Consensus Statement 1999. Arch Pathol Lab Med 2000;124:979-994.

  2. Anthony T, George R, Rodriguez-Bigas M, Petrelli NJ. Primary signet-ring cell carcinoma of the colon and rectum. Ann Surg Oncol. 1996;3:344-348.

  3. Messerini L, Palomba A, Zampi G. Primary signet-ring cell carcinoma of the colon and rectum. Dis Colon Rectum. 1999;42:1618-1625.

  4. Thomas C, Stevenson M, Williamson DJ, Riley TV.. Antibiotics and hospital-acquired Clostridium difficile-associated diarrhoea: a systematic review. J Antimicrob Chemother 2003;51:1339-50.

  5. Fortson WC, Tedesco FJ. Drug-induced colitis: A review. Am J Gastroenterol 1984;79:878-883.

  6. Wang K, Weinrach D, Lal A, Musunuri S, Ramirez J, Ozer O, Keh P, Rao MS. Signet-ring cell change versus signet-ring carcinoma, A comparative analysis. Am J Surg Pathol. 2003;27:14291433.

  7. Sidhu JS, Liu D. Signet-ring associated with pseudomembranous colitis. Am J Surg Pathol. 2001;25(4):542-543.

  8. Damiani S, Campidelli C. Pseudomembranous colitis with signet-ring cells. Histopathology. 2002;41:176-177.

  9. Schiffman R. Signet-ring cells associated with pseudomembranous colitis. Am J Surg Pathol. 1996;20(5):599-602.

  10. Abdulkader I, Cameselle-Teijeiro J, Forteza J. Signet-ring cells associated with pseudomembranous colitis. Virchows Arch, 2003;442: 412-414

  11. Gerding DN, Brazier JS. Optimal methods for identifying Clostridium difficile infections. Clin Infect Dis 1993;16(Suppl 4): S439-42.