A 10 year-old Boy with Headache, Rapid Neurologic Deterioration, Leptomineal and Parenchymal Enhanement.
November, 2005, Case 511-1. Home Page

Eric Harp, D.O., Rhonda Shuey-Drake, M.S., Kar-Ming Fung, M.D., Ph.D.

Department of Pathology, University of Oklahoma Health Sciences Center, Oklahoma City, OK, Last update September 30, 2005

Clinical information In August, a previously healthy 11 year-old boy was presented to a clinic with the initial complain of headache. A few hours later, he started to have nausea and vomiting. The vomiting became bilious later. There was no associated diarrhea, cough, or rash. The patient became progressively listless and lethargic. He was treated by his physician but his condition continue to deteriorate. One day later, he was hallucinating, confused, and had brief episodes of stiffening. The child was admitted to the emergency room on the same day. Blood cultures for bacteria and enterovirus were negative. On admission, he was obtunded and had some photophobia but he was spontaneous opening of eyes and some purposeful movement. The peripheral white blood  cell count was 24,600 cells/mm3 with 79% neutrophils. For the cerebrospinal fluid (CSF), the glucose level was 58 mg/dl, protein was 256 mg/dL, and there were 2079 white blood cells per mm3 and there were 79% neutrophils. A test for Cryptococcus neoforman antigen was negative in the CSF. A diagnosis of meningitis was made and the child was treated with vancomycin and ceftriaxone. His condidtion did not improve. A CT scan revealed evidence of increased intracranial pressure and tonsillar herniation. An MRI scan revealed diffuse cerebral edema. The lateral and fourth ventricles were totally effaced and  there was uncal and tonsillar herniation. There was also focal patchy changes in the left cerebellum and globus pallidus that are suggestive of infarction. There was also diffuse enhancement of the leptomeninges, bilateral frontal lobes and bilateral temporal lobes. He also had high fever with a temperature of 40.3 ˚C.

    Despite maximal medical therapy including the use of multiple antibiotics, the child died 78 hours after his initial complain of headache.

Additional Clinical Information: The patient was born in the United States and spent most of his time in the United states. About 3 years before his dead, the patient was bite by a dog while visiting another country. The dog belongs to a relative of the child and was not vaccinated. As per description by the parents, the dog remained well for about another year after the biting incidence and then died of an unknown cause. As per the description of the father, the child has also swam in a fresh water lake about one week before he was admitted to the hospital. The child has also been swimming in a possibly contaminated and non-chlorinated pool one day before he developed headache. In addition, the child also sustained some mosquito bite around his home. The child has also contact with some horses before he died. The additional clinical information was with held to increase the level of challenge of this case.

    An autopsy limited to the brain was performed. The followings are representative photographs of the brain:

A. B. C. D. E. F.
 
G. H. I.
Semithin
J.
Semithin
K.  

Pathology of the case: 

Gross pathology: The brain weighs 1,650 grams (normal is 1,320 grams and was grossly edematous. The leptomeningeal surface appears slightly granular and this feature is best appreciated on side lighting (Arrow in Panel A). On coronal sections, the lateral ventricles are totally collapsed and the sulci are flattened out by the edema. There are some poorly defined brownish, round patches in the cortex and thalamus. The uncal notch on the left side (Panel  B) appears deep, brownish and friable whie the uncal notch in the right side appear deep. There are focal necrosis in the orbital frontal lobe, bilateral olfactory bulbs, and bilateral temporal lobes.

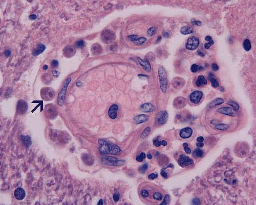
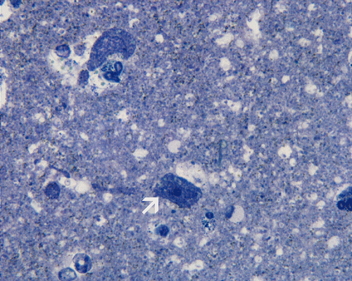
Histopathology: There is intense perivascular inflammatory cell infiltration involving different parts of the brain with the cerebral leptomeninges ost affected. Deep extension of the inflammatory cells in the brain parenchyma is common (Panel C, D, and E). Necrosis is common in these lesions. On medium-magnification, the inflammatory cells is a mixture of both neutrophils and lymphocytes (Panel F). On high-magnification, the inflammatory cells are mixed with numerous mononuclear, round to oval cells with a poorly defined, vesicular nuclei, prominent, basophilic nucleoli. The cytoplasm is amphophilic and sometime vacuolated (Arrow in Panel G H). While these cells appear round in the perivascular location (Arrow in I), these cells appear polymorphic in brain parenchyma (Panel J). No cyst formation is observed. Areas of acute infarction are also present and are probably resulted from compromised cerebral circulation secondary to the massive and rapid increase in intracranial pressure due to edema.

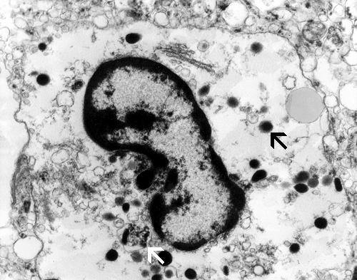
Electron microscopy: On electron microscopy, these cells contain numerous lysosomal vacuoles consistent with active phagocytosis (Arrows in Panel K). The nuclear membrane is rimmed by a layer of chromatin and there is also a large, prominent nucleoli.

Culture: Naegleria fowleri was identified in culture of brain parenchyma and leptomeninges.

DIAGNOSIS: Acute primary amebic meningoencephalitis with Naegleria fowleri.

Comment: This is a case of acute primary amebic meningoencephalitis with Naegleria fowleri and is confirmed by laboratory culture. The clinical history of dog bite, mosquito bite and contact with horses raises the concern of delayed rabies and viral encephalitis. It is rather unusual for a viral encephalitis to progress such rapidly. The rapid clinical course, however, is typical for primary amebic meningoencephalitis caused by Naegleria fowleri and is strongly correlated with the history of swimming in possibly contaminated fresh water lake or ponds. Without a high index of suspicion, the ameba can be easily mistaken as macrophages on microscopic examination.

    While many of the necrosis is resulted from the amebic infection alone, the infarcted areas are caused by compromised circulation of the brain due to increased intracranial pressure.

Discussion: 

General Information    Laboratory Diagnosis    Pathology    Prognosis

General Information    

Naegleria fowleri is the etiologic microorganism that causes acute primary amebic meningoencephalitis. It is an ameboflagellate from the family Vahlkampfiidae, whose members can transform from amebae to flagellates. Bacteria can be found in the phagocytic vacuoles of these amebae. Either form can be infective. It was first described by a South Australian pathologist who proposed the site of entry of ameba as through the cribiform plate 1, 2. Cases of N. fowleri have been reported throughout the world (including Australia, Belgium, Czechoslovakia, Great Britain, India, Ireland, New Zealand, Nigeria, Panama, Puerto Rico, Uganda, and Venezuela), with many cases in the United States particularly North Carolina, Texas, and Oklahoma  1, 2. N. fowleri is usually found in freshwater, often in ponds, shallow lakes, and in both natural occurring and manmade lakes.

Meningoencephalitis caused by N. fowleri occurs typically in previously healthy, immunocompetent patients rather then immunocompromised patients. Children and young patients are usually affected. This may probably related to their tendency to play in fresh water.  Cases typically occur in the summer and is associated with activity in fresh water ponds or lakes shortly before presentation  1, 2, 3, 4, 5, 6, 7. It is rare and the clinical course is fulminant. These features make it difficult to diagnose. A high index of suspicion and knowledge of exposure fresh water in lakes and ponds are important for correct antemortem diagnosis. Water activity that has been associated with N. fowleri include swimming, splashing in shallow water, and a jet ski accident 8, 9, 10. In nearly all instances of infection in the United States, it is intriguing that several other persons swam in the same water with the unfortunate victim at the same time but did not become ill 7. The reason for this selective manifestation is not clear. The specific behavioral, physiologic, or anatomic risk factors for disease are unknown. More aggressive diagnosis and reporting of disease may assist in clarifying risk factors and in improving therapeutic interventions and possible strategies for prevention.

The amebae invade the central nervous system through the cribriform plate, causing meningoencephalitis. The cause of ameba inoculation is most likely from splashing of the water surface. Symptoms occur quickly, often in 2 to 3 days, after activity in fresh water, and almost always within 7 days of exposure. The clinical presentations combined with the age group are often misinterpreteted as meningitis, as many of the symptoms are overlapping 3, 4, 5, 6,. These can include headache, fever, anorexia, vomiting, meningeal signs, altered mental status, and hallucination. Seizure is common and often associates with disease progression. The patient rapidly becomes comtose, develop severe brain edema and, later, brain herniations. Death typically occurs within 72 hours after the onset of symptoms.

Laboratory diagnosis

In addition to the clinical presentations, the laboratory findings can also overlap with that of bacterial meningitis. The cerebral spinal fluid (CSF) may show an increase in neutrophils, increased protein, and decreased glucose. Ameba may be seen on Gram stained smears, however this is the exception. Amebae in the CSF are often mistaken as macrophages or tumor cells. If N. fowleri infection is suspected, a fresh non-refrigerated specimen of CSF should be brought directly to the laboratory. CSF should be examined under the microscope in wet-mount preparation and also fixed, stained preparation. In fresh preparation or culture, the organisms show characteristic motility. In contrast to acanthoamoeba, N. fowleri move swiftly. Mixing of distilled water with the CSF will hasten the transformation of the ameba to the biflagellate form which may aid in recognition. While most laboratories are not set up for ameba culture, culture is possible using an agar slant or plate containing E. coli or Enterobacter species. Additionally, molecular studies are in development 9, 11. It is because of its rapid, fulminant course, most diagnoses are unfortunately made at autopsy. Once again, the key to premortem diagnosis lies with history, and a high index of suspicion based on history, timing, exposure, and time of year 12, 13, 14, 15, 16, 17.

Pathology    

The brain is extremely edematous and therefore heavy as illustrated in our case. The extreme edema will produce uncal and tonsillar herniation which is usual cause of death. There is a thin layer of purulent exudates on the leptomeninges. On cross sections, small hemorrhagic foci can be observed.

Microscopically, it is essentially an acute, necrotizing meningoencephalitis with or without hemorrhage. There is intense perivascular inflammatory cell infiltration in the leptomeninges and in the parenchymal blood vessels and the inflammatory cells is typically a mixture of lymphocytes, mononuclear cells and substantial amount of neutrophils. Degenerated polymorphonuclear leukocytes are common. Necrosis associated with the inflammatory infiltration is common. N. fowleri are found predominantly in the Vichow-Robin space as round cells about 10-20 mm in diameter. They have pale vesicular nuclei and prominent nucleoli with chromatin lining the nuclear membrane. The cytoplasm is amphophilic and may appear vesicular or bubbly. Periodic acid Schiff stain does not offer any advantages in identification of these cells. Masson’s trichrome may be helpful. When N. fowleri are found in the parenchyma, they may appear polymorphic and not round. Astute recognition of the nuclear feature is the key to find these cells in the parenchyma. In contrast to Acanthoamoeba species, N. fowleri does not have cyst formation. This feature allows differentiation.

Under the electron microscope, the microorganisms in the Vichow-Robin space appear as round cells with many phagocytic or lysosomal vacuoles. A large nuclei with chromatin lined nuclear membrane and large, prominent nucleoli is also helpful in identification.

Prognosis

Survivors of PAM have been documented 3, 8, 18. Successful therapy in these cases was begun early, likely combined with high index of suspicion. Some successful treatment regimens have included administration of intravenous, intrathecal or intraventricular amphotericin B in addition to intensive supportive care. One documented case reported the use of miconazole intravenously and intrathecally, and rifampin orally. Amphotericin B is the only drug with established clinical efficacy. In recent years, projects have been designed to investigate the activity of various therapeutic agents 5, 8. One investigation demonstrated in vitro activity with feasibly tolerable MICs including ketoconazole, minocycline, quinupristine-dalfopristine, and trifluroperizine. In the same study looking at mouse models of PAM, none of the untreated mice survived, while treated mice showed survival ranging from 10 to 50 % depending on the agent used.

Reference: 

  1. Cooter R. The history of the discovery of primary amoebic meningoencephalitis. Aust Fam Physician. 2002; 31:399-400.

  2. Schuster FL, Visvesvara GS Free-living amoebae as opportunistic and non-opportunistic pathogens of humans and animals. Int J Parasitol. 2004; 34:1001-27.

  3. Schuster FL, Visvesvara GS. Int J Parasitol. 2004 Aug;34(9):1001-27.Seidel JS, Harmatz P, Visvesvara GS, et al. Successful treatment of primary amoebic meningoencephalitis. N Engl J Med 1982; 306:346-8.
  4. Okuda DT, Hanna HJ, Coons SW, Bodensteiner JB Naegleria fowleri hemorrhagic meningoencephalitis: report of two fatalities in children. J Child Neurol. 200; 19:231-3.

  5. Goswick SM, Brenner GM. Activities of therapeutic agents against Naegleria fowleri in vitro and in a mouse model of primary amebic meningoencephalitis. J Parasitol. 2003; 89:837-42.

  6. Jain R, Prabhakar S, Modi M, Bhatia R, Sehgal R.. Naegleria meningitis: a rare survival. Neurol India. 2002; 50:470-2.

  7. Cabanes PA, Wallet F, Pringuez E, Pernin P. Assessing the risk of primary amoebic meningoencephalitis from swimming in the presence of environmental Naegleria fowleri. Appl Environ Microbiol. 2001; 67:2927-31.

  8. Schuster FL, Visvesvara GS. Opportunistic amoebae: challenges in prophylaxis and treatment. Drug Resist Updat. 2004; 7:41-51.

  9. Reveiller FL, Cabanes PA, Marciano-Cabral F. Development of a nested PCR assay to detect the pathogenic free-living amoeba Naegleria fowleri. Parasitol Res. 2002; 88:443-50.

  10. Gyori E.December 2002: 19-year old male with febrile illness after jet ski accident. Brain Pathol. 2003; 13:237-9.

  11. Fritzinger AE, Marciano-Cabral F. Modulation of a "CD59-like" protein in Naegleria fowleri amebae by bacteria. J Eukaryot Microbiol. 2004; 51:522-8.

  12. Gutierrez Y. The free-living amoebae: Naegleria and Acanthamoeba. In: Diagnostic pathology of parasitic infections with clinical correlations. Philadelphia: Lea and Fabiger, 1990; 80-93.
  13. Krogstad DJ, Visvesvara GS, Walls KE, Smith JW. Blood and tissue protozoa. In: Balows A, Hausler WJ Jr, Herrman KL, Isenberg HD, Shadomy HJ, eds. Manual of clinical microbiology. 5th ed. Washington, DC: American Society for Microbiology, 1991; 727-50.
  14. Martinez AJ, Visvesvara GS. Laboratory diagnosis of pathogenic free-living amoebas: Naegleria, Acanthamoeba, and Leptomyxid. Clin Lab Med 1991; 11:861-72.
  15. Sotelo-Avila C. Naegleria and Acanthamoeba. Free-living amoebas pathogenic for man. Perspect Pediatr Pathol 1987; 10:51-85.
  16. Apley J, Clarke SK, Roome AP, Sandry SA, Saygi G, Silk B, Warhurst DC. Primary amoebic meningoencephalitis in Britain. Br Med J 1970; 1:596-9.
  17. Jamieson A, Anderson K. Primary amoebic meningoencephalitis. Lancet 1972; 1:902-3.
  18. Jain R, Prabhakar S, Modi M, Bhatia R, Sehgal R.. Naegleria meningitis: a rare survival. Neurol India. 2002; 50:470-2.