A 42 year-old Women with Difficulties in Walking, Confusion, Multiple White Matter Lesions.
January, 2006, Case 601-1. Home Page

Jianyi Li 1, M.D., Ph.D., Kar-Ming Fung 1, M.D., Ph.D., Jiang Qian, M.D., Ph.D.2  Last update December 30, 2005.

1 Department of Pathology, University of Oklahoma, Oklahoma City, OK, and 2 Department of Pathology, Albany Medical College, Albany, NY.

Clinical information The patient was a 42 year-old woman with history of substance abuse including alcohol, cocaine and smoking. She lived in the New York State. Her history regarding recent traveling outside her state or U.S. was not clear. She started with difficulties in walking and falling to one side 4-5 days ago. Her family members noticed mild confusion with disorientation and difficulty in finding words later. She was admitted to the hospital under the impression of a possible stroke. 

    On admission, her blood pressure was 150/98 mm Hg, heart rate was 70, respiratory rate was 27, and temperature was 96.9 ºF.  She had no carotid bruits and her heart was unremarkable on auscultation.  She was not fully alert but was awake and arousable.  She had aphasia but she could understand and follow simple commands. However, she was not able to follow complex two step commands. Her right pupil was 4 mm and left 3 mm in diameter and there was no evidence of papillaedema.  Her right nasolabial fold was slightly reduced. Her tongue was in midline and showed no sign of paralysis. 

    Her motor skills were difficult to be assessed but the strength of her upper and lower extremities were at least 3/5 bilaterally. Deep tendon reflexes were 2+ to 3+ on the right, 2+ on the left with up going toe on the right and equivocal toe in the left.  She withdrew from noxious stimuli in all extremities.  On finger-to-nose test, she had mild dysmetria in the right upper extremity. She also had positive Romberg’s sign and fell to the right. There was also possible pronator drift on the right side.

    Laboratory Studies: Cardiac enzymes are within  normal limits, cholesterol 231, WBC 14.3, H&H 14.6/42.9, platelet 307,000, Na 141, K 4.3, Chloride 107, CO2 23,  BUN 5, creatinine 0.7, glucose 95 and INR 1.0.  Her HIV testing was negative. Cerebral spinal fluid (CSF) has no oligoclonal bands, negative for CJD, myelin basic protein 8, RPR was non-reactive, VDRL was negative, lyme disease titer was negative.  CSF analyses for cytomegalovirus, enterovirus, herpes simplex virus, JC virus and cryptococcus were all negative.  An electroencephalogram (EEG) showed triphasic waves consistent with diffuse cerebral dysfunction encephalopathy. 

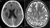
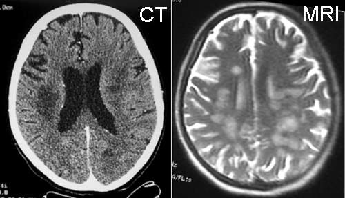
    The impression at admission was possible left MCA stroke.  A panel of studies were performed which included head imaging.  The initial CT was said to be normal.  MRI scan revealed multiple hyperintense lesions on T2-weighted images and diffusion images which suggested leukoencephopathic changes. Similar changes were present in the CT that was obtained in the later course of the disease. MR-angiogram (MRA) showed abnormal vasculature.

    The leading diagnoses were demyelinating disease versus vasculitis and was treated with decadron and imuran. However, she does not appear to response to these treatments. She was, for a time, suspected for fungal infection and treated briefly.  During her course, she also developed urinary tract infection and which was treated with ceftriaxone. 

     A left frontal lobe biopsy was performed and yield the following representative photomicrographs.

A. B. C. D. E. F. G.
H. I.
LFB-PAS
J.
LFB-PAS
K.
LFB-PAS
L.
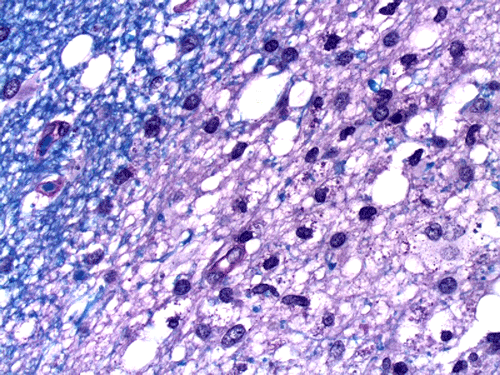
GFAP
M.
GFAP
N.
NFP
 
O.
NFP
P.
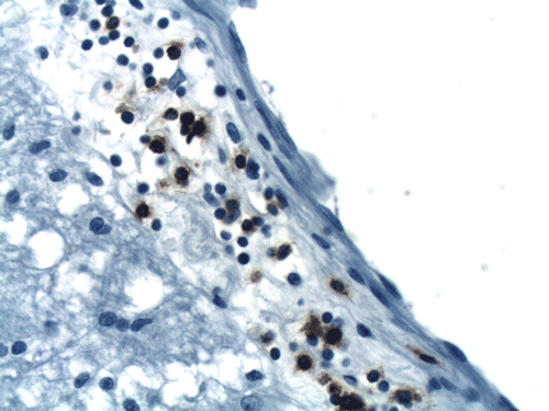
CD68
Q.
CD68
R.
CD3
S.
CD20
T.
CD20
U.

Pathology of the case: 

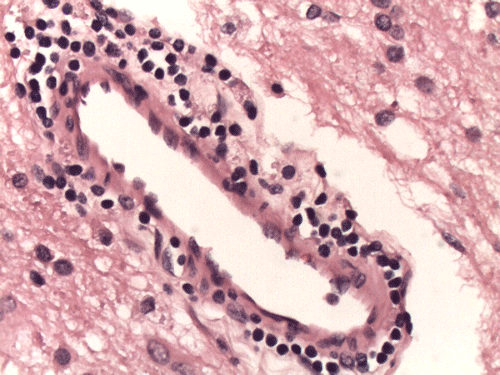
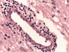
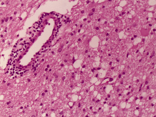
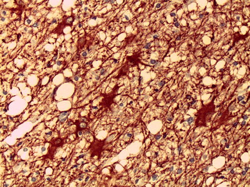
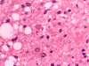
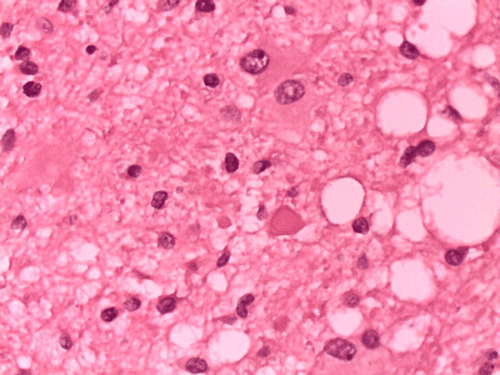
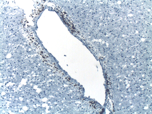
    On CT scan, there is multiple hypodense white matter lesions that appear to spare a thin layer of subventricular white matter (Panel A). The T2-weighted images on MRI provides a more accurate estimation. The white matter in the occipital lobes is most affected (Panel A). There is extensive vacuolar changes in the white matter (Panel B and C) and there is a questionable increase in cellularity. In some of the thin walled blood vessels, there is a thin layer of perivascular lymphocytic infiltration which is free of atypia (Panel D, E, and F). The lymphocytes do not appear to extends into the parenchyma. On higher magnification, some large reactive astrocytes can be seen (Panel G). In a minority of areas, some concentric rings can be seen on hematoxylin-eosin stained sections (Panel H). These rings appear to be alternating rings of myelinated and demyelinated white matter and the vacuolar changes appear to be limited mainly to the concentric lesions. The adjacent myelinated areas are spared (Panel I). In some areas, the level of myelin loss appears to be proportional to the level of vacuolar changes (Panel J and K). On immunohistochemistry for glial fibrillary acidic protein (GFAP), the degree of gliosis is also more impressive in areas with more prominent vacuolar changes (Panel L and M). The vacuolar areas also appear to have a reduced density of axons (Panel N). Axonal spheroids are also present in these areas (Panel O). Although a prominent infiltration of foamy histiocytes is not noted on hematoxylin-eosin stains, immunohistochemistry for CD68 illustrated positive cells in a minority of demyelinated areas (Panel P). These cells lacks the foamy nature of macrophages and their morphology would suggest microglial cells. The reactive astrocytes are not immunoreactive for CD68 (Panel Q). Immunohistochemistry for T-cells (CD3) and B-cells (CD20) demonstrates only a thin rim of perivascular infiltration without significant extension into the surrounding parenchyma (Panel R, S, and T).

DIAGNOSIS: Leukoencephalopathy with vacuolar changes, compatible with cocaine induced vacuolar leukoencephalopathy.

Discussion: General Information    Pathology    Differential diagnosis

General Information    

    Toxic leukoencephalopathy has been described in association with a wide variety of agents including occupational or environmental exposure, radiation, chemotherapy and substance abuse. Wolters et al. 1 made the first description of heroin induced leukoencephalopathy in 1982 and they also proposed a staging schedule into early, intermediate, and terminal statge.  In the early stage, the patients have soft (pseudobulbar) speech, cerebellar ataxia, motor restlessness and apathy. In the intermediate stage, there are evidence of pyramidal tract lesions, pseudobulbar reflexes, spastic paresis, tremor, myoclonic jerks and choreoathetoid movements. In the terminal stages, the patients demonstrate stretching spasms, hypotonic paresis, akinetic mutism and central pyrexia 1. For heroin associated leukoencephalopathy, the mortality is 23.4% 1. Other later cases of leukoencephalopathy associated with intravenous use of cocaine as well as of heroin have been reported in Europe and the United States. In particular, the inhalation of pyrolysate of heroin, otherwise known as “chasing the dragon”, appear to have a particular association with leukoencephalopathy 2, 3, 4, 5. For heroin associated leukoencephalopathy, the mortality is 23.4%.

 

    The etiology of substance abuse induced leukoencephalopathy is poorly understood. Mitochondrial dysfunction may contribute to it, since there is increased white matter lactate in two cases of leukoencephalopathy associated with heroin vapour inhalation and they had favorable response to antioxidants. Hypoxic injury may also play a role in the axonal damage and spongiform white matter change. Alternatively, toxic substance may be deposited in lipid-rich myelin and/or induce a metabolic change resulting in persistent tissue destruction. Interestingly, the use of plain heroin by mouth, by injection or by inhalation of the pyrolysate is not a known consequence of leucoencephalopathy in the study by Wolters et al. In contrast, they proposed that the contaminated substance in heroin that is obtained from the black market as the etiologic agent 1. The mechanism of leukoencephalopathy induced by cocaine use is unknown.

Radiology

    The radiologic findings for substance abuse induced leukoencephalopathy are often nonspecific.  The studies are limited mainly to heorin abuse. Brain computed tomography and magnetic resonance imaging (MRI) reveal symmetrical bihemispheric, deep white matter lesions and lesions of the pyramidal tract  2, 3, 4 , 5.  These lesions are usually hyperintense on T2-weighted MRI images. The diffuse changes often follow the shape of the centrum ovale. Typically, the centrum ovale and white matter tracts of the brainstem and supratentorial brain including the deep gray matters are affecgted.  Involvement of the cerebellum in a clinically non-hypertensive patients is also a useful feature. Recently Keogh et. al. report  heroin vapor inhalation can cause distinctive symmetric increased signal involving the cerebellar white matter and posterior limb of the internal capsule 4,.

    The radiologic findings on leukoencephalopathy associated with cocaine abuse have not been well studies.

Pathology    

    On histology, there are extensive spongiform degeneration and vacuolar degeneration of the deep white matter associated with variable macrophage, profound axonal loss, degenerating axons with spheroid formation and evidence of axonal injury in adjacent normal appearing white matter  1, 2, 3, 4. Demyelinating changes featured by lost of myelin and infiltration of macrophages have also been described  1,  2, 5,  6. Under the electronic microscope, there are vacuolar degeneration of the oligodendroglia, swollen mitochondria and distended endoplasmic reticulum.

Differential diagnosis

    Diffuse vacuolation of the brain is a rather nonspecific finding. It can be seen in metabolic diseases involving amino acids such as Canavan’s disease. Vacuolation is also a feature of Creutzfeldt-Jakob disease and other prion disease. Vacuolation has also been described in methanol intoxication. However, the clinical findings in this case do not suggest these diagnoses. The major concern is the differentiation from concentric sclerotic type of multiple sclerosis (Baló type).

    Concentric sclerotic type of multiple sclerosis (Baló type) often but not always follows a monophasic, non-remitting, fatal course. It is more commonly seen in the Orientals and particularly in the Philippines. Young adults are usually affected. Pathologically, it is featured by alternating layers of concentrically arranged myelinated and demyelinated tissue. The cerebral hemispheres, particularly the frontal lobe, the brainstem, and cerebellum can all be affected. On light microscopy, there is classic pathology of demyelination including lost of myelin, perivascular inflammatory cell infiltration, histiocytic infiltration. Astrocytic proliferation is marked and Rosenthal fibers can be seen. The concentric nature of the disease can be observed as concentric hyperintensity rings on T2-weighted MRI images 7, 8, 9.

    The patchy distribution of the lesions and the concentric demyelination would suggest a diagnosis of Baló type of multiple sclerosis. In cases of toxic leukoencephalopathy that have been reported, many of the cases have a diffuse involvement of the white matter which follows the shape of the centrum ovale. The patchy of the lesions in this case is therefore more compatible with multiple sclerosis. However, the frontal lobe is more affected than the occipital lobe in Baló type of multiple sclerosis. In addition, the lack of concentric rings in T2-weighted images argues against Baló type of multiple sclerosis. The concentric demyelination also suggests Baló type of multiple sclerosis. However, the concentric demyelination is seen only in small areas of the biopsy material. In addition, the amount of infiltrating macrophages are less that what we would expect from a demyelinating disease.  Demyelinating changes have also been described in leukoencephalopathy associated with heroin abuse, particularly inhalation. The presence of significant axonal destruction in our case as featured by axonal spheroids is not a classic feature of multiple sclerosis. Finally, the patient did not response to steroid treatment. Taking everything into consideration, this case is best interpreted as a vacuolar leukoencephalopahty associated with cocaine abuse.

Prognosis

    Substance abuse induce leukoencephalopathy has a wide clinical spectrum. Without accurate diagnosis and prompt management, the outcome of most of patients is demise, there is rapid progression to death, but complete recovery may occur.

Reference: 

  1. Wolters EC, van Wijngaarden GK, Stam FC, Rengelink H, Lousberg RJ, Schipper ME, Verbeeten B. Leucoencephalopathy after inhaling "heroin" pyrolysate. Lancet. 1982 Dec 4;2(8310):1233-7.

  2. Ryan A, Molloy FM, Farrell MA, Hutchinson M. Fatal toxic leukoencephalopathy: clinical, radiological, and necropsy findings in two patients. J. Neurol. Neurosurg. Psychiatry. 2005;76;1014-1016

  3. Maschke M, Fehlings T, Kastrup O, Wilhelm HW, Leonhardt G. Toxic leukoencephalopathy after intravenous consumption of heroin and cocaine with unexpected clinical recovery. J Neurol. 1999; 246(9):850-1

  4. Keogh CF, Andrews GT, Spacey SD, Forkheim KE, Graeb DA. Neuroimaging features of heroin inhalation toxicity: "chasing the dragon". AJR Am J Roentgenol. 2003;180(3):847-50.

  5. Weber W, Henkes H, Moller P, Bade K, Kuhne D. Toxic spongiform leucoencephalopathy after inhaling heroin vapour. Eur Radiol. 1998;8(5):749-55.

  6. Schiffer D, Brignolio F, Giordana MT, Mongini T, Migheli A, Palmucci L. Spongiform encephalopathy in addicts inhaling pre-heated heroin. Clin Neuropathol. 1985 Jul-Aug;4(4):174-80.

  7. Revel MP, Valiente E, Gray F, Beges C, Degos JD, Brugieres P, Gaston A. Concentric MR patterns in multiple sclerosis. Report of two cases. J Neuroradiol. 1993; 20:252-7.

  8. Kastrup O, Stude P, Limmroth V.  Balo's concentric sclerosis. Evolution of active demyelination demonstrated by serial contrast-enhanced MRI. J Neurol. 2002; 249:811-4.

  9. Nusbaum AO, Fung KM, Atlas SW. White matter diseases and inherited metabolic disorders. In Magnetic Resonance Imaging of the Brain and Spine, Atlas SW (edt.). Lippincott Williams and Wilkins, 2002. Page 457-564.

.