| A 63 year-old Woman with
Diffuse Abdominal Pain, sharp Left Upper Back Pain and a Solid Mass in
Kidney. March, 2006, Case 603-1. Home Page |
Raina Patel, M.D., Xiaohe Yang, M.D., and Jiang Qian, M.D., Ph.D., Last Updated January 31,2006
Department of Pathology, Albany Medical College, Albany, NY.
Clinical information: The patient is a 63-year-old woman who presented to the emergency department with a 3 month history of diffuse abdominal pain and a 2 week history of sharp left upper back pain with radiation. She denied all other constitutional symptoms. Her past medical history was significant for hypertension, obesity, cholecystectomy, and ventral hernia repair. She stated a 15 year history of tobacco use, however, she reported quitting 30 years ago. Physical examination and laboratory studies at admission were unremarkable. A CT scan of her abdomen and pelvis revealed a large, solid mass in the mid/lower pole of her left kidney. She subsequently underwent an uncomplicated laparoscopic left total nephrectomy. Representative images are presented as follows:
![]() |
![]() |
![]() |
![]() |
![]() |
![]() |
![]() |
| A. | B. | C. | D. | E. |
F. AE1/AE3 |
G. CK7 |
![]() |
![]() |
![]() |
![]() |
![]() |
![]() |
![]() |
|
H. Cam5.2 |
I. EMA |
J. Synaptophysin |
K. Synpatophysin |
L. CD10 |
M. CD10 |
N. Ki67 |
Pathology of the case:
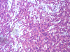
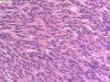
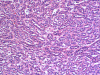
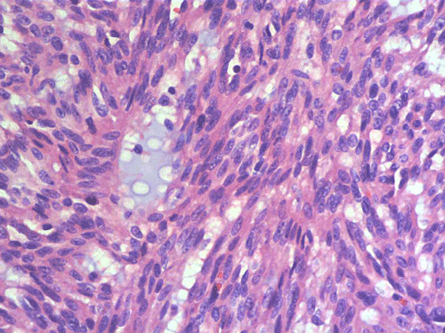
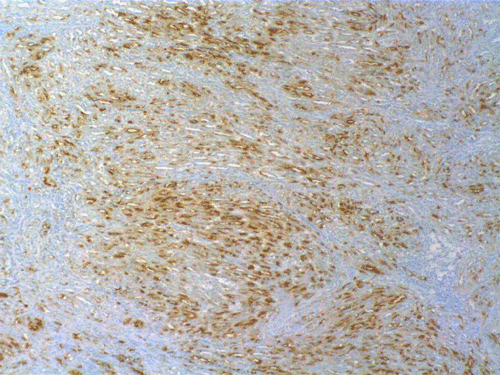
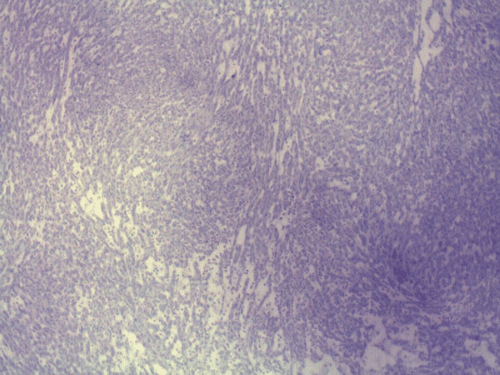
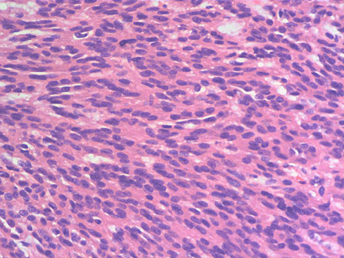
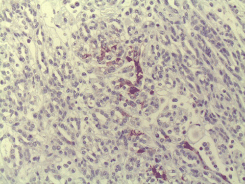
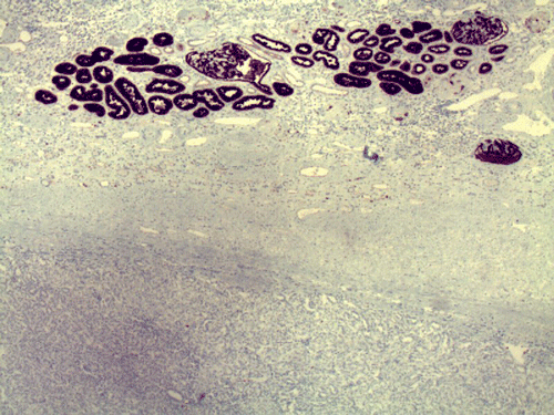
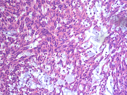
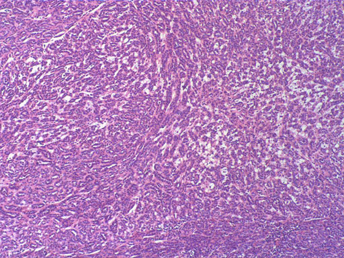
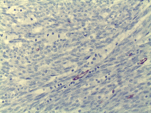
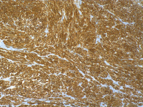
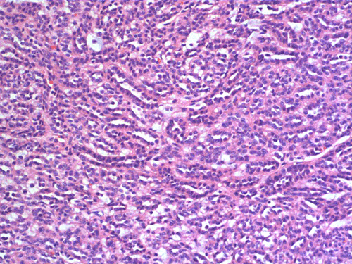
Two major patterns are revealed. In the first pattern, the tumor cells grow in a densely packed tubular pattern with mucinous content (Panel A and B). In some other areas, the tubular pattern is replaced by interlacing fascicles of spindle cells separated by mucinous pools (Panel C and D). In some areas, the spindle cells are solidly packed (Panel E). In both areas, the nuclear are bland in appearance and without significant mitotic acivity. The tumor cells, both in the spindle cell area and tubular areas are strongly positive for cytokerain AE1/AE3, cytokeratin 7, Cam5.2, and epithelial membrane antigen (EMA) respectively (Panel F, G, H and I). The tumor cells are also negative for synaptophysin (Panel J and K) and CD10 (Panel L and M). The positive cells in Panel M are residual non-neoplastic renal tubules. The Ki67 labeling (Panel N) is low (about 1-2%).
| DIAGNOSIS: Mucinous tubular and spindle cell carcinoma. |
Discussion: General Information Pathology
General Information
Mucinous tubular and spindle cell carcinomas (MTSCC) are recently described low-grade renal tumors 1, 2, 3. The origin of these tumors is not well elucidated, although recent studies have suggested the collecting duct or distal convoluted tubule as possible sources 3. In 2004, WHO classification recognized this tumor as a distinct entity 4. MTSCC has been reported in a wide spectrum of ages from 17-82 years and has a slight predilection for females. Clinically, these tumors are usually incidental findings, although some may induce symptoms such as flank pain and hematuria. The prognosis in patients with MTSCC tumors is generally favorable with extremely rare recurrences and only two reported metastatic cases.
Grossly, MTSCC tumors are well circumscribed, predominantly solid, and are generally unencapsulated. The cut surface is usually tan-gray and may contain small foci of hemorrhage.
These tumors have very characteristic histologic patterns comprised of cuboidal and spindle cells. The cuboidal cells tend to form tubular growth patterns, although trabercular and solid patterns can be identified. Sheets of spindle cells often intersperse between interconnecting tubules, leading to a biphasic appearance. The cells are characterized by eosinophilic cytoplasm, small to medium sized nuclei with little to no atypia, and occasional prominent nucleoli. The surrounding stroma is predominantly myxomatous with a bubbly quality and stains consistently with alcian blue. Studies have shown that a wide majority of MTSCC tumors are positive for epithelial membrane antigen (EMA), AE1/AE3, and cytokeratin 7. In contrast to the classic type of renal cell carcinoma, only about 15% of these tumors are positive for CD10 5. Expression of neuroendocrine markers has also been demonstrated in some tumors 6, 7. Other immunohistochemical markers may be variably positive, including E-cadherin, vimentin, and Ulex Europeus agglutinin-1 (UEA-1). These tumors have a low MIB-1 labeling index. In general, there is not a single marker that could confidently separate this tumor from other renal tumor. The final diagnosis must rest on considerations of morphological and immunohistochemical evidence.
Chromosomal alterations have been documented in some cases, although not consistently. However, the reported chromosomal abnormalities do not include trisomy 7, trisomy 17, or loss of 3p, which are seen in sarcomatoid RCC and conventional RCC, respectively. As the histopathologic differential diagnosis includes these two entities, cytogenetics can be helpful in exclusion. Studies from two different groups did not show concurred demonstration on genetic abnormalities that can be used for diagnostic purposes 8, 9. Other differential diagnoses include papillary RCC (solid variant), metanephric adenoma, low grade collecting duct carcinoma, as well as the above mentioned entities. While most MTSCC are negative for CD10, about 85% of papillary RCC are positive for CD10. However, papillary RCCs are far more common then MTSCC and the chance to encounter one with negative CD10 immunoreactivity is not low. As these tumors behave more aggressively then MTSCC, separation of the two entities cannot be further emphasized 5.
Reference:
Ferlicot S, Allory Y, Comperat E, Mege-Lechevalier F, Dimet S, Sibony M, Couturier J, Vieillefond A. Mucinous Tubular and Spindle Cell Carcinoma: A Report of 15 Cases and Review of Literature. Virchos Arch. 2005 447: 978-83
Kuroda N, Toi M, Hiroi M, Shuin T, Enzan H. Review of Mucinous Tubular and Spindle Cell Carcinoma of the kidney with a focus on clinical and pathobiological aspects. Histol Histopathology. 2005 20: 221-224.
Parwani AV, Husain AN, Epstein JI, Beckwith JB, Argani P. Low Grade Myxoid Renal Epithelial Neoplasms with Distal Nephron Differentiation. Human Pathology. 2001.32: 506-512.
Srigley JR. Mucinous and spindle cell carcinoma in World Health Organization Classification of Tumours: Tumours of the Urinary System and Male Genital Organs, edited by Eble JN, Sauter G, Epstein JI, Sesterhenn, IARC 2004 page 40.
Paner GP, Srigley JR, Radhakrishnan A, Cohen C, Skinnider BF, Tickoo SK, Young AN, Amin MB. Immunohistochemical Analysis of Mucinous Tubular and Spindle Cell Carcinoma and Papillary Renal Cell Carcinoma of the Kidney: Significant Immunophenotypic Overlap Warrants Diagnostic Caution. Am J Surg Pathol. 2006 30:13-19.
Kuroda N, Hes O, Miyazaki E, Shuin T, Enzan H. Frequent expression of neuroendocrine markers in mucinous tubular and spindle cell carcinoma of the kidney. Histol Histopathol. 200621:7-10.
Kuroda N, Nakamura S, Miyazaki E, Hayashi Y, Taguchi T, Hiroi M, Yamasaki Y, Shuin T, Enzan H. Low-grade tubular-mucinous renal neoplasm with neuroendocrine differentiation: a histological, immunohistochemical and ultrastructural study. Pathol Int. 2004 54:201-7.
Rakozy C, Schmahl GE, Bogner S, Storkel S. Low-grade tubular-mucinous renal neoplasms: morphologic, immunohistochemical, and genetic features. Mod Pathol. 2002 15:1162-71.
Brandal P, Lie AK, Bassarova A, Svindland A, Risberg B, Danielsen H, Heim S. Genomic aberrations in mucinous tubular and spindle cell renal cell carcinomas. Mod Pathol. 2006 19:186-94.