A 5 year-old Boy with Headache, Vomiting, Ataxia and a Pineal Mass.
April, 2006, Case 604-1. Home Page

Jonathan Newberry B.A. (MS-IV) 1, Arie Perry, M.D. 3, Kar-Ming Fung, M.D., Ph.D. 2 Last updated May 30, 2006.

1 Fourth year medical student, Class of 2006, College of Medicine, University of Oklahoma, 2 Department of Pathology University of Oklahoma Health Sciences Center, Oklahoma City, Oklahoma, and 3 Department of Pathology, Washington University, St. Louis, Missouri

Clinical information:

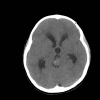
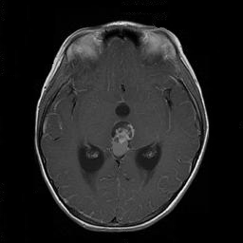
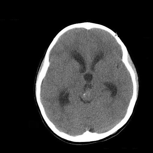
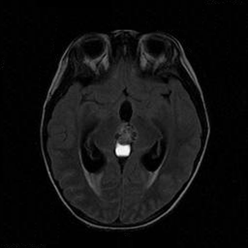
The patient was a 5 year-old Vietnamese boy who presented with the chief complaints of headaches, vomiting, and ataxia.  CT scan revealed a pineal tumor with small calcifications and hydrocephalus (Panel 1).  On MRI, the mass is a well demarcated midline mass involving the pineal area. There is also heterogeneous enhancement and cystic component (Panel 2 and 3).

    Laboratory studies reveal elevated alpha-fetoprotein  in both the cerebral spinal fluid (CSF). A clinical diagnosis of primary germ cell tumor was made. The CSF cytology was negative for neoplastic cells. A ventriculoperitoneal shunt was placed to relieve the hydrocephalus and chemotherapy was started. The size of the tumor increased after the chemotherapy and the alpha-fetoprotein level in serum remained elevated. Surgery was performed and yielded multiple fragments of tan, soft tissue, 5.0 x 2.0 x 1.0 cm in aggregate, for examination. On gross examination, neither calcified tissue nor hair were found. The followings are representative histologic images of the excised tumor.

1.
CT
2.
T1+Contrast
3.
FLAIR
A. B C.
D. E. F. G. H. I.
       
J. K.        

Pathology of the case:

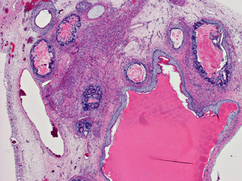
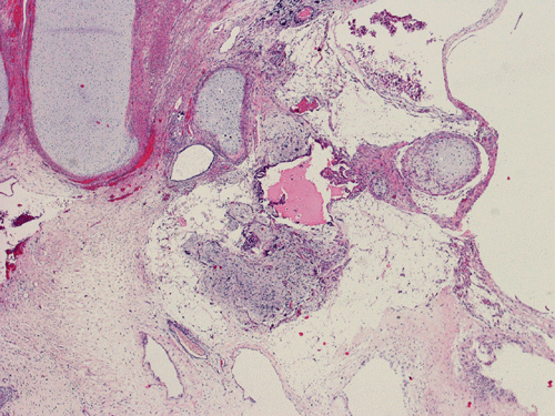
    The excised specimen consists of multiple fragments of tan, soft tissue, 5.0 x 2.0 x 1.0 cm in aggregate, for examination. On gross examination, neither calcified tissue nor hair were found. An intraoperative frozen section and cytologic preparation was performed which revealed mature intestinal element, skin and small amount of hair. No germinoma element, yolk sac tumor (endodermal sinus tumor) element, embryonal cell carcinoma, or immature teratoma component was present in multiple specimens submitted for frozen section. Although a minute amount of hair was revealed on the frozen section, gross examination of the submitted tissue does not identify any hair or calcified tissue. An intraoperative diagnosis of teratoma with only mature element present was made.

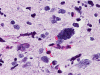
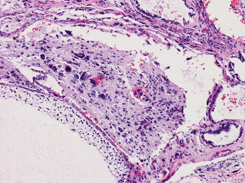
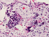
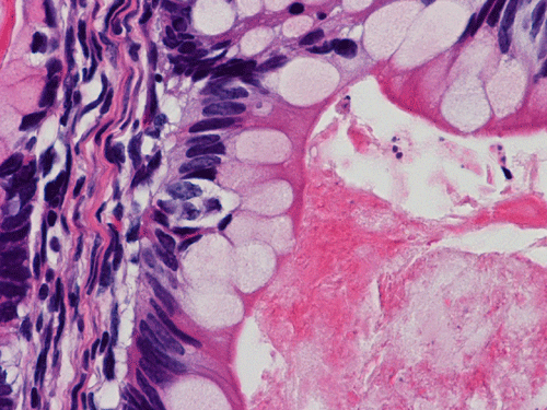
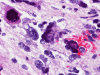
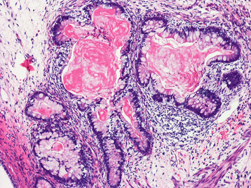
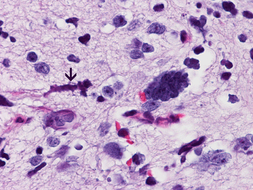
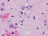
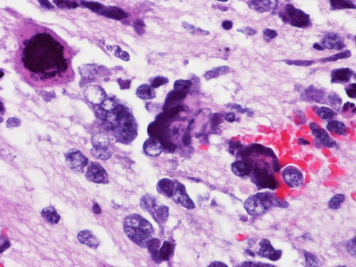
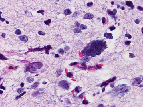
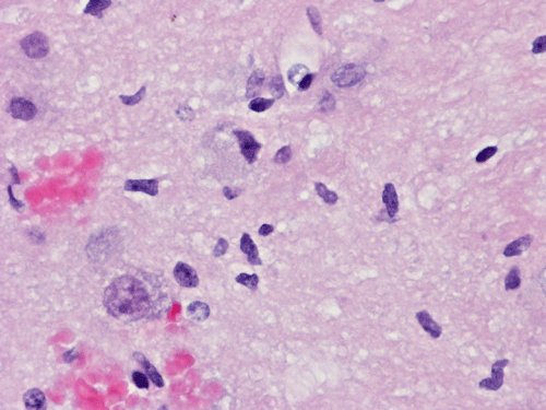
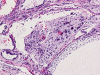
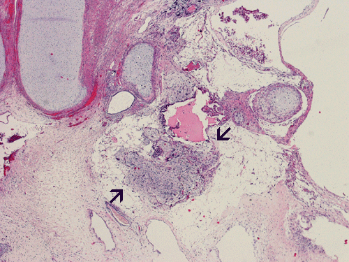
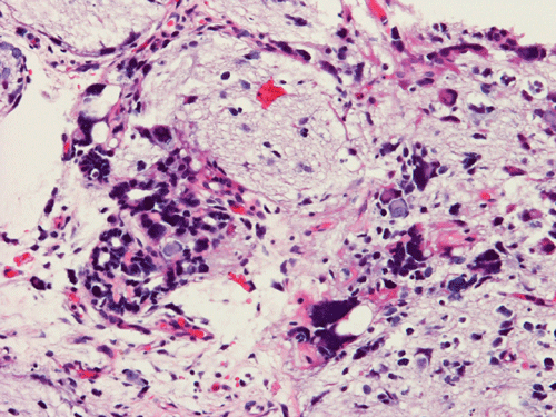
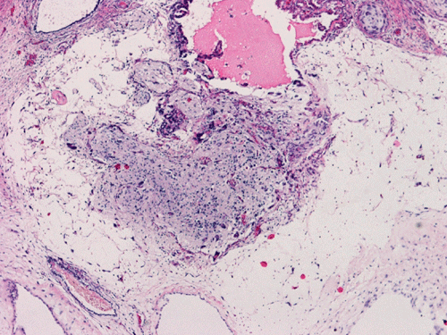
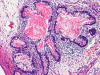
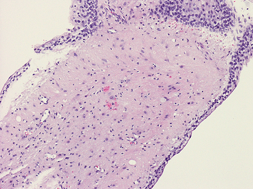
    The entire specimen was submitted for histologic examination. The bulk (over 99%) of the tumor was composed predominantly of mature intestinal elements (Panel A, B, and C) and skin, respiratory type mucosa, cartilage, and small amount of mature neural parenchymal tissue of the central nervous system (Panel D and E). Neither immature nor malignant elements are present. Small microscopic foci of well demarcated, neural parenchymal tissue with increased atypia (arrow in panel F) are noted. On higher magnification (Panel G and H), these areas contain large, bizarre appearing cells with dark chromatin but no prominent nucleoli. There are also scant multinucleated cells and mineralized substances (arrow in Panel H). Another example of these foci is illustrated in Panel I, J, and K. These atypical foci comprised less than 1% of the volume of the tumor. They are all microscopic in size and show no evidence of expansion or invasion into the surrounding tissue.

Comment:

    The foci of neural parenchymal tissue with atypia raised the concern for malignancy. The atypical foci are all microscopic in size and well demarcated. They do not invade into the adjacent tissue. Although large atypical nuclei are noted, there is no prominent nucleoli. These changes are more consistent with ancient changes (degenerative atypia) or resulted from the chemotherapy prior to the resection. Identification of mineralized tissue is an additional features to confirm the benign biological potential of these foci. These foci are atypical but not embryonal and must be distinguished from immature element. With this token, the tumor is a mature teratoma but not an immature teratoma. Please see the discussion below for growing teratoma syndrome. This case is also unusual for an elevated alpha fetal-protein in serum with a lack of yolk sac tumor component in the tumor. Please see the discussion below for discussion.

DIAGNOSIS: Primary mature teratoma of the pineal gland with growing teratoma syndrome and chemotherapy induced atypia.

Discussion:     General Information    Growing Teratoma Syndrome    Intracranial Germ-Cell Tumors

General Information:

Teratomas are neoplasms that display histologic features of more than one of the embryonal germ cell layers- the ectoderm, the endoderm, and the mesoderm, usually all three are present. They are typically composed of a bizarre combination of a variety of tissues including cartilage, bone, teeth, retina, hair, teeth, fat, skin, muscle, tissue of the central nervous system, endocrine tissue and others. This bizarre arrangement lend credence to the name teratoma  – derived from the Greek word teraton, which means “monster.” In uncommon cases, one type of tissue dominates the histopathologic picture and these tumors are known as monodermal teratoma with struma ovali as the classic example.

Teratomas are most commonly found in the gonads- the ovary and testis. Extragonadal teratomas are predominantly found in three midline sites- the mediastinum, and the diencephalopineal region, and the saccrococcygeal region. Most teratomas, regardless of their location, tend to occur in young patients or children. Congenital tumors may occur.

Mature teratomas are composed exclusively of mature tissue. Immature teratomas refer to teratomas that contain immature tissue which is usually admixed with mature tissue. Immature neural parenchymal of the central nervous system is the most common immature component. Malignant teratomas refer to teratomas that contain a malignant neoplastic component such as malignant melanoma, adenocarcinoma, squamous carcinoma, arising in a mature teratoma. It is important to know that mature teratoma does not mean a lack of metastaic potential. While mature teratomas of the ovary are common and typically do not metastasize, mature teratomas arising in the testicles of an adult often metastasize but they are much less frequently seen than mature teratomas of the ovary. In contrast, mature teratomas arising from the testicles of children do not metastasize.

Growing Teratoma Syndrome

The history and outcome of this case are representative of an uncommon clinical pattern called growing teratoma syndrome (GTS).  Precise criteria for this syndrome vary slightly among case reports, but GTS fundamentally refers to patients with enlarging masses of mature teratoma during or after chemotherapy for malignant non-germinomatous germ-cell tumors.  Despite an increase in tumor size, there is concurrent normalization of tumor markers and only mature (benign) teratoma on histopathologic diagnosis 1,2.  GTS is probably a synonym for "chemotherapeutic retroconversion” which refers to conversion from a metastatic immature teratoma to a mature tumor by chemotherapy 3.

GTS has been previously reported in gonadal and extragonadal locations, including intracranial sites 4, 5, 6, 7, 8.  Although rare in intracranial teratomas, GTS has been described in the pineal gland 8.

There are various theories regarding the pathogenesis of GTS. Most propose that increased tumor growth occurs partly as a result of differentiation in the immature tumor elements.  It is thought that chemotherapy facilitates the transformation of malignant cells into mature teratoma.  On the other hand, it is possible that eradication of undifferentiated tumor leaves predominantly mature teratoma cells, which are not only resistant to chemotherapy but are now capable of increased growth since they are no longer competing with the malignant elements.

Whatever the exact cause of GTS, recognition of this unusual entity is important for several reasons.  Identifying subsequent growth of a pineal tumor following chemotherapy may indicate mature teratoma, which is best treated surgically. Mature teratoma is traditionally resistant to chemotherapy and radiotherapy, so attempts to eradicate the neoplasm in the way will result in a poor clinical outcome.  Also, familiarity with GTS is essential to prevent confusion with advancing malignancy. GTS is an unusual circumstance where interval enlargement of a mass during or following treatment is not necessarily indicative of malignancy recurrence 9, 10

Intracranial Germ-Cell Tumors

Primary intracranial germ-cell tumors are rare and usually occur most commonly in the pineal and suprasellar regions.  They account for 0.5-1.0% of intracranial neoplasms in Western countries and up to 5% in Japan. They are generally divided into two categories: germinomatous and non-germinomatous germ-cell tumors. Germinomas are far more common. Non-germinomatous germ-cell tumors include yolk sac tumor (endodermal sinus tumor), choriocarcinoma, embryonal carcinoma and teratoma. Primary intracranial teratoma is relatively rare.

The presence of germ-cell tumors and their response to therapy is assessed by serum and CSF levels of human chorionic gonadotrophin (HCG) and alpha-fetoprotein (AFP). Either or both of these are usually elevated in patients with non-germinomatous germ-cell tumors. Most of them are associated with yolk sac tumor, embryonal carcinoma, and choriocarcinoma. AFP in serum is typically used as a marker to evaluate the effect of chemotherapy as the level would drop with successful treatment. With the same token, they are also used as a tool for detection of early recurrence.

While AFP is typically produced by yolk sac tumor component, it has also been demonstrated in mature teratoma components non-yolk sac tumor component including teratoma component  11, 12, 13, 14. Expression of AFP has been demonstrated in the columnar epithelial components. Teratomas, as in our case, are not typically associated with elevated AFP although two rare cases have been documented previously 15, 16. The elevated AFP probably originates from the columnar epithelial components that express AFP.

Reference:

  1. Andre F, Fizazi K, Culine S, Droz J, Taupin P, Lhomme C, Terrier-Lacombe M, Theodore C. The growing teratoma syndrome: results of therapy and long-term follow-up of 33 patients. Eur J Cancer. 2000 36:1389-94.
  2. Maroto P, Tabernero JM, Villavicencio H, Mesia R, Marcuello E, Sole-Balcells FJ, Sola C, Mora J, Algaba F, Perez C, Leon X, Lopez Lopez JJ. Growing teratoma syndrome: experience of a single institution. Eur Urol. 1997 32:305-9.
  3. Amsalem H, Nadjari M, Prus D, Hiller N, Benshushan A. Growing teratoma syndrome vs chemotherapeutic retroconversion: case report and review of the literature. Gynecol Oncol. 2004 92:357-60.

  4. Tangjitgamol S, Manusirivithaya S, Leelahakorn S, Thawaramara T, Suekwatana P, Sheanakul C. The growing teratoma syndrome: a case report and a review of the literature. Int J Gynecol Cancer. 2006 16 Suppl 1:384-90.

  5. Tejura H, O'Leary A. Growing teratoma syndrome after chemotherapy for germ cell tumour of the ovary. J Obstet Gynaecol. 2005 25:296-7.

  6. Bi WL, Bannykh SI, Baehring J. The growing teratoma syndrome after subtotal resection of an intracranial nongerminomatous germ cell tumor in an adult: case report. Neurosurgery. 2005 56:188.

  7. Yagi K, Kageji T, Nagahiro S, Horiguchi H. Growing teratoma syndrome in a patient with a non-germinomatous germ cell tumor in the neurohypophysis--case report. Neurol Med Chir (Tokyo). 2004 44:33-7.

  8. O'Callaghan AM, Katapodis O, Ellison DW, Theaker JM, Mead GM. The growing teratoma syndrome in a nongerminomatous germ cell tumor of the pineal gland: a case report and review. Cancer. 1997 80:942-7.

  9. Sawamura Y, Kato T, Ikeda J, Murata J, Tada M, Shirato H. Teratomas of the central nervous system: treatment consideration based on 34 cases. J. Neurosurg. 1998 89(5):728-37.

  10. Friedman JA, Lynch JJ, Buckner JC, Scheithauer BW, Raffel C. Management of malignant pineal germ cell tumors with residual mature teratoma.  Neurosurg 48:518-522, 2001.  

  11. Burrus DR, Okagaki T, Twiggs LB, Brooker DC. Immunocytochemical evidence of heterogeneous origin of alpha-fetoprotein in immature teratoma of the ovary. Gynecol Oncol. 1985 21:73-9.

  12. Jacobsen GK. Alpha-fetoprotein (AFP) and human chorionic gonadotropin (HCG) in testicular germ cell tumours. A comparison of histologic and serologic occurrence of tumour markers. Acta Pathol Microbiol Immunol Scand [A]. 1983 91:183-90.

  13. Jacobsen GK, Jacobsen M. Alpha-fetoprotein (AFP) and human chorionic gonadotropin (HCG) in testicular germ cell tumours. A prospective immunohistochemical study. Acta Pathol Microbiol Immunol Scand [A]. 1983 91:165-76.

  14. Wagener C, Menzel B, Breuer H, Weissbach L, Tschubel K, Henkel K, Gedigk P. Immunohistochemical localisation of alpha-fetoprotein (AFP) in germ cell tumours: evidence for AFP production by tissues different from endodermal sinus tumour. Oncology. 1981 38:236-9.

  15. Cheng CM, Chiang YH, Nieh S.  Pineal region teratoma with high serum and CSF alpha-fetoprotein levels. J Clin Neurosci. 2006 13:257-9.

  16. Yamashita N, Kanai H, Kamiya K, Yamada K, Togari H, Nakamura T. Immature teratoma producing alpha-fetoprotein without components of yolk sac tumor in the pineal region. Childs Nerv Syst. 1997 13:225-8.