A 75 year-old Man with Progressive Weakness and Multiple Lesions in the Brain.
May, 2006, Case 605-1. Home Page

Brandon Guthery, M.D., Kar-Ming Fung, M.D., Ph.D. Last update: May 31, 2006.

Department of Pathology, University of Oklahoma Health Sciences Center, Oklahoma City, Oklahoma

Clinical information The patient was a 75 year-old, right handed man who developed some progressive weakness over the last few month. There was also some right facial weakness. His weakness progressed to the point the he had multiple falling. The patient also complained of lost of balance, generalized weakness, and lost of coordination.. There was no complain of headache. There was also a history of colon cancer with surgery 6 years before the current presentation. He also had remote tonsillectomy and adenoidectomy.

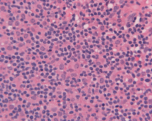
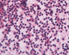
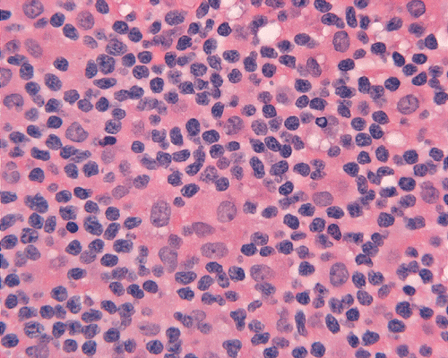
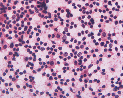
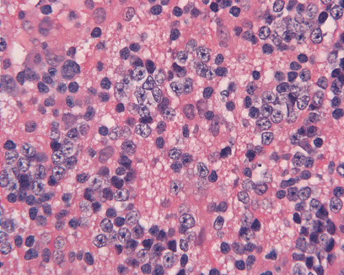
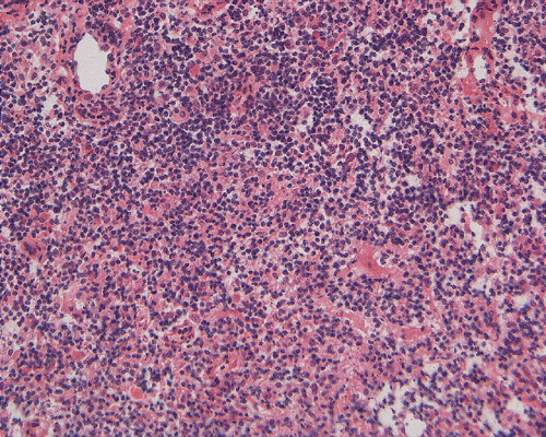
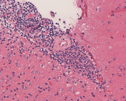
On physical examination, the patient was alert to time, place, person and current events. The speech and compresension were fluent and intact. No cranial nerve abnormalities were found. Systemic workup did not reveal any other mass or space occupying lesion. On MRI, there were several intra-axial, diffusely and irregularly enhancing masses in the right cerebral hemisphere, right cerebellar peduncle, and the pons. A biopsy was performed.  Representative photomicrographs are show in the followings:

 
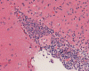
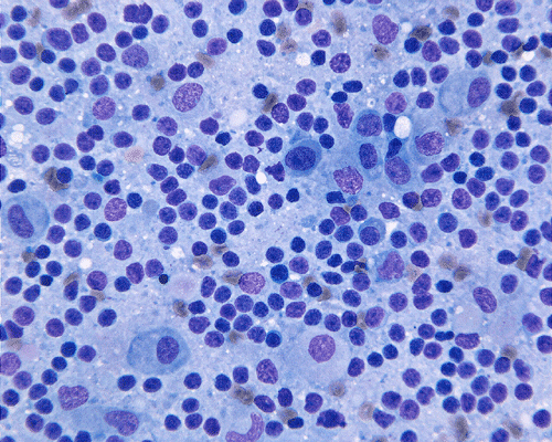
A.
Squash
DiffQuick
B.
Squash
DiffQuick
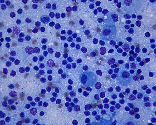
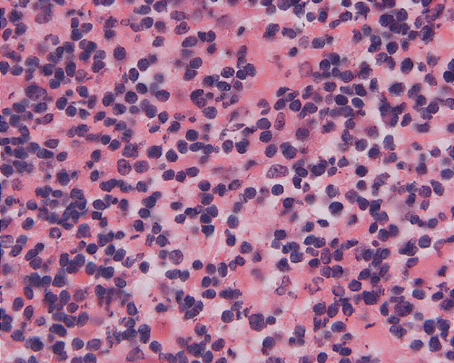
C.
Squash
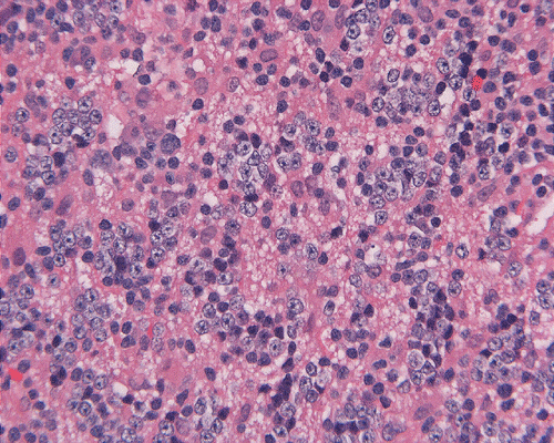
D.
Frozen
E.
Frozen
F.
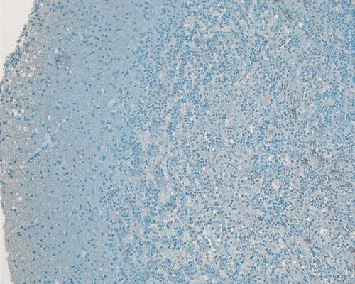
G. H. I. J. K. L.
Reticuin
M.
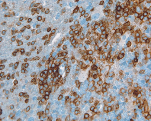
LCA
N.
LCA
O.
CD3
P.
CD3
Q.
CD20
R.
CD20

Pathology of the case:

Comment: The initial clinical impression was metastases because of the history of colon cancer and multiple, irregular, enhancing lesions. The morphology and immunohistochemical profile were suggestive of a T-cell lymphoma and the diagnosis was confirmed by molecular pathology studies.

DIAGNOSIS: Primary T-cell lymphoma of the brain.

Discussion:     Introduction    Etiology    Clinical Manifestation    Neuroimaging    Pathology    Molecular Pathology

Introduction

    Primary central nervous system lymphoma (PCNSL) is a rare tumor. Before the advent of modern diagnostic techniques including immunohistochemistry and molecular pathology techniques, its nature was not exactly clear. In fact, they were first described by Percival Bailey as “perithelial sarcoma” because of its strong tendency to develop perivascular infiltration 1. By definition, PCNSL must originate in the central nervous system but not resulted from secondary involvement by a lymphoma in other parts of the body.

    In immunocompetent individuals, PCL is an uncommon tumor that occurs in eldery age group. They account for approximately 5% of all primary brain tumors and 1-2% of non-Hodgkin’s lymphoma (NHL) 2 , 3 4.  The large majority of PCNSL are of B-cell origin; T-cell lymphomas are seen rarely and have a reported 3.6- 8.5% rate of incidence in recent large series studying PCNSL 5, 6. In the largest series of PCNSL cases diagnosed in Western countries, T-cell origin has been reported in 8 (2%) of 370 cases 7.  The male to female ratio is 1.5-2:1. Primary Hodgkin’s lymphoma is almost unknown in the central nervous system. Studies have shown that the prognosis for patients with T-Cell PCNSL is similar to that for B-cell PCNSL, with cytologic type (small vs. large) having no effect on survival 10.

    In immunocompromised individuals, it can affect any age group and the time of onset is related to both the time of onset and type of immunosuppression or immunodeficiency. In general, there is a peak in patients under 10 years of age which are probably resulted from congenital immunodeficiency. Another peak occurs at around the 4th decade which is probably related to HIV infection, immunosuppression due to solid organ transplantation, and other causes of immunosuppression. Theoverall survival for treated patients is much better for patients without AIDS than for those with AIDS. [See related case1] [See related case 2] [See related case 3]

Etiology

    Multiple theories exist on the origin of PCNSL. One proposed theory is based upon the immunologically privileged environment in the brain. This theory suggests that the malignancy develops outside the CNS originally and the immune system eliminates any peripheral involvement. An argument against the immunoprivileged theory is that patients with PCNSL do not develop lymphoma in other immunologically privileged sites, such as the testes.

    Another theory suggests a central inflammatory process results in the trafficking of lymphocytes into the brain, where they undergo neoplastic transformation. The inflammatory theory has two arguments against it. First, T cells, not B cells, normally traffic through the CNS, yet the vast majority of PCNSLs are of B-cell lineage. Second, there is no association between cerebral inflammatory diseases such as multiple sclerosis, encephalitis, or bacterial infections, and the development of PCNSL.

    In immunocompromised individuals, Epstein-Barr viruse is often the etiologic agent. There is a predeliction for the production of B-cell lymphoproliferative diseases in patients receiving cyclosporine. In patients with solid organ transplantation, many of the lymphoma evolves as a postransplantation lymphoproliferative disorder (PTLD) which is a polyclonal or oligoclonal proliferation. The resulting monoclonal proliferation is typically in the form of a high-grade B-cell lymphoma.

Clinical Manifestation

    Neurological symptoms present at diagnosis depend on the location of the lesion. Similar to many other space occupying lesions, the symptoms are quite non-specific. Focal motor defects are the most common symptom. Changes in personality, cognitive difficulties, and headache are common. Seizures can be seen as well. The average time from onset of symptoms to diagnosis is weeks to months, but it may be longer if personality change is the only presenting symptom 8.

Neuroimaging

    The MRI findings are quite different in PCNSL occurring with and without association with AIDS, PCNSL that occurs in AIDS patients are often multifocal and centrally necrotic and appear as ring-enhancing lesions. The later features often lead to the clinical impression of a glioblastoma or metastases.

    In PCNSL that are not occurring in AIDS setting, they are also common to be multiple. In particular, they tend to present as multiple, symmetrical, bilateral and subependymal foci. In contrast to those occurring in AIDS, these tumor are typically non-necrotic and without ring enhancement. In fact, enhancement is rather homogeneous.

Pathology

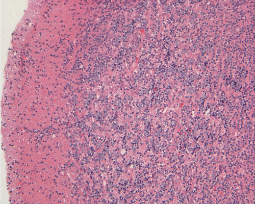
    Primary CNS lymphomas (PCNSL) can be firm, friable, granular, centrally necrotic, focally hemorrhagic, grey-tan, yellow, or virtually indistinguishable from the adjacent neuropil. Some tumors are well-delineated, like a metastasis; while some present as diffusely infiltrating forms without evidence of mass lesions. Multiple lesions are seen in about one-third of the patients. Typically, they are deep-seated in the cerebral hemispheres and are adjacent to the ventricules. Less commonly PCNSL are superficially located and one study showed an increased incidence of this with T-cell PCNSL 9. A small proportion of them are limited only to the dura.

    Microscopically, the morphology is similar to the corresponding type of lymphoma that occurs in other parts of the body. The neoplastic cells demonstrate a classic perivascular infiltration that dissects the perivascular reticulin network. Geographic necrosis may be seen when tumors become confluent, with perivascular islands of viable tumor cells surrounded by large regions of coagulative necrosis. As most of the PCNSL are of diffuse large B-cell type, the neoplastic cells are typically highly pleomorphic and large. Low-grade lymphomas are relatively uncommon.

Their immunohistochemical profiles are similar to lymphomas that occur outside the central nervous system. Intraoperative recognition of an atypical lymphoproiferative lesion is important as fresh tissue can be sent for flow cytometry which is often an important adjunct for correct diagnosis.

Molecular Diagnosis and Cytogenetics

    While B-cell lymphomas can often be diagnosed by immunohistochemisty and flow cytometry particularly when light chain restriction is recognized, the confirmation of a T-cell lymphoma is heavily relied on molecular pathology. particular, rearrangement of T-cell receptors in a clonal pattern is a strong evidence for diagnosis. This is particularly true for the distinction of T-cell lymphoma from reactive inflammation which contains a substantial amount of T-cells. Molecular pathology is also useful in the differential diagnosis of T-cell lymphoma from T-cell rich B-cell lymphoma.

Reference

  1. Jellinger K, Seitelberger F .  Malignant lymphomas of the nervous system. International Symposium Wien, 1974 Acta Neuropathol Suppl 1975 6: 1-301.

  2. Behin A, Hoang-Xuan K, Carpentier AF, Delattre JY.  Primary brain tumours in adults. Lancet. 2003 361:323-31.

  3. DeAngelis LM, Currie VE, Kim JH, Krol G, O'Hehir MA, Farag FM, Young CW, Posner JB. The combined use of radiation therapy and lonidamine in the treatment of brain metastases. J Neurooncol. 1989 7:241-7.

  4. Miller DC, Hochberg FH, Harris NL, Gruber ML, Louis DN, Cohen H. Pathology with clinical correlations of primary central nervous system non-Hodgkin's lymphoma. The Massachusetts General Hospital experience 1958-1989. Cancer. 1994 74:1383-97.

  5. Bataille B, Delwail V, Menet E, Vandermarcq P, Ingrand P, Wager M, Guy G, Lapierre F. Primary intracerebral malignant lymphoma: report of 248 cases. J Neurosurg. 2000 92:261-6.

  6. Hayabuchi N, Shibamoto Y, Onizuka Y. Primary central nervous system lymphoma in Japan: a nationwide survey. Int J Radiat Oncol Biol Phys. 1999 44:265-72.

  7. Ferreri AJ, Reni M, Pasini F, Calderoni A, Tirelli U, Pivnik A, Aondio GM, Ferrarese F, Gomez H, Ponzoni M, Borisch B, Berger F, Chassagne C, Iuzzolino P, Carbone A, Weis J, Pedrinis E, Motta T, Jouvet A, Barbui T, Cavalli F, Blay JY. A multicenter study of treatment of primary CNS lymphoma. Neurology 58:1513-1520, 2002.

  8. Herrlinger U, Schabet M, Bitzer M, Petersen D, Krauseneck P. Primary central nervous system lymphoma: from clinical presentation to diagnosis. J Neurooncol. 1999 43:219-26.

  9. Choi JS, Nam DH, Ko YH, Seo JW, Choi YL, Suh YL, Ree HJ. Primary central nervous system lymphoma in Korea: comparison of B- and T-cell lymphomas. Am J Surg Pathol. 2003 27:919-28.

  10. Shenkier TN, Blay JY, O'Neill BP, Poortmans P, Thiel E, Jahnke K, Abrey LE, Neuwelt E, Tsang R, Batchelor T, Harris N, Ferreri AJ, Ponzoni M, O'Brien P, Rubenstein J, Connors JM.  Primary CNS lymphoma of T-cell origin: a descriptive analysis from the international primary CNS lymphoma collaborative group. J Clin Oncol. 2005 23:2233-9.