A 6 month-old Girl with a Mass in her Right Arm.
July, 2006, Case 607-1. Home Page

Zhongxin Yu, M.D., M.S., Cheng Z. Liu, M.D., Ph.D., Jian T. Yang, M.D., Ph.D. Last update August 31, 2006.

Department of Pathology, University of Oklahoma Health Sciences Center, Oklahoma City, OK

Clinical informationThe patient was a six month-old girl who had a mass in her right arm near the axilla on the undersurface of the arm. The mass appeared to be fixed to the dermis and was irregular. The mass was surgically excised and generated a piece of tan, soft tissue, 3.0 x 2.5 x 1.4 cm. The followings are representative images from the excised specimen:

   
A. B. C. D.    
   
G. H. I. J.    

Pathology of the case:

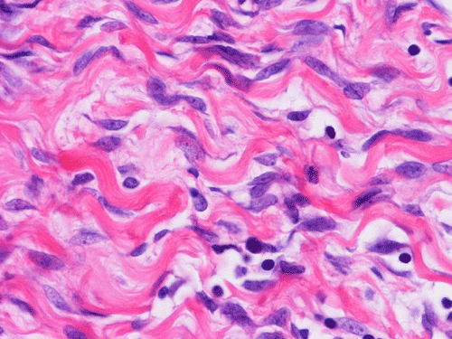
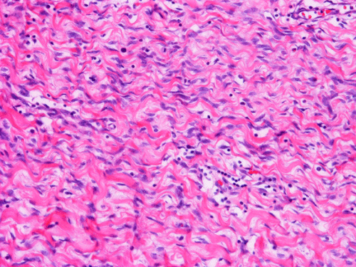
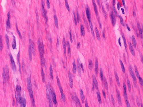
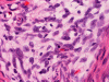
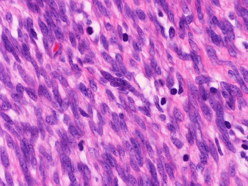
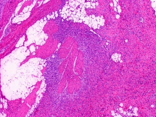
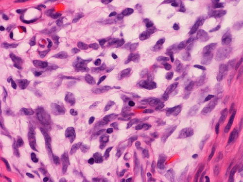
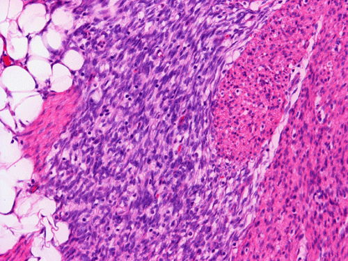
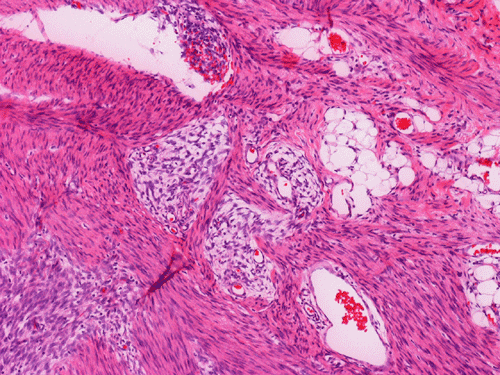
    The excised mass is composed of an intermingled arrangement of mature adipose tissue, densely packed primitive spindle cells with small amount of cytoplasm, and mature appearing spindle cells with substantial amount of cytoplasm that gives the appearance of smooth muscle (Panel  A). Abrupt transition between the three elements are common (Panel B). The densely packed, small primitive spindle cells have elongated, cigar-shaped nuclei with amphophilic cytoplasm. Pleomorphism and mitotic figures are not seen. A small number of lymphocytes are present among these cells (Panel C). In areas with appeance of smooth muscle, the cells have elongated, sometime wavy nuclei without significant pleomorphism or mitosis (Panel D). Areas with thick, wavy collagen fibers admixed with benign appearing spindle cells are also present (Panel E and F) and some of these areas are more loosely packed than the other areas which may mimic the appearance of a neurofibroma. In contrast to other areas, these collagenous areas merge imperceptibly with the more cellular areas. In some of the densely packed spindle cell areas, there are small packets of loosely packed cells that give a myxomatous morphology on high magnification (Panel G and H).

    On immunohistochemistry, the mature adipose cells are positive for S100 protein. The areas that morphologically suggestive of smooth muscle are positive for smooth muscle actin but the densely packed spindle cell areas are only faintly positive for smooth muscle actin. All components are negative for muscle specific actin and CD34 on immunohistochemistry.

DIAGNOSIS: Fibrous hamartoma of infancy.

Discussion:

General information

    Fibrous hamartoma of infancy (FHI) is a rare, benign, mesenchymal tumor of infants and children. Most of them occur during the first 2 years of life and occasionally at birth. The treatment of choice is local excision. It may recur if inadequately excised but will not metastasize and should therefore be treated conservatively.

    Reye 1 described the first 6 cases in 1956 and later Enzinger described another 30 cases in 1965 who also coined its current name 2. In general, males are predominantly affected and the tumor typically presents as a painless, firm subcutaneous nodule sometimes with rapid growth. The commonest site is axillae. Other common sites of involvement include the shoulder, upper arms, inguinal region, or proximal portion of an extremity 1, 2, 3, 4, 5, 6. Rarely, it occurs in the back, forearm, perianal area, scrotum, and spinal cord 7, 8, 9. Most tumors are solitary but patients with multiple have been described 10.

    The histogenesis of FHI is unclear. Dickey and Sotelo-Avila reviewed 197 cases described in the literature and found no lesion reported having familial or syndromic association, or occurring in combination with other hamartomas 11.  Lately, Lakeshminarayanan et al. reported a case of FHI with cytogenetic study which revealed a reciprocal translocation, t(2;3)(q31;q21), as the sole abnormality 12. More studies may be need in further clarifying the nature of this lesion.

Pathology    

    The features of FHI has been recently well reviewed by Groisman et al.13, and Fletcher et al.14, Grossly, FHIs are typically 1 to 8 cm in diameter but may reach10 cm. The tumor usually situates entirely in the lower dermis or subcutaneous fat and forms a poorly circumscribed roughly rounded or bosselated mass. Most tumors blend partly or completely with the surrounding subcutaneous fat, some may attach to the superficial fascia, or extend upward into the subepidermal zone. The cut surface of the mass consists of firm, glistening, gray-white tissue of fibrous appearance intermixed with irregular small islands of yellow fat. The gross appearance varies according to the relative proportions of adipose and fibrous tissue. In those tumors with predominant fatty tissue, the tumor may resemble a lipoma traversed by irregular, gray-white fibrous streaks and bands.

    Histologically, FHI has a triphasic organoid pattern with three distinct types of tissues: fibrous tissue; primitive mesenchyme appearing tissue; and mature adipose tissue. The fibrous tissue consists of well-differentiated spindle cells of fibroblastic/ myofibroblastic appearance admixed with a variable amount of collagen fibers. The dense fibrous tissue may form a fibrous core or at the center of the lesion. The primitive mesenchyme appearing tissue consists of sheets of undifferentiated spindle cells or stellate cells with an amphophilic and inconspicuous cytoplasm. Often these cells arrange in a concentric pattern and form whorls or characteristic ball-like structures in a vascular, mucoid matrix. Scattered lymphoid cells and extravasated erythrocytes are common findings in these areas.  The relative proportions of these three components vary in different cases greatly.

    Immunohistochemical findings include the demonstration of vimentin in both fibrous tissue and the primitive mesenchyme appearing areas. Actin and sometimes desmin are demonstrated in spindle cells in the fibrous component. The presence of actin suggests the existence of a myofibroblastic component, which has also been demonstrated by ultrastructural studies 13. S-100 is positive in the mature adipose tissue. Sometimes Masson’s trichrome stain is helpful in better separating the muscle and collagen, and augmentation of poorly orientated reticulin fibers in primitive mesenchymal area.

Differential diagnosis

    The main differential diagnosis for FHI is other fibroblastic-myofibroblastic lesions including infantile fibrosarcoma, lipofibromatosis (infantile fibromatosis, non-desmoid type), infantile myofibroma/myofibromatosis, and desmoid fibromatosis and fibrolipoma.

    Infantile fibrosarcoma is a malignant fibroblastic-myofibroblastic tumor occurring in infants and young children. It is histologically identical to classic fibrosarcoma of adults, but carries a much more favorable prognosis. Histologically, it appears as a cellular neoplasm with intersecting fascicles of primitive ovoid and spindle cells that often arrange in a herringbone pattern or forming interlacing cords, sinuous bands or sheets of cells. Collagen formation is variable. Sometime infiltrative growth results in entrapment of adipose tissue, skeletal muscle and other structures. However, the distinct triphasic organoid structures of FHI are not seen in the infantile fibrosarcoma and the prominent mitotic activity of infantile fibrosarcoma is not a feature of FHI.

    Lipofibromatosis (infantile fibromatosis, non-desmoid type) is a rare benign pediatric soft tissue tumor composed of an admixture of adipose tissue and fibroblastic elements. The ages of initial presentation range from 11 days to 12 years but most of them are seen in infants with a median age of 1 year. These processes have a predilection for the hands and feet but also occur in many other anatomic sites. It often presents as a poorly demarcated mass involving the subcutis or deep soft tissues. Histological examination reveals abundant adipose tissue traversed by bundles of spindled fibroblast-like cells, resembling FHI. However, none of these lesions contains primitive mesenchymal cell nests as seen in FHI 14.

    Infantile myofibroma is one of the most common fibrous tumors occurring in infancy and childhood. It arises either as solitary tumor or multicentric ones (infantile myofibromatosis). Histologically, the tumor consists of interlacing fascicles of bland myoid appearing spindle cells arranged in a variably collagenized background.  Sometimes, the spindle cells are arranged around thin-walled, irregularly branching blood vessels, giving a hemangiopericytoma-like appearance. Unlike FHI, there is usually no adipose tissue component seen in the lesion. The hemangiopericytoma-like appearance and the lack of triphasic organoid structures make differentiating this lesion from FHI not to difficult.

    Desmoid fibromatosis (aggressive or musculoaponeurotic fibromatosis) has traditionally been considered a tumor of adults, it can occur in infant. Histologically, the tumor consists of random arranged bundles of slender uniform spindle cells with abundant but indistinctly bordered cytoplasm. The amount of collagen in the background varies from dense to sparse, and foci of mucoid degeneration are not unusual. The tumor usually has an irregular infiltrative margin with entrapped adjacent tissues, such as skeletal muscle, fat, and nerves.  However, classic triphasic organoid structures of FHI are not seen.

    Fibrolipoma is a variant of benign lipoma. Most patients are in their fifth or sixth decade of life. Only rarely are children affected. Histologically, it is characterized by the presence of prominent bundles of mature fibrous tissue traversing the fatty lobules. However, there are no primitive mesenchymal cell nests identified in these lesions.

  1. Reye RDK. A consideratio of Certain Subdermal “Fibromatous Tumours “ of Infancy. J. Path. Bact. 1956, LXXII: 149-154.

  2. Enzinger FM. Fibrous Hamartoma of Infancy. Cancer. 1965, 18: 241-248.

  3. Stocker JT and Dehner LP. Pediatric Pathology. 2nd edition. Lippincott Williams & Wilkins. 2002

  4. Parham DM, Pediatric Neoplasia - morphology and biology. Lippincott-Raven, 1996.

  5. Rosai and Ackerman’s Surgical Pathology. 9th edition. Mosby. 2004.

  6. Arioni C, Bellini C, Oddone M, Risso FM, Scopesi F, Nozza P, Serra G, Toma P. Congenital fibrous hamartoma of the knee. Pediatr Radiol. 2006;36:453-5.

  7. Enzinger FM, Weiss SW. Soft Tissue Tumor. 2nd edition. Mosby; 1988.

  8. Ritchie EL, Gonzalez-Crussi F, Zaontz MR. Fibrous Hamartoma of infancy masquerading as a rhabdomyosarcoma of the spermatic cord. J Urol 1988; 140:800-801.

  9. Yano S, Hida K, Nagashima K, Iwasaki Y. Spinal Fibrous hamartoma of Infancy: Case Report. Neurosurgery. 2004, 55:712.

  10. Yoon TY, Kim JW. Fibrous hamartoma of infancy manifesting as multiple nodules with hypertrichosis. J Dermatol. 2006 Jun; 33: 427-9.

  11. Dickey GE, Sotelo-Avila C. Fibrous hamartoma of infancy: current review. 1: Pediatr Dev Pathol. 1999; 2: 236-43.

  12. Lakshminarayanan R, Konia T, Welborn J. Fibrous hamartoma of infancy: a case report with associated cytogenetic findings. Arch Pathol Lab Med. 2005; 129: 520-2.

  13. Groisman G, Lichtig C. Fibrous Hamartoma of infancy: an immunohistochemical and ultrastructural study. Hum Pathol 1991; 22:914-918.

  14. Fetsch JF, Miettinen M, Laskin WB, Michal M, Enzinger FM. A clinicopathologic study of 45 pediatric soft tissue tumors with an admixture of adipose tissue and fibroblastic elements, and a proposal for classification as lipofibromatosis. Am J Surg Pathol. 2000; 24:1491-500.