A 8 year-old Girl with Macroglossia.
October, 2006, Case 610-2. Home Page

Rebecca Shanesmith, B.S. (MS-IV)1, Elizabeth Gillies, M.D.2, Kar-Ming Fung, M.D., Ph.D.2 Last update: October 1, 2006.

1 Fourth year medical student, Class of 2007, College of Medicine, University of Oklahoma, 2 Department of Pathology, University of Oklahoma Health Sciences Center, Oklahoma City, Oklahoma

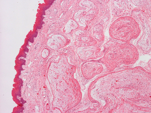
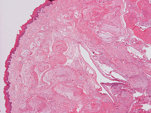
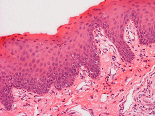
Clinical informationThe patient was an 8 year-old girl who has macroglossia with the right side more affected than the left side. A partial glossectomy was performed. The following are the representative images:

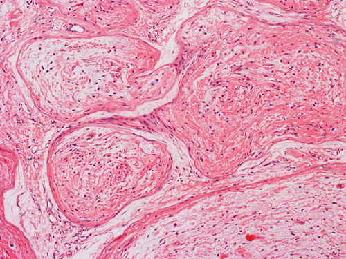
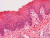
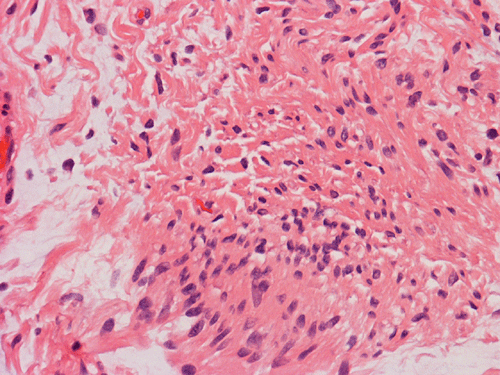
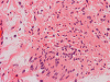
A. B. C. D. E. F.

Pathology of the case:

The resected specimen is 3.2 x 2.2 x 1.3 cm with a firm mass partially covered by unremarkable mucosa of the tongue.

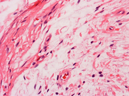
Histologically, the mass is composed of closely packed multiple fascicles of neurofibromatous tissue of low to at most moderate cellularity and set in a myxoid matrix (Panel A and B). The overlying surface epithelium is unremarkable (Panel C) and does not appear to involved. On medium and high magnifications, these fascicles of tissue contain collagen fibers and bland appearing, small, spindle cells with dark nuclei as well as plump cells with open, vesicular nuclei (Panel D, E, and F). The cellularity varies from low (Panel E) to moderate (Panel F). There are no areas with high cellularity or significant atypia. Mitotic figures are not found. Neither hemorrhage nor necrosis are present.

Additional information:

This patient was known to have neurofibromatosis 1. This piece of information was withheld to increase the challenging scale of this case.

DIAGNOSIS: Plexiform neurofibroma of the tongue in a patient with neurofibromatosis 1 (NF1).

Comment:

A diagnosis of plexiform neurofibroma is a strong suggestion for neurofibromatosis 1 (NF1) and the patient should be worked  up clinically for NF1. In general, a neurofibroma is a tumor that tends to arise in locations that are distant from the central nervous system, that is the extremities. A suspicion of NF1 should be raised when neurofibromas arise in unusual location including spinal nerve roots or other exotic locations such as the salivary gland and tongue.

Discussion:

General Information

Neurofibromatosis 1 (NF1), also known as Von Recklinghausen's disease, is one of the most common genetic diseases with a prevalence of between 1 in 2,000 to 3,000. This estimation, however, can be higher as unrecognized cases are common because of the “formes frustes” of this condition.

NF1 is transmitted in an autosomal dominant fashion. The neurofibromin gene on chromosome 17q11.2 is involved 1. Whole gene deletion, single- and multiple-exon deletion, and small deletion comprised about 50% of all the mutations. The deletion can be bigger than the gene and therefore other potential genes can also be deleted which would lead to a contagious gene syndrome type of clinical presentation. The rest of the mutations includes insertion and point mutations. Point mutations that have been identified do not cluster in hot spots. About half of the new cases of NF1 are new mutations. The estimated rate of mutation of NF1 gene is unusually high but the cause of this high mutation rate is not known.

In essence NF1 is a pleiotropic congenital multiple dysplasia syndrome. The cardinal features of NF1 and NF2 are multifocal hyperplasia and neoplasia in the supportive tissues throughout the entire nervous system which include the nerve sheath elements of the cranial, spinal and peripheral nerve as well as glial and meningeal elements of the central nervous system. Neoplastic transformation of ganglionic elements resulting in pheochromocytomas, peripheral neuroblastomas and ganglioneuromas may also occur. The patients are predisposed to develop neurofibroma, plexiform neurofibroma and malignant peripheral nerve sheath tumor (MPNST) 1, 2. About 2-5% of NF1 patients will develop MPNST (risk of general population is 0.0001%). Although a plexiform raises a strong suspicion of NF1, only about 30% of NF1 patient develop plexiform neurofibroma 1. Patient with NF1 also develop astrocytoma (particularly astrocytoma of the optic nerve-hypothalamus region), pheochromocytoma, and juvenile myelomonocytic leukemia. A10-fold increased risk of learning problems have also been described in NF1 patients.

According to one study, only about 4-7% of affected persons have oral manifestations 3. Plexiform neurofibroma in the head and neck region is rather uncommon. However, it has been well documented and the tongue is a relative common site 3, 4, 5, 6, 7, 8, 9.  Our discussion will be limited to plexiform neurofibroma and the manifestation of NF1 in the head and neck region. Readers can also find updated genetic information on NF1 in GeneTest (http://www.genetests.org/).

Pathology of Plexiform Neurofibroma

In general, neurofibroma is a disease at the periphery of the peripheral nervous system and occurs most commonly in the extremities. In contrast, neurofibromas in NF1 patients have an increased tendency to occur near the spinal cord and the brain and in uncommon locations such as the tongue and parotid glands.

Neurofibromas are benign tumors and the tumor cells have features of Schwann cells, perineural cells, and fibroblast.  There are three major types of neurofibromas: cutaneous, subcutaneous, and plexiform.  Plexiform neurofibroma is the least common. Plexiform neurofibromas occur almost exclusively in patients with NF1 and they are often multiple. Many of them occur in a superficial location but they can also occur in deep locations. Grossly, a typical, small to medium sized tumor appears as a spindle shaped enlargement with the head and tail merging with the surrounding tissue or the nerve trunks that they arise from. In well preserved surgical specimens that are removed en bloc, plexiform neurofibroma appears as a tangle of enlarged nerve trunks reminiscent of a piece of curled up noodle or “a bag of worms”. On cut section, the individual enlarged nerve trunks may appear as segregated individual bundles. A myxoid appearance is also characteristic. Although the tumors tend to confine their involvement in large nerves to the nerve trunks themselves, their diffuse involvement along the length of the nerve makes complete resection difficult if not impossible. In contrast, sporadic neurofibromas are sharply circumscribed.

Microscopically, plexiform neurofibroma shares common features with other neurofibromas. In essence, the tumor has a hypocellular, myxomatous background of variable degree. Fine collagen fibers are also present at a variable density. The proportion of collagenous to myxomatous component is highly variable. There are widespread spindle cells with ovoid to thin and elongated, bland nuclei with minimal or no pleomorphism and without prominent nucleoli. The neoplastic tissue typically fills and expands the nerve trunk. In contrast to schwannoma where residual nerve trunk may be identified at the periphery, the nerve trunk is diffusely involved and expanded and no residual nerve trunk can be demonstrated. Mitosis, high cellularity, necrosis and high grade pleomorphism should not be present. Demonstration of these features would raise a strong suspicion for malignant transformation which is not an uncommon event in NF1 patients.

Immunohistochemically, the spindle cells are positive for S-100 protein. Entrapped axons can also be demonstrated by immunohistochemistry for neurofilament proteins. In general, the morphologic features of plexiform neurofibroma are highly characteristic and do not require immunohistochemistry for diagnostic purposes.

Mucosal Manifestation of MEN IIb

Multiple endocrine neoplasia IIB (MEN IIb) may have mucosal manifestations, including those of the oral cavity, that should not be mistaken as plexiform neurofibroma. In general, this is a family of hypertrophy of autonomic nerve and ganglia. This process will produce discrete masses to plexiform enlargement which lead to the mucosal neuroma, mucosal neuromatosis, and intestinal ganglioineuromatosis. Synonyms include multiple mucosal neuroma and intestinal ganglioneuromatosis of the alimentary tract have been use.

The lesions typically become apparent clinically in children, adolescence, and young adults (first three decades of life) with a slight female predominance. Mucosal neuromas can be diffuse or localized and consists of markedly enlarged nerve affecting the lips, oral mucosa, tongue and conjunctiva. Ganglioneuromatosis is featured by band-like and nodular enlargement of both the submucosal and myenteric plexuses. Characteristically, all elements of the nerve including the Schwann cells, ganglion cells and their processes will increase. These lesions should not be misdiagnosed as plexiform neurofibroma. Clinical recognition of MEN IIb will be helpful for the diagnosis.

Reference

  1. Kluwe L, Friedrich RE, Korf B, Fahsold R, Mautner VF. NF1 mutations in neurofibromatosis 1 patients with plexiform neurofibromas. Hum Mutat. 2002 Mar;19(3):309.

  2. Korf BR. Plexiform neurofibromas. Am J Med Genet. 1999 Mar 26;89(1):31-7.

  3. Shapiro SD, Abramovitch K, Van Dis ML, Skoczylas LJ, Langlais RP, Jorgenson RJ, Young RS, Riccardi VM. Neurofibromatosis: oral and radiographic manifestations. Oral Surg Oral Med Oral Pathol. 1984 Oct;58(4):493-8.

  4. Souaid JP, Nguyen VH, Zeitouni AG, Manoukian J. Intraparotid facial nerve solitary plexiform neurofibroma: a first paediatric case report. Int J Pediatr Otorhinolaryngol. 2003 Oct;67(10):1113-5.

  5. Bongiorno MR, Pistone G, Arico M. Manifestations of the tongue in Neurofibromatosis type 1. Oral Dis. 2006 Mar;12(2):125-9.

  6. Guneri EA, Akoglu E, Sutay S, Ceryan K, Sagol O, Pabuccuoglu U. Plexiform neurofibroma of the tongue: a case report of a child.
    Turk J Pediatr. 2006 Apr-Jun;48(2):155-8.

  7. Guclu E, Tokmak A, Oghan F, Ozturk O, Egeli E. Hemimacroglossia caused by isolated plexiform neurofibroma: a case report.
    Laryngoscope. 2006 Jan;116(1):151-3.

  8. Alatli C, Oner B, Unur M, Erseven G. Solitary plexiform neurofibroma of the oral cavity A case report. Int J Oral Maxillofac Surg. 1996 Oct;25(5):379-80.

  9. Weitzner S. Plexiform neurofibroma of major salivary glands in children.
    Oral Surg Oral Med Oral Pathol. 1980 Jul;50(1):53-7.

Cases of the Month  Evaluation  Coordinator: KarMing-Fung@ouhsc.edu