| A 52 year-old Man with
History of Endocardititis, Storke, and delirium. July, 2007, Case 707-1. Home Page |
Rajiv Padmanabhan, M.D. 1, M.D., Ph.D., Ethan Stolzenberg, M.D., Ph.D. 2, Kar-Ming Fung, M.D., Ph.D. 2
1 Department of Neurology and 2 Department of Pathology, University of Oklahoma Health Sciences Center, Oklahoma City, OK. Last update March 30, 2008.
Clinical information:
This patient was a 52 year-old right handed man with past medical history of infective endocarditis status post aortic valve replacement and he was on Coumadin. There was also history of depression, hepatitis C, and old right posterior cerebral artery stroke. He was transferred to our institution about 4 months ago from an outside facility after four days of delirium.
Neurologic and mental examination showed intact immediate memory but inability to recall 3 objects in 5 minutes. He was not oriented to time or space or situation but oriented to person. His remote memory was intact. There was left superior quadrantonopsia but no focal motor or sensory deficits. FLAIR images on MRI showed a lesion in the left mesial temporal lobe (Panel 1). This lesion had increased T2 signal but without enhancement on T1 images. This lesion also had mass-effect and edema within that region. On FLAIR images, there were some small foci of abnormal signal in the white matter of the right parietal lobe (Panel 2) but these foci did not enhance (Panel 3). On another image, however, there is a small cluster of enhancing spotty signal in the white matter of the left parietal lobe (Panel 4) and the largest focus is about 0.4 cm in diameter. There were areas with features of encephalomalacia in his right mesial temporal lobe that would be explained by his history of prior infarct.
The initial clinical diagnosis was herpes encephalitis and he was treated with acyclovir. Lumbar puncture performed a few days later showed RBCs of 10, WBC of 8, 100% lymphocytes, protein 68 and glucose 71. An echocardiogram performed by then showed an ejection fraction of 65% with normal aortic mechanical valve in place. PCR study for herpes simplex virus (HSV) was negative.
During the course of his first hospital stay his suicidal thoughts increased but he continued to remain amnestic for recent events and tried to write down the details of his room, his belongings and so forth. He completed 10 days of acyclovir. He was housed in the psychiatric ward because of his suicidal ideation. He was discharged a month later on Coumadin and a therapeutic INR and was followed in the neurologic clinic.
He continued to have amnesia. About 2 months after the initial MRI, another MRI performed at an outside facility reported an enhancing mass in his left parietal lobe. This mass apparently grew from a 0.4 cm lesion in the left mesial temporal lobe in the previous study. The mass was 2.5 cm in greatest dimension and was distinctly separated from the left lesions in his mesial temporal lobe albeit the edema from both lesions were somewhat coalescing (Panel 5 and 6). The non-enhancing lesions in the right parietal white matter remained unchanged.
He was admitted again. In this admission, he developed left intraparenchymal hemorrhage associated with the enhancing mass, edema, and 0.4 cm left to right midline shift. A craniectomy was performed to evacuate the blood and biopsy the enhancing mass. The followings are representative images from the biopsy material.
![]() |
![]() |
![]() |
![]() |
![]() |
![]() |
![]() |
|
A. Squash |
B. Squash |
C. Squash |
D. Squash |
E. Squash |
F. Frozen |
G. Frozen |
![]() |
![]() |
![]() |
|
![]() |
![]() |
![]() |
|
H. Frozen |
I. Frozen |
J. Frozen |
K. |
L. | M. | N. |
![]() |
![]() |
![]() |
![]() |
![]() |
![]() |
|
|
O. CD168 |
P. CD168 |
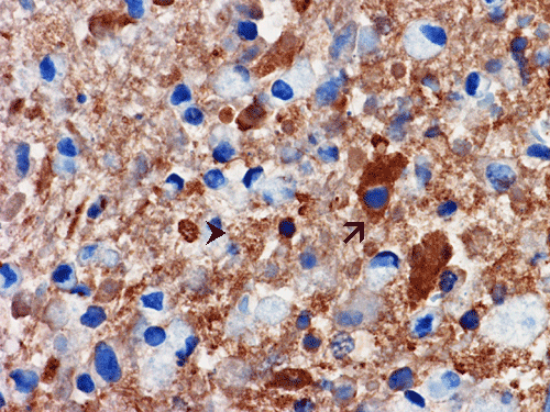
Q. GFAP |
R. GFAP |
S. p53 |
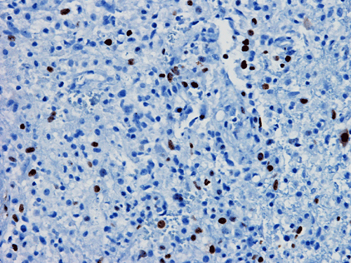
T. Ki67 |
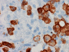
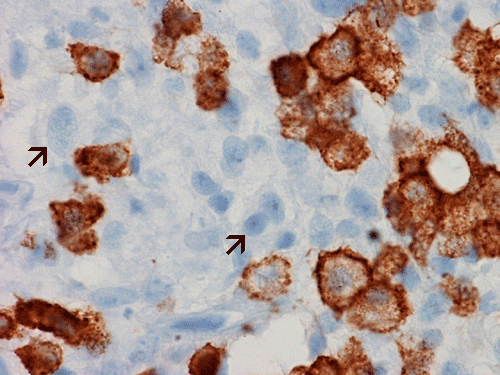
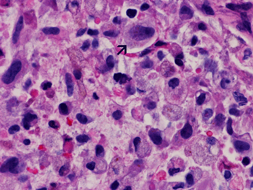
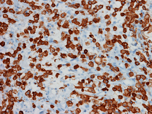
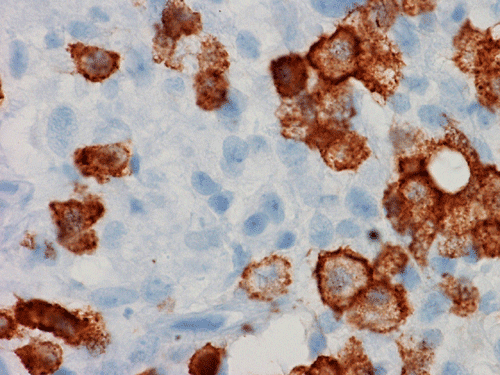
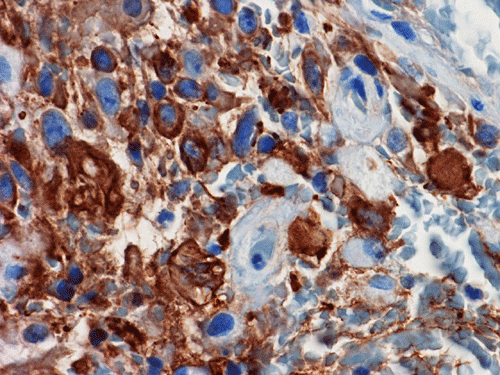
Panel A to E are intra-operative cytologic preparation, Panel E to J are frozen section, Panel K to N are permanent sections, Panel O to T are immunohistochemistry.
Pathology of the case:
Comment on the imaging:
The stunning part of the two MRI series is that the parietal mass grew from an enhancing 0.4 cm lesion to 2.5 cm in about 2 months time. This speed of expansion usually suggest an inflammation or infection in many other organs. In the brain, a high grade glioma such as glioblastoma have been well documented to have this speed of expansion.
Intra-operative Consultation:
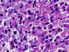
The clinical history of this case is very interesting and also complicated. The same is true for the intra-operative consultation. At low magnification of the cytologic preparation, there are clusters of cells that are suggestive of glial cells (Panel A). On high magnification, many of these cells have loose, pale granular to foamy cytoplasm and some of these cells have enlarge nuclei (Panel B). Interestingly, these cells admixed with substantial number of foamy cells most consistent with foamy histiocytes (Panel C, D, and E). Mitosis can be occasionally seen (Panel D). On the frozen section, the biopsy material is extensively necrotic (Panel F). In the small amount of viable tissue available for examination (Panel G), there is one focus suggestive of endothelial proliferation (Panel H). The cells are similar to those seen in the cytologic preparation which is a mixture of foamy cells suggestive of histiocytes and some cells with atypical nuclei (Panel I and J)
Permanent Sections:
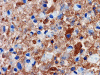
Findings in the permanent sections are not that much different from that of the frozen section cytologic preparation. In essence, the lesion is composed predominantly of moderately sized found to oval cells with foamy cytoplasm morphologically consistent of histiocytes and the level of nuclear pleomorphism is not particularly distinctive (Panel K). With diligent search, there are cells that have foamy histiocytes but with rather atypical nuclei (arrow in Panel L). In some areas, the level of nuclear pleomorphism is really low and the foamy cells are indistinguishable from histiocytes (Panel M and N). On immunohistochemistry for CD163, a marker for histiocytes, many but not all of the foamy cells are positive (Panel O and P). In particular, cells with enalrged nuclei with or without prominent nucleoli are negative (arrows in Panel P). Comparatively, the positive cells have small nuclei compatible with histiocytes. In some areas that are composed cells predominantly that gives the morphology of histiocytes, many of the cells have a granular cytoplasmic positive reactivity for glial fibrillary acidic protein (GFAP) (arrow head in Panel Q) but some of these cells have solid cytoplasmic positive staining. (arrow in Panel Q). In other areas where cells with enlarged and atypical nuclei are found, the cells has solid positive cytoplasmic staining (Panel R). The cells with enlarged nuclei are often positive for p53 (Panel S) and many cells with enlarged nuclei are positive for Ki67 (Panel T).
| DIAGNOSIS: Glioblastoma with extensive granular cell component (granular cell glioblastoma), WHO grade IV. |
Comment on this case:
The clinical presentation of this case is rather unusual. It should also be noted that glioblastoma is one of the fastest growing solid tumor in human as documented in this case. It is most likely that there are was also hemorrhage in the tumor that lead to the accumulation of foamy macrophages and this feature further complicated the histologic picture.
Discussion:
General Information
Glioblastoma is a grade IV tumor according to the classification of the World Health Organization (WHO) 1. It is one of the fastest growing solid tumors known to human and, unfortunately, it is also the most common malignant brain tumor. There are two peaks. The major peak is between 40 to 80 years old. A minor peak occurs in children. The average clinical course is 12-18 months. Young adult patients typically have longer survival. The majority of glioblastomas occur in the cerebral hemispheres. They can occur also in the brainstem and cerebellum. The spinal cord is a relatively uncommon site. The relative incidence is generally related to the amount of white matter in a particular anatomic location. Primary (de novo) glioblastomas do not arise from a pre-existing glial neoplasm. Secondary glioblastomas arise from a pre-existing neoplasm and they tend to occur in younger patients. The molecular mechanisms involved in the tumorigenesis of these two types of tumor appear to be different. Although most glioblastomas are sporadic tumors, a small number of them are associated with Type 1 Turcot syndrome, Li-Fraumeni syndrome, Ollier disease, and neurofibromatosis 1. Radiation treatment is a definitive risk factor. Children receiving prophylactic irradiation for acute lymphatic leukemia, for example, have a 22-fold increased risk of developing malignant astrocytomas (WHO grade II, III, and IV) of with an interval for onset of 5-10 years.
Astrocytomas with extensive granular component tend to be more aggressive. In one of the studies, the average survival of patients with these tumors were 8.4 (WHO grade III) and 7.3 months (WHO grade IV), respectively. This is less favorable in comparison with survival of patients with conventional grade 3 astrocytomas (anaplastic astrocytoma); with mean survivals of 3 years, and with grade 4 astrocytoma (glioblastoma multiforme) with mean survival of 11 months 2.
Pathology
Macroscopically, the tumor is poorly demarcated due to its infiltrative nature. It is often large, sometimes surprisingly large, at presentation. A substantial amount of edema is typical. Some of these tumors will cross the midline through the corpus callosum and create the so-called "butterfly tumor". On cut sections, glioblastomas have a grayish, soft consistency. The color can be variable as well as the amount of necrosis and hemorrhage.
The histopathology will be limited to the discussion of glioblastoma with granular cell component. The 2007 WHO classification recognizes three variants in this family- glioblastoma, giant cell glioblastoma, and gliosarcoma. Although granular cells in glioblastomas have been well recognized in this classification, granular cell glioblastoma is not recognized as a separate entity 1. Therefore these tumors are better termed glioblastoma with granular cell component in the opinions of the authors. The exact mechanism of the granular cell changes is not certain but it may represent a distinct degenerative pathway 1.
Diffuse astrocytomas, anaplastic astrocytomas and glioblastomas can all contain granular cell component. In general, these tumors are more aggressive than their counter parts without granular cell changes. Histologically, these tumors can be heterogeneous in appearance because of the granular component and the histologic pictures could vary in different parts of the specimens or slides. The granular cell component can suggest a granular cell tumor or infiltrating histiocytic cells that suggest a demyelinating process. Such distinction are particularly difficult in small biopsy specimens. Careful and thorough examination of the specimen and clinical correlation is important to avoid these dangerous pitfalls.
Histologically, the granular cell component closely mimic granular cell tumors that are seen outside the brain. These cells also closely resemble macrophages. In addition, these tumors often associate with substantial lymphocytic infiltrations. Not uncommonly, there may be real macrophages present. In some tumor, classic astrocytoma areas can be noted and a transition between the granular component and classic component can be seen. This feature, however, is not seen in all tumors. Examination of the cytologic details is important. Neoplastic astrocytic cells with granular features, particularly those with high grade changes, often have high grade atypia in at least some of the tumor cells. Glial fibrillary acidic protein (GFAP) can be demonstrated in some of these granular cells and often in the form of a peripheral rim. These cells are often not abundant and careful search is necessary to identify them 2. Demonstration of p53 by immunohistochemistry in a substantial number of granular cells, particularly those with enlarged and atypical nuclei, is another help. Immunohistochemistry for CD68 and CD163 are not particularly helpful in distinguishing these cells from histiocytes as both of them contain substantial lysosomes and will appear positive. In a recent study, these tumor have a 3 a high frequency of allelic loss but no definitive pattern has been defined.
Pathology
Due to the cytologic features that closely mimic macrophages and its characteristic inflammatory cell infiltration, a rather long list of differential diagnosis must be considered. The followings are the more commonly encountered ones.
The first to consider is primary lymphoma of the central nervous system. These tumors do not characteristically associate with substantial number of foamy histiocytes. Most of them are diffuse large B-cell lymphoma and a small number of them are low-grade B-cell lymphoma. T-cell lymphomas are rare. Their characteristic angiocentric pattern of invasion is a great diagnostic help. As most of them are high grade tumor, a high level of anaplasia in the lymphocytes would be seen. Immunohistochemistry can be used to confirm the lymphocytic lineage of these tumors.
Demyelinating diseases is a more complicated issue. These processes have both foamy histiocytes and lymphocytic infiltration. Knowing the clinical information well is a key to avoid diagnostic pitfalls. Also, there should be no genuine anaplastic changes in the histocytes in demyelinating diseases although these cells look active in most cases. Rare mitosis can be seen in the macrophages but no atypical mitosis should be seen. Also, immunohistochemistry for p53 would be helpful as positive immunoreactivity can be demonstrated in most astrocytomas particularly when they are high grade. Immunohistochemistry for GFAP can demonstrate a rim of peripherally located positive staining in the granular cell component of these astrocytomas. Markers for macrophages such as CD68 and CD163 are not particularly helpful as these the granular tumor cells are also positive.
Stroke, hemorrhagic stroke, and hemorrhages not associated with stroke, particularly small hemorrhages, may produce substantial amount of macrophages. Unless there is a superimposed infection, the amount of lymphocytic infiltration should not be substantial. Again, atypia should not be seen in the foamy macrophages and immunohistochemistry for p53 should also be helpful. Knowing the clinical history is also important to make the correct diagnosis.
Reference:
Kleihues P, Burger PC, Aldape KD, Brat DJ, Biernat W, Bigner DD. Glioblastoma in WHO Classification of Tumours of the Central Nervous System. Page 33-49. World Health Organization, 2007.
Brat DJ, Scheithauer BW, Medina-Flores R, Rosenblum MK, Burger PC. Infiltrative astrocytomas with granular cell features (granular cell astrocytomas): a study of histopathologic features, grading, and outcome. Am J Surg Pathol. 2002 Jun;26(6):750-7.
Castellano-Sanchez AA, Ohgaki H, Yokoo H, Scheithauer BW, Burger PC, Hamilton RL, Finkelstein SD, Brat DJ. Granular cell astrocytomas show a high frequency of allelic loss but are not a genetically defined subset. Brain Pathol. 2003 Apr;13(2):185-94.