| A 30 year-old Man with
Prolonged History of Headache and a Cerebellar Hemispheric Mass. August, 2007, Case 708-1. Home Page |
Ethan Stolzenberg, M.D., Ph.D., Kar-Ming Fung, M.D., Ph.D. Last update: November 1, 2007.
Department of Pathology, University of Oklahoma Health Science Center, Oklahoma City, Oklahoma
Clinical information: The patient was a 30 year-old man who complained of intermittent headache for a prolonged period of time. The length of his symptoms was not certain but it was longer than 2 years. His symptoms became more constant. Shortly before that, he suffered a seizure and was admitted to the hospital. On physical examination, he neurologic examination was unremarkable and no cranial nerve manifestations were noted. The remaining part of her physical examination was within normal limits. He does not use drug. He is HIV negative and not immune compromised. The patient has no family history of genetic disease. He was a veterinary student at a local university and he had no history of contact with toxic agents. An MRI was performed and revealed a 2 cm hemispheric mass of the cerebellum. The mass was well defined and the superficial part of it appeared to have adopted to the contour of the cerebellar folia. The mass was excised and yielded the following images.
![]() |
![]() |
![]() |
![]() |
![]() |
![]() |
| A. | B. | C. | D. | E. | F. |
![]() |
![]() |
![]() |
![]() |
![]() |
|
| G. | H. |
I. Luxol fast blue- creysl violet |
J. Neurofilament |
K. Neurofilament |
L. Synaptophysin |
| DIAGNOSIS: Dysplastic gangliocytoma of the cerebellum (Lhermitte-Duclos disease) |
Pathology of the case:
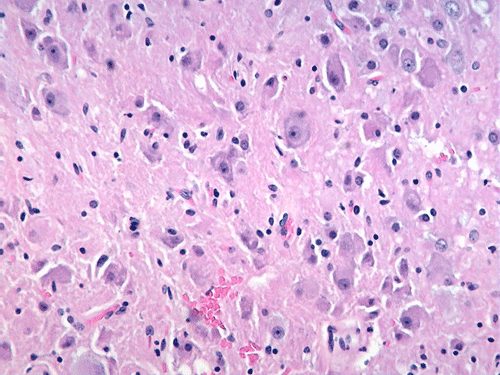
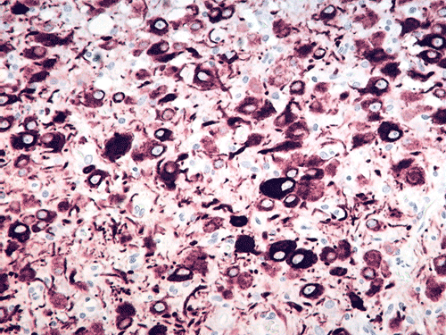
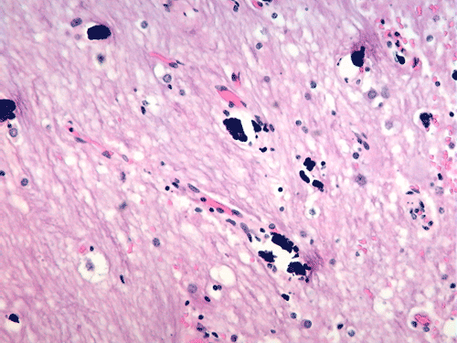
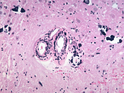
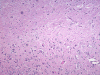
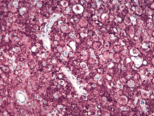
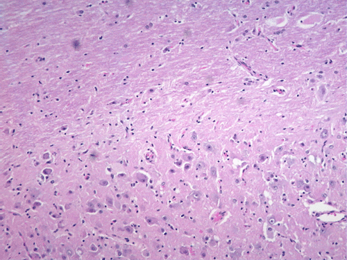
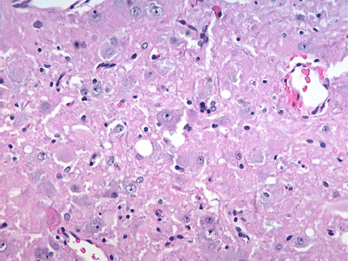
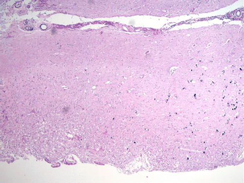
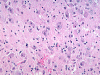
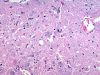
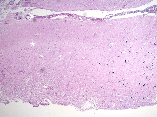
The excised specimen gave the features of cerebellum with greatly expanded cerebellar folia with myelination on the surface of the folia (Panel A, letter S indicates the material used to support the specimen) which can be seen easily on fresh specimen. . The expanded folia are most obvious in fixed specimen (Panel B). On pendicular section of the specimen (Panel C, arrow head points to the pial surface), the normal archicheture of cerebellum is totally effaced. The outer layer is composed of a layer of white matter while the inner half is composed of collections of large, ganglion cells ( in indicates the interface of the two layers which is magnified in Panel D). Multiple calcifications (darks spots in Panel C) are also present.The deeper layers of ganglion cells are composed of large, ganglioinic neurons of similar size and separated by only a small amount of glial tissue (Panel E and F). Multiple calcifications are seen in the more superficial layer of white matter (Panel G). Many calcified blood vessels (Panel H) are also noted in the deeper layers with ganglionic cells. The superficial white matter layer is well myelinated and strongly reactive for neurofilament (Panel I and J, stained by Luxol fast blue- Creysl Violet and immunohistochemistry for neurofilament respectively correspond to the interface indicated by the * in Panel C). The ganglionic cells are stronly reactive for neurofilament protien and synaptophysin (Panel K and L).
Discussion:
General Information
Dysplastic gangliocytoma of the cerebellum (also known as Lhermitte-Duclos disease) (LDD) is a rare condition that has combined features of a neoplasm, hamartomatous overgrowth, and a malformation. Biologically, LDD is benign (WHO grade I). Although they appear to have features of hamartomas and malformations, progressive and gradual enlargement similar to a neoplasm has been demonstrated. In general, LDD behaves like a slow growing benign tumor. Gross total resection is the treatment of choice. Recurrence may occur.
The incidence is low and about 5 in a million population per year. The majority are isolated cases and about 10-15% of the cases are familial. LDD is diagnosed typically in the 2nd and 3rd decades but the range of age is wide. It is typically seen in men and is closely associated with Cowden syndrome. It is important to note that LDD may precede other manifestations of Cowden syndrome. Therefore, any person diagnosed with isolated LDD should be screened for Cowden syndrome. Rare cases have been associated with astrocytic neoplasms at a different location or non-neoplastic abnormalities of the CNS (including heterotopias, olivary nuclear hypertrophy, hydromyelia and syrinx).
The salient features include thickening of cerebellar folia with cellular disorganization and is typically limited to only one cerebellar hemisphere. This macroscopic feature of LDD on cross section is transformed into a pathognomonic “tiger-stripping” laminations of alternating T1/T2-isointense and T1-hyperintense/T2-hypointense laminations in reference to cerebellar gray matter on MRI. This pattern can also be recognized by high resolution CT scans. LDD are typically non-enhancing. These features are quite characteristic and make LDD readily to be diagnosed on imaging studies.
Clinically, the manifestations are that of a cerebellar syndrome with ataxia. The most common manifestations include headache, nausea and vomiting, papilloedema, and cerebellar ataxia of gait. The less common manifestations are upper limb ataxia and dysmetria, visual disturbance and cranial palsies. The least common manifestations include sensory and morot deficits, vertigo, and neuropsychological deficits.There may also be a history of mild mental retardation/or seizure. Due to its strategic location, compression of the 4th ventricle would lead to hydrocephalus which can occur as acute hydrocephalus. Manifestations of Cowden syndrome , particularly mucocutaneous signs, can often but not always be found simultaneously.
Pathology
In essence, the affected area appear as circumscribed areas with exaggerated enlargement of the cerebellar folia in comparison to the surrounding, normal appearing folia. The thickened gyri are rather firm in consistency because of the glial component. On deeper part of the specimen where gray white junction is found, the expanded folia can be distinguished from the underlying white matter. Myelination may be seen on the surface of these gyri as illustrated in our case.
Histologically, a layer of myelinated fibers with large diameter myelinated axons is present in the more superficial location of the expanded where the molecular layer is found at the same level in normal cerebellum. The deeper layer where internal granule layer is supposed to be found is replaced by sheets intermediate sized to large dysplastic neurons that resemble Purkinje cells. In high magnification, these areas resemble gangliocytoma. The proportion of the myelinated outer layer and ganglionic inner layer is variable. The normal Purkinje cell layer is not found. Interspersed in between are much smaller neuronal cells with hyperchromatic, small nuclei that resemble hte internal granular layer. This is, therefore, essentially an “inside-out” architecture of the cerebellum with white matter on large ganglionic neuronal layer in the deeper layer. Mitotic figures are exceptional. Ki-67 labeling is 0-2% for the small number of cases that have been studied. The native white matter of the affected folia is atrophic and rarefied. The histologic features are very specific. Immunohistochemistry is not typically required for diagnosis.
Genetics
LDD is closely related to Cowden syndrome and shares similar genetic aberrations. Cowden syndrome is autosomal dominant and is resulted from germline mutation of PTEN (Phosphatase and tensin homolog) gene on chromosome 10q23. The gene product has a phosphatase-like region at the amino terminal end, and tensin at the carboxy terminal end. Tensin is a protein that binds actin at the cell membrane (focal adhesion areas). PTEN is a regulator of the phosphatidylinositol pathway. Phosphatidylinositol fluxes between two forms- 3,4,5 and 4,5. 3,4,5 is the active form and activates PDK kinase which phosphorylates and activates AKT. AKT is a proto-oncogene, so activation causes cell growth. PTEN dephosphorylates the 3’ phosphate from phosphatidylinositol 3,4,5 triphosphate and thus inactivates PDK kinase and AKT. So PTEN is a tumor suppressor gene. The activation of the PTEN/AKT/mTOR pathway may have a central role for mTOR in the pathogenesis of LDD.
References:
Zhou XP, Marsh DJ, Morrison CD, Chaudhury AR, Maxwell M, Reifenberger G, Eng C. Germline inactivation of PTEN and dysregulation of the phosphoinositol-3-kinase/Akt pathway cause human Lhermitte-Duclos disease in adults. Am J Hum Genet. 2003 73(5):1191-8.
Abel TW, Baker SJ, Fraser MM, Tihan T, Nelson JS, Yachnis AT, Bouffard JP, Mena H, Burger PC, Eberhart CG. Lhermitte-Duclos disease: a report of 31 cases with immunohistochemical analysis of the PTEN/AKT/mTOR pathway. J Neuropathol Exp Neurol. 2005 64(4):341-9.