| A
63 year-old Man with Bilateral Renal Masses. September, 2007, Case 709-1. Home Page |
Roy R. Zhang, M.D., Kar-Ming Fung, M.D., Ph.D. Last update: November 1, 2007.
Department of Pathology, University of Oklahoma Health Sciences Center, Oklahoma City, Oklahoma
Clinical information: The patient was a 63 year-old man who has bilateral renal masses. A fine needle aspiration (FNA) was performed on the right kidney and the followings are representative images.
![]() |
![]() |
![]() |
![]() |
![]() |
|
|
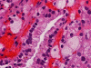
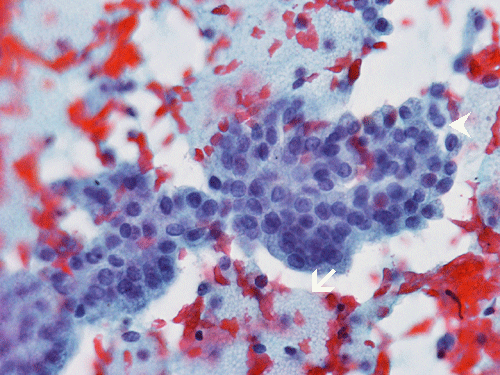
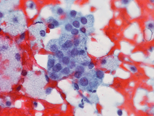
A. DiffQuick |
B. DiffQuick |
C. PAP stain |
D. PAP stain |
E. | |
![]() |
![]() |
![]() |
![]() |
![]() |
|
| G. | H. |
I. CD10 |
J. AMACR |
K. CK7 |
Pathology of the Case:
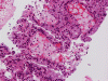
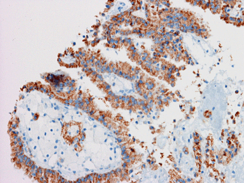
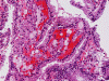
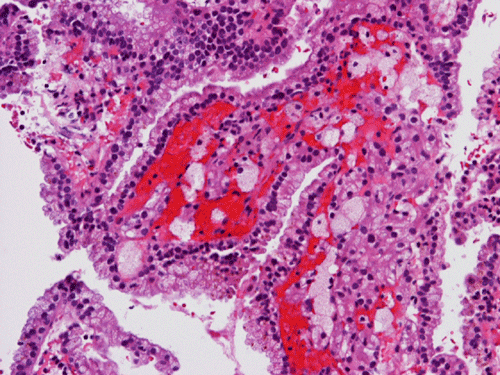
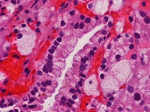
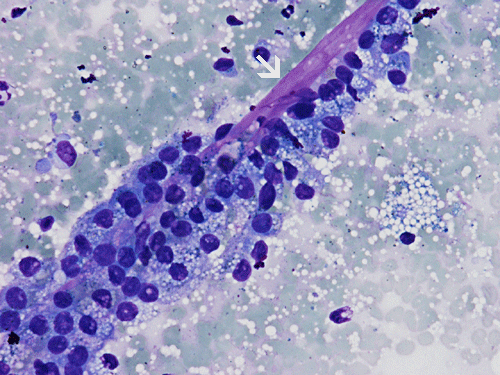
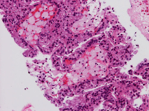
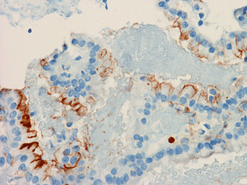
On FNA with Pap stain, clusters of cells with a papillary structure are present (Panel A). A delicate fibrovascular core can be seen at the center (arrow in Panel B). In higher magnification, two population of cells are present. While one of the population appears as solid sheets of polygonal epithelial cells with increased nuclear cytoplasmic ratio and distinct cell border (arrow head in Panel C), there are also many cells with distinctly foamy cytoplasm, lower nuclear cytoplasmic ratio and bland nuclei, and indistinct cell border (arrow head in Panel C). The foamy cells are most consistent with foamy macrophages. A distinct nucleoli is present in the epithelial cells (Panel D). The papillary morphology is well demonstrated in the cell block (Panel E, F, and G). Characteristically, the papillary structures are formed by a central core of foamy macrophages and covered by a epithelial cells. The epithelial cells but not the foamy macrophages are immunoreactive for CD10, AMACR, and CK7 (Panel H, I, and J).
| DIAGNOSIS: Papillary renal cell carcinoma. |
Discussion:
General Information:
Papillary (chromophil) renal cell carcinoma (PRCC) has several features that are distinctly different from other renal epithelial tumors. In addition to their characteristic papillary histological growth pattern, these tumors are usually well-circumscribed tumors and may have a capsule. Not uncommonly, they occur as multifocal tumors within the same kidney or bilateral tumors. According to one at least one study, many of these tumors are found as incidental findings 1. The prognosis is related to histologic properties. PRCCs are also associated with characteristic genetic aberration. The overall survival is worse than chromophobe carcinoma and similar to conventional (clear cell) renal cell carcinoma.
PRCCs are most commonly seen in the 6th to 7th decade and they represent about 13% of all renal epithelial tumor. Male are two times more commonly affected than female. Although most patients have unilateral tumor, this tumor is multifocal within the same kidney in about half of the cases. Bilateral cases are also common. The overall cancer specific 5-year survival rate is about 74% as per one study and that type 1 PRCC patients have better survival rate than type 2 2.
PRCCs also have interesting genetic changes. In contrast to may other tumors where lost of genetic material have been demonstrated, these tumors are genetically characterized by gain of chromosome rather than loss of chromosome. Trisomy of chromosome 7, 16, and 17 and loss of chromosome Y have been described.. Cytogenetic studies may be used to resolve difficult cases 3.
Pathology:
In contrast to other renal cell carcinomas, PRCCs often have a capsule. Hemorrhage and necrosis can be prominent and calcifications are common. The size varies from 2.5 to 18 cm with a mean diameter of 6.7 cm 3. It may occur as multiple or bilateral tumors.
Histologically, the proportion of papillary growth can vary. While papillary growth can be the dominant pattern in some tumor, tumors composed of predominantly solid growth areas can be seen. The papillary growth has fine, delicate fibrovascular cores. Foamy macrophages are usually abundant and they are usually wonderful diagnostic suggestions. However, it should be noticed that areas that lack foamy macrophages can occur. This is particularly important when the specimen is small such as FNA specimens. The tumor cells fall into two major cytologic types. Type 1 tumors cells vary from small cells with inconspicuous pale cytoplasm and small, uniform, spherical nuclei with small or invisible nucleoli. Type 2 tumor cells are larger cells with abundant eosinophilic cytoplasm and large, spherical nuclei, prominent nucleoli and pseudostratified arrangement. Mixed pattern within the same tumor is not uncommon. 1, 2, 4, 5
In one of the most recently studies, patients with type 2 histology have better survival. In another study, the prognosis was significantly better in patients with foam-cell infiltration, with a pseudocapsule, with no solid variants and with basophilic cells. There were also significant differences in survival between patients with low-stage (1+2) and high-stage (3+4) disease, and among grades 1–3 4. High histologic grade is also an unfavorable prognostic feature.
Immunohistochemically, PRCCs are positive for CK7, a-methylacyl coenzyme A racemase (AMCAR), and CD10.
Differential diagnosis:
Due to its peculiar histology, there are several major differential diagnoses. First, the bilaterality and multicentric property in combination with its papillary structure invariably would suggest metastatic carcinoma. PRCCs do not have the deep nuclear groove of papillary thyroid carcinoma. The presence of macrophages is a good suggestion of PRCC but by no mean a fool proof feature. Immunohistochemistry can in the diagnosis.
The papillary structures can be confused with Wilm’s tumor. The age is an important parameter to consider as PRCC rarely occur in subjects below 30 years of age while Wilm’s tumor occur typically in children. Careful histologic examination is important. Wilms’s tumor, however, is positive for WT1 gene and is a helpful diagnostic aid.
PRCC with sarcomatous changes and with extensive solid areas must be differentiated from other primary renal carcinoma. Oncocytomas do not usually demonstrate papillary growth pattern and typically lack foamy macrophages. Electron microscopy would also be helpful in the diagnosis as oncocytoma has a mitochondria rich cytoplasm. In difficult cases, cytogenetics can also be used to distinguish these tumors particularly in small biopsies 3, 6.
Reference:
Yamanaka K, Miyake H, Hara I, Inoue TA, Hanioka K, Fujisawa M. PRCC: a clinicopathological study of 35 cases. Int J Urol. 2006 13:1049-52.
Yamashita S, Ioritani N, Oikawa K, Aizawa M, Endoh M, Arai Y. Morphological subtyping of PRCC: clinicopathological characteristics and prognosis. Int J Urol. 2007 14:679-83.
Barocas DA, Rohan SM, Kao J, Gurevich RD, Del Pizzo JJ, Vaughan ED Jr, Akhtar M, Chen YT, Scherr DS. Diagnosis of renal tumors on needle biopsy specimens by histological and molecular analysis. J Urol. 2006 176:1957-62.
Onishi T, Ohishi Y, Goto H, Suzuki M, Miyazawa Y. PRCC: clinicopathological characteristics and evaluation of prognosis in 42 patients. BJU Int. 1999 83:937-43.
Amin MB, Corless CL, Renshaw AA, Tickoo SK, Kubus J, Schultz DS. Papillary (chromophil) renal cell carcinoma: histomorphologic characteristics and evaluation of conventional pathologic prognostic parameters in 62 cases. Am J Surg Pathol. 1997 21:621-35.
Hes O, Brunelli M, Michal M, Cossu Rocca P, Hora M, Chilosi M, Mina M, Boudova L, Menestrina F, Martignoni G. Oncocytic papillary renal cell carcinoma: a clinicopathologic, immunohistochemical, ultrastructural, and interphase cytogenetic study of 12 cases. Ann Diagn Pathol. 2006 10:133-9.