A 39 year-old HIV Positive Man with Diarrhea.
November, 2007, Case 711-1. Home Page

Matthew M. Yeh, M.D., Ph.D., Kar-Ming Fung, M.D., Ph.D. Last update: December  1, 2007.

Department of Pathology, University of Washington School of Medicine, Seattle, WA and Department of Pathology, University of Oklahoma Health Sciences Center, Oklahoma City, Oklahoma

Clinical information: The patient was a 39 year-old man who was HIV (+) and presented to his doctor with the chief complaint of prolonged diarrhea. The following images are generated from biopsy obtained from the duodenum. 

     
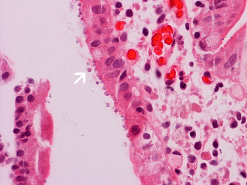
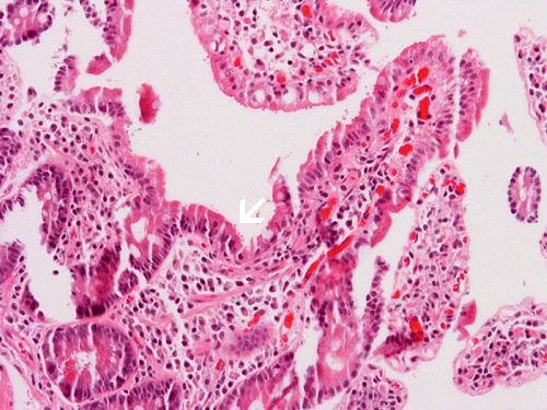
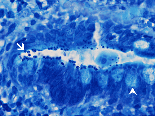
A. B. C.
Giemsa
     

Pathology of the Case:

        The mucosa is essentially quite normal other than some mild villus blunting in this case. There is no  abnormal inflammatory cell infiltration. However, small bead-like organisms are lining the epithelial surface (arrows in Panel A and B). With Giemsa stain, these microorganisms are positive (arrow in Panel C) and mucin droplets are negative (arrow head in Panel C).These organisms are positive for Giemsa stain. In reality, these small organisms can be identified using medium (10X) magnification if you have a high index of suspicion.

DIAGNOSIS: Cryptosporidiosis.

General Information:

    Coccidial infection (including infection of Cryptosporidium 1, Cyclospora, Isospora, and Microsporidia) are important pathogens in patients with AIDS who present with diarrhea. Except perhaps microspridia, all of these agents can infect immunocompetent host and may lead to diarrhea that can be prolonged. In immunocompetent persons, the infection is usually self-limited but in immunocomprised patients it can develop chronic and severe diarrhea and complications including life threatening dehydration, malabsorption, and death. Coccidial infections can also be asymptomatic.

    About one or two cases of cryptosporidiosis per 100,000 people are reported annually in the United States. Typically, cryptosporidium is an acute, short-term infection characterized by diarrhea. However, protracted diarrhea can occur in children and immunocomprimised hosts such as AIDS patients. A few incidences of outbreak due to contaminated drinking water and food had occurred in the United States and developed countries recently 2, 3, 4, 5, 6. In 2006, an outbreak in the United States involved 6 states 6 and was attributed to the use of public recreational water. Cryptosporidiosis outbreak can also occur in animals which can infect the human care-givers 7.

    Cryptosporidium belongs to Phylum Apicomplexa. The complete genomes of C. parvum and C. hominis have been entirely sequenced 8, 9. Unlike other eukaryotes, these two species have simplified mitochondria 8, 9 and C. parvum does not contain mitochondrial DNA  8. The genomic data can be assessed through the NIH funded database (CryptoDB.org) at http://www.cryptodb.org/. C. canis, C. felis, C. meleagridis, and C. muris can also cause disease in humans. Other human pathogens in Phylum Apicomplexa include Plasmodium and Toxoplasma. In contrast to Plasmodium and Toxoplasma, Cryptosporidium can complete its entire life cycle within a single host such as human.  The oocysts are excreted in feces and new hosts are infected by fecal oral contamination or through contaminated water or food. Unlike bacteria, Cryptosporidial oocysts are resistant to chlorine disinfection and can survive for days in contaminated fresh water. This fact contributes,  most likely,to the 2006 outbreak in the United States 6.

Pathology:

    Endoscopic findings can vary from normal to mild changes such as mild erythema, mucoal granularity, mucosal atrophy, and mild erosion. Although Cryptosporidium can be found throughout the entire gastrointestinal tract, they are most commonly found in the small intestine and biopsy of the small intestine is a rather sensitive diagnostic method

    Histologically, two salient features for diagnosis of Cryptosporidium parvum are the characteristic 2 to 5 μm, mostly extracellular, basophilic bead-like spherical bodies that typically line the surface of the intestinal epithelial cells. Cryptosporidium can be found on the surface or the crypts of the small intestine. Giemsa stain is helpful in highlighting these organisms. The mucosa may have other changes including mixed acute and chronic inflammatory cell infiltration, crypt abscess formation,  villous atrophy and crypt hyperplasia. With a high index of suspicion and knowing the clinical history, Cryptosporidium can be picked up easily on medium (10X) magnification and confirmed on higher magnification. Confirmation by immunohistochemistry is helpful.

Differential Diagnosis:

    The major differential diagnoses include other coccidial infections. These microorganisms are all small organisms that can be recognized under the microscope, with microsporidia being the most difficult to recognize using hematoxylin and eosin stain. A high index of suspicion is the golden rule. Electron microscopy has played an important role in the past for confirmation of the diagnosis. Immunohistochemistry, ELISA, and PCR help making a faster diagnosis.

    Cyclospora cayetanensis shares two similar features with Cryptosporidium. First, they are most commonly found in the small intestine and, second, they are also found on the apical surface of the epithelial cells. They have similar appearance. However, Cyclospora is much larger and measures approximately 8-10 μm in diameter (about the size of an erythrocyte) and they are found within the epithelial cells. It should be noted that Cyclospora can bulge at the surface of the epithelial cells which mimics cryptosporidium lining the apical surface of the enterocytes. Also, Cyclosopora are negative using Giemsa stain, positive using acid fast stain with the modified Kinyoun stain or similar stains, and are autofluorescent.

     Microsporidia can affect the entire gastrointestinal tract. It is believed that they do not affect immunocompetent persons. Enterocytozoon bieneusi and Encephalitozoon intestinalis are the most commonly seen species in human infections. In contrast to Cryptosporidium, which appears as basophilic beads lining the surface of the epithelial cells, microsporidia appears as subtle vacuolations, often at the apex of the epithelial cells. These vacuoles are difficult to recognize using hematoxylin and eosin stain. Thinly cut sections may help in recognition. Also, a modified trichrome stain is a great aid in diagnosis as these vacuoles would appear red. Warthin-Starry stain also demonstrates them well. Other histologic features include villous blunting, and patchy lymphoplasmacytic infiltration in the lamina propria.

    Isospora belli and related speces are more often seen in the small intestine than the colon. They appear as perinuclear and subnuclear intraepithelial inclusions. Sometimes, organisms can be found in the lamina propria in macrophages. The trophozoites are round with a prominent nucleolus and the motile parasites are large and curved. Both of them are rather large and have a size comparable to the nucleus of the epithelial cells. A vacuole around the parasite can be seen in some but not all cases. These microorganisms are positive for Giemsa stain and PAS stain. The latter feature must be used with caution as mucin droplets are also positive for PAS. Other histologic changes include villous blunting, crypt hyperplasia, and mixed inflammatory cell infiltration often associated with many eosinophils. Fibrosis of the lamina can occur in chronic cases. Infection of Isospora can be disseminated.

References:

  1. Centers for Disease Control and Prevention Image Library- Cryptosporidium. http://www.dpd.cdc.gov/dpdx/HTML/ImageLibrary/Cryptosporidiosis_il.htm

  2. Yoshida H, Matsuo M, Miyoshi T, Uchino K, Nakaguchi H, Fukumoto T, Teranaka Y, Tanaka T. An Outbreak of Cryptosporidiosis Suspected to be Related to Contaminated Food, October 2006, Sakai City, Japan. Jpn J Infect Dis. 2007 60:405-7.

  3. Semenza JC, Nichols G. Cryptosporidiosis surveillance and water-borne outbreaks in Europe. Euro Surveill. 2007 12:E13-4.

  4. Yoder JS, Beach MJ; Centers for Disease Control and Prevention (CDC). Cryptosporidiosis surveillance--United States, 2003-2005. MMWR Surveill Summ. 2007 56:1-10.

  5. Turabelidze G, Lin M, Weiser T, Zhu BP. Communitywide outbreak of cryptosporidiosis in rural Missouri associated with attendance at child care centers. Arch Pediatr Adolesc Med. 2007 161:878-83.

  6. Centers for Disease Control and Prevention (CDC). Cryptosporidiosis outbreaks associated with recreational water use--five states, 2006. MMWR Morb Mortal Wkly Rep. 2007 56:729-32.

  7. Starkey SR, Johnson AL, Ziegler PE, Mohammed HO. An outbreak of cryptosporidiosis among alpaca crias and their human caregivers. J Am Vet Med Assoc. 2007 231:1562-7.

  8. Abrahamsen MS, Templeton TJ, Enomoto S, Abrahante JE, Zhu G, Lancto CA, Deng M, Liu C, Widmer G, Tzipori S, Buck GA, Xu P, Bankier AT, Dear PH, Konfortov BA, Spriggs HF, Iyer L, Anantharaman V, Aravind L, Kapur V. Complete genome sequence of the apicomplexan, Cryptosporidium parvum. Science. 2004 304:441-5.

  9. Xu P, Widmer G, Wang Y, Ozaki LS, Alves JM, Serrano MG, Puiu D, Manque P, Akiyoshi D, Mackey AJ, Pearson WR, Dear PH, Bankier AT, Peterson DL, Abrahamsen MS, Kapur V, Tzipori S, Buck GA. The genome of Cryptosporidium hominis. Nature. 2004 431:1107-12.