A 6 year-old Boy with a Mandibular Expansion.
December, 2007, Case 712-1. Home Page

Kar-Ming Fung, M.D., Ph.D., Glen D. Houston, D.D.S.

Department of Pathology, University of Oklahoma Health Sciences Center, Oklahoma City, OK Last update December 30, 2007

Clinical information The patient was a 6 year-old boy. He was brought to his pediatrician because of a painless mandibular expansion on his left side. His pediatrician noted a smooth expansion in his left mandible and at the same time the first molar has not erupted over the expansion. The patient was referred to the clinic of a local dental school for treatment. On physical examination, the patient was afebrile. Development of his face and skull appear to be within normal limits except for the aforementioned expansion. There was no sign of dental infection or sinus drainage site. A panoramic view was taken and demonstrated a well defined multilocular lesion that involves the molar ramus of the left side of his mandible. The lesion was excised. The followings are representative images.

     
A. B. C.      

Pathology of the case:

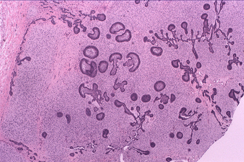
The panoramic view demonstrated a mulilocular lesion in the left ramus of the mandible. The lesion is well defined and without much sclerotic changes at the rim. The first molar is unerupted and is associated with the lesion (arrow in Panel A). On histologic section, the lesion is composed of a solid mass with numerous thin, anastomosing trabecula or cords of epithelial cells. At the and of these branching anastomosis, there the epithelial component tend to expand a little and form a small island. No larger islands are noted (Panel B and C). No calcification or eosinophilic depositions are noted in the epithelial islands. There is no microcyst formation in the epithelial component and the overall pleomophism is minimal . The embedding stroma is composed of a moderately cellular, stellate shaped, rather monotonous proliferation of cells without high grade nuclear features nor mitosis.

DIAGNOSIS: Ameloblastic fibroma.

Discussion:

General Information:

    Ameloblastic fibroma belongs to a family of tumor with mixed proliferating odontogenic epithelium and a cellular mesenchymal component that resembles dental papilla. The interactions of these two components lead to the deposition of enamel and dentin and formation of structures that may resemble tooth formation.  Members of this family include AF, ameloblastic fibroscarcoma (ameloblastic sarcoma), ameloblastic fibro-odontoma, odontoameloblastoma and odontoma.  This family of tumor ranges from true neoplasm to hamartoma with odontoma as an example of hamartomatous lesion. Clinical and imaging information are critical for the correct diagnosis as histologic features alone are difficult for making the correct diagnosis in some cases. While the majority of ameloblastoma fibromas are true neoplastic lesion that is capable to recur and, in rare situations, undergo malignant transformation, a small number of AF that occurs in young children do show evidence of maturation and suggest that they are the early or primitive stage of a developing odontoma 1, 2.

    AF occurs most commonly in young patients in the 1st and second decades of life. Occasional cases are seen in older patients. Males are slightly more affected than females. As per one of the large series, AF comprises about 6.5% of central (intraosseous) odotogneic tumors 3. They can also occur as peripheral (extraosseous) odontogenic tumors 4. Although odontogenic tumor is rare in children, AF belong to the very few that are mostly seen in children and young adults 5.

    AFs are often asymptomatic when they are small and present as swelling of the jaws when they are large. About 70% of the tumors occur in the premolar and molar region of the mandible and the premolar and molar region of the maxilla is the next most common site. Less than 10% of them occur in the canine and incisor regions. Rare cases have been reported as lesions of the maxillary sinus 6. Radiographically, they often occur as a well defined or sclerotic unilocular or multilocular radiolucent lesion and about three quarter of them are associated with an unerupted tooth. The smaller tumors tend to be unilocular. Rare ameloblastic fibrosarcoma and ameloblastic carcinoma arising from amdloblastic fibroma have been desciribed 7, 8. Hybrid tumor comprised of AF and other odontogenic tumor do occur 9. As per one of the studies, the recurrence rate is about 33% 1. In general, conservative excision with follow up is adequate initial treatment. More aggressive surgery should be considered for recurrent lesions.

Pathology:

    Grossly, these tumors occur as solid, soft tissue mass with or without a capsule. Histologically, there are anastomosing cords and of low-histologic grade epithelium that resemble odotogenic epithelium embedded within a background of cellular mesenchyma that resembles primitive dental papilla. The mesenchymal component is composed of plump stellate cells and ovoid cells in a loose matrix with little collagen deposition albeit diffuse hyalinization can be seen. The anastomosing cords are often two-cell thick cuboidal or columnar epithelium. Less commonly, the epithelial component appears as small, discret islands characterized by a peripheral rim of columnar cells surround a central core of stellate cells and such arrangement mimics the follicular stage of developing enamel organ. Microcyst formation is rarely seen in these islands and is a feature that distinguishes AF from follicular variant of ameloblastoma. Hyalinization around the epithleial cords and islands may be present.

Differential Diagnosis:

    AF must be distinguished from ameloblastomas, particularly those with desmoplastic changes. AF and ameloblastomas share the same predilection of the molar ramus of the mandible. Often, but not always, they are associated with an unerupted third molar. However, ameloblastomas occur in middle aged adults and have characteristic expansile mass with smooth, evenly rounded, multilocular radiolucency with scalloped borders. The cortex is thinned and may be penetrated. Macroscopically, the cut surface is often cystic. Ameloblastoma is essentially a locally aggressive epithelial neoplasm with features of the enamel organ. There are many islands of epithelial cells with steallate stromal cells surrounded by a peripheral rim of columnar or cuboidal epithelium that resemble the enamel organ. Strongly eosinophilic, PAS(+), degenerative substances are often seen at the center of the epithelial islands. Calcifications are not uncommon. The follicular pattern characterized by discret islands of follicles of the aforementioned epithelial island or the plexiform pattern characterized by continuous anastomosing strands of the neoplastic epithelium are present. Other pattern including the unicystic, acanthomatous (with squamous cell metaplasia), granular cell type, desmoplastic, basaloid pattern, papilliferous and keratoameloblastoma. Microcyst formation is frequent and they may coalesce to form large cysts. Granular cells, which occur singly or in large masses within the follicles, replace in whole or part of the stellate reticulum may be found. The cytoplasmic granules are PAS(+). There may be substantial squamous metaplasia to suggest squamous cell carcinoma. In some cases, the vasculature is exuberant and may mimic hemangiomas.

    Ameloblastic fibrosarcoma (ameloblastic sarcoma) are rare tumors and only the mesenchymal component shows features of malignancy but the epithelial compoment remains bland. These tumors can occur de novo but can also be associated with recurrent AF or ameoloblastic fibro-odontoma. There are usually no difficulties in recognizing the anaplastic features of the mesenchymal component. It should be noted that in some cases, particularly those with multiple recurrences, the mesenchymal component can dominant the histologic picture and suggest fibrosarcoma or other types of sarcomas. A high index of suspicion and diligent search for epithelial component is mandatory in order to make a correct diagnosis.

    Odontoameloblastomas are extremely rare. For the cases that have been described, they happen to occur in the mandible of young patients. In contrast to AF, they are destructive lesions on radiographs and have calcifying components. Histologically, these tumors have ameloblastomatous component as wlee as odontoma-like components. Biologically, they tend to behave like ameloblastoma and characterized by multiple recurrence and local aggression.

    Ameloblastic fibro-odontoma has features of AF but in addition they have enamel and dentin deposition. Ameloblastic fibro-dentinoma is best regard as a variant of ameloblastic fibro-odontoma and has only dentin deposition.

References:

  1. Chen Y, Wang JM, Li TJ. Ameloblastic fibroma: a review of published studies with special reference to its nature and biological behavior. Oral Oncol. 2007 43:960-9.

  2. Chen Y, Li TJ, Gao Y, Yu SF. Ameloblastic fibroma and related lesions: a clinicopathologic study with reference to their nature and interrelationship. J Oral Pathol Med. 2005 34:588-95.

  3. Buchner A, Merrell PW, Carpenter WM. Relative frequency of central odontogenic tumors: a study of 1,088 cases from Northern California and comparison to studies from other parts of the world. Oral Maxillofac Surg. 2006 64:1343-52.

  4. Buchner A, Merrell PW, Carpenter WM. Relative frequency of peripheral odontogenic tumors: a study of 45 new cases and comparison with studies from the literature. J Oral Pathol Med. 2006 35:385-91.

  5. Jones AV, Franklin CD. An analysis of oral and maxillofacial pathology found in children over a 30-year period. Int J Paediatr Dent. 2006 16:19-30.

  6. Pereira KD, Bennett KM, Elkins TP, Qu Z. Ameloblastic fibroma of the maxillary sinus. Int J Pediatr Otorhinolaryngol. 2004 68:1473

  7. Williams MD, Hanna EY, El-Naggar AK. Anaplastic ameloblastic fibrosarcoma arising from recurrent ameloblastic fibroma: restricted molecular abnormalities of certain genes to the malignant transformation. Oral Surg Oral Med Oral Pathol Oral Radiol Endod. 2007 104:72-5.

  8. DeLair D, Bejarano PA, Peleg M, El-Mofty SK. Ameloblastic carcinosarcoma of the mandible arising in ameloblastic fibroma: a case report and review of the literature. Oral Surg Oral Med Oral Pathol Oral Radiol Endod. 2007 103:516-20.

  9. Yoon JH, Kim HJ, Yook JI, Cha IH, Ellis GL, Kim J. Hybrid odontogenic tumor of calcifying odontogenic cyst and ameloblastic fibroma. Oral Surg Oral Med Oral Pathol Oral Radiol Endod. 2004 98:80-4.