A 54 year-old Woman with Cholelithiasis.
March, 2008, Case 803-1. Home Page

Katerine Seywerd, M.D., Elizabeth Gillies, M.D. Last update: April 10, 2008.

Department of Pathology, University of Oklahoma Health Sciences Center, Oklahoma City, Oklahoma

Clinical information: The patient was a 54 year-old woman who was admitted for a laparoscopic cholecystectomy because of cholelithiasis. The operation and recovery were uneventful. On gross examination, multiple small, multifacet black gall stones were present. The mucosa appeared largely unremarkable except for a small and elevated area that appeared particularly furry. The followings are representative images from that area.

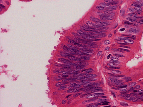
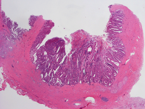
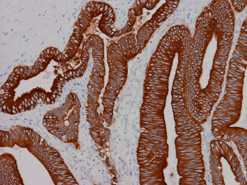
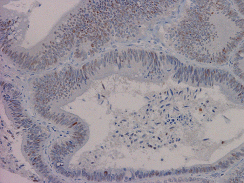
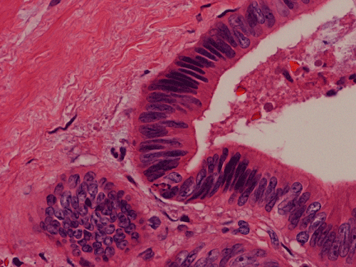
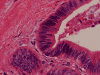
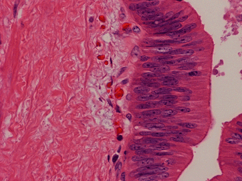
A. B. C. D. E. F.
       
G.
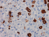
p53
H.
CK 7
       

Pathology of the Case: The area of interest corresponds to a papillomatous proliferation with long, finger like villous structures (Panel A and B). On medium magnification, there are some closely packed glands but there is no cribiform area (Panel C). On high mangification, most of the areas have single layered columnar epithelium (Panel D). In some areas, the nuclei position is closer to the luminal surface (Panel E, and F). Immuohistochemistry for p53 demonstrated weak positive staining (Panel G). The papillomatous epithelium is strongly positive for CK7 (Panel H).

DIAGNOSIS: Papillomatosis of the gallbladder with focal high-grade dysplasia.

Discussion:

General Information:

    Biliary papillomatosis (BP) is an uncommon condition characterized by multiple papillary adenomas extensively and multicentrically involving the biliary tree. (1-3)  It extends superficially along the bile duct mucosa and may arise from any site within the biliary tree, including the gallbladder, ampullary region , extra- or intrahepatic ducts and pancreatic duct 1. It occurs predominantly in middle to old age with a mean age of presentation of 63 years 1, 2. The male to female ratio is 2:1 3.

    Originally considered to be a disease of low malignant potential, extensive studies have suggested otherwise.   A study carried out by Lee et al. 4 on 58 cases of BP revealed that 48 of the 58 patients (83%) had an associated papillary carcinoma.  An additional study by Yeung et al. 8 reported a high rate of malignant occurrence of approximately 41%.  Histological analysis along with the expression pattern of mucin core proteins (MUC) and mucin carbohydrate antigens suggest that BP is a histologically borderline or low grade malignant neoplasm with high malignant potential 3. Additionally, BP often has the presence of carcinogenic indicators, the K-ras mutation and over expression of p53 3.

    The etiology of BP is not entirely clear.  It has been suggested that Clonorchis infestation, recurrent pyogenic cholangitis, congenital choledochal cyst and chronic stimulation from lithiasis and pancreatic juices are possible mechanisms. 2, 3, 4. There has also been a report of an association with cirrhosis secondary to hepatitis B and a separate incident of BP associated with hepatitis C induced cirrhosis 1. Despite its very high rate of malignant transformation metastasis is very rare and is mainly limited to the lung 1.

    Clinically it presents as recurrent colicky abdominal pain and repeat episodes of acute cholangitis with fever and jaundice 3. This is a result of intermittent or partial obstruction of the bile ducts by enlarging adenoma, fragments of tumor or mucus 4.

    Preoperative diagnosis is often very difficult. Occasionally there may be hemobilia that is severe enough to cause significant anemia.  Abundant mucin production with associated fluid and electrolyte imbalances has also been reported 1.  CA-19-9 antigen may also be elevated in up to 40% of cases 4. There is no specific radiological findings 1. Primary imaging features include an enlarged intrahepatic duct and/or common bile duct with ill defined filling defects 3.  Ultrasound may demonstrate non-specific bile duct dilatation and intraductal solid masses with no distinctive acoustic shadowing.  ERCP and MRCP usually show multiple filling defects.  With ERCP excess mucin discharge may be seen from the papilla of Vater with a lack of motility on irrigation.  MRCP may demonstrate the presence of intraductal masses connecting with a pedicle to the bile duct wall 1, 2, 3.

Pathology:

    Grossly the inner surface of the ducts is replaced by velvety papillary growths with masses filling the dilated ducts.  These soft masses are friable and white to red or tan 1, 2, 4. Microscopic findings include multiple papillary adenomas with fibrovascular cores covered by pseudostratified, columnar biliary-type epithelium with cytoplasmic mucin granules 1, 2.  Paneth cells or endocrine cells may be observed and in some regions of the papillae there is crowding leading to an adenomatous appearance 1.  BP can be classified into five categories based on the degree of  cytological and structural atypia which includes increased nuclear to cytoplasmic ratio, loss of polarity, hyperchromatism, pleomorphism, prominent nucleoli, abnormal mitosis, cribiform pattern, multilayering and the presence of invasion 1, 4, 5 as follow:

    Highly characteristic histologic pictures of BP have been described when using FNA for cytological diagnosis. As defined by Tsui et al. 6 the features include hypercellular smear, very broad and often double-cell layered sheets of ductal columnar epithelium, papillary configuration; preserved honeycomb pattern with even nuclear spacing and dysplastic features but not frankly anaplastic features.

    Lee et al. 4 has also classified BP as mucin hypersecretatory (MBP) and non-mucing producing (NMBP).  Such a classification is based on the presence of mucobilia commonly found during endoscopy.   No differences were seen with regards to survival rates between the two groups.  Acute cholangitis is more commonly seen in MBP versus those with NMBP, who tended to be more asymptomatic 4.

    It has been suggested by Abraham et al. 7 that microsatillite instability could play a role in the molecular pathogenesis of BP neoplasms.  It was found that the frequency of such microsatillite instability in BP, manifested as allelic shifts on chromosome 5q and 18q, was somewhat higher than reported for other neoplasms of nonampullary biliary epithelium. 

    The major differential diagnoses include cholangiocarcinoma, papillary adenoma (focal versus multifocal), cystadenoma, cystadenocarcinoma and liver abscess.  All such conditions may present with similar imaging findings 2.

Treatment and Prognosis:

    Treatment options will vary depending on disease extent.  BP localization is determined preoperatively using imaging and supported by the use of intraoperative ultrasound or cholangioscopy 3.  Curative resection is indicated with localized disease and may result in a survival of approximately 60 months 4.  For disseminated lesions the treatment of choice is liver transplant 2, 3.  For patients not able to withstand or not willing to undergo major surgery, local ablation, stenting and other palliative procedures are considered 3.  Palliative drainage may result in survival of up to 37 months 4. The diffuse nature and multicentricity of BP explain the high recurrence of this lesion following surgical resection 3.

Reference:

  1. Mourra N, Hannoun L et al.  Malignant Intrahepatic Biliary Papillomatosis Associated With Viral C Cirrhosis.  Archives of Pathology and Laboratory
  2. Chen T, Jan H et al.  Biliary Papillomatosis: A Case Report and Review of Literature.  Fu-Jen Journal of Medicine 2005; 3:3: 129-135.
  3. Ciardullo MA, Pekolj J et al.  Diffuse Biliary Papillomatosis : an Indication for Liver Transplantation.  Annales de Chirurgie 2003; 128 :3:188-190.
  4. Lee SS, Kim MN et al.  Clinicopathological Review of 58 Patients with Biliary Papillomatosis.  Cancer 2004; 100:4: 783-793.
  5. Vassiliou I, Kairi-Vassilatou E et al.  Malignant Potential of Intrahepatic Biliary Papillomatosis: a Report and Review of the Literature.  World Journal of Surgical Oncology 2006;4.
  6. Tsui WMS, Lam PWY et al.  Fine-needle aspiration cytologic diagnosof intrahepatic biliary papillomatosis (intraductal papillary tumor): Report of three cases and comparative study with cholangiocarcinoma.  Diagnostic Cytopathology 2002:22:239-298.
  7. Abraham SC, Lee JH et al.  Micosatillite Instability in Intraductal Papillary Neoplasms of the Biliary Tract.  Modern Pathology 2002;15(12):1309-1317.
  8. Yeung YP, AhChong K et al.  Biliary Papillomaosis : Report of  seven cases and review of the English literature.  Journal of Hepatobiliary Pancreatic Surgery 2003; 10:390-395.