A 75 year-old Man with a Mass in the Parotid Gland.
July, 2008, Case 807-1. Home Page

Vladislav Zakharov, M.D., Kar-Ming Fung, M.D., Ph.D. Last update: August 16, 2008.

Department of Pathology, University of Oklahoma Health Sciences Center, Oklahoma City, Oklahoma

Clinical information The patient is a 75-year-old white male, who was referred for evaluation of a right parotid mass, which was initially very difficult to assess clinically.   An MRI was done at the referring institution, which showed 1 x 2 cm mass located in the mid portion of the superficial portion of parotid gland. The mass was removed by a parotidectomy and yielded the following images.

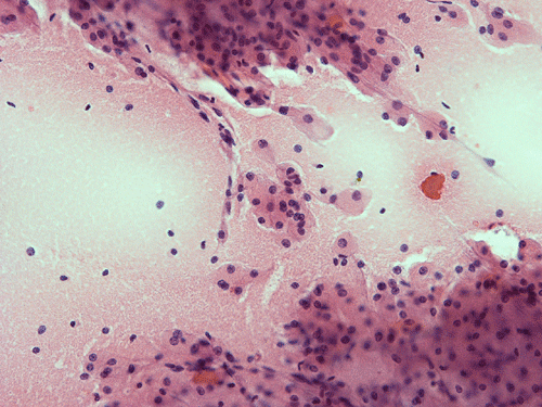
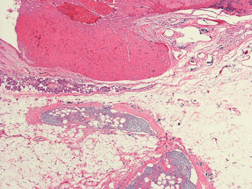
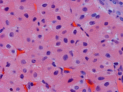
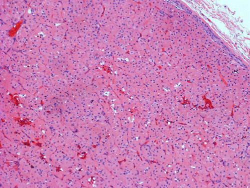
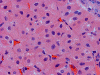
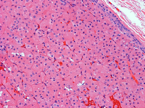
A. B. C. D. E.

Pathology of the Case: Grossly, the tumor was a small 1 x 2 cm well demarcated nodule embedded within the mid portion of the salivary gland. There is no true capsule (Panel A). The tumor cells arrange in solid sheets and without specific pattern formation (Panel B and C). There is no collagenous tissue within the tumor. The tumor cells are polygonal and rather homogeneous in size. They have low-grade, centrally located nuclei (Panel D), finely granular and distinctly eosinophilic cytoplasm. The granular feature is best appreciated in the cytoplasmic preparation that is prepared while the tumor is being examined before fixation (Panel E).  There is no necrosis or mitotic figures.

DIAGNOSIS: Oncocytoma.

Discussion:

General Information:

    Oncocytoma (synonyms:  “oxyphilic  granular  cell  adenoma,”  Meza-Chavez, 1949;  “oxyphilic  adenoma,”  Foote  and  Fra-zell,  1954;  “azidophiles  adenoma,”  Rauch 1959;  “eosinophiles  adenoma,”  Glaser,  1962) is a uncommon, benign primary tumor that can occur in both major and minor salivary glands. The oncocytic cytoplasm is resulted from metabolically altered cells that accumulate abundant mitochondria within their cytoplasm 1. This transformation is also seen in other types of tumor or non-neoplastic cells with oncocytic changes. In fact, the finding of focal, or even extensive, oncocytic metaplasia is extremely common and occurs in tumors of a multitude of organs, including the thyroid gland, parathyroid glands, and kidneys, in addition to salivary glands. A variety of salivary gland tumors can also undergo oncocytic metaplasia and mimic oncocytomas.

    Despite being a well-known entity, oncocytomas are relatively rare tumors and account for about 1% of all salivary gland neoplasm. Most commonly oncocytomas present as a painless unilateral mass, less frequently nasal or airway obstruction. On CT scan oncocytoma visualizes as a well-defined area of increased density in the host salivary gland. Most tumors are unilateral but about 7% of them are bilateral as per one of the studies. About 84% of them occur in the parotid gland, 11% occur in the submandibular gland, and 5% are found as incidental findings in cervical lymph nodes. The incidence between male and female in parotid gland is about the same but there is a male predominance in tumors occurring in the submandibular gland. The peak incidence is in the 6th decade. The occurrence of oncocytoma has an association with previous radiation exposure, sometimes up to 40 years prior to discovery of the tumor. In these patients, tumors usually present 20 years earlier than non-exposed patients 2.

    Oncocytic neoplasm of the salivary gland is recognized, as per the most recent World Health Organization (WHO) Classification 3, into two distinctive categories, namely the oncocytoma and oncocytic carcinoma.  In a WHO Classification of tumor-like lesions of the salivary glands published in 1992 4, there was a separate entity of oncocytic neoplasm, nodular oncocytic hyperplasia (or oncocytosis). Nodular oncocytic hyperplasia, which was previously recognized as a distinctive oncocytic salivary gland neoplasm, represents a multifocal process, with diffuse replacement of the parotid gland with oncocytic lobules and intervening small foci of residual normal serous glands and ducts 5. Bilateral oncocytomas have been described in patient with this condition 5.

Pathology:

    Grossly, oncocytomas are well-circumscribed, well-demarcated, round to lobulated nodules, averaging 3-4 cm in size. Oncocytomas arising from major salivary glands are usually encapsulated and those arising from minor salivary glands have less well defined borders and are usually not encapsulated. The cut surface has a typical tan-brown color. Benign oncocytomas frequently have with a central star-like scar.

    Microscopically, oncocytes have a very characteristic appearance with granular eosinophilic cytoplasm due to marked increase in the number of mitochondria mitochondria, pleomorphism of mitochondria, and a paucity of other organelles. The tumor cells have little variation among different tumors or different part of the same tumor. Characteristically, the tumor cells are rather uniform and polygonal in shape. The cytoplasmic membrane can be readily recognized. The nuclei are usually round, centrally located, and nucleoli are present. The cells are arranged in uniform solid sheets without a specific pattern  or they may aggregate into clusters, and sometimes they form duct-like structures. Thin fibrovascular septa are present. Oncocytomas may have a clear cell component secondary to accumulation of cytoplasmic glycogen 6. A PAS stain with and without diastase digestion will be very helpful in recognizing the glycogen. High grade nuclear atypia is only seen exceptionally. Phosphotungstic acid hematoxylin (PTAH) is a good stain that would stain the mitochondria dark. However, the stain is rarely called to service for this purpose as the cytoplasm is typically characteristic enough for recognition without special stain. In clear cell variants, however, PTAH may help. Mitotic figures are not readily seen. In most situations, the diagnosis of oncocytoma is not a particularly challenging one.

    The major differences between oncocytoma and primary oncocytic carcinoma of the salivary gland are infiltrating growth margin, perineural and or vascular invasion. There are also minor differnces in features in between these two tumors and these features include increased mitotic activities, cellular pleomorphism, enlarged nucleoli, necrosis.

Differential Diagnosis:

    The major challenge is to distinguish oncocytoma from salivary gland tumors with oncocytic changes and metastatic carcinomas with oncocytic changes. Two histological features are particularly helpful in avoiding these diagnostic pitfalls. First, salivary tumor with oncocytic changes is not always complete. Careful search of small areas without oncocytic changes would help to make the diagnosis. In addition, salivary gland tumors with oncocytic changes typically maintain the architecture of the original tumor even they are similar at the cytological level. Therefore, an oncocytic tumor without the characteristic pushing and well demarcated margin is more likely not an oncocytoma but oncocytic salivary gland tumor with oncocytic changes. Immunohistochemistry may also help in revealing the true lineage of these tumors.

    The most important differential diagnosis of oncocytoma includes acinic cell carcinoma and clear cell carcinoma. Mucoepidermoid carcinoma with prominent clear cell alteration and metastatic renal cell carcinoma may also be practical considerations. Also, stroma-poor Warthin tumor, oncocytic carcinoma, and metastatic thyroid carcinoma should be included.

    Metastatic tumors to the salivary gland that present as a surgical specimen are not common. The key to avoid this diagnostic pitfall is similar to primary salivary gland tumors with oncocytic changes and keep in mind possible clear cell variant of oncocytoma. The spectrum of extraglandular oncocytic neoplasm covers a wide range of benign and malignant lesions. In addition, knowing the history of the patient is very useful. Immunohistochemistry can be very helpful but false positive results can lead to confusion 7.

References:

  1. Cotton DW. Oncocytomas. Histopathology 1990;16:507 509.

  2. Brandwein MS, Huvos AG. Oncocytic tumors of major salivary glands. A study of 68 cases with follow-up of 44 patients. Am J Surg Pathol 199115:514-28.

  3. Barnes L., Eveson JW, Reichart P, Sidransky D.  WHO Classification of Tumours, Pathology and Genetics of Head and Neck Tumours. 2005.

  4. Seifert G. Tumour like lesions of the salivary glands: the new WHO classification. Pathol Res Pract. 1992 188:836-46.

  5. Hyde J, Takashima M, Dodson B, Said S. Bilateral multinodular oncocytomas of the parotid arising in a background of bilateral oncocytic nodular hyperplasia. Ear Nose Throat J. 2008 87:51-4.

  6. Davy CL, Dardick I, Hammond E, Thomas MJ. Relationship of clear cell oncocytoma to mitochondrial-rich (typical) oncocytomas of parotid salivary gland. An ultrastructural study. Oral Surg Oral Med Oral Pathol 1994 77:469-479.

  7. Holmes GF, Eisele DW, Rosenthal D, Westra WH. PSA immunoreactivity in a parotid oncocytoma: a diagnostic pitfall in discriminating primary parotid neoplasms from metastatic prostate cancer. Diagn Cytopathol. 1998 19:221-5.