A 54 year-old Man with a Small Colonic Polyp.
August, 2008, Case 808-1. Home Page

Lichao Zhao, M.D., Ph.D., Cheng Z. Liu, M.D., Ph.D. Last update: August 26, 2008.

Department of Pathology, University of Oklahoma Health Sciences Center, Oklahoma City, Oklahoma

Clinical information The patient was a 54 year-old man. On screening colonoscopy, a small nodular polyp was found. The following are representative images from this polyp.

 
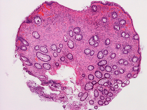
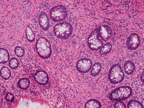
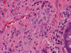
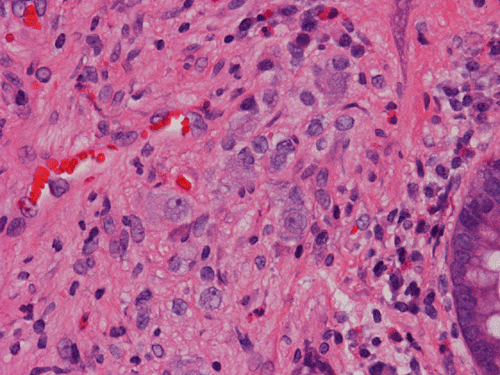
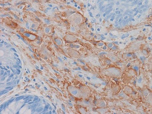
A B C D.
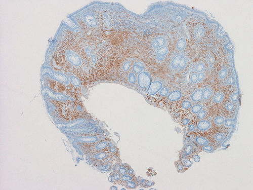
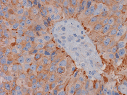
S100
E.
S100
Scanned slide

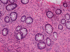
Pathology of the Case: The lesion is a small polypoid nodule of mucosa. At scanning magnification, there seems to be a mucosal flattening with erosion. There is focal reduction of glands and increased spacing in between glands (Panel A). Mucin production by the glandular epithelium is normal and there is no inflammatory cell infiltration (Panel B). There is no epithelial proliferation. On the other hand, the glands seems to be separated by spindle cells reminiscent of peripheral nerve(Panel B). On high magnification, there are some large neuronal or ganglionic appearing cell clusters in the lamina propria (Panel C). These neural tissue and ganglionic cells are positive for S100 protein (Panel D and E).

DIAGNOSIS: Solitary ganglioneuroma of colon.

Discussion:

General Information

    Gastrointestinal ganglioneuromatous hyperplastic proliferations occur in three morphological subtypes: polypoid ganglioneuroma, ganglioneuromatous polyposis, and diffuse ganglioneuromatosis 1. Solitary polypoid ganglioneuromas usually produce no characteristic symptoms and may be noted incidentally during endoscopy, surgery or autopsy as we have demonstrated in this case.

    Patients with ganglioneuromatous polyposis typically greater than 20 sessile or pedunculated mucosa and/or submucosal lesions. An association with cutaneous lipomas 1, 2, juvenile polyposis coli 3, 4, 5. Familial cases have been described 5. It is not yet certain whether this association represents a definitive syndrome.

Solitary Polypoid Intestinal Ganglioneuroma and Ganglioneuromatous Polyposis

    Polypoid ganglioneuromas often occur as small, asymptomatic polyps and these patients do not have increased risk of developing von Recklinghausen's disease (neurofibromatosis 1) or evidence or multiple endocrine neoplasia syndrome IIB (MEN IIB) 1. Characteristically, they are incidental findings at colonoscopy. The majority of them are less than 2 cm and can grossly mimic hyperplastic and adenomatous polyps during endoscopy.

    Gastrointestinal GN is uncommon and has been found in the stomach, duodenum, ileum, appendix and large intestine. Polypoid GNs are usually small, sessile or pedunculated polyps. These lesions are solitary or few in number and most of them are located in the large intestine. Histologically, neural tissue may occur as patchy distributions of ganglionic and neural parenchymal tissue in the lamina or nodular, neurofibromatosis like pattern in the mucosa and submucosa. A mixed pattern can occur. As expected, the neural component can be well demonstrated by immunohistochemistry for S100 protein and the ganglionic cells can be well demonstrated by immunohistochemistry for neurofilament proteins.

Ganglioneuromatosis unassociated with MEN IIB

    Ganglioneuromatosis is essentially hypertrophy of the autonomic plexus of the gastrointestinal tract which could involve both the submucosal and myenteric plexus. The hypertrophy is diffuse. These lesions are large, poorly demarcated, and can distort the surrounding tissue architecture. Intestinal ganglioneuromatosis has been reported in patients with NF1 1, Cowden’s disease 6, juvenile polyposis 7, and Ruvalcaba-Myhre-Smith syndrome 2. In most cases, the lesions are limited to the mucosa. In fact, a mucosal and transmural type has been recognized by some investigators 8. Sporadic cases with well characterized mutaions have also been described 9, 10 but no specific genetic aberrations have been identified in most cases. Although the coexistence of intestinal ganglioneuromatosis and colorectal adenocarcinoma has also been reported, the link has not been established 11.

MEN IIB and Mucosal Neuroma, Neuromatosis, and Intestinal Ganglioneuromatosis

    MEN II and MEM IIB are multisystem disorders featured by hyperplasia and neoplasia in multiple endocrine organs including the thyroid (medullary carcinoma), parathyroid (hyperplasia), and bilateral pheochromocytoma. MEN IIB have additional features of mucosal neuromas, intestinal ganglioneuromatosis, and musculoskeletal abnormalities.

    Mucosal neuromas and intestinal ganglioneuromatosis are important early markers of MEN IIB. They often are detected in children before the clinical manifestations of medullary carcinoma of the thyroid and pheochromocytoma. Lesions invariably manifests during the first three decades of life. Therefore, it is important for pathologists to recognize these lesions for early diagnosis.

    The most common sites are lips often in the form of diffuse enlargement.. Eye lids would also have similar manifestations. The lip and the eye lids can both evert due to enlargement. The lesions would also manifest as blankets of pin sized to nodules of a few millimeters across involving anterior one third, the tip, and sometimes the lateral aspects of the tongue. The neuromas can also affect the buccal mucosa, gingival, palate, upper respiratory tract and the bronchi 12. Histologically, there are markedly enlarged nerves within the submucosa. The process can be localized or diffuse and the lesion can be polypoid, dome-shaped or diffuse. The nerve bundles are tortuous, highly branched. Loosely packed bundle with thickened perineurium with a myxoid background is more common than tightly packed bundles. Ganglion cells are not present in mucosa neuroma but they have been described in neuromas in the lingual and ciliary nerve. In rare cases, neuromas with similar pathologic features are found in skin 12.

    Intestinal ganglioneuromatosis often manifests as constipataion and diaahrea, generalized colonic diverticulosis, megacolon, and disturbance of esophageal motility. It is an early clue for the diagnosis of MEN IIB which is associated with life threatening carcinomas. Occasionally, the pathologic changes will be found in appendix that is removed because of appendicitis or for other reasons. The salient pathologic feature is increase in all of all of the neural elements (ganlgions and their processes, Schwann cells) in the neural plexus which leads to nodular and band-like enlargements. The hypertrophic neural tissues can also be found in the muscularis propria and subserosal adipose tissue. Mucosal involvement is usually focal. Involvement of all layers of the intestine is seen mostly in patients with MEN IIB but exceptions have been reported 13. Transmural involvement due to neurofibromatosis is rare 12.

Reference:

  1. Shekitka KM, Sobin LH. Ganglioneuromas of the gastrointestinal tract: relation to Von Recklinghausen disease and other multiple tumor syndromes. Am J Surg Pathol 1994; 18:250.

  2. Chan OT, Haghighi P. Hamartomatous polyps of the colon: ganglioneuromatous, stromal, and lipomatous. Archives of Pathology and Laboratory Medicine 2006; 130:1561

  3. Mendelsohn G, Diamond MP. Familial ganglioneuromatous polyposis of the large bowel. Report of a family with associated juvenile polyposis. Am J Surg Pathol. 1984 8:515-20.

  4. Rafiq S, Hameer H, Sitrin MD. Ganglioneuromatous polyposis associated with juvenile polyps and a tubular adenoma. Dig Dis Sci. 2005 50:506-8.

  5. Mendelsohn G, Diamond MP. Familial ganglioneuromatous polyposis of the large bowel. Report of a family with associated juvenile polyposis. Am J Surg Pathol. 1984 8:515-20.

  6. Lashner BA, Riddell RH, Winans CS. Ganglioneuromatosis of the colon and extensive glycogenic acanthosis in Cowden's disease. Dig Dis Sci. 1986 31:213-6.

  7. Pham BN, Villanueva RP. Ganglioneuromatous proliferation associated with juvenile polyposis coli. Arch Pathol Lab Med. 1989 113:91-4.

  8. d'Amore ES, Manivel JC, Pettinato G, Niehans GA, Snover DC. Intestinal ganglioneuromatosis: mucosal and transmural types. A clinicopathologic and immunohistochemical study of six cases. Hum Pathol. 1991 22:276-86.

  9. Nguyen AT, Zacharin MR, Smith M, Hardikar W. Isolated intestinal ganglioneuromatosis with a new mutation of RET proto-oncogene. Eur J Gastroenterol Hepatol. 2006 18:803-5.

  10. Eng C, Marsh DJ, Robinson BG, Chow CW, Patton MA, Southey MC, Venter DJ, Ponder BA, Milla PJ, Smith VV. Germline RET codon 918 mutation in apparently isolated intestinal ganglioneuromatosis. J Clin Endocrinol Metab. 1998 83:4191-4.

  11. Shousha S, Smith PA. Colonic ganglioneuroma. Report of a case in a patient with neurofibromatosis, multiple colonic adenomas and adenocarcinoma. Virchows Arch 1981; 392: 105.

  12. Sheithauer BW, Woodruff J, Erlandson RA. AFIP Atlas of Tumor Pathology- Tumors of the Peripheral Nervous System. 3rd series, 1999.

  13. Ledwidge SF, Moorghen M, Longman RJ, Thomas MG. Adult transmural intestinal ganglioneuromatosis is not always associated with multiple endocrine neoplasia or neurofibromatosis: a case report. J Clin Pathol. 2007 60:222-3.