A 34 year-old Woman with a History of Crohn's Disease, Abdominal Pain and Two Masses in the Transverse Mesocolon.
March, 2009, Case 903-1. Home Page

Brad Chaser, M.D.,  Elizabeth Gillies, M.D. Last update: May 20, 2009.

Department of Pathology, University of Oklahoma Health Sciences Center, Oklahoma City, Oklahoma.

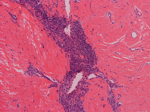
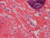
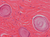
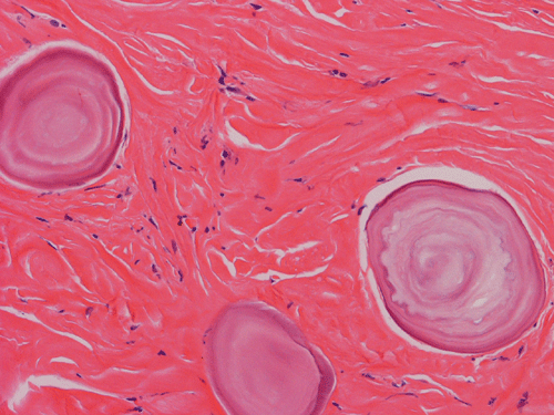
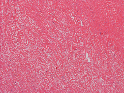
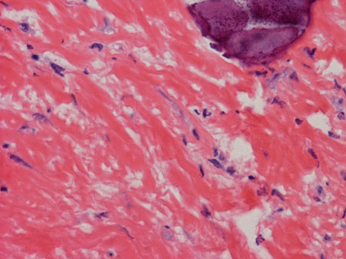
A. B. C. D. E. F.
       
G. H.        

Clinical information: The patient was a 34 year-old woman with a 1 to 1.5 years history of abdominal pain. A colonoscopy performed in the referring institute suggested Crohn's disease. On further work up, CT scan reviewed two masses in the terminal ileum suspicious of carcinoid tumor. On operation, two hard masses, 3.4 and 2.5 cm in greatest dimension respectively, were discovered in her transverse mesocolon.  The terminal ileum showed creeping fat and fibrotic thickening grossly consistent with Crohn's disease.

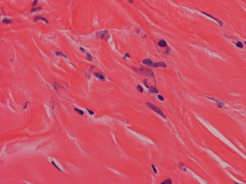
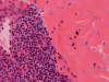
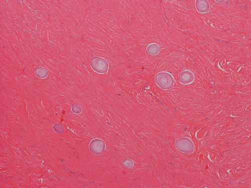
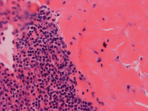
Pathology of the Case: Macroscopically, the nodules are well circumscribed, irregular, and stone hard. The cut surface is solid, gray-white, and free of necrosis. An intraoperative frozen section was performed to rule out metastatic carcinoma, Hodgkin's and non-Hodgkin's lymphoma, and sarcoma. Histologically, the material submitted for frozen section demonstrated hyalinized, hypocellular fibrous tissue with large, calcified nodules (Panel A and B). The section submitted for frozen sections was similar. The bulk of the specimen is composed of hypocellular, hyalinized collagenous tissue with occasional small irregular islands of chronic inflammatory cells (Panel C and D). The nuclei does not display significant nuclear atypia (Panel E). Many large psammoma bodies (Panel F and G)  are present and they are not associated with inflammatory cells. There are also extensive areas with no evidence of either calcifying nodules or inflammatory cells (Panel H). A segment of colon was also resected and the pathology is consistent with Crohn's disease.

DIAGNOSIS: Calcifying fibrous pseudotumor involving the mesocolon. Crohn's disease (not shown).

Discussion:

General Information

    Calcifying fibrous pseudotumor, (CFP) or calcifying fibrous tumor of soft tissue is a rare, benign, probably reactive lesion that was first described in 1988 1. It is most commonly found in the extremities and trunk of children and young adults. Uncommon lesions can occur in other locations including the breast 2, pleura 3, scrotum 4, palate 5, peritonium 6, mesenteries 7, and other locations 8, 9, 10. They may occur as an incidental finding or they may be symptomatic.  Abdominal, or mesenteric CFP lesions can be misinterpreted intraoperatively as metastatic carcinoma or other neoplastic mass.  CFP can occur at any age and the male to female ratio approaches 1:1.  Cases with multifocal lesions are rare and familial occurrence has not been documented to establish whether genetic susceptibility plays a major role in the development of a CFP.

Pathology

    Calcifying fibrous tumors are often well circumscribed, firm masses most commonly ranging in size from 1 to 4 cm in greatest dimension. However, the lesions can reach up to 15 cm.  Microscopically, the tumor is a well circumscribed mass showing diffuse hyalinization and benign appearing spindle cells intermixed with a prominent chronic inflammatory infiltrate. The inflammatory component is composed mainly of lymphocytes, eosinophils, and mast cells.  There is usually no hypercellular areas, significant atypia, or mitotic activity. Necrosis and hemorrhage are not seen. This lesion is not infiltrative. As the name implies, a hallmark of the lesion is the presence of calcifications, which may be psammomatous or dystrophic and are sometimes associated with foreign body type giant cell reaction.  It is believed these lesions are reactive because there is no documented evidence of cytogenetic or molecular disruptions that may suggest clonality 8

    It was once hypothesized that CFPs are essentially “burned out” Inflammatory myofibroblastic tumors (IMTs); however, IMTs have since been shown to involve reproducible cytogentic abnormalities, with many lesions showing proof of clonal proliferation.  IMTs cytogenetic abnormalities have been shown to involve the region of Anaplastic Lymphoma Kinase (ALK-I) gene on chromosome 2, suggesting these lesions are of neoplastic and fibroblastic origin.  This evidence is supported by a distinctive expression of ALK-I in 60% of cases as well as nonspecific smooth muscle expression 9.   Expression of CD34 is variable 8, 9, 10.

    CFPs, on the other hand, are clinically benign with no known cytogenetic abnormailities.  The immunohistochemical profile is different from IMTs 8, 9. However, CFPs are uniformly negative for ALK, supporting the idea that CFP is not of the same origin as IMTs.

Differential Diagnosis

    CFP should be distinguished from fibroinflammatory lesions, fibromatosis, and other spindle cell neoplasms .

    IMTs, as mentioned above, is an important differential diagnosis. CFPs can present with inflammatory or infection like clinical features 6, 10. IMTs have a higher frequency and tend to occur in the retroperitoneal region. Histologically, they vary from hyalinized, hypocellular area to areas with florid fibroblastic proliferations that may suggest sarcomas. Calcifications are rarely seen. The inflammatory component is lymphoplasmocytic with germinal center formation. IMTs are diffusely positive for actin and focally positive for Factor XIIIa. In contrasts, CFPs are diffusely positive for factor XIIIa and negative for smooth muscle actin or muscle specific actin. The expression of CD34 in CFPs is variable. CFPs are consistently negative for ALK-1 and S100.

    Mesenteric fibromatosis is cellular and infiltrative in nature usually involving the surrounding adipose tissue and intestinal wall. Significant inflammatory cell infiltration is not a consistent feature. In contrast CFPs do not have the infiltrative nature and are hypocellular. The inflammatory component also separates them from the mesenteric fibromatosis.

    Sclerosing mesenteritis is an idiopathic, inflammatory, and fibrotic process that occurs most commonly in the 5th and 6th decade. It may occur as a solitary nodule or multiple nodules involving the mesentery or as a diffuse process. The nodules vary from 1 to 40 cm. It is a multiphasic process characterized by a sequence of mesenteric lipodystrophy, mesenteric panniculitis, and mesenteric sclerosis. In essence, it evolves from injury to the adipose cells of the mesentery which triggers an inflammatory phase and finally sclerosis as the final consequence. It should be noted that sclerosing mesenteritis ends at the bowel wall and would not infiltrate a key feature that separates it from mesenteric fibromatosis. Dystrophic calcification resulting from fat necrosis can occur. CFPs, however, lacks the typical fat necrosis and multiphasic appearance. However, the separation is not distinct and one can argue that CFP may represent the end stage of sclerosing mesenteritis.

    As CFPs have been reported in the pleura, they must not be confused with solitary fibrous tumor. It should also be noted that solitary fibrous tumor may also occur in the abdomen. While both entities would contain keloid like collagenous fibrous area, CFP, however, lack areas with high cellularity and possess psammomatous calcifications that are lacking in solitary fibrous tumor. Cells of solitary fibrous tumor often show insinuation in the fibrous areas. While both entities are positive for CD34, solitary fibrous tumors are often positive for CD99 and bcl2.

    Gastrointestinal stromal tumor typically display high cellularity that lacks the hyalinized fibrous collagenous areas. In addition, they are positive for CD117 which would distinguish them from CFPs.

    Finally, it is important to recognize the benign nature of these lesions. Metastatic carcinoma and less common conditions associated with enlarged lymph nodes such as Hodgkin's lymphoma and non-Hodgkin's lymphoma are the more common differential. Distinction between metastatic carcinoma from CFP in the abdomen is usually not difficult as carcinoma with spindle cell metaplasia is rather uncommon in this location. However, as CFPs may occur in the neck, they must not be mistaken with squamous cell carcinoma with spindle cell metaplasia, a not uncommon phenomenon in the head and neck region. Non-Hodgkin's lymphoma is usually highly cellular and would not be confused with CFP. However, Hodgkin's lymphoma in the abdomen particularly in older patient may present as a spindle cell mass with only subtle features suggesting Hodgkin's lymphoma. A high index of suspicion is necessary to avoid this rather uncommon pitfall.

Reference:

  1. Rosenthal NS, Abdul-Karim FW.Childhood fibrous tumor with psammoma bodies. Clinicopathologic features in two cases. Arch Pathol Lab Med. 1988;112:798-800

  2. Mangat A, Schiller C, Mengoni P, Reynolds C, Jeruss JS. Calcifying fibrous pseudotumor of the breast. Breast J. 2009;15:299-301.

  3. Mangat A, Schiller C, Mengoni P, Reynolds C, Jeruss JS. Multiple calcifying fibrous pseudotumor of the pleura. Breast J. 2009;15:299-301.

  4. Varghese RG, Toi PCh, Jacob SE, Solomon A, Sharma PK, Rai R. Calcifying pseudotumor of scrotum: a case report. Indian J Pathol Microbiol. 2007;50:577-8.

  5. Mardi K, Sharma J. Calcifying fibrous pseudotumor of the soft palate--a case report. Indian J Pathol Microbiol. 2006;49:394-5.

  6. Ben-Izhak O, Itin L, Feuchtwanger Z, Lifschitz-Mercer B, Czernobilsky B. Calcifying fibrous pseudotumor of mesentery presenting with acute peritonitis: case report with immunohistochemical study and review of literature. Int J Surg Pathol. 2001;9:249-53.

  7. Delbecque K, Detroz B, de Leval L. Pathologic quiz case: An unusual lesion of the mesentery. Arch Pathol Lab Med. 2003;127:e47-8.

  8. Nascimento AF, Ruiz R, Hornick JL, Fletcher CD. Calcifying fibrous 'pseudotumor': clinicopathologic study of 15 cases and analysis of its relationship to inflammatory myofibroblastic tumor. Int J Surg Pathol. 2002;10:189-96.

  9. Hill KA, Gonzalez-Crussi F, Chou PM. Calcifying fibrous pseudotumor versus inflammatory myofibroblastic tumor: a histological and immunohistochemical comparison. Mod Pathol. 2001;14:784-90.

  10. Ben-Izhak O, Itin L, Feuchtwanger Z, Lifschitz-Mercer B, Czernobilsky B. Calcifying fibrous pseudotumor of mesentery presenting with acute peritonitis: case report with immunohistochemical study and review of literature. Int J Surg Pathol. 2001;9:249-53.