A 40 year-old Man with Headache, Nausea, and a Diffusely Infiltrative non-enhancing Lesion.
March, 2020, Case 2003-1. Home Page

Kar-Ming Fung, M.D., Ph.D. Last update: April 30, 2020.

Department of Pathology, University of Oklahoma Health Sciences Center, Oklahoma City, Oklahoma.

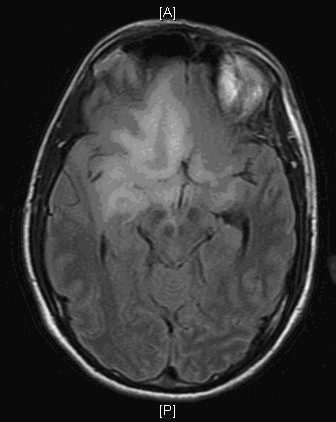
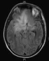
Clinical information: The patient was a 40 year-old man with a history of headache for months and suddenly develop nausea and vomiting in the morning. MRI demonstrated a diffusely infiltrative, non-enhancing lesions that dominated the right frontal lobe with extension across the genu of the corpus callosum into the left frontal region. The lesion also extended in occipital direction to the right basal ganglia, sub-insular region, and anterior temporal lobe. A resection was performed. The followings are representative images:

MRI Axial

A.

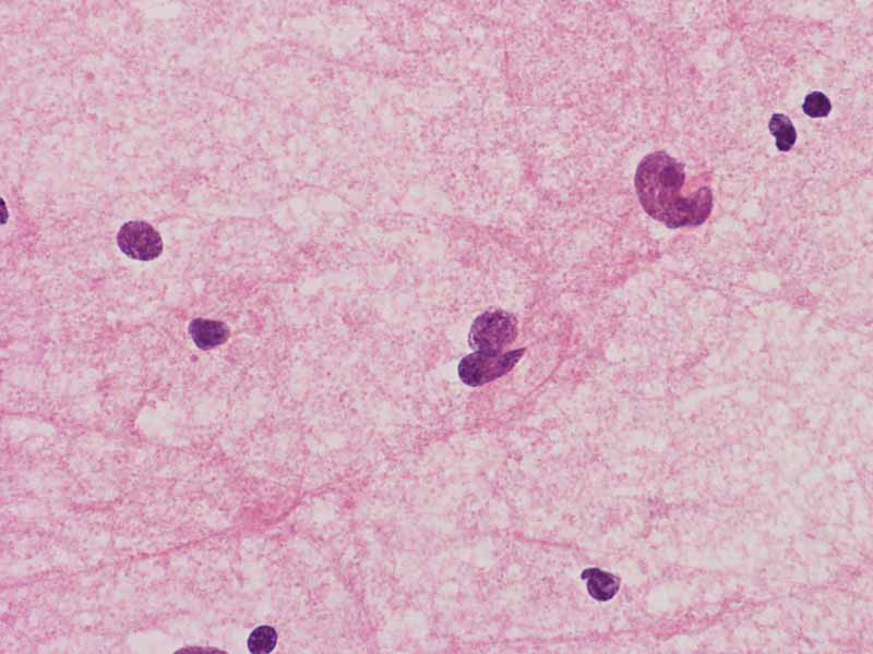
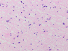
Cytologic squash preparation

B.

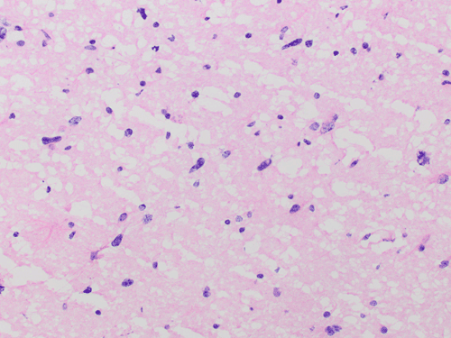
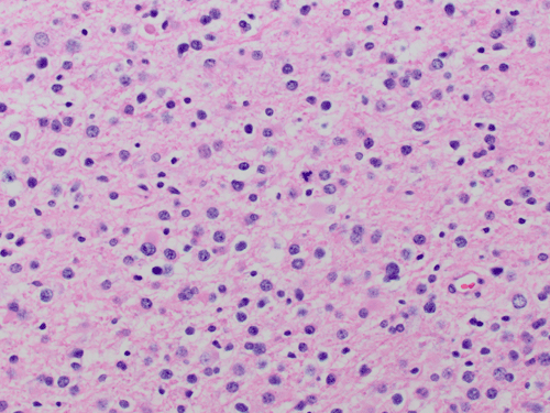
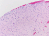
Frozen sesction

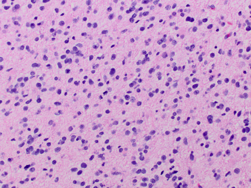
C.

D.

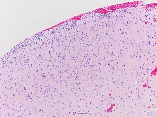
E.

F.

G.

H.

p53

I.

Ki-67

J.

GFAP

 

Comment: This case was obtained from some older archival materials about 10 years old and molecular testings were not performed.

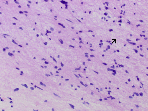
Pathology of the Case: On MRI, there is an infiltrative non-enhancing lesion that dominates the right frontal lobe but extends across the genu of the corpus callosum into the left frontal region, and extends posteriorly to the right basal ganglia region, subinsular region, and anterior right temporal lobe on his pre-operative MRI. On intra-operative consultation cytologic prepartion (Panel A), there is a rather monotonous population of cells with hyperchromatic nuclei and elongated cytoplasmic processes (arrow in Panel A) reminiscent of dripping syrup or honey and that these processes form a fine meshwork. This is a strong suggestion of glioma. Such cytoplasmic processes can be seen in astorcytomas, oligodendrogliomas, and ependymomas. On frozen section (Panel B), the tumor is rather hypocellular. However, there seems to be two sizes of nuclei present. The first are large, hyperchromatic, with elongated morphology reminscent of a baking potato. The second is a much smaller one most consistent with that of a non-neoplastic glial cells. These features indicate an infiltration of atypical neoplastic glial cells in a background of non-neoplastic cells. This is a diffuse glioma until otherwise proved.

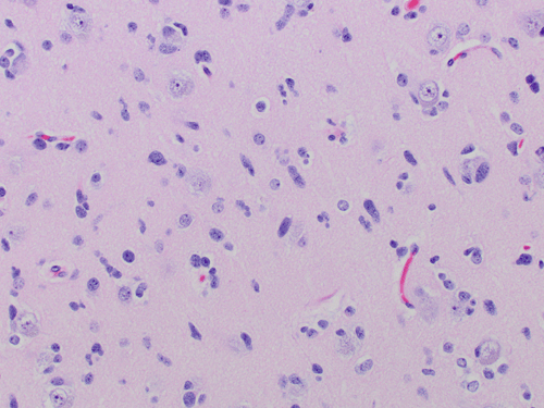
The some parts of the permanent sections (Panel C and D), there is higher cellularity in comparison to the frozen section. One should note that the cellularity of the tumor did not change. Freezing the tissue generates many large ice crystals and gives the bubbly or spongiotic appearance of glioma on frozen section (Panel B). During formalin fixation, the tumor shrink. With the same number of nuclei present, the permanent section always look more cellular than the frozen section in glioma. Also, the large bubbly look now becomes fine spongiotic change.

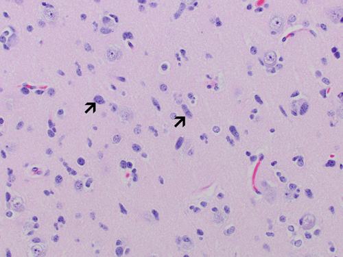
On the permanent sections, there is a significant variation in the cellularity. In focal area with high cellularity, the overall variation in nuclear size and shape are most consistent with an astrocytic tumor (Panel C) but focal areas with perinuclear halo (Panel D). Note that a mixed pattern of large, atypical nuclei and small nuclei without atypia is present. Mitotic figures are present (Panel D). Subpial extension of tumor cells (Scherer phenomenon) is also present (Panel E). Although not entirely specific, Scherer phenomenon is a strong suggestion of an infiltrating glioma. Endothelial proliferation or necrosis are not found but mitoses are more than occasional (Panel D). There is also one possible mitotic figure in the frozen section. Can you both of  them? With the nuclear atypia in the more cellular area and the presence of mitosis, the absence of endothelial proliferation, this is most consistent with a WHO grade III glioma. Although the focal perinuclear halo may suggest an oligodendroglial tumor, it is focal and not very classic. You can see this type of changes in an astrocytoma. In addition, this case does not show co-deletion of chromosome 1p and 19q. With all of these taken into consideration, this tumor is best diagnosed as an anaplastic astrocytoma, WHO grade III.

In the rest of the material, there is extensive infiltration of tumor cells in the gray matter with satellitosis present (Panel F and G). These areas, however, are less cellular.

The infiltrating atypical cells in the less cellular areas are best illustrated by immunohistochemistry for p53 and Ki-67. Many of the infiltrating tumor cells are highlighted by the Ki67 staining in areas with higher density of tumor cells and cortex where lower density of tumor cells are present (Panel  H and I respectively). Immunohistochemistry for glial fibrillary acidic protein (GFAP) (Panel J) and epidermal growth factor receptor (EGFR) highlight both neoplastic and reactive astrocytes.

DIAGNOSIS: Anaplastic astrocytoma, WHO grade III, with "gliomatosis cerebri" like diffuse involvement.

Discussion:

General:

As glioma is a large topic, only information pertinent to the current case will be discussed. Readers are encouraged to refer to standard textbooks for details.

Gliomatosis cerebri, like spongioblastoma, exists only in older WHO classifications. In the current, 2016, this entity is regarded as a variation of diffuse glioma with extensive involvement and is not recognized as a distinct entity. In general, its behavior corresponds to WHO grade III in most of the cases. In the older classifications, gliomatosis cerebriis defined as "A diffuse glioma (usually astrocytic) growth pattern consisting of exceptionally extensive infiltration of a large region of the central nervous system, with involvement of at least three cerebral lobes, usually with bilateral involvement of the cerebral hemispheres and/or deep gray matter, and frequent extension to the brainstem, cerebellum, and even the spinal cord.” (WHO 2006 Classification). In this case, there is involvement of bilateral frontal lobe and some involvement of right temporal lobe. It barely made it to the old criteria as a case of gliomatosis cerebri.

How to approach this type of case:

In this particularly case, there are areas with high cellularity and low cellularity. However, the cellularity in areas where I call it high cellularity is not really high among astrocytic tumors an glioblastomas. In cases that have growth pattern of what formerly known as gliomatosis, areas with a distinctly high cellularity may not even exists. When a stereotactic biopsy is often employed as the diagnostic procedure and the sample is obtained from an area with low cellularity, the situation can be quite challenging. Knowning the clinical history and imaging well, a high index of suspicious, and morphology based deligent study of the slides are still the key to a correct diagnosis. Although the number of infiltrating cells are low, the large atypical cells can still be recognized by morphologic criteria. Cytologic preparation typically preseve the cellular details well is particularly useful. As illustrate from an image from a different case, the dramatic different between the large atypical cells and the more normal looking cells is dramatic even though the cellularity is low [click here to see an intraoperative cytologic preparation].

In small stereotactic biopsy with a low density of infiltrating glioma cells, immunohistochemistry can be used to confirm the diagnosis. In the experience of the author, Ki67 is the most useful one as it would light up the atypical cells. When Ki67 is used for this purpose, one must know that some reactive condition can lead to also a modest increase in Ki67 positive cells but these cell should not have the enlarged and atypical nuclei. Also, gliomas do not tend to have as high labeling index as medulloblastoma. The lack of Ki67 positive is not full prove for the absence of cancer. Immunohistochemistry for IDH1-R132H can be used to light up the tumor cells and this one is rather specific. Also, it lights up most if not all tumor cells so the problem that only some tumor cells are labeled by immunohistochemistry for Ki67 would not happen here. However, gliomas in older patients are often negative IDH mutation and negative for IDH1-R132H. When the tumor density is too low, molecular testing of IDH1 and IDH2 mutation will not be helpful as it would be below the detection limits.

P53 is the least reliable and least useful method. First, the tumor has to be p53 positive. Second, immunohistochemistry for p53 does not always label all tumor cells. The same is true for ATRX which is a serrogate marker of p53 mutation. In ATRX, the non-immunoreactive cells (negatively stained cells) indicated mutation. Picking out a negative cells from a sea of positive cells makes it even more challenging.

Related cases & online slides:

Low-grade glioma online slide

BP-2019-04-402