A 37 year-old Woman with an 8 cm Popliteal Mass.
June, 2020, Case 2006-1. Home Page
Kar-Ming Fung, M.D., Ph.D. Last update: May 25, 2020.

Department of Pathology, University of Oklahoma Health Sciences Center, Oklahoma City, Oklahoma.

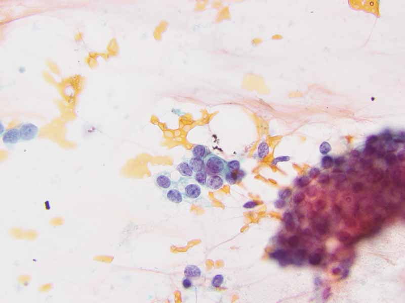
Clinical information: The patient was a 37 year-old woman with a deep 5.5 cm popliteal mass. An ultrasound guided FNA was performed and yielded the followings.

 
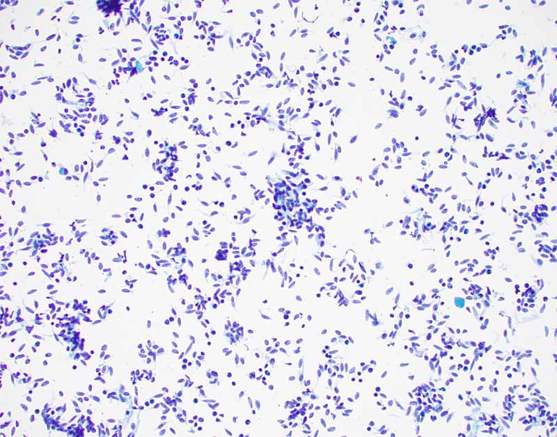
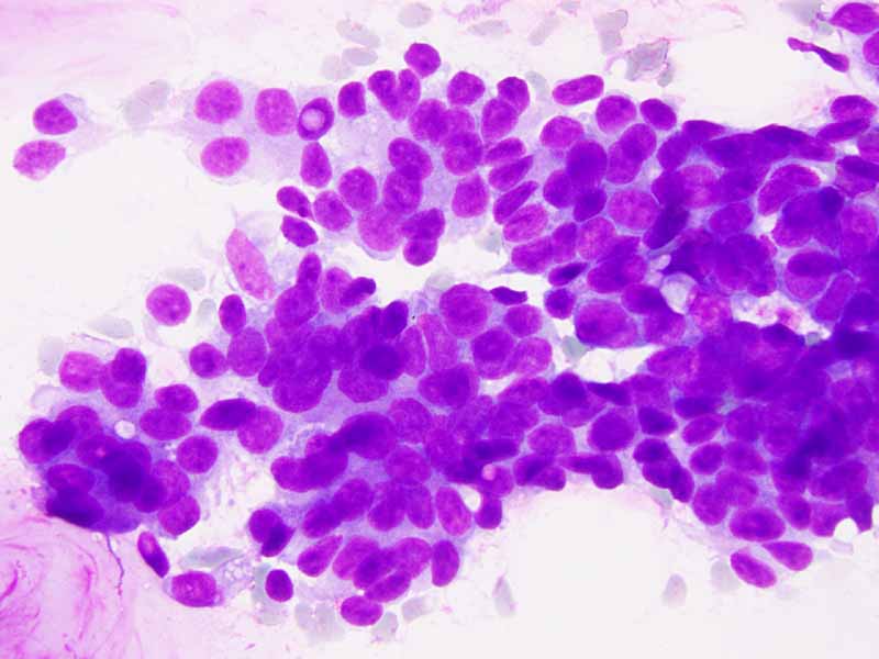
A.
DiffQuick
B.
DiffQuick
C.
DiffQuick
D.
DiffQuick
 
 
E.
PAP Stain
F.
PAP Stain
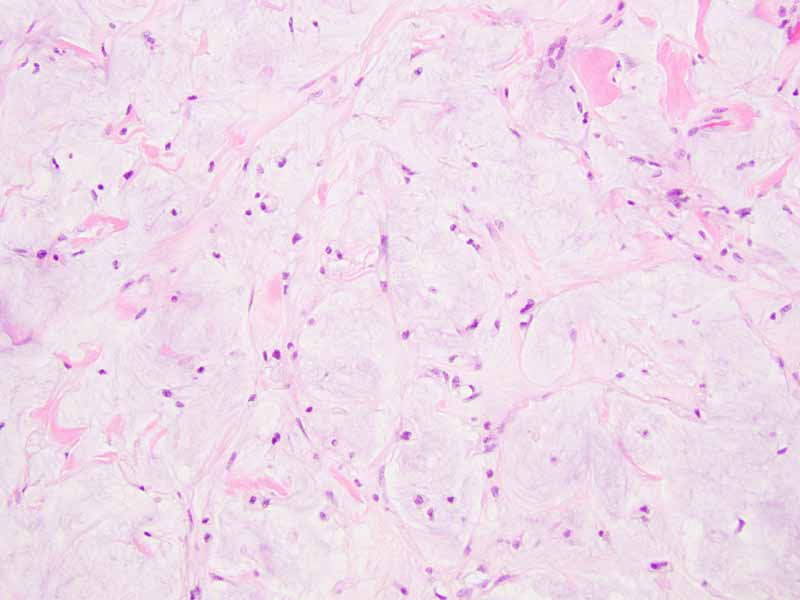
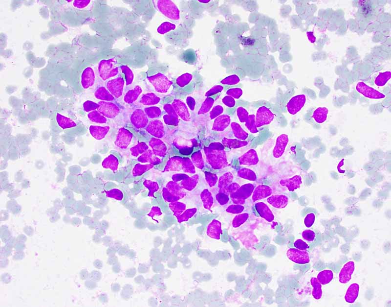
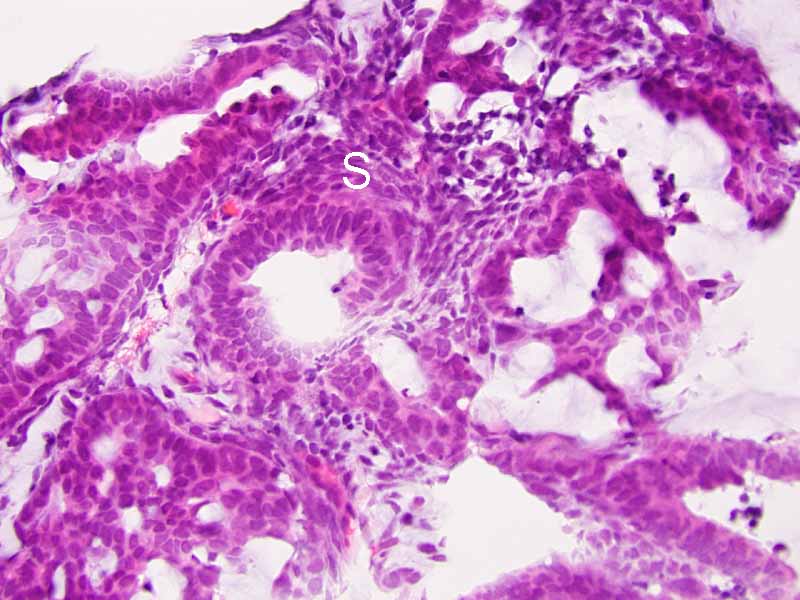
G.
Cell block
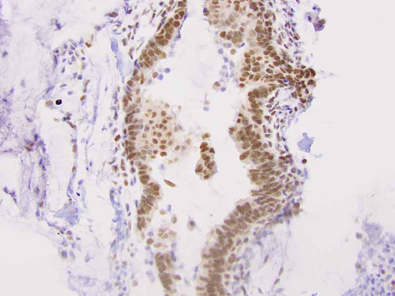
H.
TLE-1
 

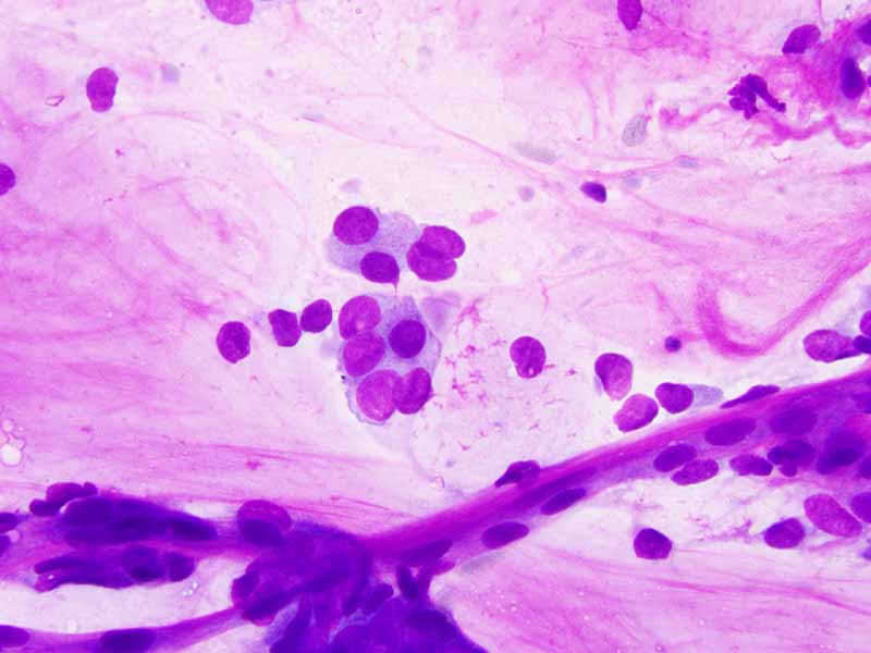
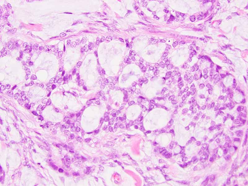
Cytology of the Case: The background is dominated by a substantial amount of mucoid material (Panel A) and admixed with these materials are small clusters of neoplastic cells. Some delicate blood vessels are also present (Panel B). A small number of tumor cells are adhered to these blood vessels but there is a lack of genuine papillary arrangement. The cells are epithelioid and contains a moderate amount of cytoplasm (Panel B, C, D, E, and F) that are finely vacuolated (Panel D and F) in some of them. The neoplastic cells are rather adhesive to each other. The nuclei are hyperchromatic and without pseudonuclear inclusion in most of them. There is no prominent nucleoli A minute amount of tissue is present in the cell block (Panel G). There is definitive gland formation. Some spindle neoplastic cells (S in Panel G) are also present next to the glandular structure. The nuclear features of these cells are identical to that of the glandular cells.

Immunohistochemistry: The tumor cells are positivefor TLE-1 (nuclear staining) (Panel H) and cytokeratin 7 but negative for GCDFP-1.

Cytogenetics: FISH was performed and no rearrangement of SS18 was demonstrated.

Differential diagnosis: This is a challenging case. The epithelioid features is strongly suggestive of a carcinoma and with with antatomical location taken into consideration, a metastatic carcinoma. The substantial amount of mucoid material is suggestive of adenocarcinoma. The popliteal fossa is, however, an uncommon location for metastasis. Besides, the patient is relatively young and has no history of carcinoma. Metastatic workup was negative. Tumor of the skin adnexa is a consideration but this tumor is deeply located. The tale telling histopathologic feature is the small amount of spindle cells adjacent to the glandular epithelial cells. The nuclei of these cells are identical to the epithelial cells (S in Panel G). One of the few sarcomas that can have a biphasic epithelial and spindle cell components is synovial sarcoma. Synovial sarcomas are common around large joints especially the knee. The positive immunoreactivity of TLE-1 is supportive of synovial sarcoma.

I.
Online slide
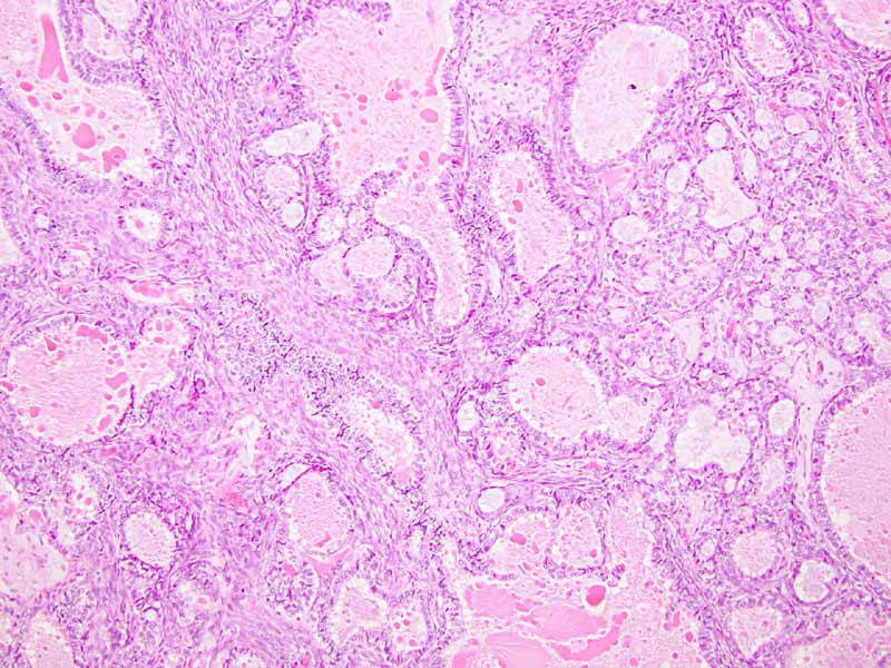
J. K L. M. N.
 
O. P. Q.
PAS
R.
Cytokeratin 7
S.
TLE-1
 

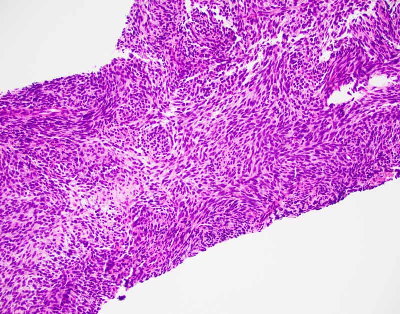
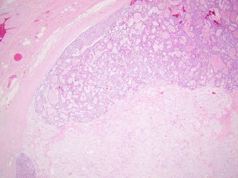
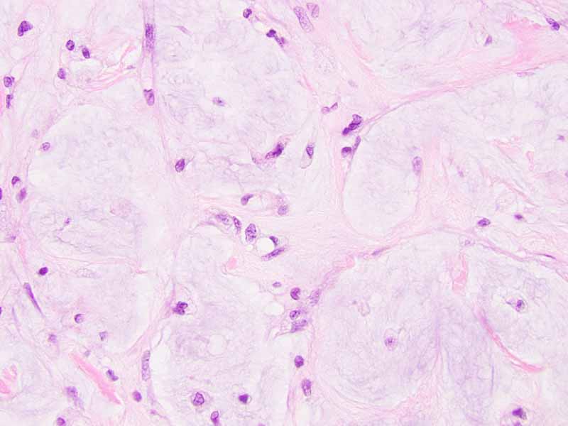
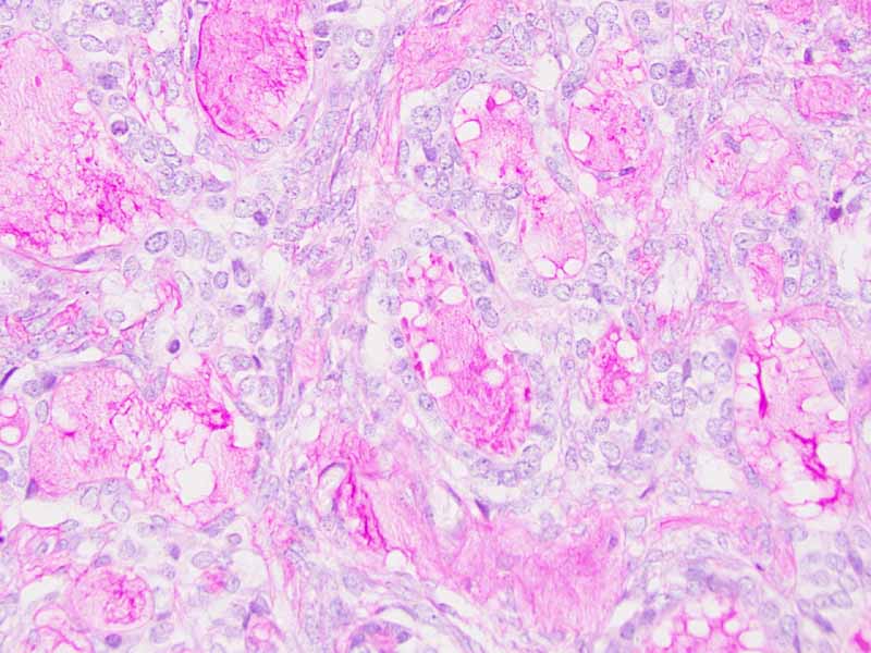
Histology of the Case: The lesion is an encapsulated neoplasm a glandular component and a myxoid component (Panel I and J). The two comonents are well demarcated without transition from one into another. Although the myxoid component (Panel K and L) is not present in the cell block of the FNA, the myxoid substance of the FNA comes from this myxoid component. The glandular component (Panel M, N, O, P) is composed of well formed glands with PAS positive mucoid content in the lumen (Panel Q). In between the well formed glands are spindle cells with nuclear features identical to that of the glands (S in Panel N). This component is present in the cell block of the FNA and is the major clue for the diagnosis.

Immunohistochemistry: The tumor cells are also positive for cytokertin 7 and TLE-1. Positive immunoreactivity for cytokeratin 7 (Panel R) and EMA are also present extensively in the epithelial cells. The spindle cell component are positive ofr EGFR and CD99. Both epithelial and spindle cell components show positive nuclear immunoreactivity for TLE-1 (Panel S).

Cytogenetics: FISH was performed and no rearrangement of SS18 was demonstrated.

Highlight of this case: This case has a myxoid predominant and epithelial predominant component that are distnctly separated. Small FNA from these components can lead to different interpretation that span from a myxomatous soft tissue tumor to metastatic carcinoma. Although the histopathology and immunohistochemical profile are classic for a biphasic synovial sarcoma, it lacks the classic translocation of SS18 which is seen in most synovial sarcomas.

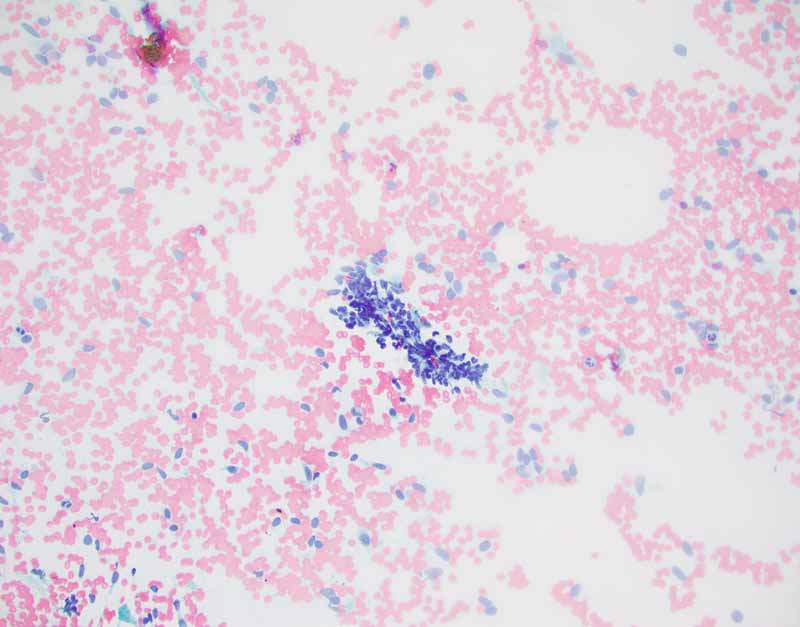
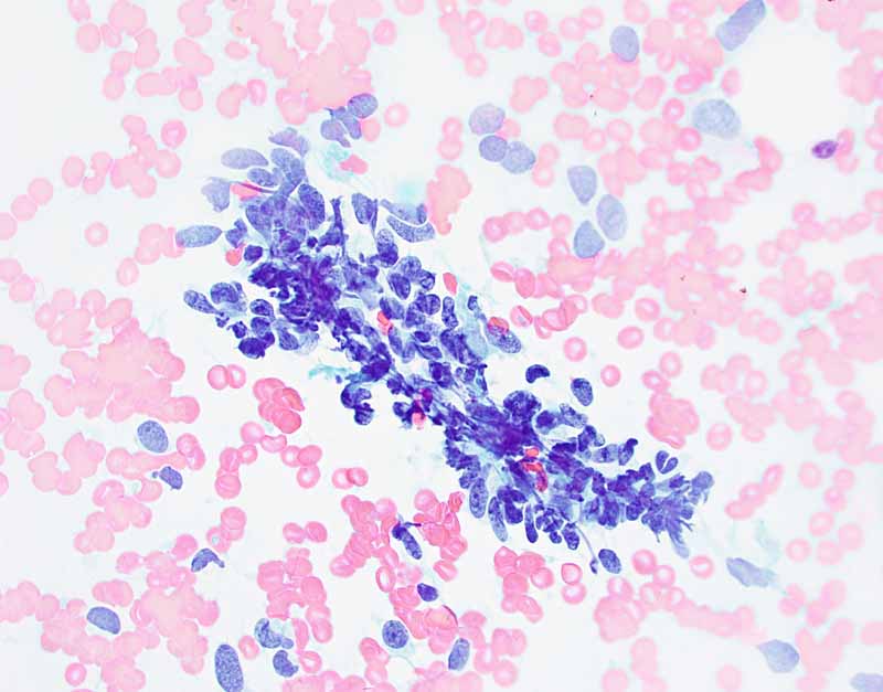
For Comparison: The following images were obtained from the FNA and core biopsy of a monophasic spindle cell synovial sarcoma. In general, the nuclei are rather monotonous and small. They are typically elongated and are very adhesive to each other. Typically, the amount of cytoplasm is minimal or most of the cells are naked nuclei. This case has SS18 rearrangment on FISH.

 
1.
DiffQuick
2.
DiffQuick
3.
PAP Stain
4.
PAP Stain
 
 
5.
Cytospin
6.
Cytospin
7. 8.  
DIAGNOSIS: Biphasic synovial sarcoma.

Discussion: General Information    Pathology    Immunohistochemistry    Molecular Pathology    Differential diagnosis   Related Interesting Cases

General:

    Synovial sarcomas [Review: Thway K and Fisher C, 2014] is an uncommon but not rare tumor. This entity spans a spectrum of histopathologic features and immunohistochemical profile. With its propensity to occur in almost any site, correct diagnosis can be a diagnostic challenge. It is relatively sensitive to chemotherapy in comparison with other sarcomas so a correct diagnosis is important.

     Synovial sarcoma are most commonly seen in younger patients with slight male predominance. It typically occurs in para-articular region of large joints particularly the knee but it occurs in almost any site. However, it is neither common in joint cavities nor in arears with apparent close association with synovial tissue. Although it is one of the first sarcomas to be defined by the presence of a specific chromosomal translocation involving SS18(SYT) typically SS18-SSX1 and SS18-SSX2, these genetic changes are not detected in 100% of synovial sarcomas.

Histopathology:

   Synovial sarcomas span the spectrum from monophasic fibrous type to biphasic type with both distinct epithelial and spindle cell components in varying proportion, to epithelial-predominant type to poorly differentiated (round cell) type. Both the epithelial-predominant type and poorly differentiated type are uncommon. Monophasic fibrous type is the most common.

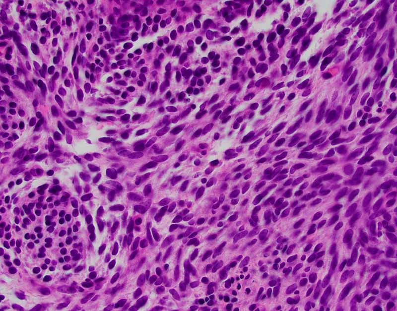
   The classic biphasic type is readily recognizable by the presence of epithelial component in a background of spindle cells similar to fibroblasts. Well-defined sharp transition rather than gradual transition is typical between the epithelial and spindle cell component. The glandular growth pattern can vary from obvious to vague and, in the later case, clefts resulted from shrinkage due to processing must not be mistaken as genuine glandular lumens. The glandular epithelial cells are usually cuboidal to columnar. Secretions within the lumen can be seen and squamous metaplasia may be present. The spindle cell component is typically composed of monotonous well-oriented plump spindle cells with indistinct cytoplasm and oval to elongated hyperchromatic nuclei. Fibrotic areas with hyalinization and myxoid changes can be found. In about 20% of cases, calcifications with or without ossification is present and act as a good diagnostic clue. Substantial number of mast cell is another diagnostic clue.

    Monophasic fibrous synovial sarcoma is typically composed of monotonous solid sheets of small spindle cells with indistinct cytoplasmic membrane and small hyperchromatic nuclei without nucleoli. Vague palisading arrangement can be present. Usually, there is no intervening collagen fibers. Some foci of epithelioid morphology can be seen. Secondary changes such as calcifications and myxoid changes as seen in the spindle cell component of the biphasic type can also be found. Staghorn shaped blood vessels similar to those in hemangiopericytoma can be part of the histopathologic picture.

    Epithelial-predominantly synovial sarcoma, also known as monophasic epithelial synovial sarcoma, is a rare entity. They closely mimic carcinoma and can be a diagnostic pitfall. This type of synovial sarcoma typically contains a small amount of spindle cell component that worth to be hunted down. The term monophasic epithelial synovial sarcoma may well be theoretical concept.

    Poorly differentiated areas can superimpose on any of the three subtype to constitute a poorly differentiated synovial sarcoma. This entity spans a spectrum of histologic features from small cell to spindle cell, to large cell or epithelioid with round nuclei and prominent nucleoli. Rhabdoid features can be part of the histologic feature. It is, in reality, a high-grade transformation of synovial sarcomas. In one study, about 62% of synovial sarcoma had poorly differentiated areas and the poorly differentiated component could represent up to 90% of the tumors [Machan SK et al., 1999]. These tumors are more aggressive and have a higher metastatic rate. When the high-grade component dominates the histopathologic picture, the underlying synovial sarcoma can be difficult to be recognized.

Immunohistochenistry:

   TLE1 is a highly sensitive but not entirely specific marker for the diagnosis of synovial sarcoma [Foo WC et al., 2011; Jagdis A et al., 2009; Terry J et al., 2007] as TLE1 is expressed in other soft tissue and bone tumors [Kosemehmetoglu K et al., 2009] including endometrial stromal sarcoma, acral myxoinflammatory fibroblastic tumor, schwannoma, liposarcoma, and others. CD99 is positive in about 60%-70% of synovial sarcomas [Pelmus et al., 2002; Olsen SH et al., 2006]. This feature can result in confusion with Ewing sarcoma.  Expression of either TLE1 or CD99 has been demonstrated in some carcinomas but co-expression of these two markers in carcinomas is rare [Zaccarini DJ et al., 2018].

   EMA may well be the most sensitive marker for recognition of synovial sarcoma [Pelmus et al., 2002; Olsen SH et al., 2006]. Keratin and EMA are widely expressed by synovial sarcomas [Guillou L et al., 1997]. Expression is usually patchy rather than diffuse but epithelial components are strongly positive. The number of positive cells in monophasic fibrous synovial sarcoma can be scant and may requires extensive sampling before being demonstrated. These markers are less expressed in poorly differentiated synovial sarcomas [Van de Rijn et at;, 1999]. Because of positive immunoreactivity for S100 in some synovialsarcoma particularly the monophasic fibrous type, misdiagnosis as a malignant peripheral nerve sheath tumor can be a diagnostic pitfall. Reduced expression of SMARCB1/INI1 can be seen in synovial sarcoma regardless of whether rhabdoid changes are present [Kohashi K et al., 2010]. Synovial sarcomas are also positive for Bcl2 [Suster S et al., 1998] and calponin [Fisher C et al., 2003].

Molecular Pathology:

   Translocation involving t(X;18)(p11.2;q11.2) translocation involving SS18(SYT) on chromosome 18  is present in over 90% of synovial sarcoma regardless of the type [Sandberg AA et al., 2002]. SS18-SSX1 is more common than SS18-SSX2. SS18-SSX2 is typically seen in monophasic fibrous synovial sarcoma and SS18-SSX1 is typically associated with biphasic synovial sarcoma [Antonescu CR et al., 2000; Kawai A et al., 1998; Ladanyi M et al., 2002]. Both translocations can be reliably detected by FISH or RT-PCR [Amary MFC et al., 2007]. TLE1 is upregulated in synovial sarcoma [Nielsen TO et al., 2002; Nagayama S et al., 2002] and TLE1 can be detected by immunohistochemistry.

Rare synovial sarcoma with typical histopathologic features and immunohistochemical profile but without SS18-SSX fusion could be harboring fusion with unusual transcripts that cannot be detected using routine methods. A large study involving 243 patients association of SS18-SSX2 with better overall survival in patients with localized disease at the time of diagnosis then those with SS18-SSX1 [Ladanyi M et al., 2002]. In another study, SS18-SSX1 fusion was associated with early, but not late recurrence [Canter RJ et al., 2008].  

Differential Diagnosis:

   Although synovial sarcoma shows a spectrum of histopathologic patterns that can result in diagnostic difficulties, immunohistochemistry for TLE-1 and FISH or PCR for the detection of SS18 are two powerful tool to confirm the diagnosis. The key to correct diagnosis is, therefore, a high index of suspicion. Given the known success of chemotherapy on synovial sarcoma, correct diagnosis has clinical importance.

   Monophasic fibrous synovial sarcoma may resemble a number of spindle cell neoplasms including sarcomatoid carcinoma, malignant peripheral nerve sheath tumor (MPNST), leiomyosarcoma, hemangiopericytoma/solitary fibrous tumor, and fibrosarcoma.

   Sarcomatoid carcinomas usually have a much higher nuclear grade than monophasic fibrous synovial sarcoma. Their nuclear grade is more comparable to poorly differentiated synovial sarcoma. In contrast, expression of cytokeratin in sarcomatoid carcinomas is usually minimal or absence and monophasic fibrous synovial sarcomas typically have patchy to minimal expression of cytokeratin. History and location of the tumor would also provide good clues for the differentiation.

   MPNST overlap with monophasic fibrous synovial sarcoma in both histologic features and immunohistochemistry. In particular, MPNST is variably positive for TLE1 and broad spectrum cytokeratin. This feature may suggest monophasic synovial sarcoma. On the other hand, S100 is expressed in some monophasic fibrous synovial sarcoma. This creates another confusion. While loss of H3K27Me3 is present in up to about 60% of MPNST, it can be seen in rare cases of monophasic fibrous synovial sarcoma [Pekmezci M et al., 2017; Schaefer IM et al., 2016]. When there is a doubt, FISH or PCR should be employed to confirm the diagnosis.

   The diagnosis of biphasic synovial sarcomas arising from classic locations are usually not a diagnostic challenge. In uncommon sites, however, it can be challenging. The differential diagnoses include carcinomsarcoma, and glandular MPNST. In particular, when a biphasic synovial sarcoma occuring in peritoneum and pleuropulmonary region, these biphasic tumors can mimic malignant mesothelioma. Malignant mesothelialoma occurs in older patients and, histologically, the glandular and spindle cell component usually display a gradual rather than abrupt transition between the two components. WT1 is often positive in mesothelioma but negative in synovial sarcoma.

   When a biphasic synovial sarcoma is dominated by epithelial or glandular component, metastatic carcinoma and adnexal tumor of skin must be seriously entertained. Astute identification of the spindle cell component in between the epithelial component and correlation with clinical and imaging features form the key for correct diagnosis.

   When classic synovial sarcoma areas are identified in a poorly differentiated synovial sarcoma, the diagnosis is less challenging but it is not uncommon for the poorly differentiated component to make up over 90% of the tumor [Machan SK et al., 1999]. Poorly differentiated synovial sarcoma mimic other high-grade tumors with similar features. Poorly differentiated synovial sarcoma tend to mimic small round cell tumors such as Ewing sarcoma, neuroblastoma, mesenchymal chondrosarcoma, alveolar rhabdomyosarcoma, and high-grade, non-Hodgkin lymphoma. When large epithelioid cells or rhabdoid cells are present in a poorly differentiated synovial sarcoma, they may be confused with epithelioid sarcoma and extrarenal rhabdoid tumor in addition to metastatic carcinoma and sarcomatoid carcinoma.

While intraosseous location is common in Ewing sarcoma, it is rare in synovial sarcoma. Ewing sarcoma, however, overlaps with poorly differentiated synovial sarcoma in terms of age of onset, histologic features, and immunohistochemical profile. In particular, CD99 is positive in 60%-70% of synovial sarcomas (both cytoplasmic and membranous staining) [Pelmus et al., 2002; Olsen SH et al., 2006] and Ewing sarcomas also express cytokeratin. However, aberration of EWSR1 is specific for Ewing sarcoma and aberration of SS18 is specific for synovial sarcoma. These genetic tests should be able to distinguish most of the cases.  

Related Interesting Cases: