Case No.: A-001  Quiz 

Diagnosis: Acute Appendicitis

Organ: Vermiform Appendix

Last Updated: 04/23/2017

 

Online Slide/Full Screen/Open with ImageScope

Hematoxylin & eosin

Area 1: This image is taken from the area where there is transmural acute inflammatory cell infiltration that extends from the lumen to the adipose tissue. A large part of the mucosal epithelium is destroyed by the acute inflammation (black arrow). Some residual mucosal epithelium and glands are present (white arrows).

Hematoxylin & eosin

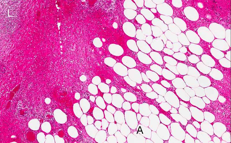
Area 2: The acute inflammation extend through the adipose tissue (A) like a sharp thorn penetraing into a bag of ping pong balls. The lumen side (L) has numerous leukocytes, some are degenerative.

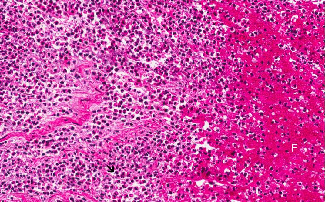
Hematoxylin & eosin

Area 2: The inflammatory cells are almost exclusively neutorphils (arrow) and the inflammatory cells are mixed with fibrin material (F).

History: The patient presented with right lower quadrant pain for three days. An appendectomy was performed and yielded the current specimen.

 

Histologic Highlights of this Case:

  • This is a longitudinal section of the tip of the appendix. You can see that the wall of the appendix is greatly thicken in contrast to the normal appendix.

  • In some of the areas, the mucosa is not intact. Instead of mucosal lining, these areas are lined by acute inflammatory cells predominantly composed of leuckocytes. Many of them are non-viable. This indicates that this is an acute inflammation. Chronic inflammatory cells such as lymphocytes and plasma cells are characteristic for chronic inflammation. Since this is acute inflammation, the amount of lymphocytic and plamsacytic infiltration is minimal. There are, however, many lymphocytes in the field also but many of them belongs to the normal population of mucosal associated lymphoid tissue (MALT) rather than lymphocytic and plasmacytic infiltration resulted from chronic inflammation.

  • The result of accumulation of dead leukocytes will lead to pus formation as a gross pathologic finding.

  • There is also full thickness acute inflammatory cell infiltration with extension to the surround adipose tissue.

  • You can see that the entire wall of the appendix is involved by the acute inflammation and is weaken. If an appendectomy is not performed on time, this appendix is very likely to rupture and causes acute peritonitis.

Original slide is contributed by Dr. Kar-Ming Fung, University of Oklahoma Health Science Center, Oklahoma, U.S.A.

 Home Page