Case No.: N-001  Quiz 

Diagnosis: Germinoma    

Organ: Pineal

Last Updated: 12/20/2009

 

Online Slide/Full Screen/Open with ImageScope

 

 

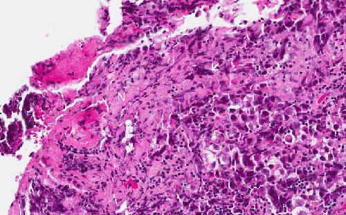
Hematoxylin & eosin

Area 1: The pink substance indicate the necrotic tumor tissue (N). The very dark blue, elongated material are nuclei with crush artifacts (arrow).

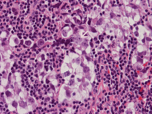
Hematoxylin & eosin

Area  2: The large germinoma cells and the small reactive lymphocytes are in sharp contrast. Pay attention to the large nucleoli (arrow).

History: This specimen was obtained from the pineal of a 24 year-old man with a mass in the pineal gland. He present with blurred vision and other symptoms pointing to hydrocephalus. An endoscopic biopsy was performed and obtained and yielded this specimen.

 

Histologic Highlights of this Case:

  • The tumor is highly cellular. The blood around the tumor is more likely due to the procedure than genuine hemorrhage. In some areas of the tumor, there is some necrosis which appears as pink, amorphous substances (Area  1).

  • The tumor is composed of large, polygonal cells with prominent nucleoli. These tumor cells also have only a small amount of cytoplasm. The bulk of the cell is occupied by the nucleus. Although enlarged, the tumor cells are rather homogenous in size (Area 2).

  • The tumor cells are surrounded by numerous lymphocytes. These are reactive lymphocytes and are mostly composed of T-cells.

Bonus images:

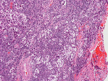
Hematoxylin & eosin

This medium-magnification photo shows the intermingled relationship between the neoplastic germinoma cells and the reactive lymphocytes.

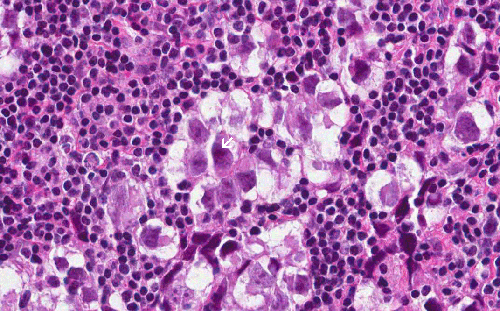
Hematoxylin & eosin

The nuclear details of both the germinoma cells and reactive lymphocytes are well demonstrated in this high-magnification photo. Note the large and prominent nucleoli (arrow).

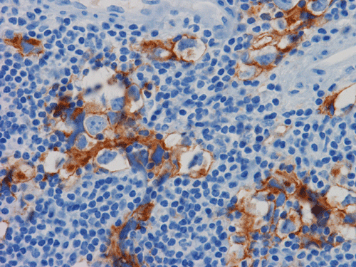
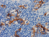
Immunohistochemistry

CD117: Germinoma cells are positive for CD117 (c-kit) which is a sensitive but not very specific marker for germinoma cells.

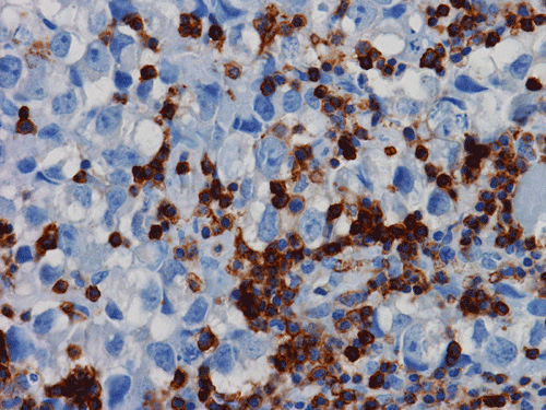
Immunohistochemistry

Placental alkaline phosphatase (PLAP): Germinoma cells are positive for placental alkaline phosphatase (PLAP) which is a specific marker for germinoma but usually not as sensitive as CD117.

Immunohistochemistry

LCA: The reactive lymphocytes are strongly positive for leukocyte common antigen (LCA) but the germinoma cells are not. This is a good way to confirm that these large cells are not lymphoma cells.

 

Original slide is contributed by Dr. Kar-Ming Fung, University of Oklahoma Health Sciences Center, Oklahoma, U.S.A.

 Home Page