CERVIX CANCER

 

The first research effort that I initiated upon joining the OB/GYN Department was to understand the molecular and cellular changes that occur when a normal cell progresses to a preneoplastic tumor and on to a metastatic lesion. Cervical cancer was an appropriate model to start with because of the preneoplastic lesions induced by Human Papillomavirus (HPV) could be used for comparison with normal and cancerous cells. High risk HPV types are etiologic agents found in the vast majority of cervix tumors. They induce genetic instability leading to cancer. I utilized the skin equivalent model to develop a model of cervical tumor progression that compared the stages of normal, HPV-immortalized, low grade and high grade cervical tumors. Unlike conventional monolayer tissue culture, this organotypic model generates 3-dimentional  tissue that can be evaluated with histology and immunohistochemistry. My article in Tissue and Cell 2: 269-274,1995 was the first demonstration that organotypic cultures of cancer cell lines could express proliferation and differentiation markers in patterns that represent the grade of tumor from which they were derived, thus validating the model system. Decreased expression of an oncogene (epidermal growth factoor receptor (EGF-R)) and a proliferation markeer (Ki-r7/myb) by retinoid treatment of these cervix cancer cultures is reported in  Gynecologic Oncology 66:  114-121,1997 and J. Lower Genital Tract Disease, 3: 1-5, 1999, respectfully.

 

 

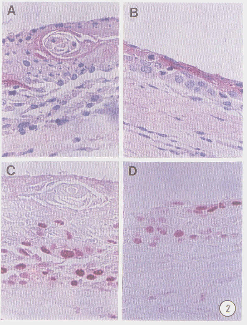
Organotypic Cultures Immunohistochemically Stained with Proliferation and Differentiation Markers.
 

 

 

 

Organotypic cultures of HPV-immortalized preneoplastic keratinocytes called PPE-4 (A and C) and a cervical tumor cell line derived from a low grade tumor (CC-1) (B and D) were stained with an antibody to involucrin, a marker of differentiation (A and B), or with an antibody to  Proliferating Cell Nuclear Antigen (PCNA), to identify actively proliferating cells (C and D). The PE-4 cultures exhibited characteristics typical of a preneoplastic  lesion, in that proliferating  cells are located in the basal and parabasal layers (C) and that  involucrin  is expressed focally (A). The  CC-1 culture  is typical of a  low grade lesion,  with proliferating cells located in all cell layers, but not in all cells (D) and involucrin is expressed focally (B).

The SiHa and HeLa cervical tumor cell lines were also grown in organotypic culture and exhibited characteristics of high grade tumors. PCNA was expressed by all cells throughout the entire thickness of the culture and in patterns representative of all stages  of the cell  cycle. Neither  cell  line exhibited expression of differentiation which  was evaluated by involucrin staining for squamous differentiation which was evaluated by involucrin staining  for squamous differentiation and mucicarmin staining for adenocarcinoma differentiation.

 

Research Objectives     Ovarian Cancer     Uterine Cancer